Cancer Tissue Gallery- GTX643510

NPR-C antibody [HMV4274] HistoMAX™

 

Go to Normal Tissue Gallery
  
 Go back to product page
  

Go to HistoMAX page

 

Breast – NPR-C negative invasive breast cancer of no special type (NST).

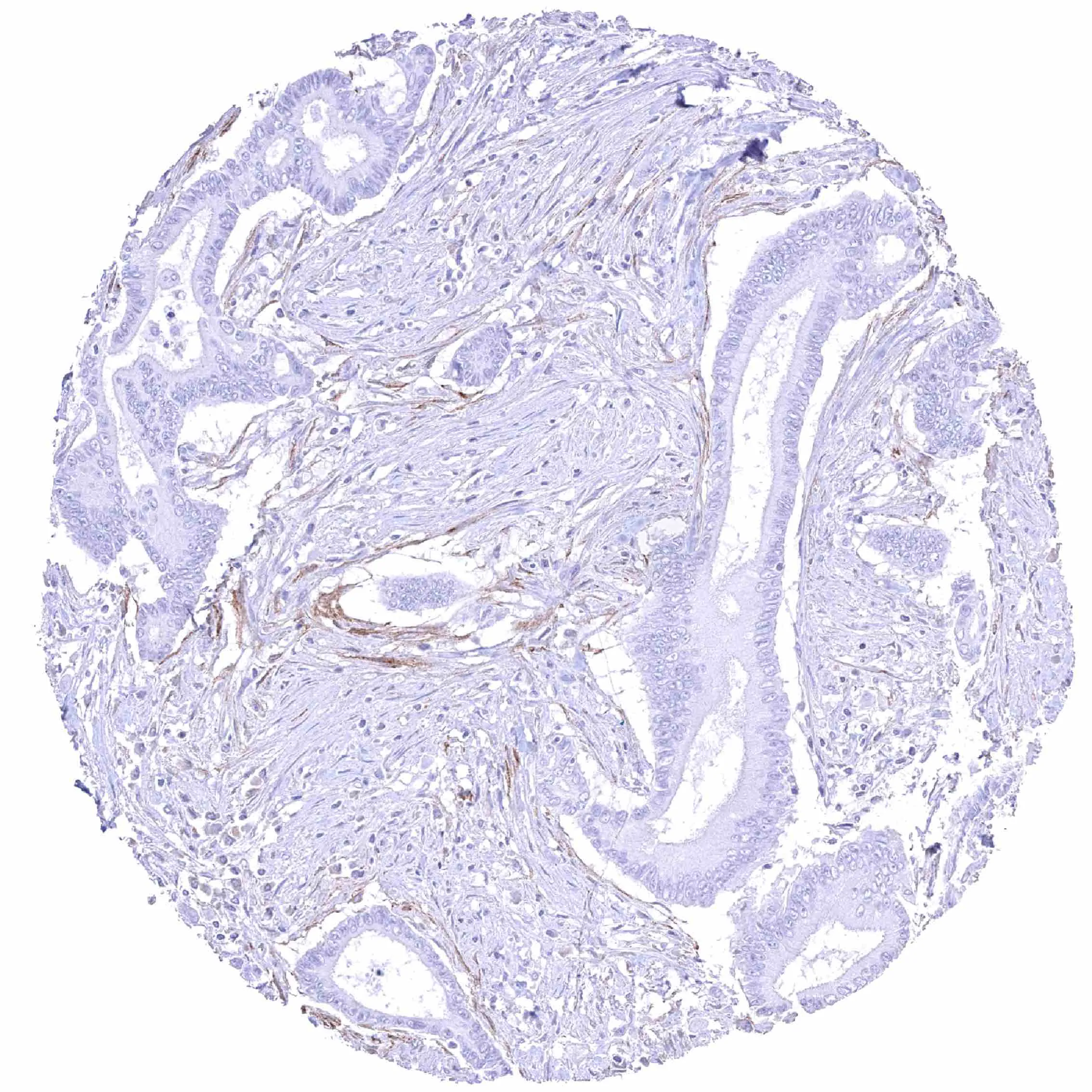
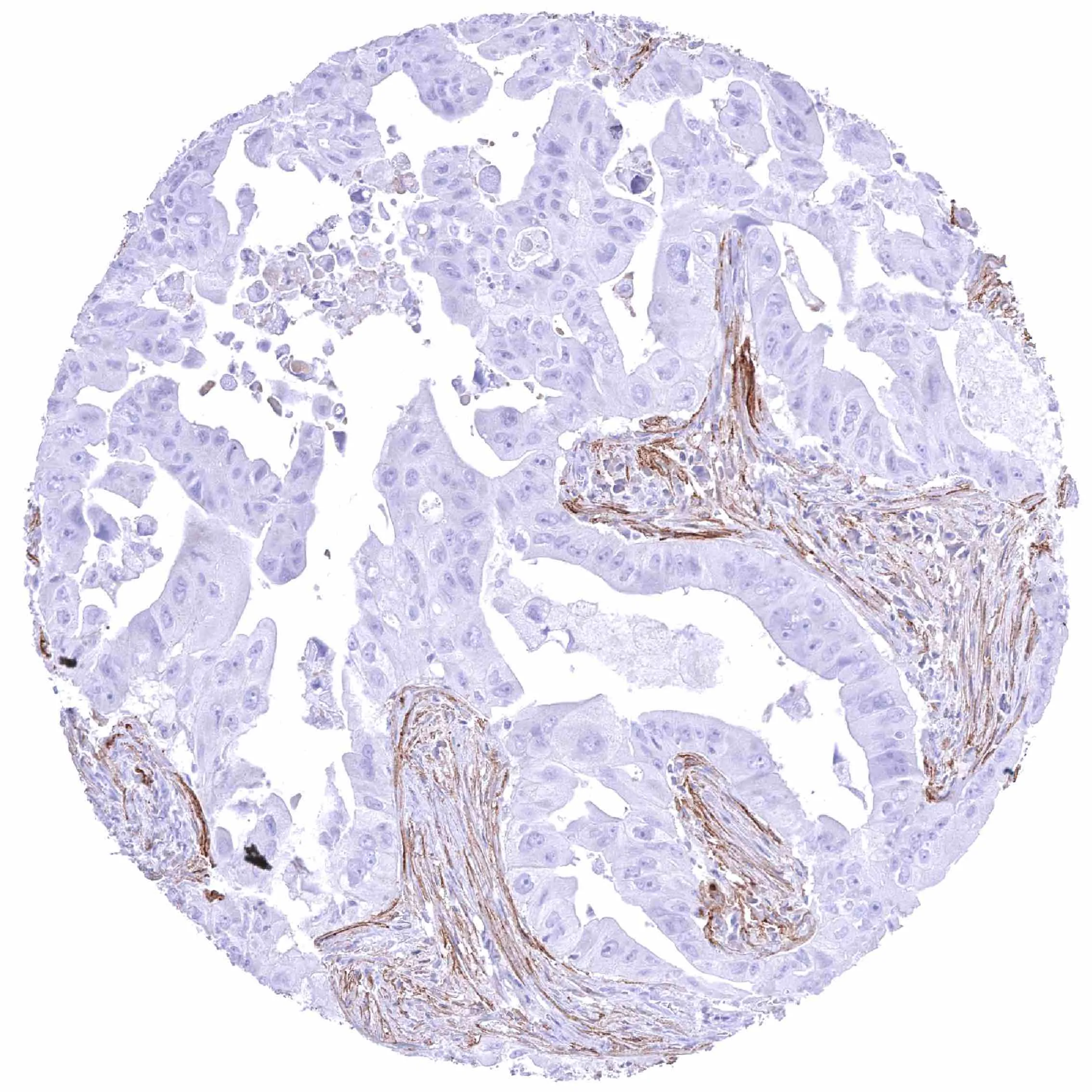
Colon – NPR-C negative colorectal adenocarcinoma.

Colon – NPR-C negative colorectal adenocarcinoma. Distinct fibrillar NPR-C staining of the tumor-adjacent stroma.

Kidney – Clear cell renal cell carcinoma with weak NPR-C staining of _50_ of tumor cells.

       

Kidney – NPR-C negative clear cell carcinoma.

Kidney – NPR-C negative oncocytoma with a distinct endothelial cell staining in several capillaries.

Kidney – Papillary renal cell carcinoma with strong NPR-C positivity of few tumor cells.

Kidney – Papillary renal cell carcinoma with weak to moderate NPR-C staining of only few tumor cells.

       

Kidney – Papillary renal cell carcinoma with strong NPR-C staining at the apical-luminal membrane of all tumor cells.

Lung – NPR-C negative adenocarcinoma.

Lung – NPR-C negative adenocarcinoma. Distinct fibrillar NPR-C staining of the stroma. NPR-C positivity of endothelial cells of small blood vessels.

Lung – NPR-C negative squamous cell carcinoma. Strong NPR-C positivity of endothelial cells from small arteries and from capillaries.

       

Lung – Squamous cell carcinoma with faint membranous NPR-C staining of tumor cells.

Lung – Squamous cell carcinoma with moderate NPR-C immunostaining of tumor cells. Strong NPR-C positivity of endothelial cells from a small blood vessel and from multiple capillaries.

Lung – NPR-C negative malignant mesothelioma (epitheloid).

Oral cavity – NPR-C negative squamous cell carcinoma.

       

Ovary – NPR-C negative clear cell carcinoma.

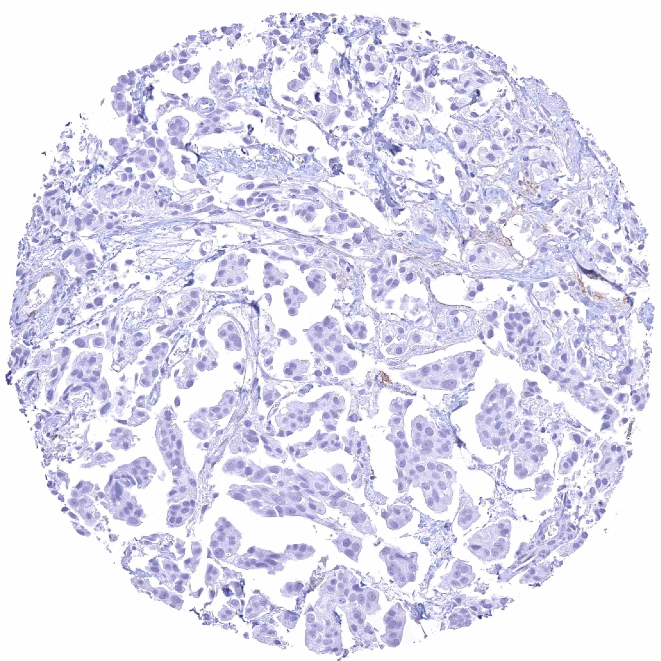
Ovary – NPR-C negative endometroid carcinoma.

Ovary – NPR-C negative serous high-grade carcinoma.

Pharynx – NPR-C negative squamous cell carcinoma.

       

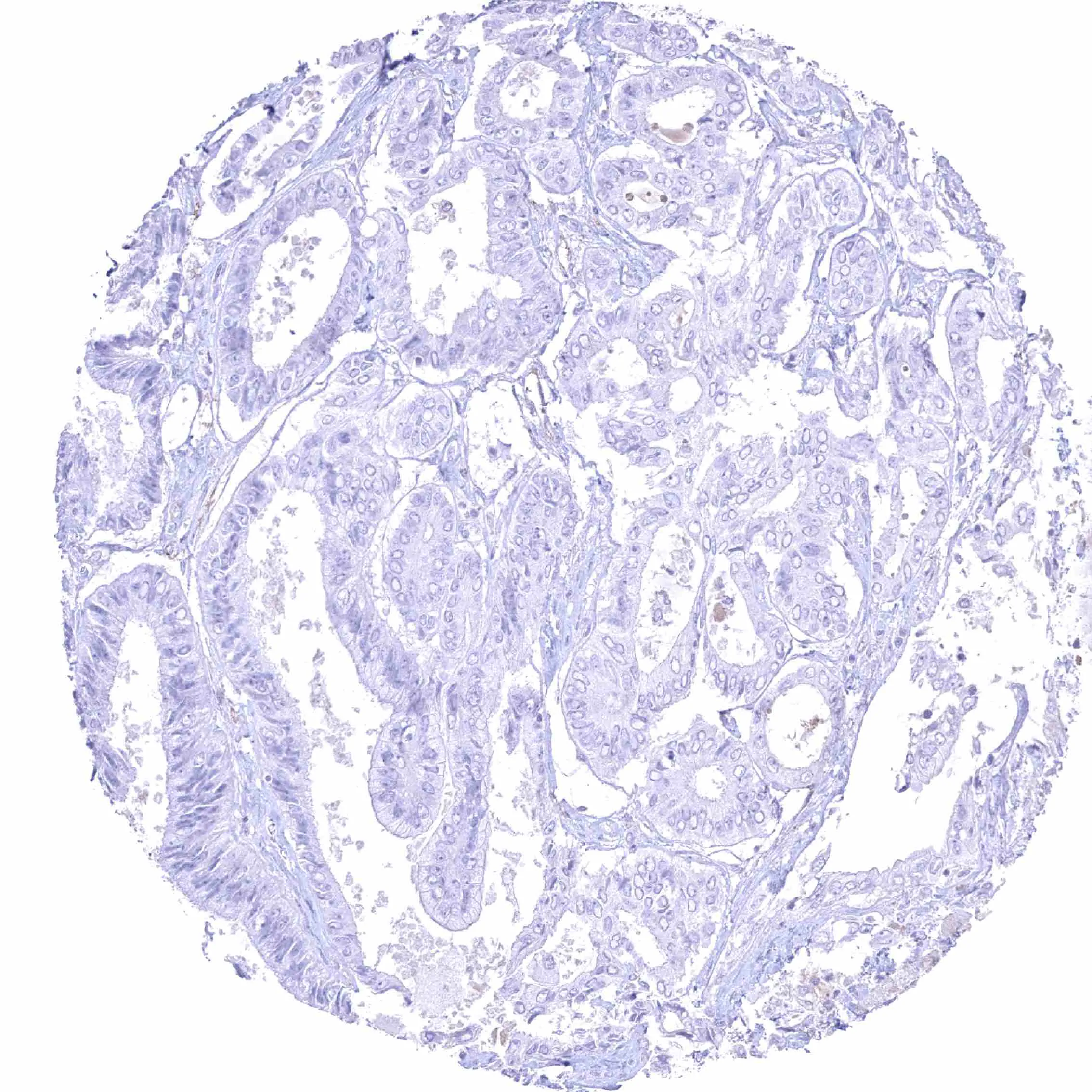
Prostate – NPR-C negative adenocarcinoma (Gleason 3+3=6).

Testis – NPR-C negative seminoma. Strong endothelial cell staining in several small blood vessels.

Thyroid – NPR-C negative papillary carcinoma. Distinct endothelial cell staining of one capillary vessel.

Urinary bladder – NPR-C negative muscle-invasive urothelial carcinoma.

       

Urinary bladder – NPR-C negative non-invasive papillary urothelial carcinoma (pTa).

 

 

| TOP |