Cancer Tissue Gallery- GTX04461

Occludin antibody [MSVA-415M] HistoMAXTM

 

Go to Normal Tissue Gallery
  
 Go back to product page
  

Go to HistoMAX page

 

 

 

Adrenal gland – Adrenocortical adenoma with faint membranous occludin immunostaining of most tumor cells

Adrenal gland – Occludin negative adrenocortical adenoma

Anal canal – Squamous cell carcinoma with moderate to strong occludin staining of tumor cells

Breast – Invasive breast cancer of no special type (NST) with strong, predominantly membranous occludin staining of tumor cells

       

Breast – Invasive lobular breast cancer with faint occludin staining of tumor cells

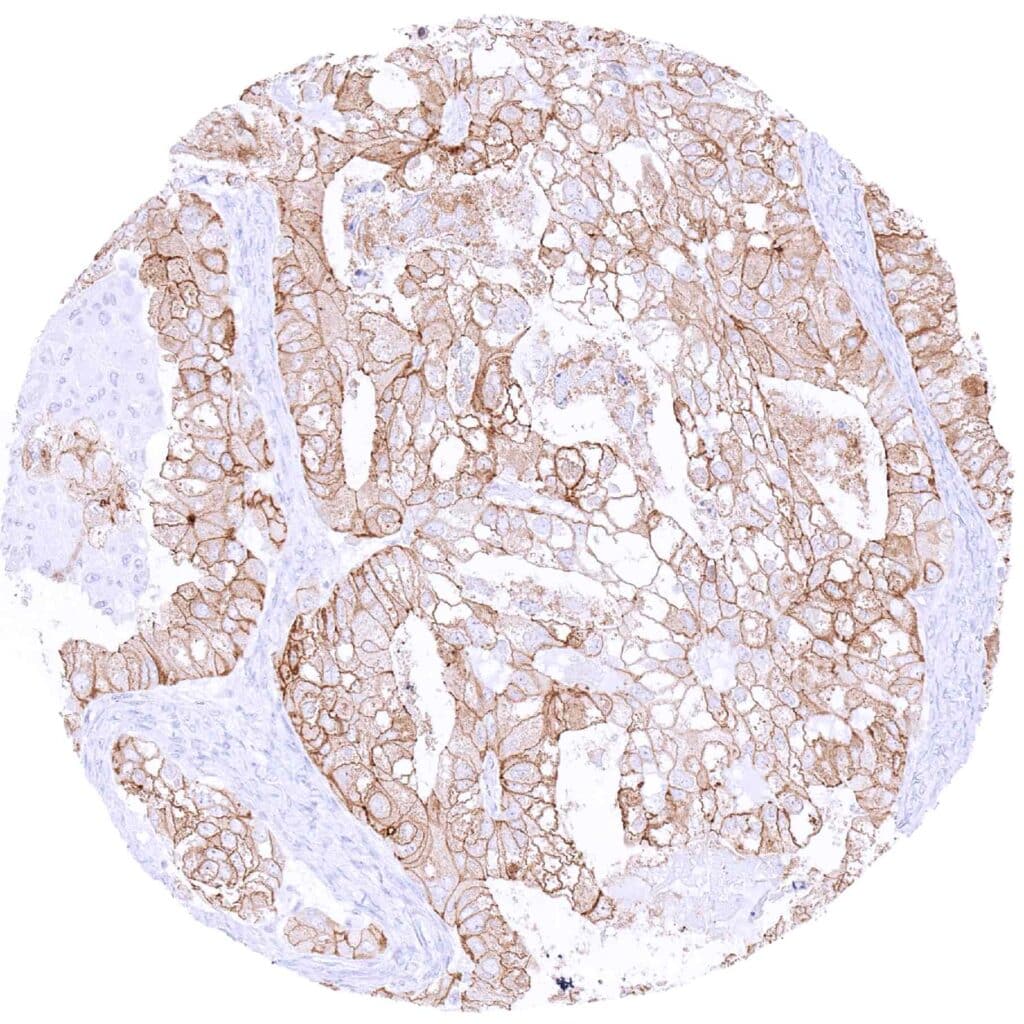
Colon– Colorectal adenocarcinoma with prominent occludin staining of the apical membrane of tumor cells

Esophagus – Adenocarcinoma with strong occludin staining of most tumor cells

Esophagus – Occludin negative squamous cell carcinoma

       

Kidney – Occludin negative clear cell carcinoma

Kidney – Oncocytoma with strong membranous occludin positivity of tumor cells

Kidney – Papillary renal cell carcinoma with strong membranous occludin staining of tumor cells

Liver – Cholangiocellular carcinoma with strong, predominantly membranous occluding positivity of most tumor cells

       

Liver – Hepatocellular carcinoma with faint occludin immunostaining of a subset of tumor cells

Liver – Hepatocellular carcinoma with moderate to strong occludin staining of tumor cells

Lung – Adenocarcinoma with strong occludin staining of all tumor cells

Lung – Occludin negative squamous cell carcinoma. Distinct occluding staining of endothelial cells of tumor associated blood vessels

       

Lymph node – Diffuse large B-cell lymphoma with weak occludin staining of a fraction of tumor cells

Lymph node – Hodgkin’s lymphoma with distinct occludin positivity of tumor cells

Lymph node – Hodgkin’s lymphoma with strong occludin positivity of tumor cells

Lymph node – Occludin negative diffuse large B-cell lymphoma

       

Ovary – Clear cell carcinoma with moderate occludin staining of tumor cells

Ovary – Serous high-grade carcinoma with strong membranous and cytoplasmic occludin staining of tumor cells

Pancreas – Acinar cell carcinoma with strong membranous and cytoplasmic occludin staining of tumor cells

Pancreas – Neuroendocrine tumor with strong occludin positivity of tumor cells

       

Penis – Occludin negative squamous cell carcinoma

Prostate – Adenocarcinoma (Gleason 3+3=6) with faint occludin staining of some tumor cells

Prostate – Adenocarcinoma (Gleason 5+5=10) with intense membranous and cytoplasmic occludin staining of tumor cells

Salivary gland – Warthin tumor with strong Occludin immunostaining of most tumor cells. Note- Staining is absent or faint in basal cell layers

       

Skin – Occludin negative malignant melanoma

Skin – Occludin negative squamous cell carcinoma

Soft tissue –Leiomyosarcoma with weak to moderate occludin staining of tumor cells

Stomach – Gastric adenocarcinoma (diffuse type) with moderate occludin immunostaining of all cells

       

Stomach – Gastric adenocarcinoma (intestinal type) with moderate to strong occludin staining of all tumor cells

Testis – Leydig cell tumor with strong occludin positivity of tumor cells

Testis – Seminoma with weak to moderate occludin immunostaining of most tumor cells

Thyroid – Medullary cancer with moderate to strong occludin staining of tumor cells

       

Thyroid – Papillary cancer with weak to moderate occludin staining of most tumor cells

Urinary bladder – Muscle-invasive urothelial carcinoma with strong, predominantly membranous occludin staining of tumor cells

Urinary bladder – Occludin negative muscle-invasive urothelial carcinoma

     

 

| TOP |