Normal Tissue Gallery- GTX04461

Occludin antibody [MSVA-415M] HistoMAXTM

 

Go to Cancer Tissue Gallery
  
 Go back to product page
  

Go to HistoMAX page

 

Adrenal gland – Absence of occludin immunstaining

Aorta, media

Appendix, mucosa – Diffuse membranous occludin staining of all epithelial cells. Highest intensity occurs at the apical membranes (occludin immunohistochemistry)

Appendix, muscular wall – Occludin staining is limited to endothelial cells (occludin immunohistochemistry)

Bone marrow

Breast – Luminal cells show a moderate membranous occludin immunostaining while basal lack staining (occludin immunohistochemistry)

Bronchus, mucosa – Membranous occludin immunostaining of respiratory epithelium is strongest at the apical membrane (occludin immunohistochemistry)

Cerebellum (molecular layer, Purkinje cell layer, granule cell layer, white matter)

Cerebellum (molecular layer, Purkinje cell layer, granule cell layer)

Cerebrum, grey matter

Cerebrum, white matter

Colon descendens, mucosa – Membranous occludin staining of epithelial cells. Highest intensity occurs at the apical membranes (occludin immunohistochemistry)

Colon descendens, muscular wall

Duodenum, Brunner gland – Membranous occludin staining of moderate intensity in glandular cells of Brunner glands (occludin immunohistochemistry)

Duodenum, mucosa – Membranous occludin staining of variable intensity. Often, staining is most intense at the apical membranes (occludin immunohistochemistry)

Epididymis – Rather faint membranous occludin staining, predominantly at the apical membranes of chief cells (occludin immunohistochemistry)

Esophagus, squamous epithelium – In squamous epithelium, occludin staining is absent or reduced in the basal cell layer, strongest in suprabasal cells and decreases towards the surface

Fallopian tube, mucosa – Membranous occludin positivity is diffuse but strongest at the apical membrane (occludin immunohistochemistry)

Fat

Gallbladder, epithelium – Diffuse strong membranous occludin staining. Highest intensity occurs at the apical membranes (occludin immunohistochemistry)

Heart – Occludin staining is limited to endothelial cells (occludin immunohistochemistry)

Ileum, mucosa – Membranous occludin staining is often most intense at the apical membranes (occludin immunohistochemistry)

Kidney, cortex – Occludin staining is strongest in collecting ducts, weaker in distal tubuli and weakest in proximal tubuli of the kidney (occludin immunohistochemistry)

Kidney, medulla

Liver – Membranous occludin staining is stronger in bile duct epithelia than in hepatocytes (occludin immunohistochemistry)

Lung – Both pneumocytes and endothelial cells show a membranous occludin immunostaining while macrophages remain negative (occludin immunohistochemistry)

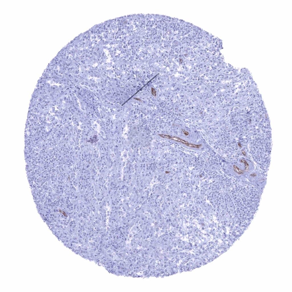
Lymph node – Significant occludin staining of endothelial cells (occludin immunohistochemistry)

Ovary, stroma – Occludin staining is limited to endothelial cells (occludin immunohistochemistry)

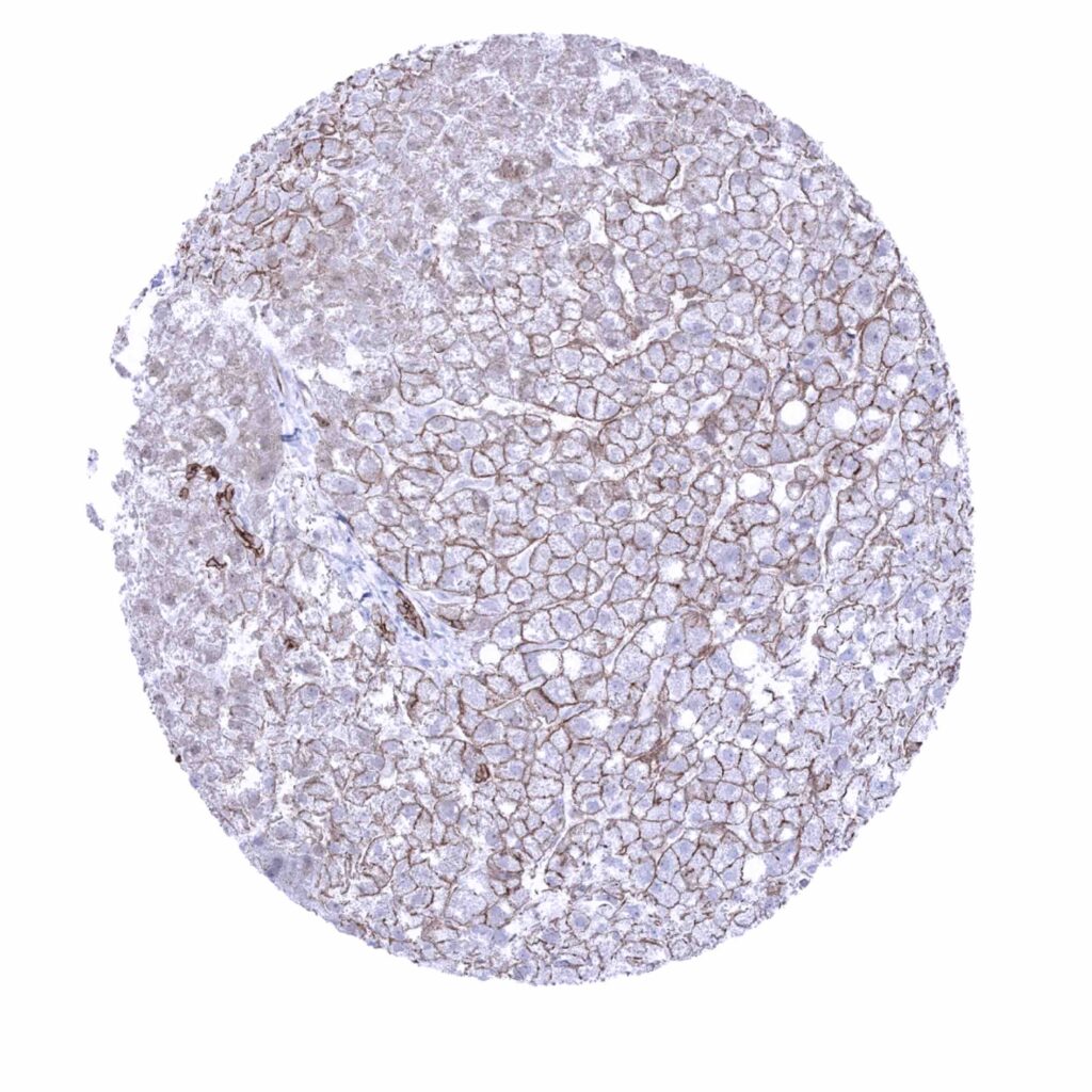
Pancreas – Membranous occludin staining is strongest at apical membranes of acinar cells and only weak in islet cells (occludin immunohistochemistry)

Parathyroid gland – Moderate membranous occludin immunostaining of epithelial cells (occludin immunohistochemistry)

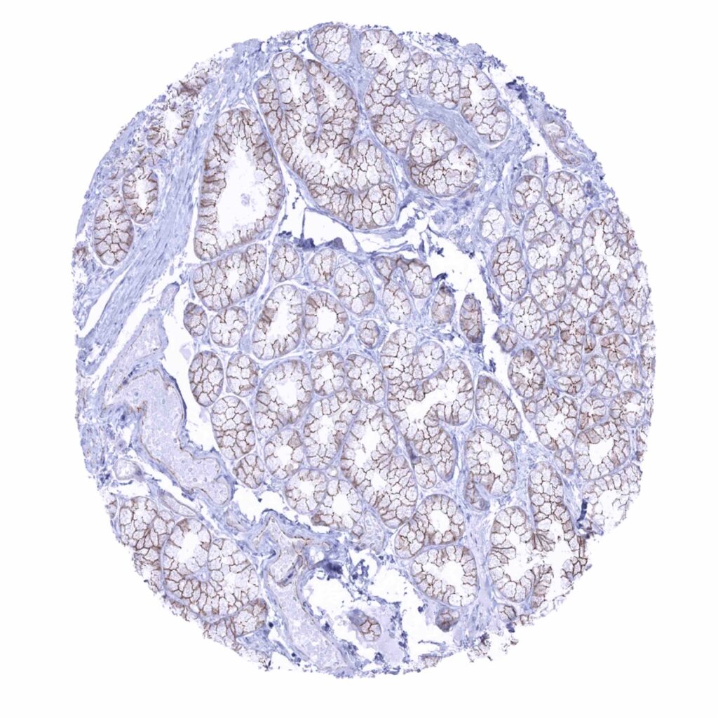
Parotid gland – Membranous occludin staining is most intense in excretory ducts and only faint in glandular cells (occludin immunohistochemistry)

Pituitary gland, anterior lobe – Only few epithelial cells show a detectable membranous occludin staining (occludin immunohistochemistry)

Pituitary gland, posterior lobe

Placenta (amnion) – Occludin staining of amnion cells preferentially occurs at the apical membrane (occludin immunohistochemistry)

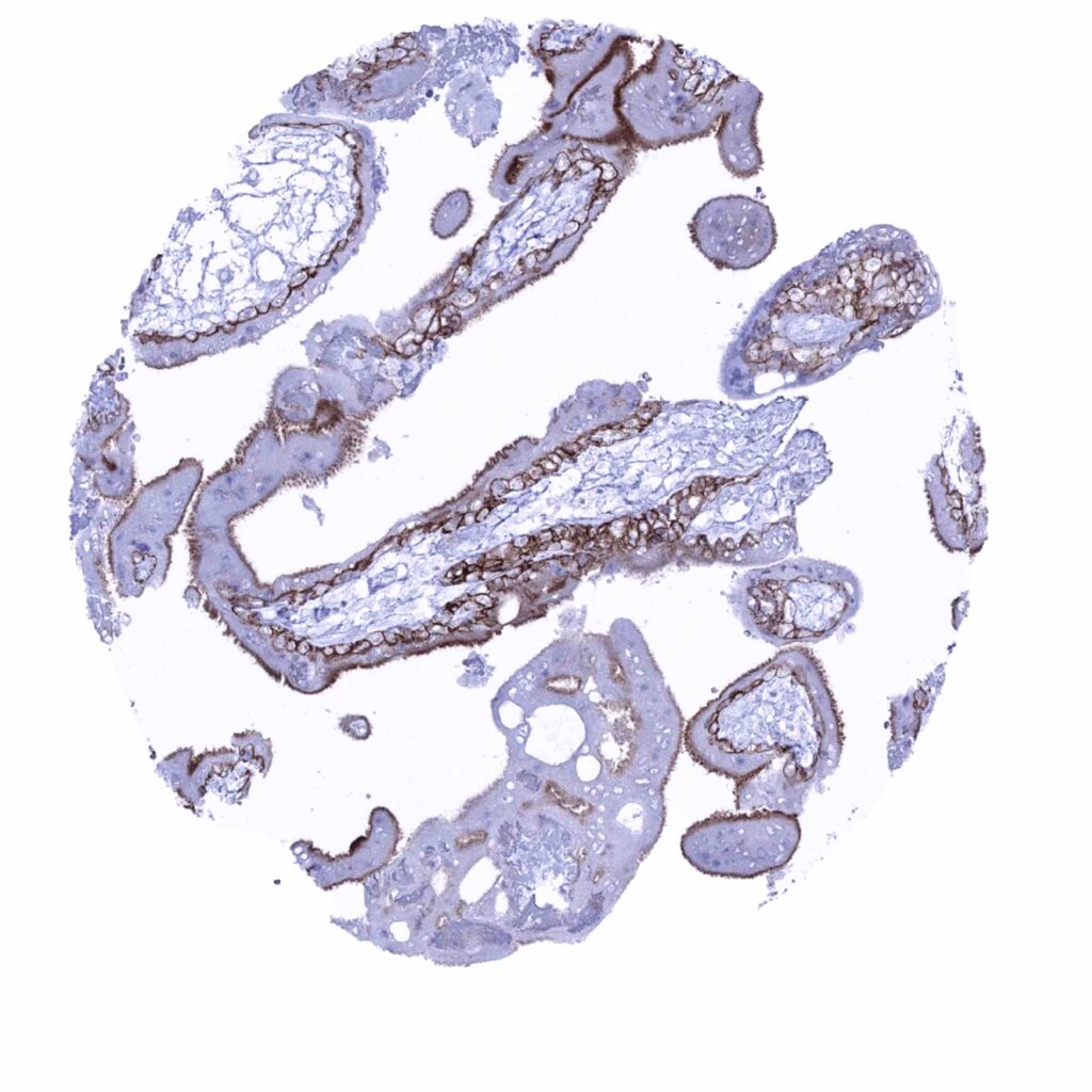
Placenta, early – Membranous occludin immunostaining predominates in the cytotrophoblast and at the luminal membrane of the syncytiotrophoblast (occludin immunohistochemistry)

Placenta, mature – Membranous occludin immunostaining predominates in the cytotrophoblast (occludin immunohistochemistry)

Prostate – Membranous occludin staining of epithelial cells is rather weak in the prostate

Rectum, mucosa

Seminal vesicle – Membranous occludin staining of epithelial cells is intense (occludin immunohistochemistry)

Sinus paranasales – Membranous occludin immunostaining of respiratory epithelium is strongest at the apical membrane (occludin immunohistochemistry)

Skin – In squamous epithelium, occludin staining is either absent or reduced in basal and superficial cell layers (occludin immunohistochemistry)

Spleen – Strong occludin staining of some endothelial cells (occludin immunohistochemistry)

Stomach, antrum – In stomach glands, occludin staining is strongest at the apical membranes (occludin immunohistochemistry)

Stomach, corpus – Membranous occludin staining of all cell types. Staining is often most intense at the apical membranes (occludin immunohistochemistry)

Striated muscle

Testis – Occludin immunostaining is largely limited to Leydig cells (occludin immunohistochemistry)

Thymus – Strong occludin staining of a fraction of cells in corpuscles of Hassall‘s (occludin immunohistochemistry)

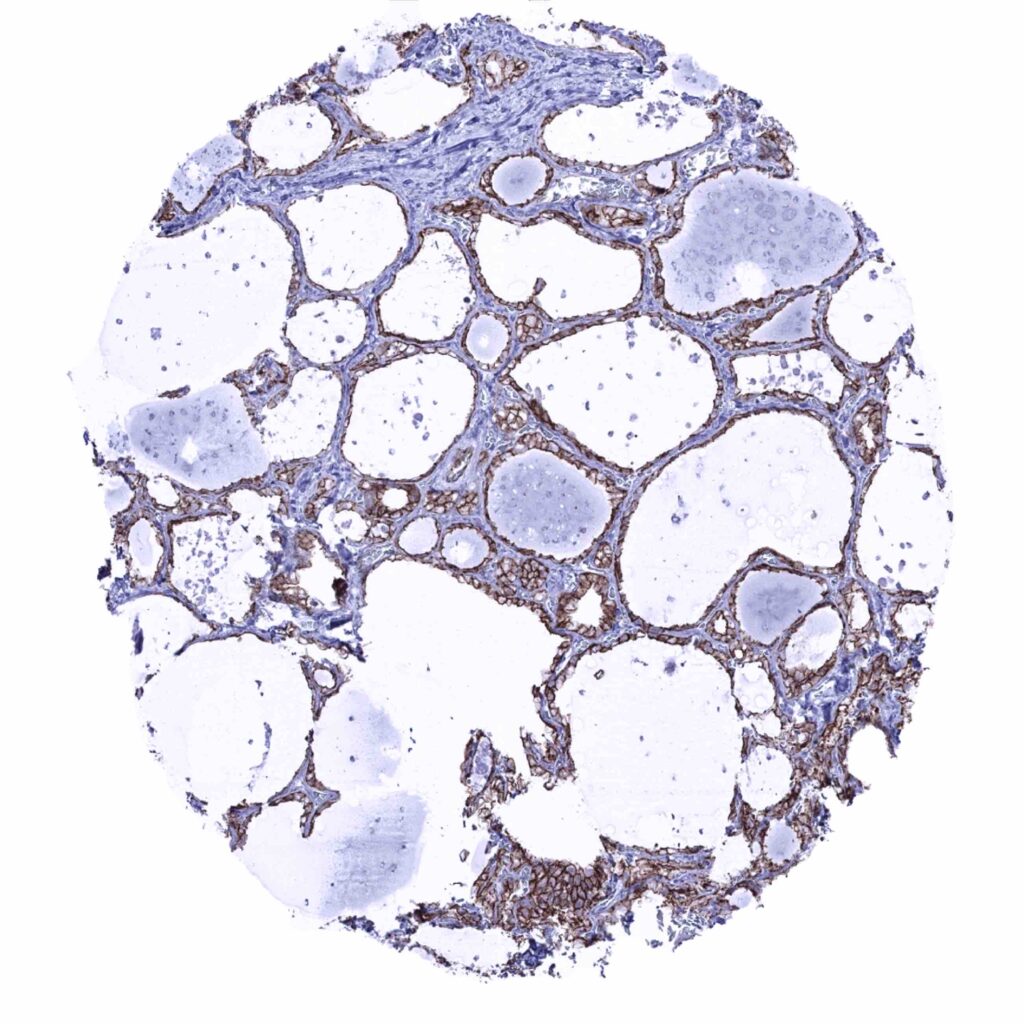
Thyroid gland – Intense membranous occludin immunostaining of follicular cells (occludin immunohistochemistry)

Tonsil – Squamous epithelium of the tonsil crypts show strongest occludin staining in superficial layers (occludin immunohistochemistry)

Tonsil, surface epithelium – In squamous epithelium, occludin staining is either absent or reduced in basal and superficial cell layers (occludin immunohistochemistry)

Urinary bladder, muscular wall

Urinary bladder, urothelium – Strong occludin staining of all urothelial cell layers (occludin immunohistochemistry)

Uterus, ectocervix – In squamous epithelium, occludin staining is either absent or reduced in basal and superficial cell layers (occludin immunohistochemistry)

Uterus, endocervix

Uterus, endometrium (pregnancy) – Low level of membranous occludin staining in endometrium cells in pregnancy

Uterus, endometrium (secretion) – Membranous occludin immunostaining is diffuse but strongest at the apical membrane (occludin immunohistochemistry)

Uterus, myometrium

 

| TOP |