Cancer Tissue Gallery- GTX04487

PAX6 antibody [MSVA-706M] HistoMAXTM

 

Go to Normal Tissue Gallery
  
 Go back to product page
  

Go to HistoMAX page

 

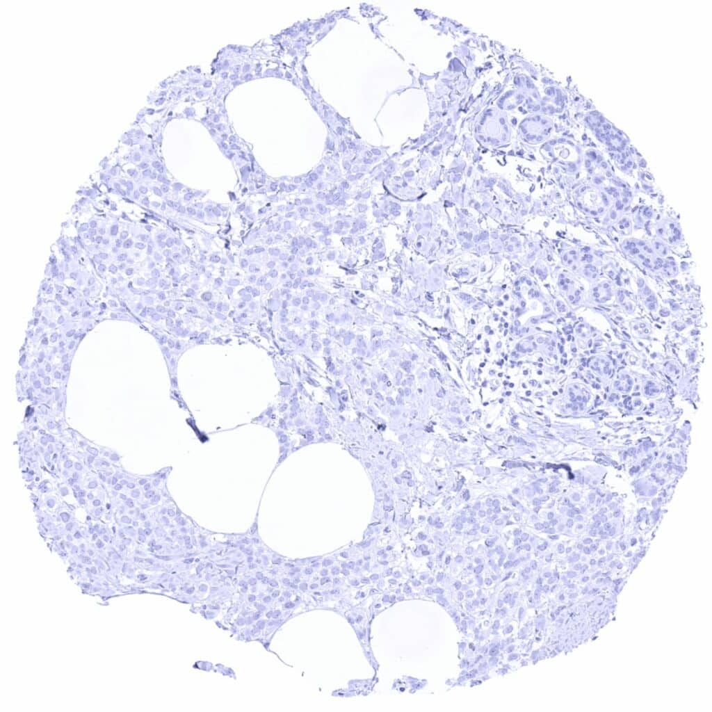
Adrenal gland – PAX6 negative adrenocortical adenoma

Breast – PAX6 negative invasive breast cancer of no special type (NST)

Breast – PAX6 negative invasive lobular breast cancer

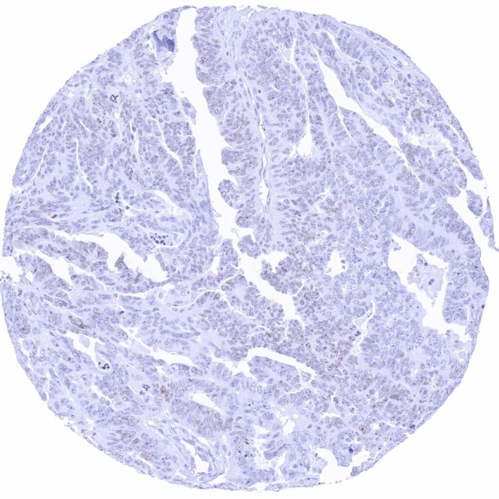
Colon – PAX6 negative colorectal adenocarcinoma

       

Duodenum – Neuroendocrine tumor with strong PAX6 immunostaining of all tumor cells

Esophagus – Neuroendocrine tumor with weak to moderate nuclear PAX6 positivity of tumor cells

Esophagus – PAX6 negative adenocarcinoma

Ileum – Neuroendocrine tumor with weak PAX6 immunostaining of about 50_ of tumor cells

       

Kidney – PAX6 negative clear cell carcinoma

Kidney – PAX6 negative oncocytoma

Liver – PAX6 negative cholangiocellular carcinoma

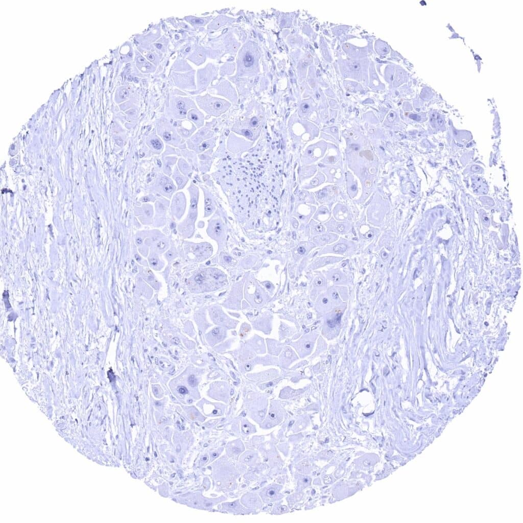
Liver – PAX6 negative hepatocellular carcinoma

       

Lung – PAX6 negative adenocarcinoma

Lung – PAX6 negative malignant mesothelioma (epitheloid)

Lung – PAX6 negative neuroendocrine tumor

Lung – PAX6 negative small cell carcinoma

       

Lung – PAX6 negative squamous cell carcinoma

Lymph node – PAX6 negative diffuse large B-cell lymphoma

Ovary – PAX6 negative clear cell carcinoma

Ovary – PAX6 negative granulosa cell tumor

       

Ovary – PAX6 negative serous high-grade carcinoma

Ovary – Serous high-grade carcinoma with faint PAX6 positivity of a subset of tumor cells

Pancreas PAX6 negative neuroendocrine tumor

Pancreas – Neuroendocrine tumor with intense PAX6 staining of all tumor cells

       

Pancreas – Neuroendocrine tumor with moderate to strong PAX6 staining of _90_ of tumor cells

Pancreas – Neuroendocrine tumor with strong nuclear PAX6 positivity of tumor cells

Pancreas – Neuroendocrine tumor with strong PAX6 positivity of tumor cells

Pancreas – Neuroendocrine tumor with strong, predominantly nuclear PAX6 immunostaining of all tumor cells

       

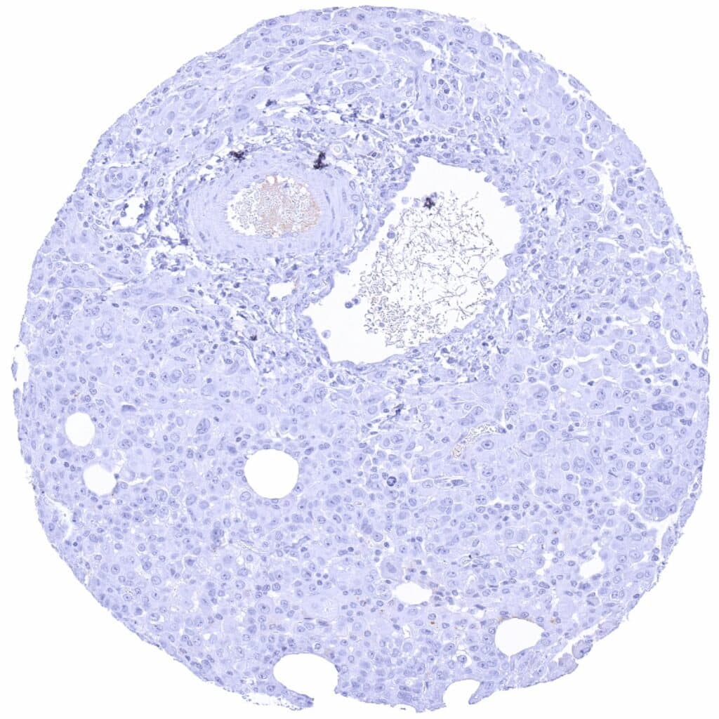
Pancreas – PAX6 negative acinar cell carcinoma

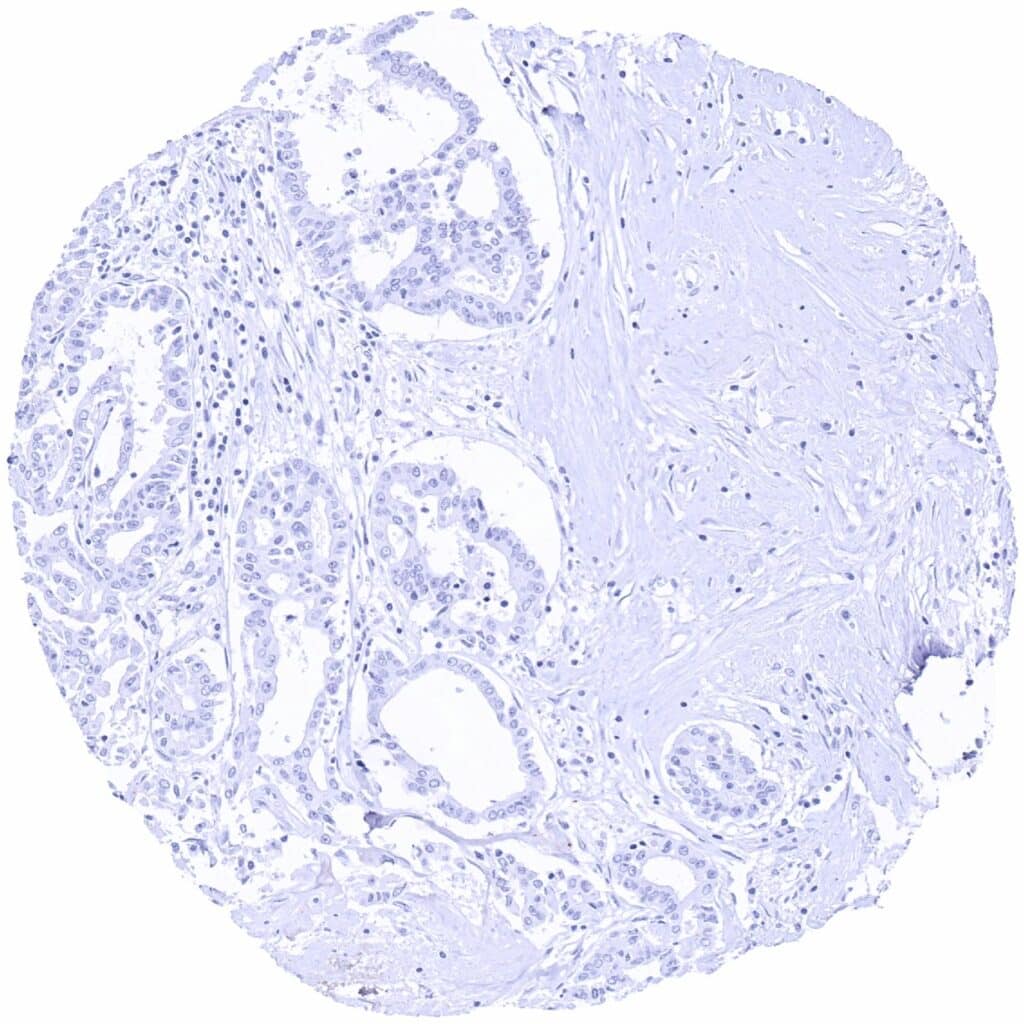
Pancreas – PAX6 negative adenocarcinoma of the papilla Vaterii

Pancreas – PAX6 negative ductal adenocarcinoma. A group of Pax6 positive cells reflects a remnant of an islet of Langerhans

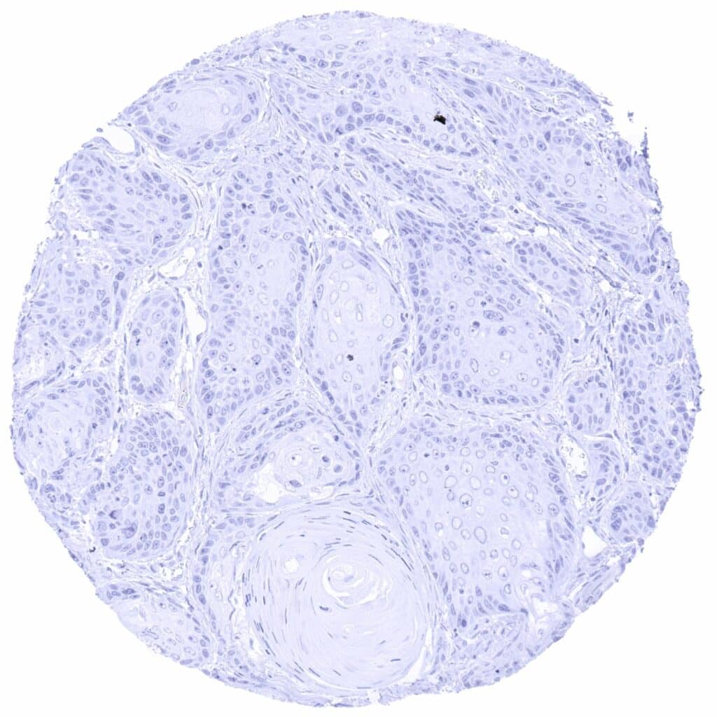
Penis – Squamous cell carcinoma with faint Pax6 positivity of some tumor cells

       

Prostate – PAX6 negative adenocarcinoma (Gleason 3+3=6)

Prostate – Recurrent adenocarcinoma (Gleason 5+5=10) with moderate PAX6 staining of about 30_ of tumor cells

Prostate – Small cell carcinoma with faint PAX6 staining of a subset of tumor cells

Salivary gland – PAX6 negative Warthin tumor

       

Skin – Basal cell carcinoma with weak PAX6 positivity of most tumor cells

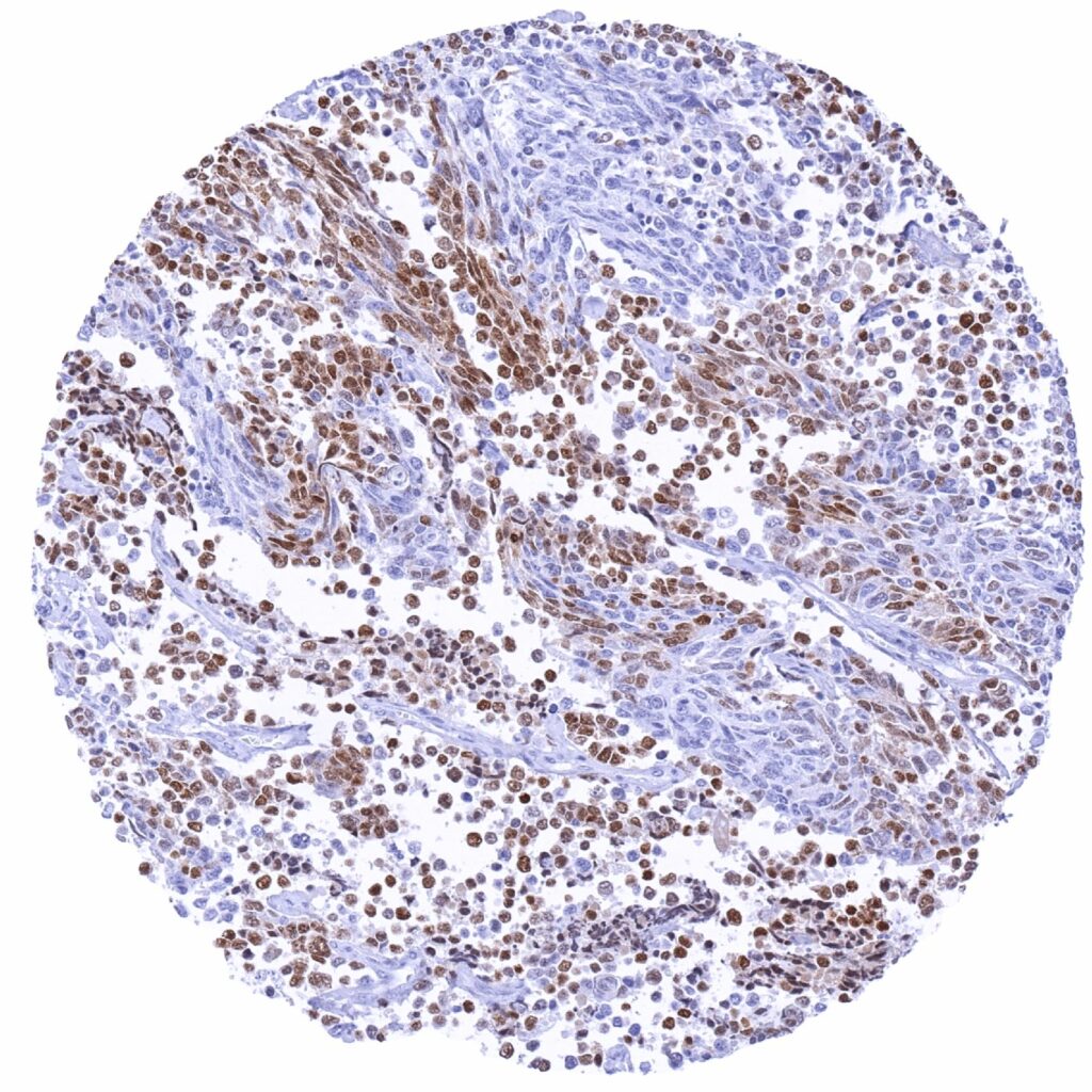
Skin – Merkel cell carcinoma with strong PAX6 staining of all tumor cells

Soft tissue – PAX6 negative leiomyosarcoma

Soft tissue – PAX6 negative liposarcoma

       

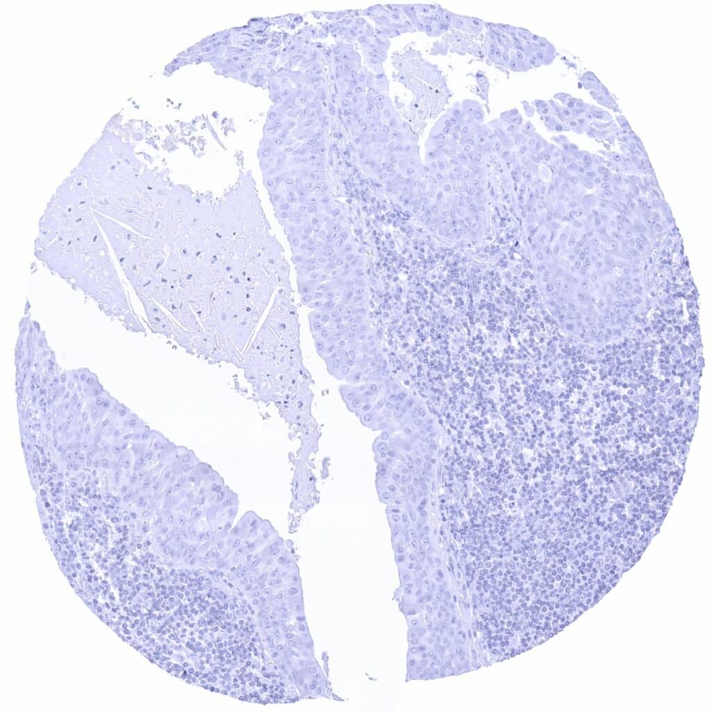
Stomach – PAX6 negative gastric adenocarcinoma

Stomach – Pax6 negative gastrointestinal stromal tumor (GIST)

Testis – Pax6 negative Leydig cell tumor

Testis – Pax6 negative seminoma

       

Thyroid – Pax6 negative medullary carcinoma

Thyroid – Pax6 negative papillary carcinoma

Urinary bladder – Muscle-invasive urothelial carcinoma with faint Pax6 immunostaining of few tumor cells

Urinary bladder – Pax6 negative muscle-invasive urothelial carcinoma

       

Urinary bladder – Small cell carcinoma with moderate to strong Pax6 positivity of most tumor cells

Uterus, cervix – Pax6 negative squamous cell carcinoma

Vulva – Pax6 negative squamous cell carcinoma

     

 

| TOP |