Cancer Tissue Gallery- GTX04481

PSA antibody [MSVA-603R] HistoMAXTM

 

Go to Normal Tissue Gallery
  
 Go back to product page
  

Go to HistoMAX page

 

Breast- PSA negative invasive lobular breast cancer.

PSA negative adenocarcinoma.

Esophagus- PSA negative squamous cell carcinoma.

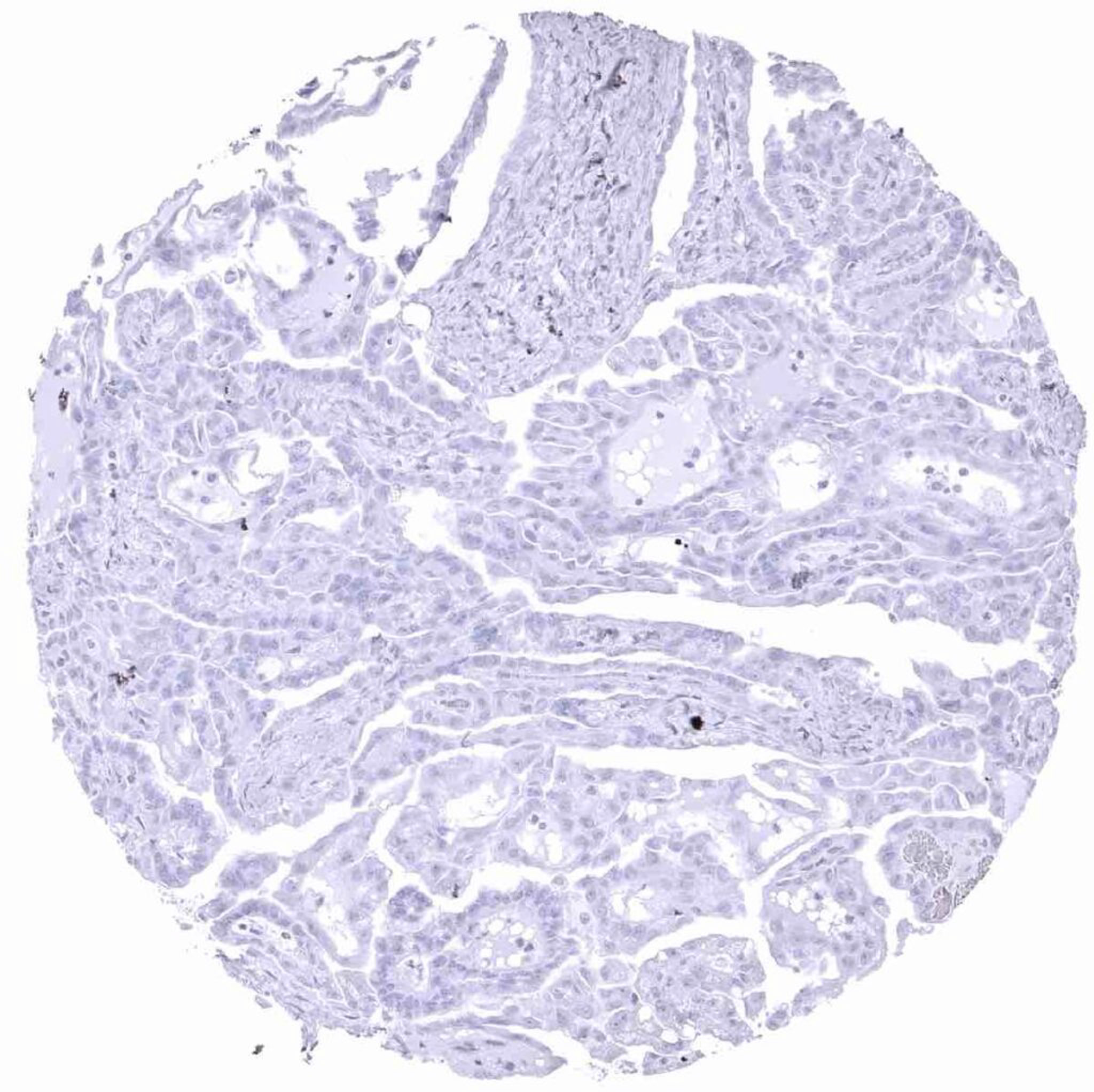
Kidney- PSA negative clear cell carcinoma.

       

Kidney- PSA negative oncocytoma.

Kidney- PSA negative papillary renal cell carcinoma.

Oral cavity- PSA negative squamous cell carcinoma.

Ovary- PSA negative clear cell carcinoma.

       

Ovary- PSA negative endometroid carcinoma.

Ovary- PSA negative serous high-grade carcinoma.

Pharynx- PSA negative squamous cell carcinoma.

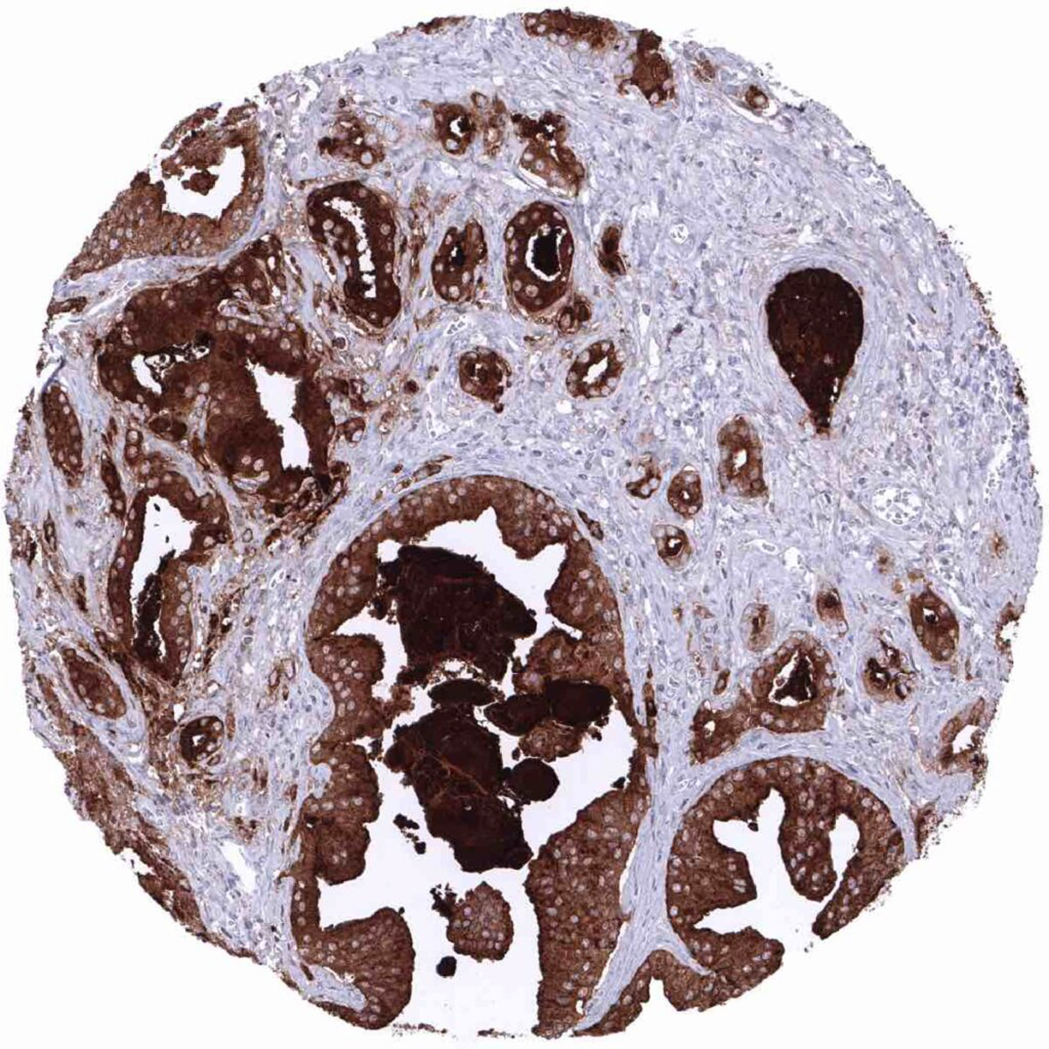
Prostate – Adenocarcinoma (Gleason 3+3=6) showing strong PSA positivity of tumor cells

       

Prostate – Adenocarcinoma (Gleason 3+3=6) with intense PSA immunostaining of tumor cells.

Prostate – Adenocarcinoma (Gleason 3+3=6) with strong PSA immunostaining of all tumor cells.

Prostate – Adenocarcinoma (Gleason 3+3=6) with strong PSA immunostaining of tumor cells

Prostate – Adenocarcinoma (Gleason 5+5=10) with moderate to strong PSA immunostaining of tumor cells.

       

Thyroid – PSA negative follicular carcinoma.

Urinary bladder – PSA negative muscle-invasive urothelial carcinoma.

Urinary bladder – PSA negative non-invasive papillary urothelial carcinoma (pTa G2).

     

 

| TOP |