Cancer Tissue Gallery- GTX640563

PSAT1 antibody [HMV331] HistoMAXTM

 

Go to Normal Tissue Gallery Go back to product page Go to HistoMAX page

 

Adrenal gland – Pheochromocytoma with a variable, weak to strong PSAT1 staining of tumor cells
Esophagus – PSAT1 negative adenocarcinoma
Esophagus – Squamous cell carcinoma with weak to moderate nuclear and cytoplasmic PSAT1 positivity of tumor cells
Kidney – PSAT1 negative clear cell carcinoma
Kidney – PSAT1 negative papillary renal cell carcinoma
Larynx – Squamous cell carcinoma with moderate to strong, predominantly nuclear PSAT1 staining of tumor cells
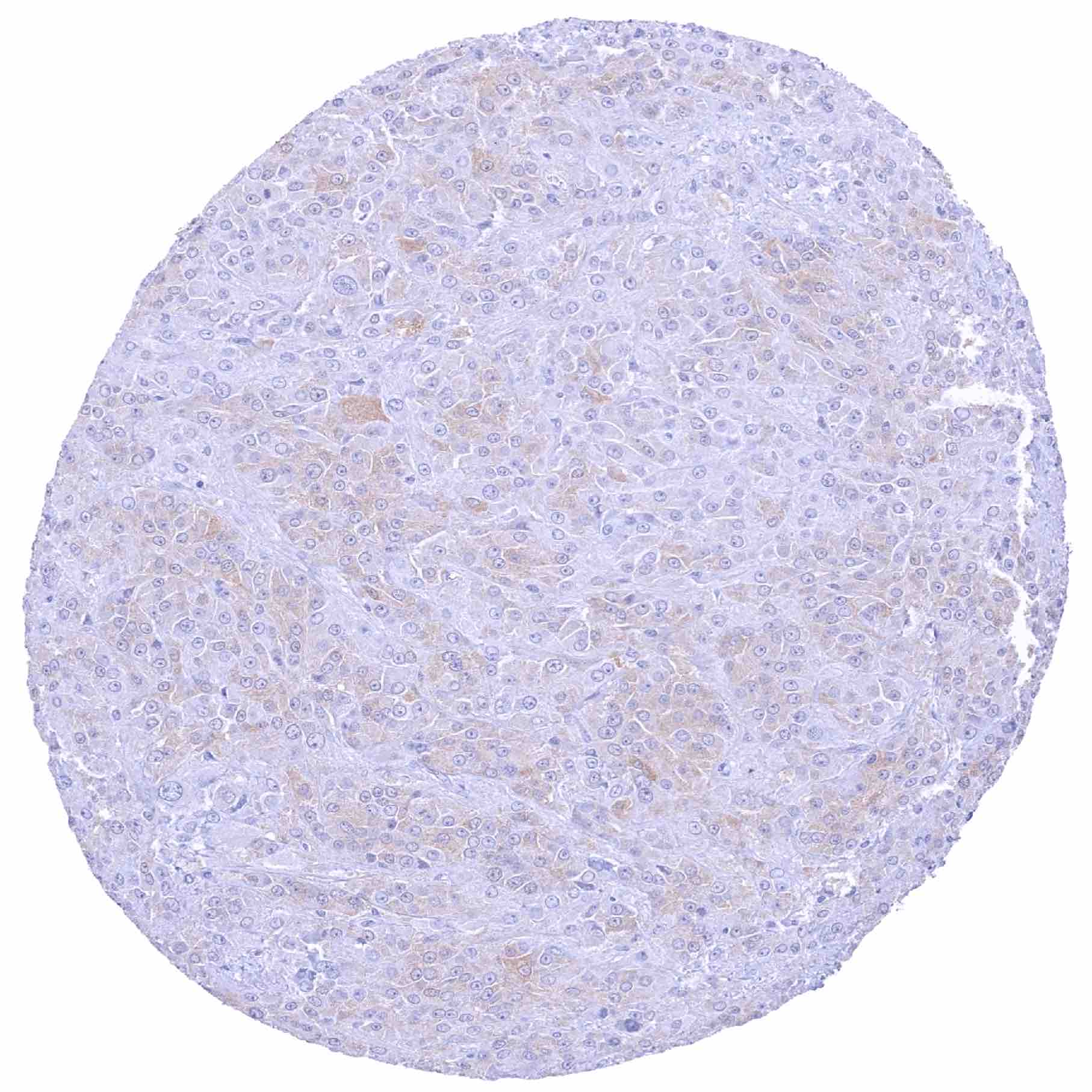
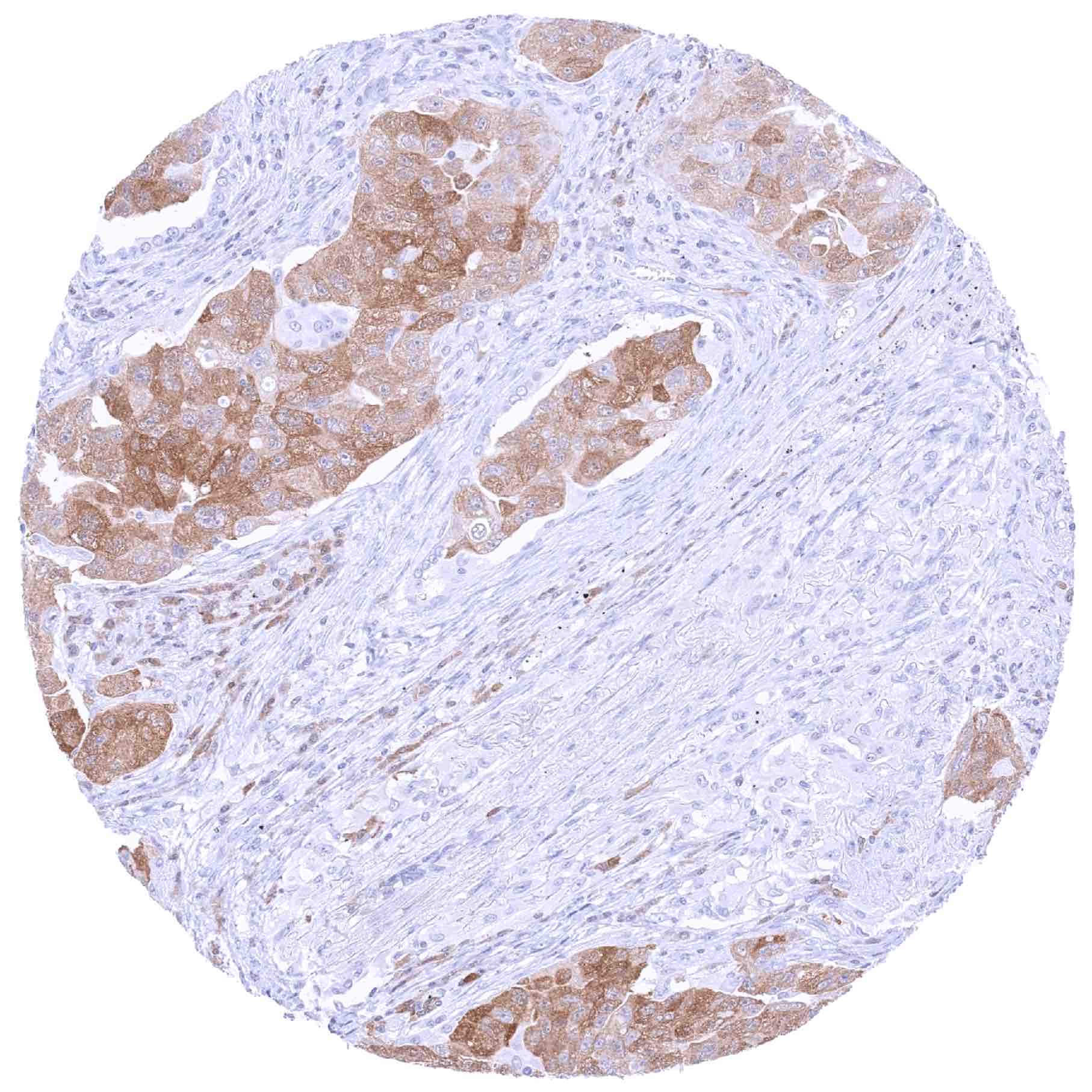
Liver – Hepatocellular carcinoma with a weak to moderate PSAT1 positivity of tumor cells
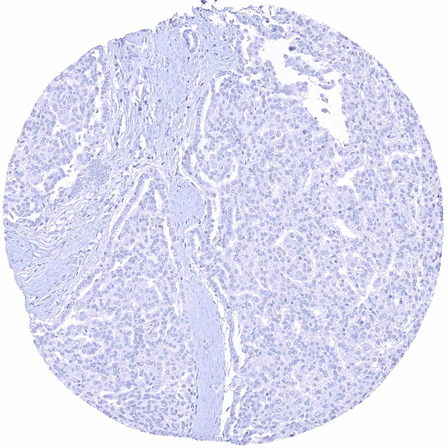
Liver – PSAT1 negative cholangiocellular carcinoma
Lung – Adenocarcinoma with moderate to strong PSAT1 staining of most tumor cells
Lung – PSAT1 negative squamous cell carcinoma
Lung – Squamous cell carcinoma with moderate to strong, predominantly nuclear PSAT1 staining of tumor cells
Lymph node – Hodgkin's lymphoma with distinct PSAT1 staining of tumor cells
Lymph node – Hodgkin's lymphoma with weak to moderate PSAT1 staining of tumor cells
Lymph node – Marginal zone lymphoma with moderate to strong PSAT1 staining of most tumor cells
Lymph node – PSAT1 negative angioimmunoblastic T-cell lymphoma
Lymph node – PSAT1 negative diffuse large B-cell lymphoma
Ovary – Clear cell carcinoma with strong PSAT1 staining of tumor cells
Ovary – Malignant mixed Mullerian tumor with strong PSAT1 staining of tumor cells
Ovary – PSAT1 negative endometroid carcinoma
Ovary – Serous high-grade carcinoma with strong PSAT1 positivity of tumor cells
Pancreas – PSAT1 negative ductal adenocarcinoma
Pancreas – PSAT1 negative neuroendocrine tumor
Penis – PSAT1 negative squamous cell carcinoma
Penis – Squamous cell carcinoma with moderate to strong, predominantly nuclear PSAT1 staining of a fraction of tumor cells
Pharynx – PSAT1 negative squamous cell carcinoma
Prostate – Adenocarcinoma (Gleason 5+5=10) with strong PSAT1 staining of tumor cells
Prostate – PSAT1 negative adenocarcinoma (Gleason 3+3=6)
Salivary gland – PSAT1 negative Warthin tumor
Soft tissue – Myxofibrosarcoma with strong PSAT1 staining of tumor cells
Soft tissue – Paraganglioma with moderate to strong PSAT1 staining of tumor cells
Soft tissue – PSAT1 negative liposarcoma
Soft tissue – Sarcoma NOS with moderate PSAT1 staining of tumor cells
Stomach – Gastric adenocarcinoma (intestinal type) with faint PSAT1 staining of most tumor cells
Testis – Embryonal carcinoma with moderate to strong PSAT1 staining of tumor cells
Testis – Leydig cell tumor with faint PSAT1 staining of most tumor cells
Testis – PSAT1 negative seminoma
Thyroid – PSAT1 negative papillary carcinoma
Uterus, cervix – PSAT1 negative adenocarcinoma
   

| TOP |