Normal Tissue Gallery- GTX640563

PSAT1 antibody [HMV331] HistoMAXTM

 

Go to Cancer Tissue Gallery Go back to product page Go to HistoMAX page

 

Adrenal gland – Weak to moderate, predominantly cytoplasmic PSAT1 staining of a subset of cells
Aorta, media
Appendix, mucosa
Appendix, muscular wall
Bone marrow
Breast
Bronchus, mucosa
Cerebellum (white matter) – Strong, nuclear and cytoplasmic PSAT1 staining of glial cells
Cerebellum, cortex (molecular layer, Purkinje cell layer, granule cell layer) – Nuclear and cytoplasmic PSAT1 staining is particularly strong in a subset of glial cells between the molecular and the granule cell layer
Cerebrum, grey matter – Strong, nuclear and cytoplasmic PSAT1 staining, mainly of astrocytes
Cerebrum, white matter – Strong, nuclear and cytoplasmic PSAT1 staining, mainly of astrocytes
Colon descendens, mucosa – Distinct cytoplasmic and nuclear PSAT1 staining of few crypt cells
Colon descendens, muscular wall
Duodenum, Brunner gland – Distinct cytoplasmic and nuclear PSAT1 staining of some Brunner gland cells and of crypt cells of the duodenal mucosa
Duodenum, mucosa
Epididymis (Caput) – Faint cytoplasmic PSAT1 staining of few chief cells in this sample
Epididymis (Caput) – Moderate cytoplasmic and nuclear PSAT1 staining of chief cells in this sample
Epididymis (Cauda)
Esophagus, squamous epithelium – Moderate, nuclear and cytoplasmic PSAT1 staining of the basal cell layer of the epidermis
Fallopian tube, mucosa – Weak cytoplasmic and nuclear PSAT1 staining of a subset of cells
Fat
Gallbladder, epithelium
Heart muscle
Ileum, mucosa – Distict cytoplasmic and nuclear PSAT1 staining of few crypt cells
Kidney, cortex – Predominantly cytoplasmic PSAT1 staining of variable intensity in most tubuli in this sample
Kidney, cortex – Weak cytoplasmic PSAT1 staining of most tubuli in this sample
Kidney, medulla
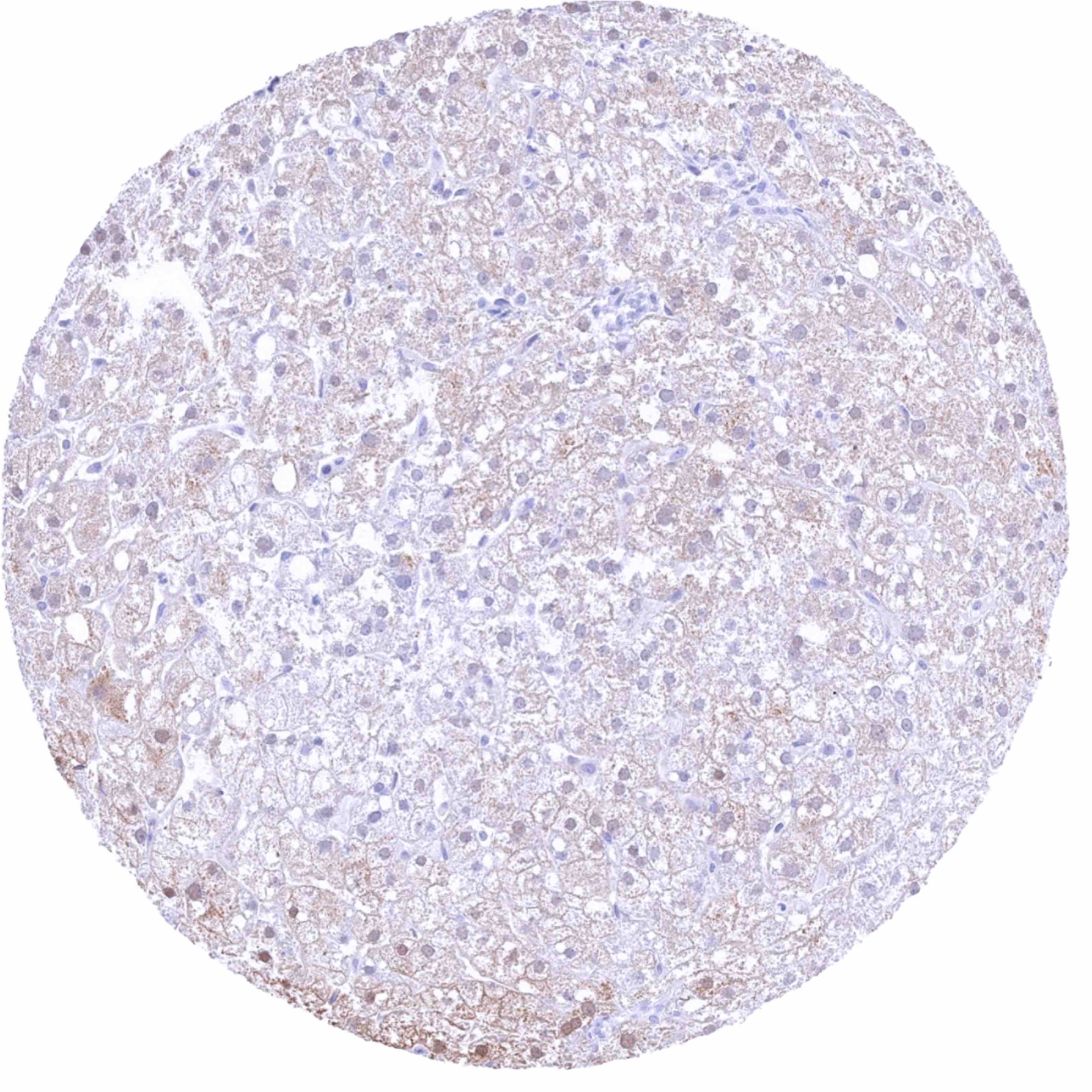
Liver – Weak, predominantly cytoplasmic PSAT1 staining of hepatocytes
Lung
Lymph node
Ovary, stroma (2)
Ovary, stroma
Pancreas – Cytoplasmic and nuclear PSAT1 staining of variable intensity of most acinar cells. Islet cells are PSAT1 negative
Parathyroid gland – Absence of PSAT1 staining in this sample
Parathyroid gland – Weak to moderate, predominantly cytoplasmic PSAT1 staining of a small subset of cells
Parotid gland
Pituitary gland, anterior lobe – Absence of PSAT1 staining of this sample
Pituitary gland, anterior lobe – Strong, predominantly cytoplasmic PSAT1 staining of a small subset of cells
Pituitary gland, posterior lobe
Placenta (amnion and chorion)
Placenta, early
Placenta, mature
Prostate
Rectum, mucosa – Distict cytoplasmic and nuclear PSAT1 staining of few crypt cells
Seminal vesicle
Sinus paranasales
Skeletal muscle
Skin – Mild PSAT1 cytoplasmic staining of most cells of the epidermis
Skin – PSAT1 staining is absent in this sample
Skin, hairfollicel and sebaceous glands – Moderate, cytoplasmic and nuclear PSAT1 staining of the epidermis, especially intense in basal and suprabasal cell layers
Spleen
Stomach, antrum – Weak cytoplasmic and nuclear PSAT1 staining of some glandular cells
Stomach, corpus – Weak cytoplasmic and nuclear PSAT1 staining of some glandular cells
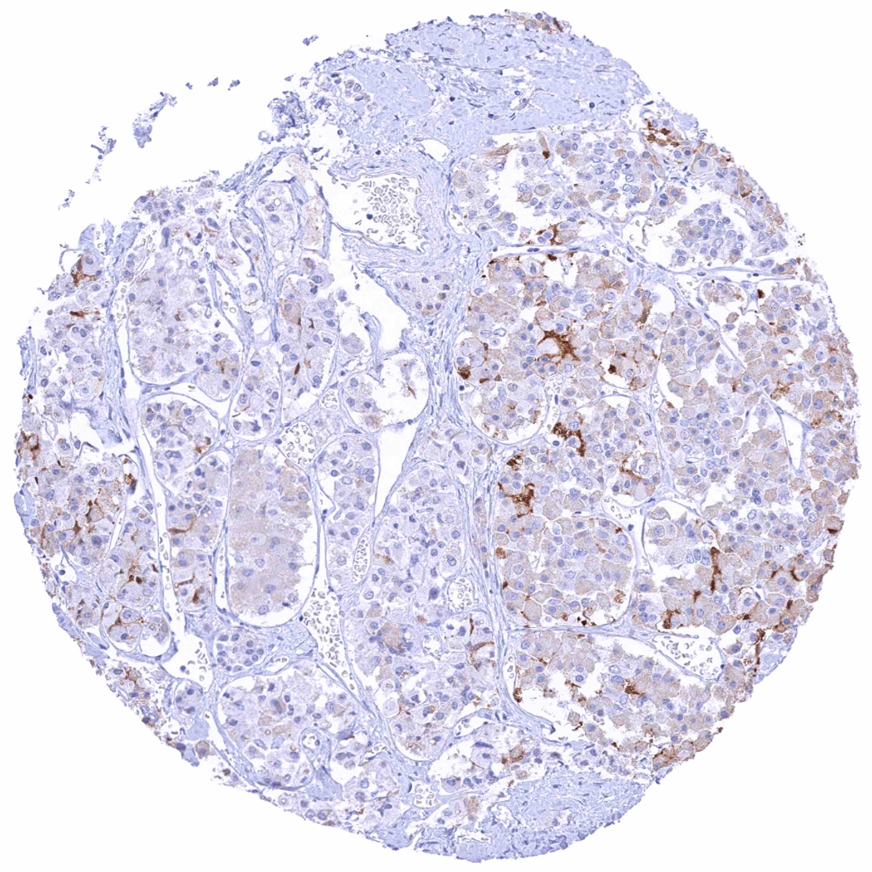
Sublingual gland – Cytoplasmic and nuclear PSAT1 staining of variable intensity of serous glandular cells in this sample
Testis – Weak to moderate cytoplasmic PSAT1 staining of Sertoli cells
Thymus – Distinct nuclear and cytoplasmic PSAT1 staining of thymic epithelial cells
Thyroid gland
Tongue, muscle
Tonsil, surface epithelium
Tonsil
Urinary bladder, muscular wall
Urinary bladder, urothelium – PSAT1 staining is largely lacking in urothelial cells of this sample
Urinary bladder, urothelium – Strong, granular cytoplasmic PSAT1 staining of most urothelial cells
Uterus, ectocervix
Uterus, endocervix
Uterus, endometrium (pregnancy)
Uterus, endometrium (proliferation) – Weak to moderate cytoplasmic and nuclear PSAT1 staining of few epithelial cells
Uterus, endometrium (proliferation)
Uterus, endometrium (secretion)
Uterus, myometrium
   

| TOP |