Cancer Tissue Gallery- GTX04965

Prostein antibody [MSVA-460R] HistoMAX™

 

Go to Normal Tissue Gallery
  
 Go back to product page
  

Go to HistoMAX page

 

Adrenal gland – Prostein negative adrenocortical adenoma

Adrenal gland – Prostein negative pheochromocytoma

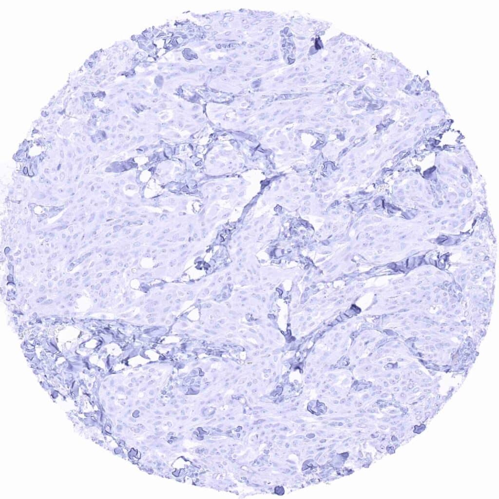
Breast – Prostein negative invasive lobular breast cancer

Breast – Prostein negative mucinous breast carcinoma

       

Breast – Prostein negative mucinous breast carcinoma

Esophagus – Adenocarcinoma showing weak, granular perinuclear Prostein staining of a fraction of tumor cells

Esophagus – Prostein negative squamous cell carcinoma

Kidney – Prostein negative clear cell carcinoma

       

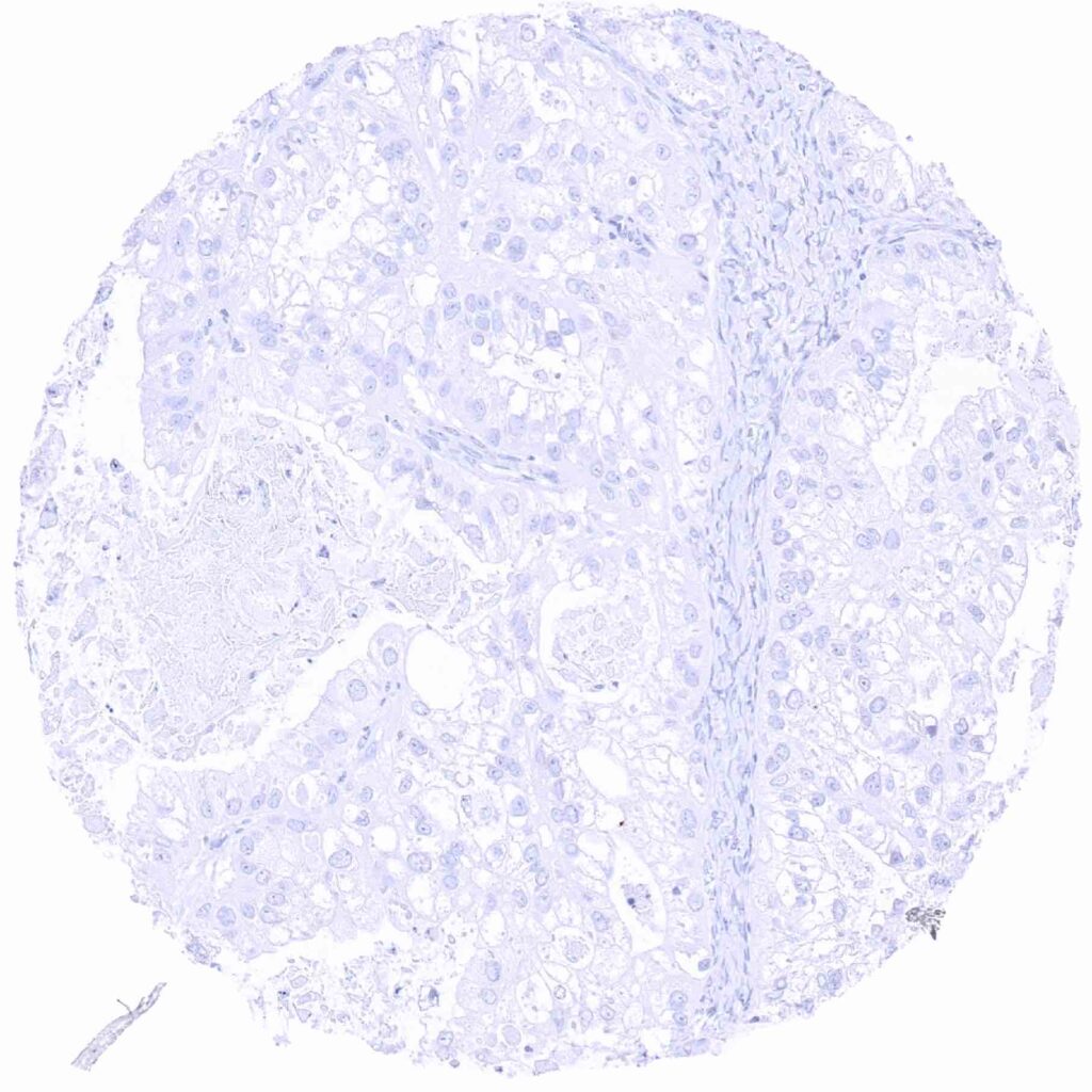
Kidney – Prostein negative papillary renal cell carcinoma

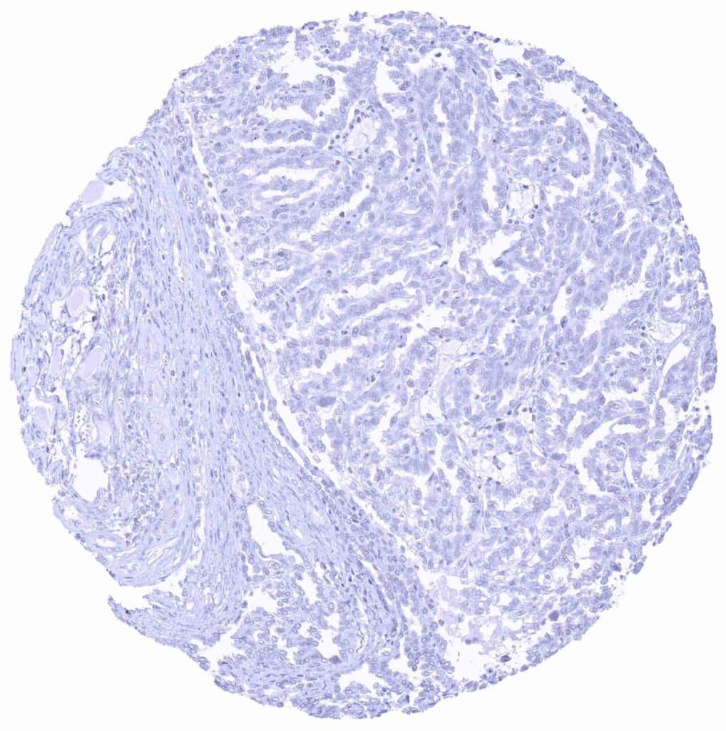
Liver – Prostein negative cholangiocellular carcinoma

Liver – Prostein negative hepatocellular carcinoma

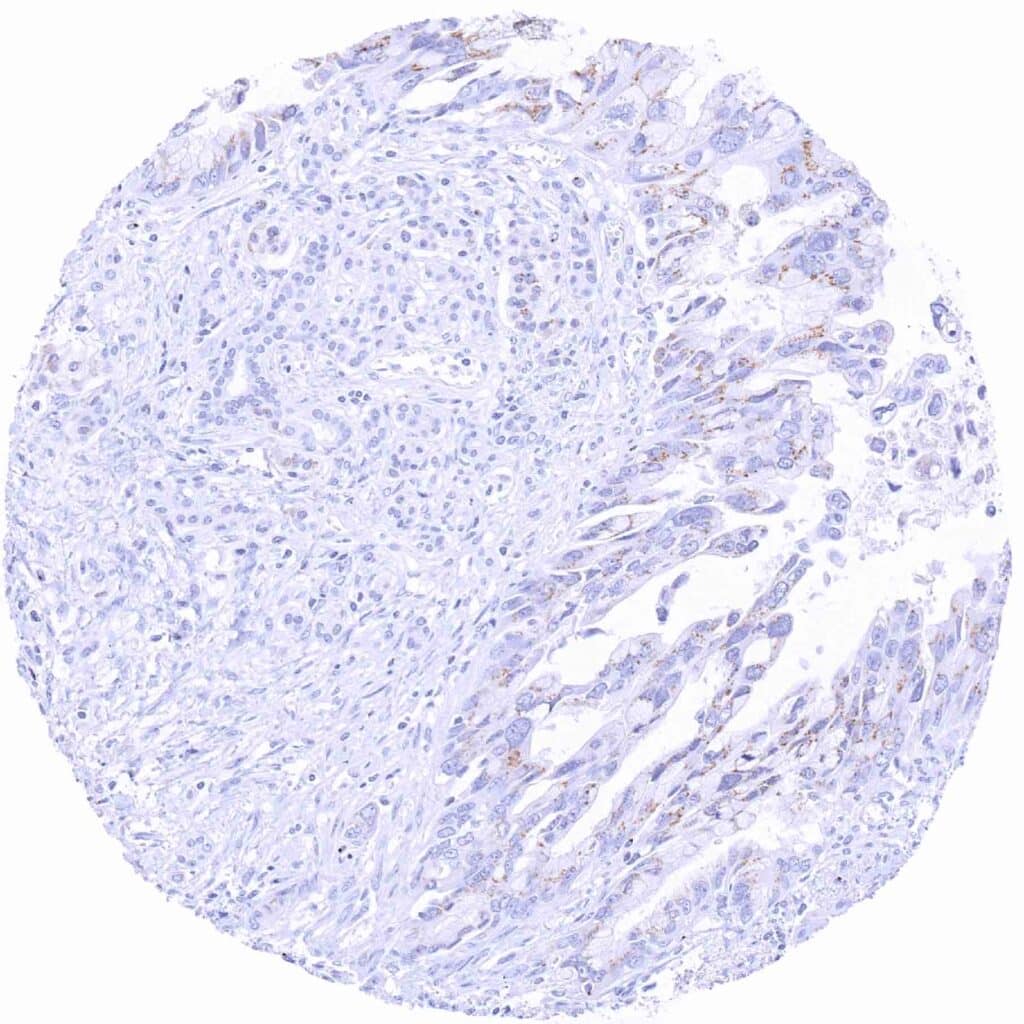
Lung – Malignant mesothelioma with showing granular perinuclear Prostein staining of a small fraction of tumor cells

       

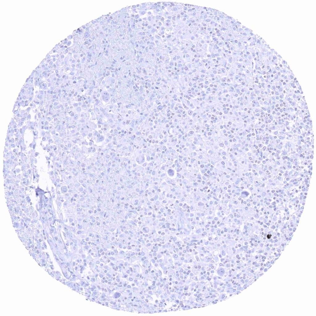
Lymph node – Prostein negative Hodgkin's lymphoma

Oral cavity – Prostein negative squamous cell carcinoma

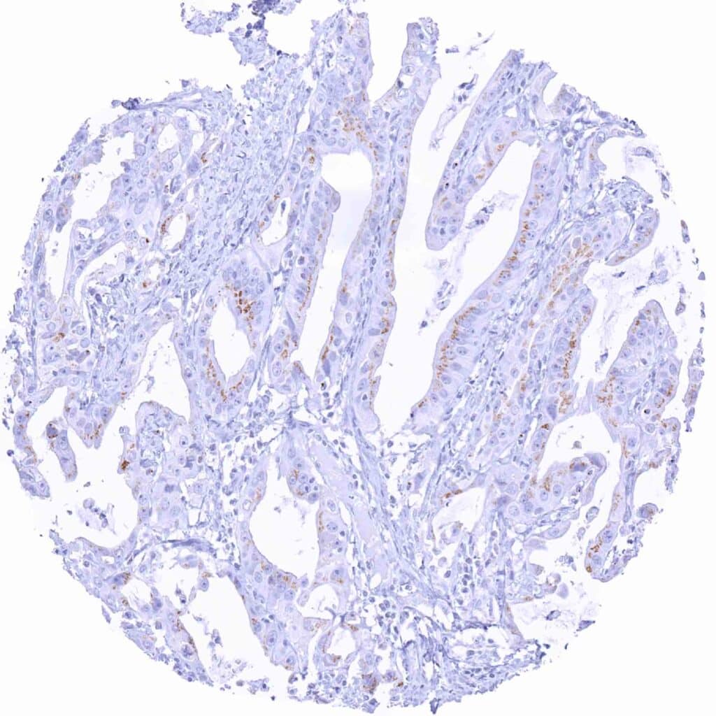
Ovary – Mucinous carcinoma showing weak to moderate granular perinuclear Prostein staining of tumor cells

Ovary – Prostein negative clear cell carcinoma

       

Ovary – Prostein negative serous high-grade carcinoma

Pancreas – Ductal adenocarcinoma showing moderate granular perinuclear Prostein staining of neoplastic cells

Pancreas – Ductal adenocarcinoma with weak granular perinuclear Prostein staining of most tumor cells

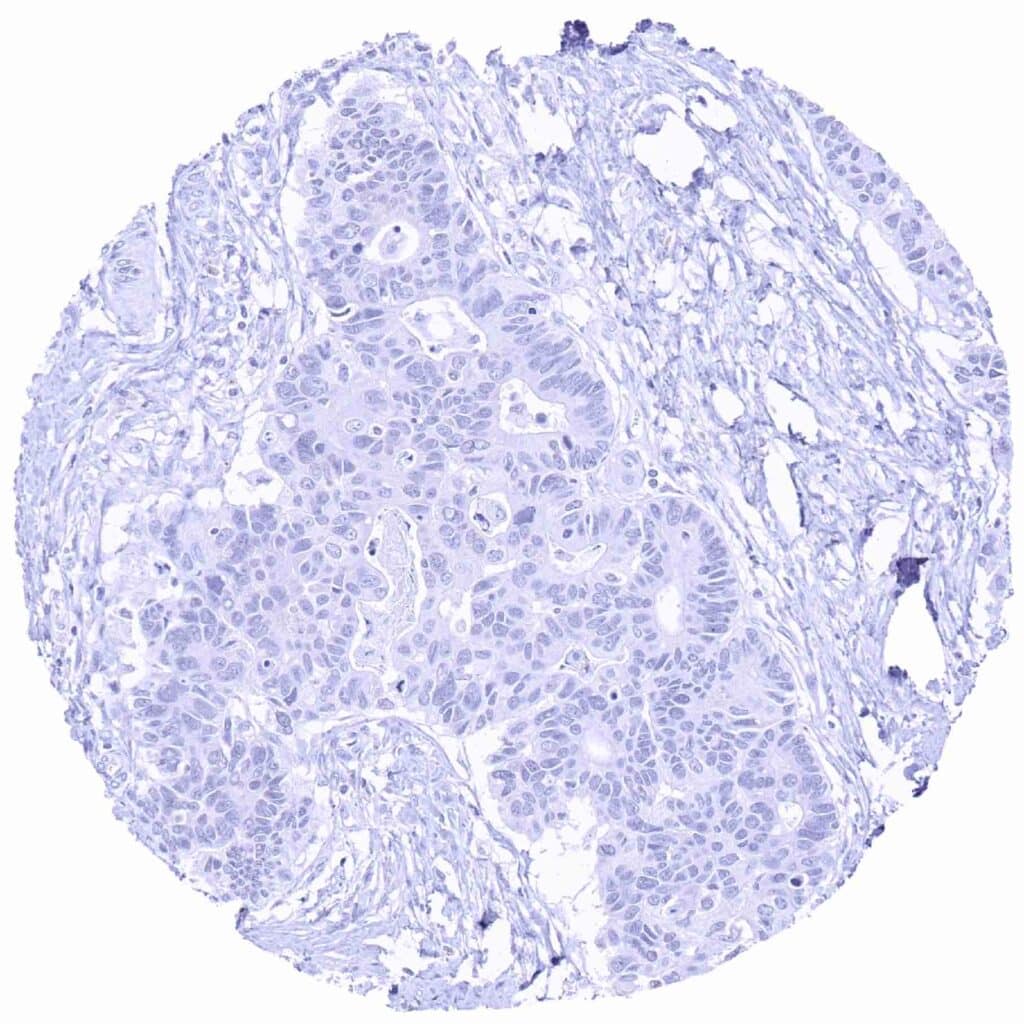
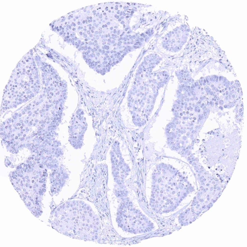
Pancreas – Prostein negative ductal adenocarcinoma

       

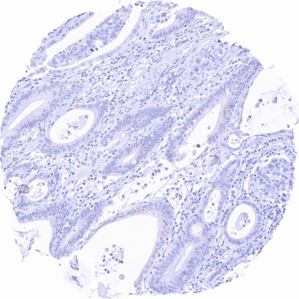
Pancreas – Prostein negative neuroendocrine tumor

Penis – Prostein negative squamous cell carcinoma

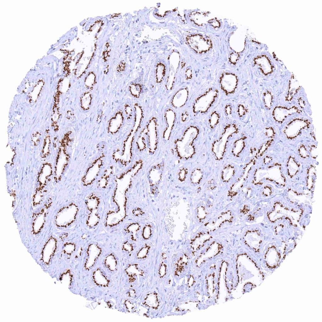
Prostate – Adenocarcinoma (Gleason 3+3=6) with strong Prostein immunostaining of tumor cells

Prostate – Adenocarcinoma (Gleason 3+3=6) with strong Prostein staining of tumor cells

       

Prostate – Adenocarcinoma (Gleason 4+4=8) exhibiting strong Prostein positivity of tumor cells

Prostate – Adenocarcinoma (Gleason 4+4=8) showing strong Prostein immunostaining of tumor cells

Prostate – Adenocarcinoma (Gleason 4+4=8) with strong Prostein positivity of all tumor cells

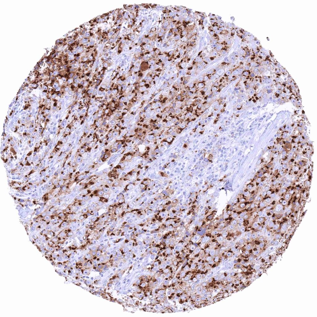
Prostate – Adenocarcinoma (Gleason 5+5=10) with strong Prostein immunostaining of tumor cells

       

Prostate – Adenocarcinoma (Gleason 5+5=10) with strong Prostein staining of all tumor cells

Prostate – Prostein negative small cell carcinoma

Salivary gland – Prostein negative Warthin tumor

Skin – Prostein negative Merkel cell carcinoma

       

Soft tissue – Prostein negative liposarcoma

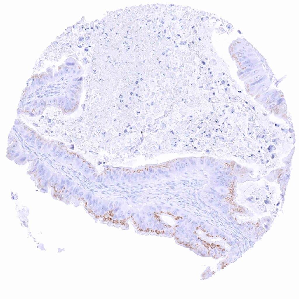
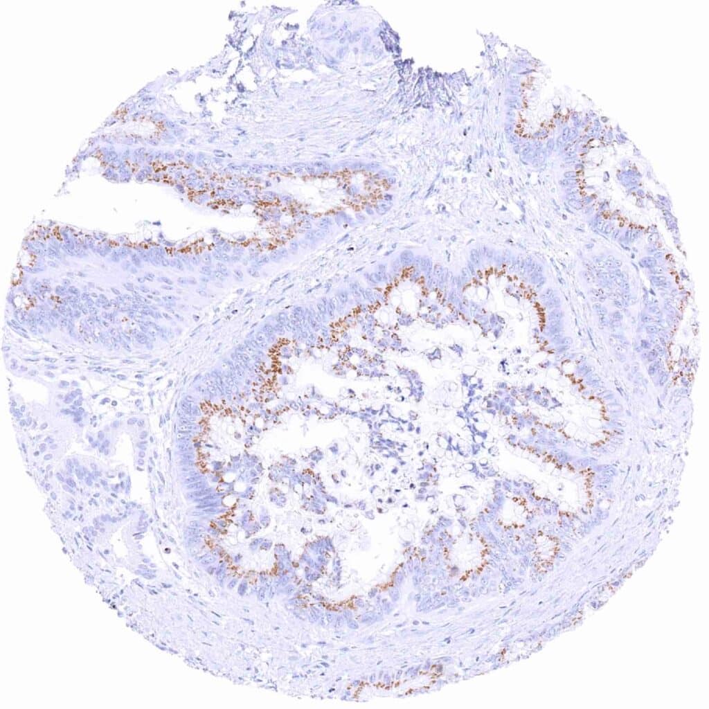
Stomach – Gastric adenocarcinoma showing weak granular perinuclear Prostein staining of most tumor cells

Stomach – Prostein negative adenocarcinoma

Stomach – Prostein negative gastrointestinal stromal tumor (GIST)

       

Testis – Prostein negative Leydig cell tumor

Testis – Prostein negative seminoma

Thyroid – Prostein negative medullary carcinoma

Thyroid – Prostein negative papillary carcinoma

       

Urinary bladder – Prostein negative muscle-invasive urothelial carcinoma

 

 

| TOP |