Cancer Tissue Gallery- GTX04449

S100A12 antibody [MSVA-812M] HistoMAXTM

 

Go to Normal Tissue Gallery
  
 Go back to product page
  

Go to HistoMAX page

 

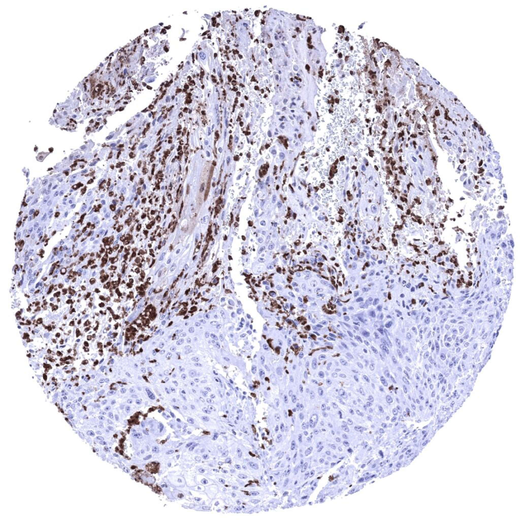
Anal canal – Squamous cell carcinoma showing a diffuse infiltration by S100A12 positive inflammatory cells.

Anal canal – Squamous cell carcinoma showing multiple aggregates of S100A12 positive inflammatory cells.

Breast – Invasive breast cancer of no special type (NST) showing a dense infiltrate of S100A12 positive inflammatory cells.

Breast – Invasive lobular breast cancer lacking S100A12 positive cells

       

Colon – Colorectal adenocarcinoma showing numerous S100A12 positive granulocytes in the stroma and within tumor glands

Esophagus – Adenocarcinoma containing numerous S100A12 positive granulocytes in tumor glands and the stroma.

Kidney – Chromophobe renal cell carcinoma containing only a a small number of S100A12 positive inflammatory cells.

Kidney – Clear cell renal cell carcinoma showing very few S100A12 positive inflammatory cells.

       

Kidney – Papillary renal cell carcinoma showing very few S100A12 positive inflammatory cells.

Larynx – Squamous cell carcinoma showing numerous S100A12 positive inflammatory cells in its tumor stroma.

Liver – Hepatocellular carcinoma comprising numerous S100A12 positive inflammatory cells.

Lung – Small cell carcinoma containing numerous S100A12 positive inflammatory cells.

       

Lymph node – Diffuse large B-cell lymphoma containing few S100A12 positive granulocytes.

Lymph node – Follicular B-cell lymphoma containing a small number of S100A12 positive granulocytes.

Lymph node – Hodgkin’s lymphoma comprising few S100A12 positive inflammatory cells.

Lymph node – Hodgkin’s lymphoma showing only one S100A12 positive inflammatory cell.

       

Ovary – Endometroid carcinoma showing multiple S100A12 positive inflammatory cells in its tumor stroma.

Ovary – Serous high-grade carcinoma depicting few S100A12 positive granulocytes in its stroma.

Pancreas – Ductal adenocarcinoma lacking S100A12 positive cells.

Pancreas – Neuroendocrine tumor showing a dense lymphocytic infiltration but lacking S100A12 positive inflammatory cells.

       

Prostate – Adenocarcinoma (Gleason 3+3=6) not showing any S100A12 positive cells.

Prostate – Adenocarcinoma (Gleason 4+4=8) lacking S100A12 positive cells.

Skin – Squamous cell carcinoma containing with very few S100A12 positive inflammatory cells.

Soft tissue – Giant cell tumor of the tendon showing a complete lack of S100A12 positive cells.

       

Soft tissue – Leiomyosarcoma containing a few S100A12 positive cells, probably located within capillaries.

Stomach – Gastric adenocarcinoma, densly infiltrated by S100A12 positive granulocytes.

Stomach – Gastrointestinal stromal tumor (GIST) not showing any S100A12 positive cells.

Testis – Leydig cell tumor lacking S100A12 positive cells.

       

Testis – Seminoma showing a dense lymphocytic infiltration but lacking S100A12 positive inflammatory cells.

Thyroid – Medullary carcinoma lacking S100A12 positive cells.

Urinary bladder – Muscle-invasive urothelial carcinoma containing multiple aggregates of S100A12 positive inflammatory cells.

Vagina – Squamous cell carcinoma showing a dense infiltrate of S100A12 positive inflammatory cells.

       

 

| TOP |