Cancer Tissue Gallery- GTX04459

SOX9 antibody [MSVA-709R] HistoMAXTM

 

Go to Normal Tissue Gallery
  
 Go back to product page
  

Go to HistoMAX page

 

Colon – Colorectal adenocarcinoma with moderate to strong SOX9 immunostaining of tumor cells

Esophagus – Adenocarcinoma with strong SOX9 staining of most tumor cells

Esophagus – SOX9 negative adenocarcinoma

Esophagus – Squamous cell carcinoma with strong SOX9 immunostaining of most tumor cells

       

Kidney – SOX9 negative clear cell carcinoma

Kidney – SOX9 negative oncocytoma

Liver – Hepatocellular carcinoma with weak to moderate SOX9 immunostaining of most tumor cells

Lymph node – SOX9 negative diffuse large B-cell lymphoma

       

Lymph node – Diffuse large B-cell lymphoma with moderate to strong SOX9 immunostaining of most tumor cells

Lymph node – Follicular B-cell lymphoma with weak to moderate SOX9 staining of a small fraction of cells

Lymph node – SOX9 negative Hodgkin’s lymphoma

Oral cavity – Squamous cell carcinoma with weak to moderate SOX9 staining of tumor cells

       

Ovary – Endometroid carcinoma with moderate to strong SOX9 staining of tumor cells

Ovary – Malignant mixed Mullerian tumor with moderate to strong SOX9 immunostaining of tumor cells

Ovary – Serous high-grade carcinoma with moderate to strong SOX9 immunostaining of most tumor cells

Ovary – SOX9 negative clear cell carcinoma

       

Pancreas – Adenocarcinoma of the papilla Vaterii with moderate to strong SOX9 staining of tumor cells

Pancreas – Neuroendocrine tumor lacking SOX9 immunostaining in tumor cells

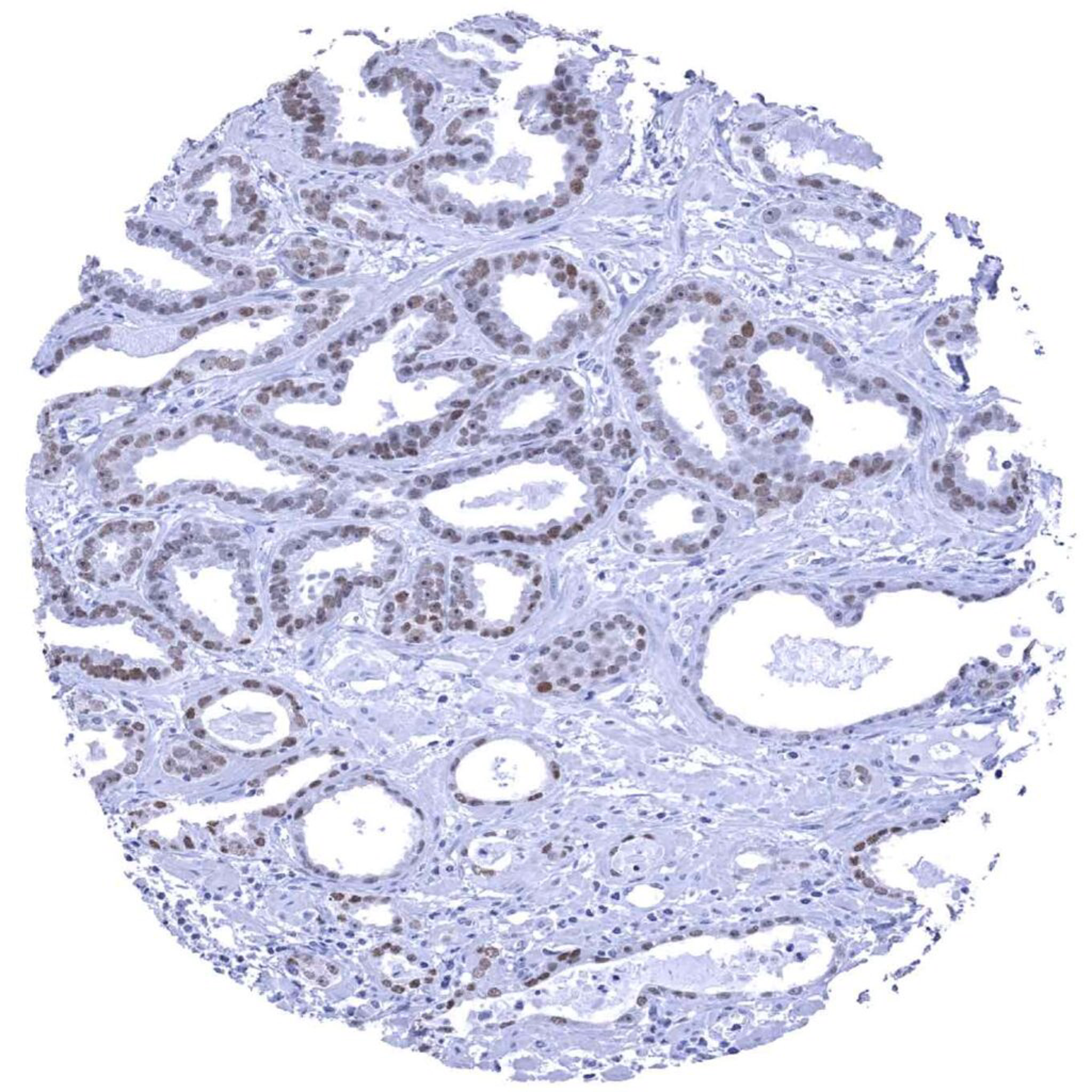
Prostate – Adenocarcinoma (Gleason 3+3=6) with weak to moderate SOX9 staining of tumor cells

Prostate – Small cell carcinoma with strong SOX9 positivity of tumor cells

       

Prostate – SOX9 negative adenocarcinoma (Gleason 3+3=6)

Salivary gland – Basal cell adenoma with strong SOX9 staining of all tumor cells

Salivary gland – Warthin tumor with strong SOX9 staining of most epithelial tumor cells

Skin – Basal cell carcinoma with moderate to strong SOX9 immunostaining of neoplastic cells

       

Skin – Malignant melanoma with a moderate SOX9 positivity of most tumor cells

Skin – Merkel cell carcinoma with SOX9 staining of variable intensity in most tumor cells

Soft tissue – Leiomyosarcoma with weak to moderate SOX9 positivity of a fraction of tumor cells

Stomach – Gastric adenocarcinoma (diffuse type) with intense SOX9 immunostaining of tumor cells

       

Stomach – Gastric adenocarcinoma (intestinal type) with strong SOX9 positivity of tumor cells

Stomach – SOX9 negative gastrointestinal stromal tumor (GIST)

Testis – Sertoli cell tumor with strong SOX9 staining of a small fraction of tumor cells

Testis – SOX9 negative seminoma

       

Thyroid – SOX9 negative medullary carcinoma

Thyroid – SOX9 negative papillary carcinoma

Urinary bladder – Muscle-invasive urothelial carcinoma with strong SOX9 immunostaining of most tumor cells

Urinary bladder – Small cell carcinoma with strong SOX9 immunostaining of all tumor cells

       

Uterus, cervix – Adenocarcinoma with strong SOX9 positivity of 100_ of tumor cells

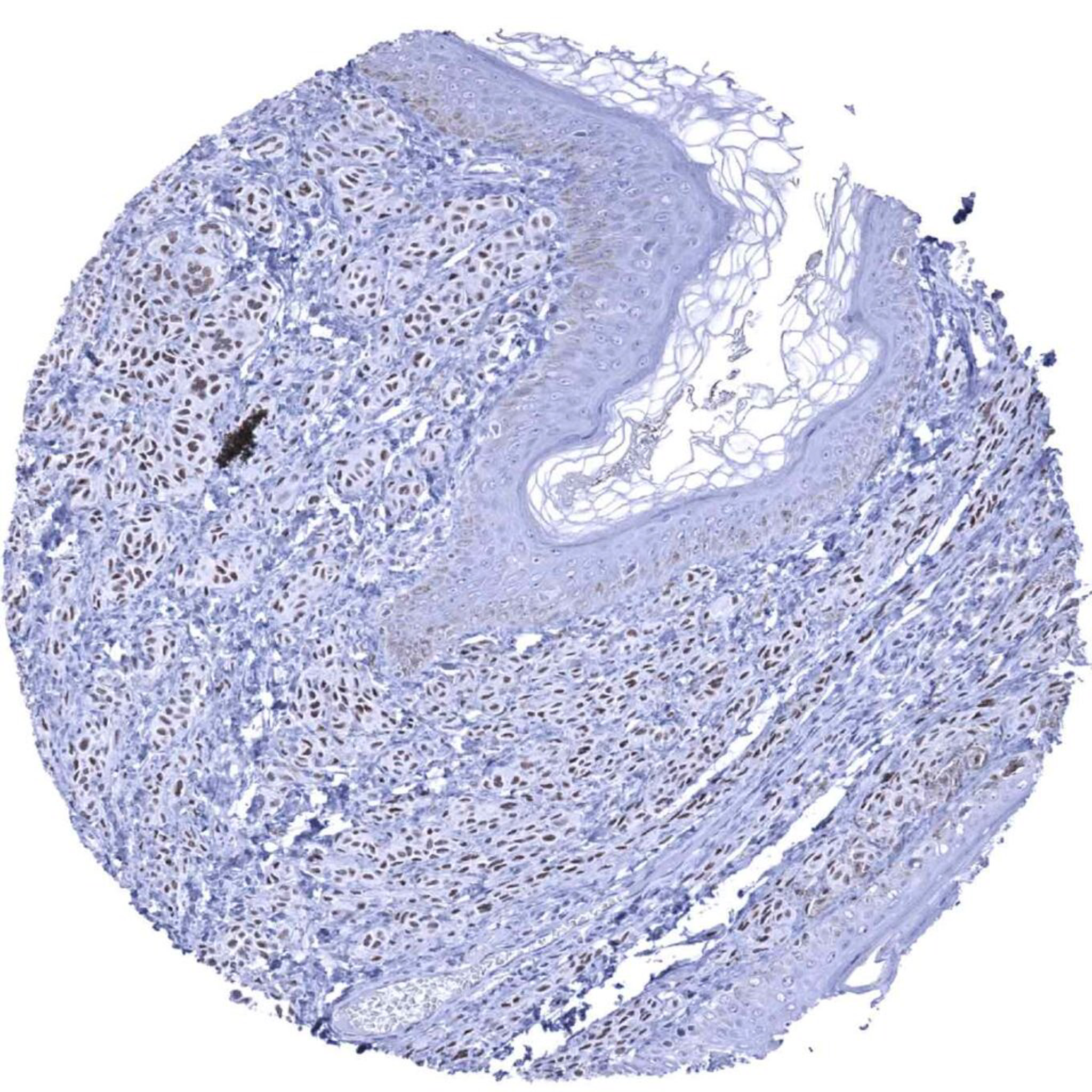
Uterus, cervix – SOX9 negative squamous cell carcinoma

   

 

| TOP |