Cancer Tissue Gallery- GTX04484

STING antibody [MSVA-515M] HistoMAXTM

 

Go to Normal Tissue Gallery
  
 Go back to product page
  

Go to HistoMAX page

 

    

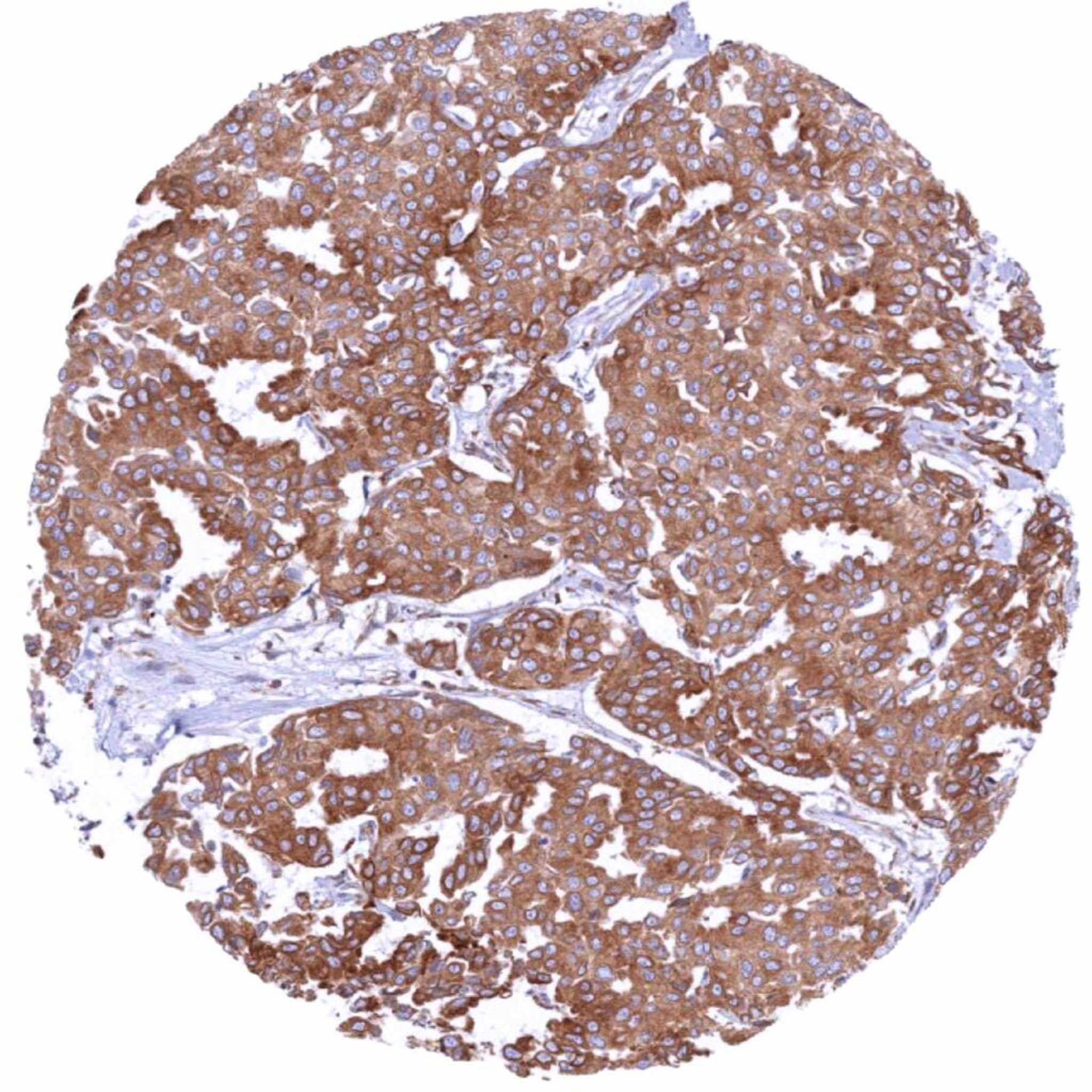
reast – Invasive breast cancer of no special type (NST) with strong STING staining of tumor cells (STING1 immunohistochemistry)

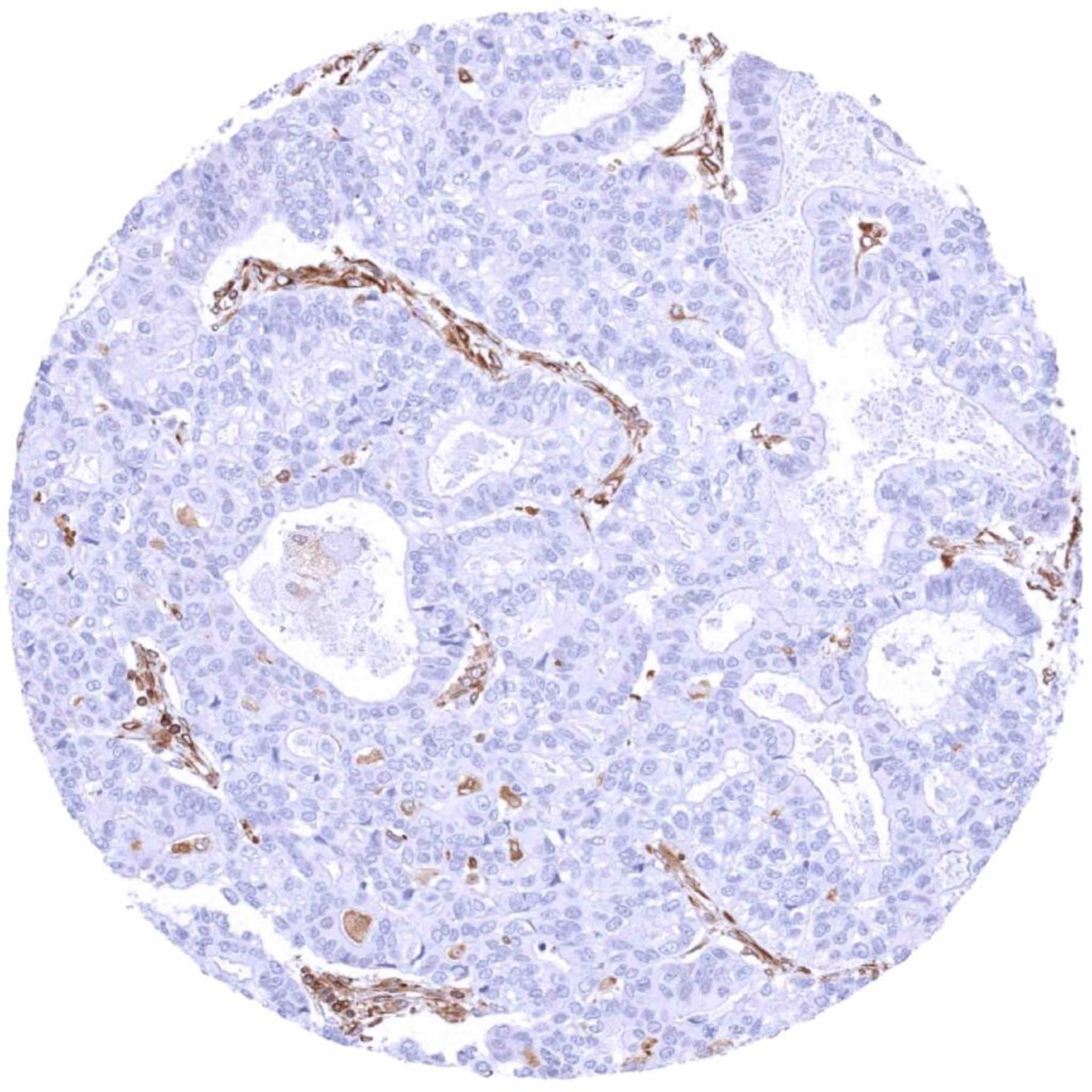
reast – STING negative invasive breast cancer of no special type (NST). Inflammatory cells and capillaries are STING positive (STING1 immunohistochemistry)

Colon – Colorectal adenocarcinoma with moderate to strong STING immunostaining of tumor cells (STING1 immunohistochemistry)

Colon – Colorectal adenocarcinoma with strong STING immunostaining of tumor cells. Tumor-adjacent inflammatory cells are also strongly positive (STING1 immunohistochemistry)

       

    

Colon – Colorectal adenocarcinoma with variable, weak to moderate STING staining of tumor cells. Inflammatory cells and capillaries show stronger STING staining (STING1 immunohistochemistry)

Colon – STING negative colorectal adenocarcinoma. Inflammatory cells and capillaries are STING positive (STING1 immunohistochemistry)

Esophagus – Squamous cell carcinoma with strong STING immunostaining of tumor cells, inflammatory cells, and capillaries (STING1 immunohistochemistry)

Esophagus – STING negative squamous cell carcinoma. Inflammatory cells and capillaries are STING positive (STING1 immunohistochemistry)

       

    

Kidney – Oncocytoma with strong STING immunostaining of all tumor cells (STING1 immunohistochemistry)

Kidney – STING negative clear cell carcinoma. Inflammatory cells and capillaries are STING positive (STING1 immunohistochemistry)

Kidney – STING negative papillary renal cell carcinoma. Only inflammatory cells and capillaries show STING staining (STING1 immunohistochemistry)

Pancreas – Ductal adenocarcinoma with faint STING immunostaining of tumor cells. Inflammatory cells and capillaries show stronger STING staining (STING1 immunohistochemistry)

       

    

Pancreas – Ductal adenocarcinoma with strong STING positivity of all tumor cells (STING1 immunohistochemistry)

Pancreas – STING negative acinar cell carcinoma. Inflammatory cells and capillaries are STING positive (STING1 immunohistochemistry)

Pancreas – STING negative ductal adenocarcinoma. Inflammatory cells and endothelial cells of capillaries are STING positive (STING1 immunohistochemistry)

Prostate – STING negative adenocarcinoma (Gleason 3+3=6). Inflammatory cells and capillaries are STING positive (STING1 immunohistochemistry)

       

    

Testis – STING negative Leydig cell tumor. Few inflammatory cells and all capillaries are STING positive (STING1 immunohistochemistry)

Testis – STING negative seminoma. Inflammatory cells and capillaries are STING positive (STING1 immunohistochemistry)

Uterus, cervix – Squamous cell carcinoma with strong STING immunostaining of all tumor cells (STING1 immunohistochemistry)

Uterus, cervix – STING negative squamous cell carcinoma. Inflammatory cells and capillaries are STING positive (STING1 immunohistochemistry)

       

 

| TOP |