Cancer Tissue Gallery- GTX04488

TFF1 antibody [MSVA-482M] HistoMAXTM

 

Go to Normal Tissue Gallery
  
 Go back to product page
  

Go to HistoMAX page

 

Adrenal gland – TFF1 negative adrenocortical adenoma

Breast – Invasive breast cancer of no special type (NST) with strong TFF1 immunostaining of most tumor cells

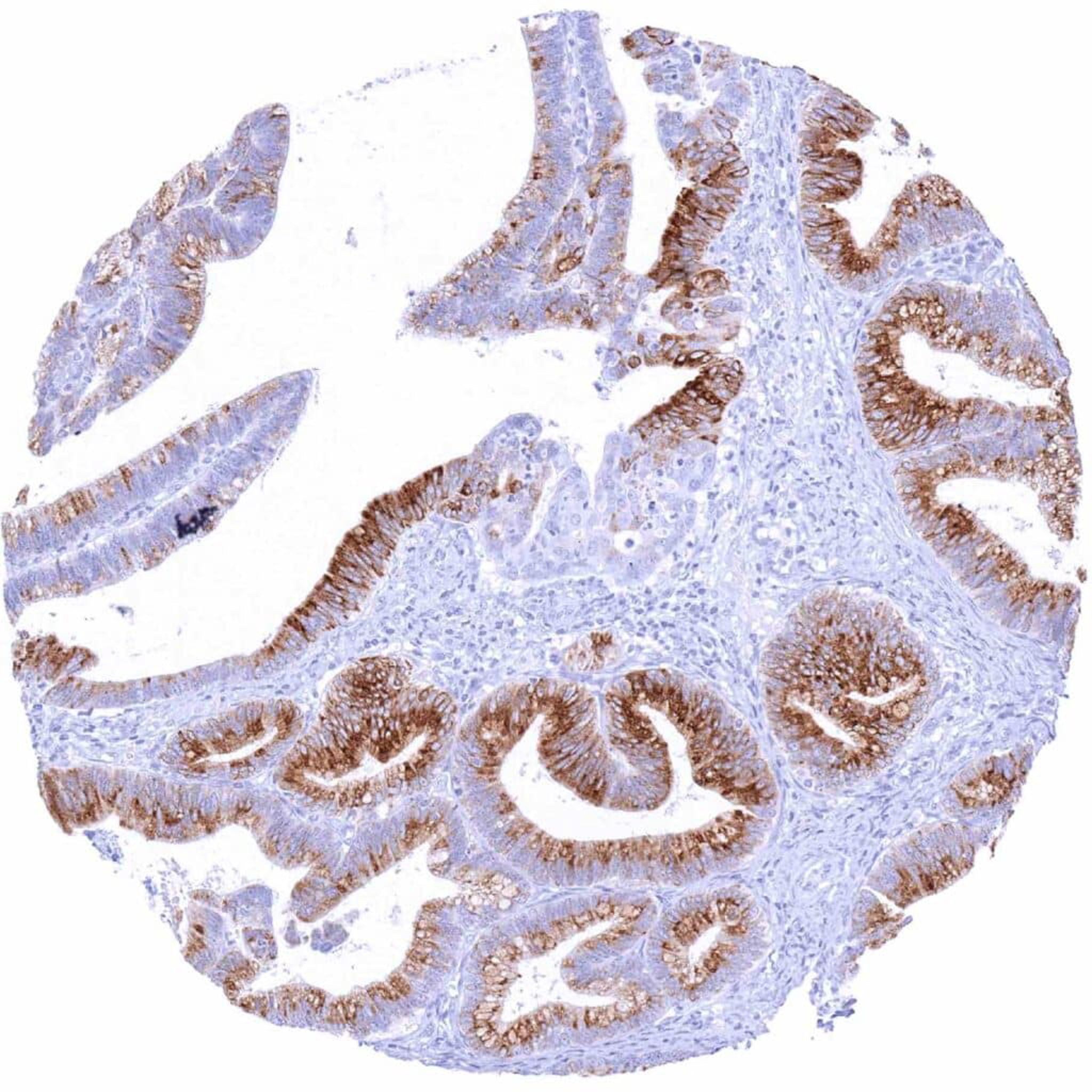
Colon – Colorectal adenocarcinoma with weak to moderate TFF1 positivity of most tumor cells

Esophagus – Adenocarcinoma with strong TFF1 positivity of tumor cells

       

Esophagus – TFF1 negative squamous cell carcinoma

Kidney – TFF1 negative clear cell carcinoma

Kidney –TFF1 negative papillary renal cell carcinoma

Liver – Cholangiocellular carcinoma with strong TFF1 positivity of all tumor cells

       

Liver – TFF1 negative hepatocellular carcinoma

Lung – Mucinous adenocarcinoma with moderate to strong TFF1 staining of most tumor cells

Lung – TFF1 negative squamous cell carcinoma

Lymph node – TFF1 negative diffuse large B-cell lymphoma

       

Lymph node – TFF1 negative Hodgkin's lymphoma

Oral cavity – TFF1 negative squamous cell carcinoma

Ovary – Mucinous carcinoma with intense TFF1 immunostaining of tumor cells

Ovary – TFF1 negative clear cell carcinoma

       

Ovary – TFF1 negative serous high-grade carcinoma

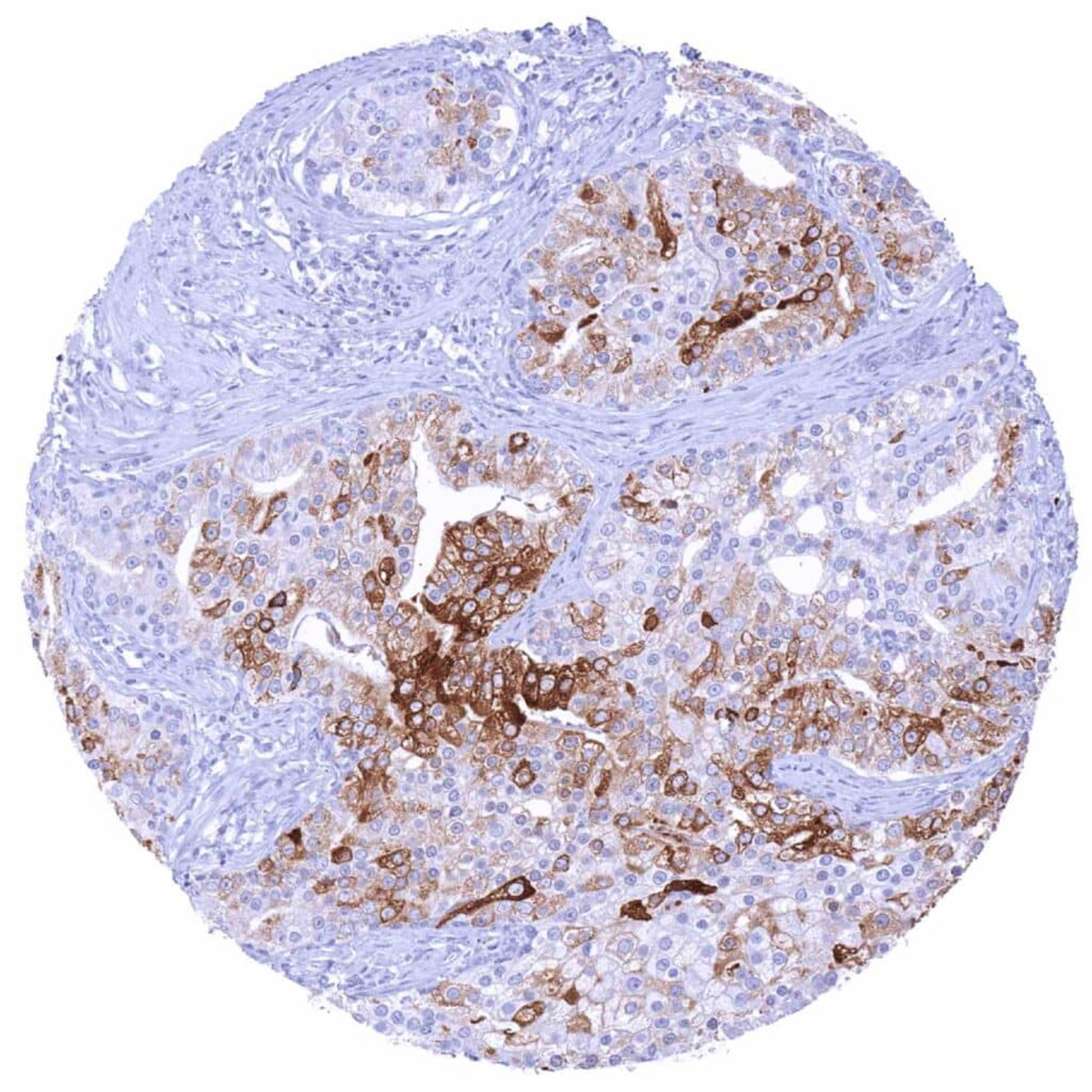
Pancreas – Ductal adenocarcinoma with strong TFF1 staining of all tumor cells

Pancreas – Neuroendocrine tumor with strong TFF1 staining of tumor cells

Prostate – Adenocarcinoma (Gleason 4+4=8) with moderate to strong TFF1 staining of a large fraction of tumor cells

       

Prostate –TFF1 negative adenocarcinoma (Gleason 3+3=6)

Salivary gland – TFF1 negative Warthin tumor

Skin – TFF1 negative basal cell carcinoma

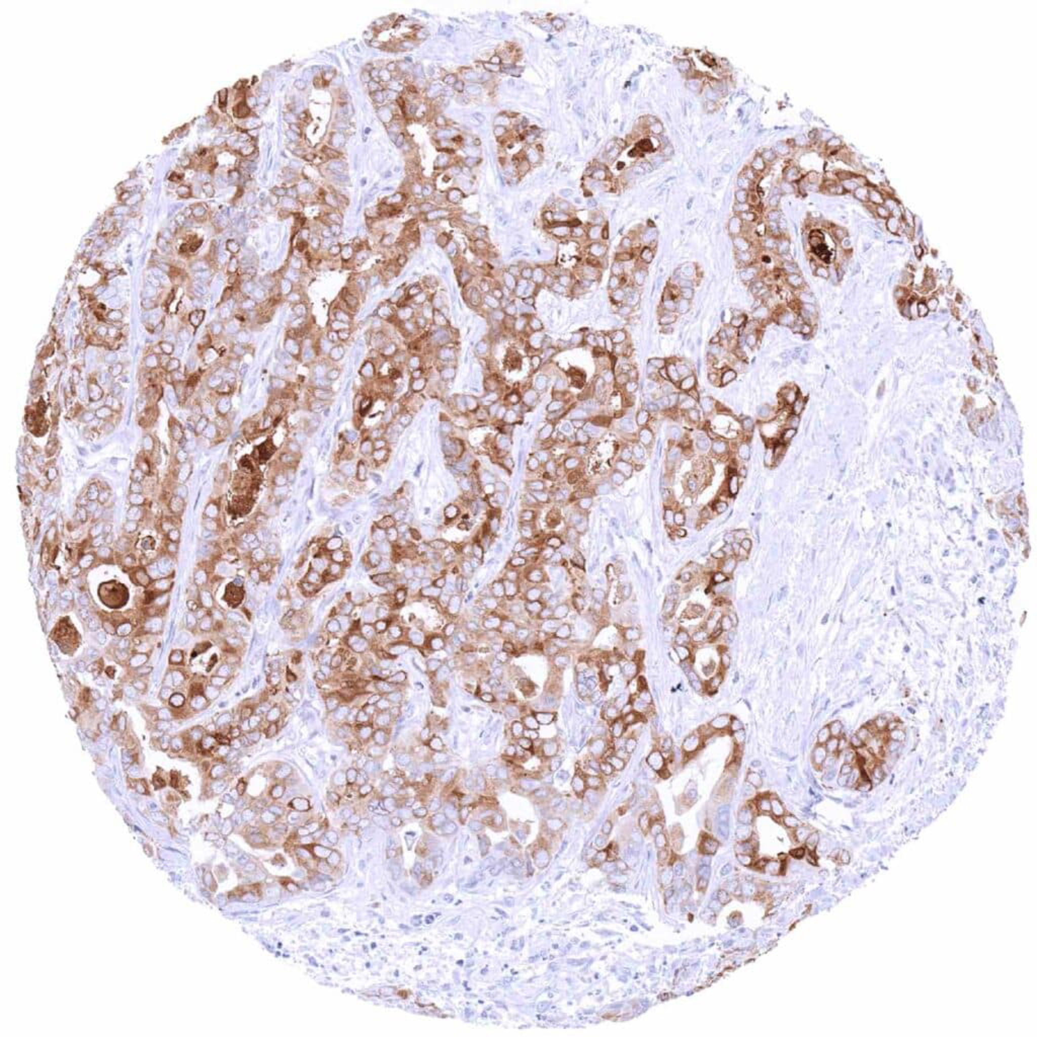
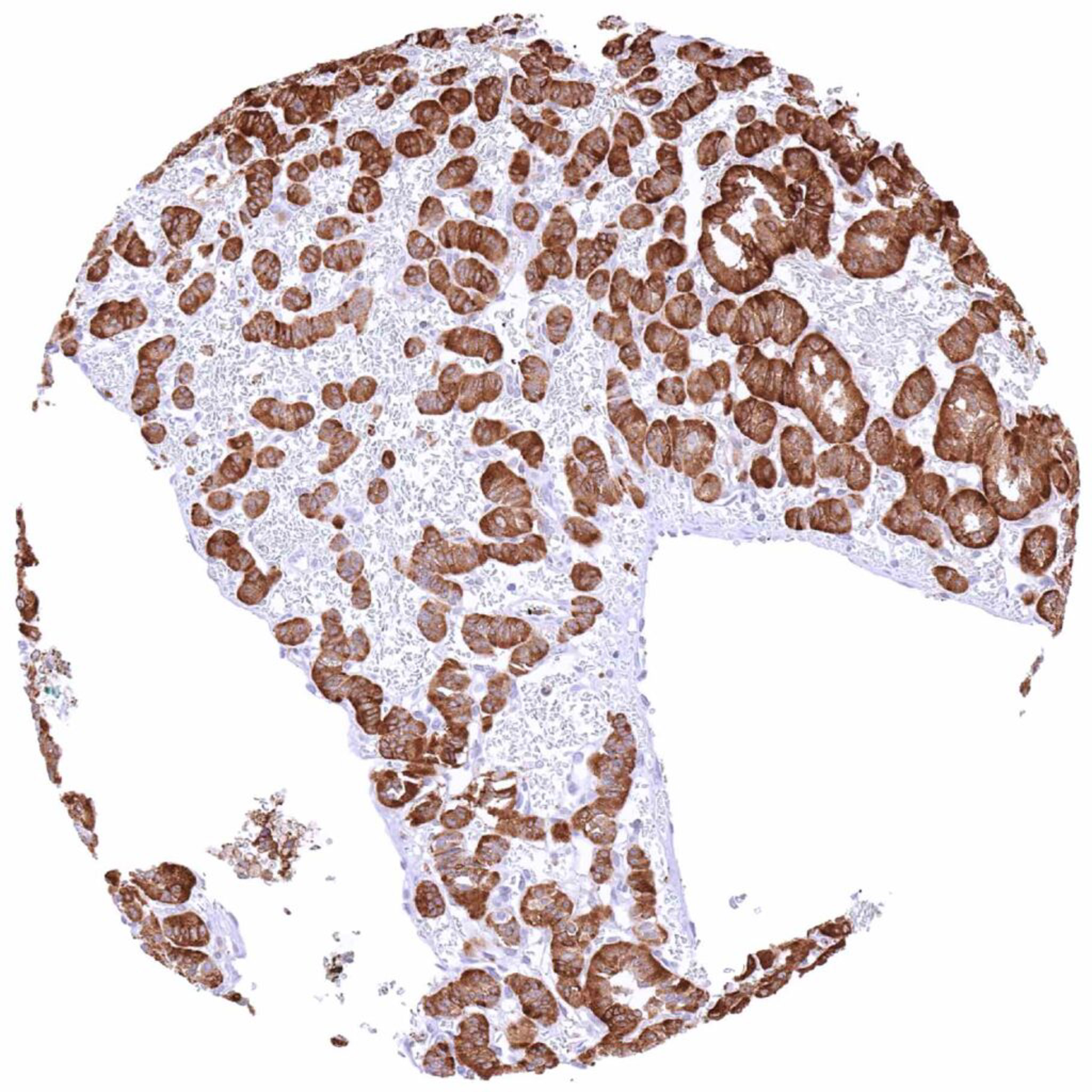
Stomach – Gastric adenocarcinoma (diffuse type) with intense TFF1 immunostaining of all tumor cells

       

Stomach – Gastric adenocarcinoma (intestinal type) with moderate TFF1 staining of a subset of tumor cells

Stomach – TFF1 negative gastrointestinal stromal tumor (GIST)

Testis – TFF1 negative seminoma

Thyroid – Papillary carcinoma with “dot-like” perinuclear TFF1 staining of a fraction of tumor cells

       

Thyroid – TFF1 negative medullary carcinoma

Urinary bladder – Muscle-invasive urothelial carcinoma with moderate to strong TFF1 immunostaining of most tumor cells

Urinary bladder – Non-invasive urothelial carcinoma (low grade, pTaG2) with moderate to strong TFF1 immunostaining of a significant subset of tumor cells

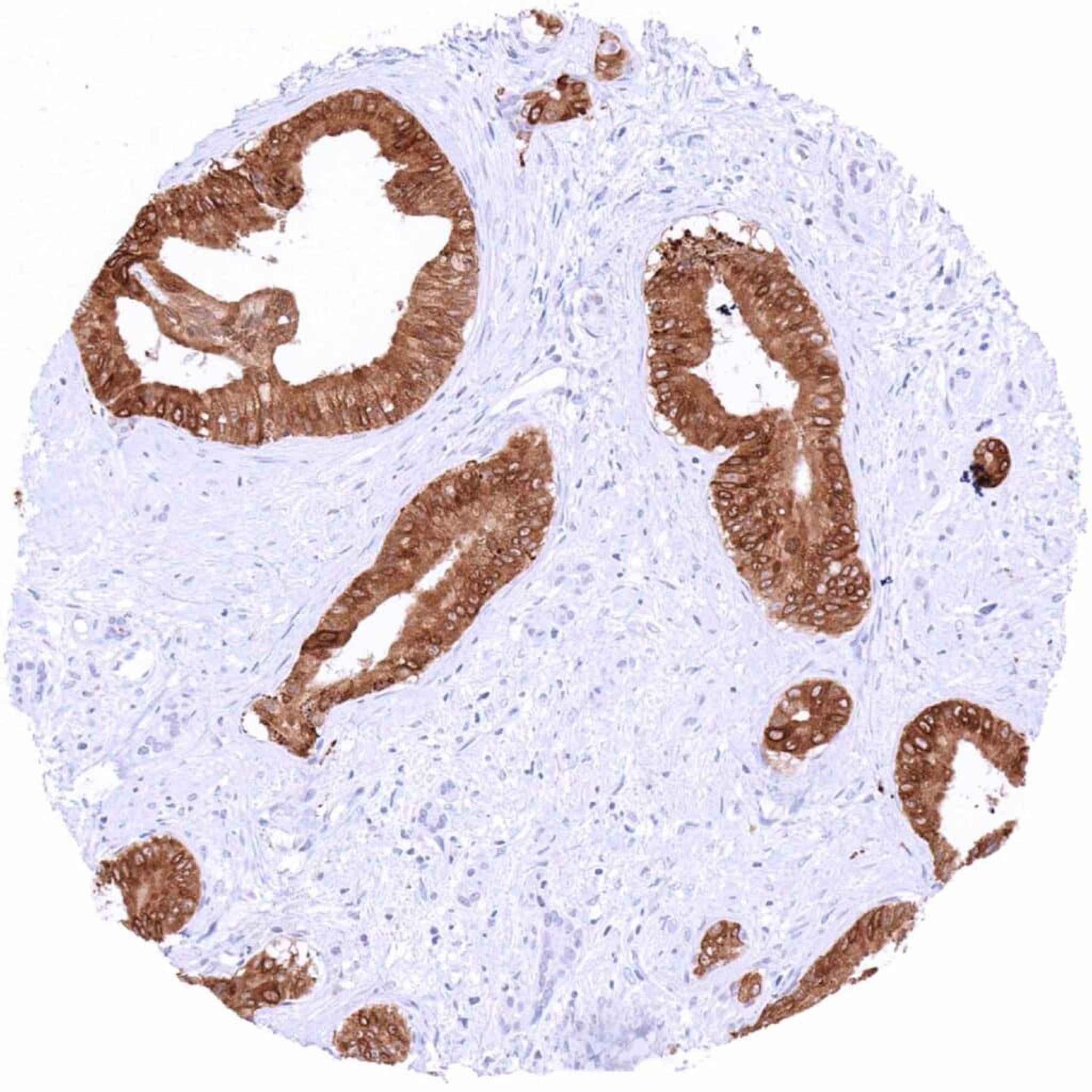
Uterus, cervix – Adenocarcinoma with moderate to strong TFF1 immunostaining of tumor cells

       

Uterus, cervix – Adenocarcinoma with strong TFF1 staining of most tumor cells

 

 

| TOP |