Cancer Tissue Gallery- GTX04440

TIM-3 antibody [MSVA-366R] HistoMAXTM

 

Go to Normal Tissue Gallery
  
 Go back to product page
  

Go to HistoMAX page

 

Adrenal gland- TIM3 negative pheochromocytoma exhibiting few TIM3 positive inflammatory cells.

Colon- TIM3 negative colorectal adenocarcinoma containing numerous TIM3 positive inflammatory cells.

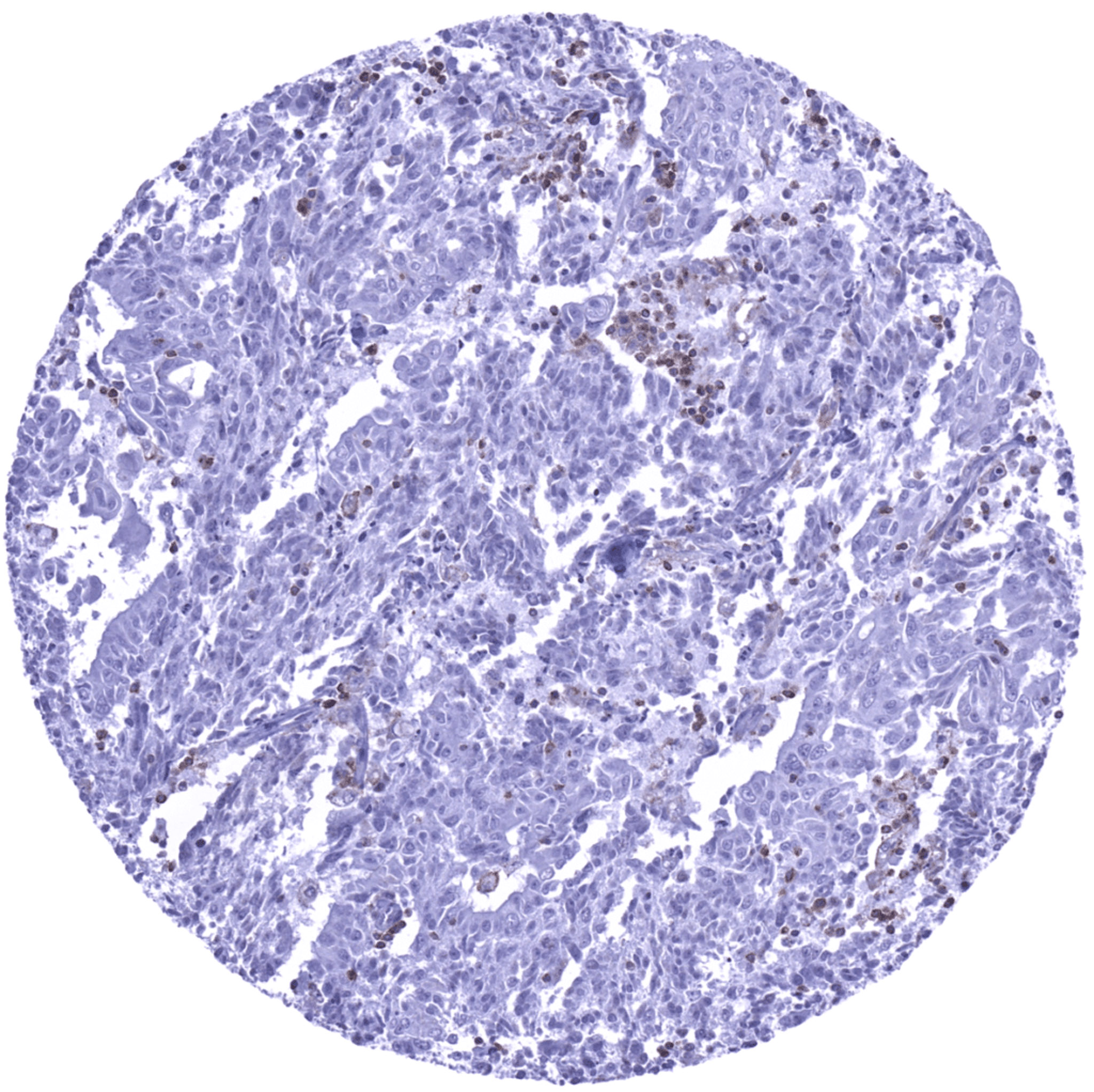
Esophagus- TIM3 negative adenocarcinoma showing a large number of TIM3 positive macrophages and lymphocytes.

Kidney- Clear cell renal cell carcinoma showing intense membranous TIM3 immunostaining of the majority of tumor cells.

       

Kidney- Papillary renal cell carcinoma showing strong membranous, predominantly apical TIM3 immunostaining of tumor cells.

Kidney- TIM3 negative papillary renal cell carcinoma containing numerous TIM3 positive macrophages.

Lymph node- TIM3 negative diffuse large B-cell lymphoma displaying a large number of tumor associated TIM3 positive macrophages and lymphocytes.

Lymph node- TIM3 negative Hodgkin’s lymphoma with a large number of TIM3 positive macrophages and lymphocytes.

       

Oral cavity- TIM3 negative squamous cell carcinoma containing numerous TIM3 positive macrophages and also lymphocytes.

Ovary- TIM3 negative serous high-grade carcinoma containing scattered TIM3 positive inflammatory cells.

Pancreas- TIM3 negative ductal adenocarcinoma containing some TIM3 positive inflammatory cells.

Skin- TIM3 negative Merkel cell carcinoma exhibiting numerous TIM3 positive lymphocytes.

       

Soft tissue- Giant cell tumor of the tendon sheath showing a dense infiltrate of TIM3 positive histiocytic cells.

Soft tissue- Liposarcoma showing moderate TIM3 immunostaining of the majority of tumor cells.

Soft tissue- Sarcoma NOS with moderate TIM3 immunostaining of tumor cells.

Soft tissue- TIM3 negative leiomyosarcoma with only few scattered TIM3 positive inflammatory cells.

       

Stomach- TIM3 negative gastric adenocarcinoma (diffuse type) with numerous TIM3 positive macrophages and lymphocytes.

Stomach- TIM3 negative gastric adenocarcinoma (intestinal type) containing some TIM3 positive inflammatory cells.

Testis- TIM3 negative seminoma containing numerous TIM3 positive macrophages and lymphocytes.

Thorax- TIM3 negative epitheloid mesothelioma containing numerous TIM3 positive inflammatory cells.

       

Thyroid- TIM3 negative papillary cancer containing numerous TIM3 positive macrophages and lymphocytes.

Urinary bladder- TIM3 negative muscle-invasive urothelial carcinoma containing scattered TIM3 positive inflammatory cells.

Urinary bladder- TIM3 negative small cell carcinoma containing numerous TIM3 positive lymphocytes.

Uterus, cervix- TIM3 negative squamous cell carcinoma showing a large number of TIM3 positive macrophages and also lymphocytes.

       

 

| TOP |