Cancer Tissue Gallery- GTX04369

TMEM16A antibody [MSVA-201M] HistoMAX

 

Go to Normal Tissue Gallery
  
 Go back to product page
  

Go to HistoMAX page

 

Breast – Carcinoma of no special type (NST) showing moderate to strong membranous TMEM16A positivity.

Breast – TMEM16A negative invasive lobular carcinoma. TMEM16A immunostaining is seen in the basal cell layer of an excretory duct.

Colon – Colorectal adenocarcinoma showing a moderate TMEM16A staining, predominantly at the apical membranes of cancer glands.

Colon – Colorectal adenocarcinoma showing TMEM16A negative tumor cells but moderate focal TMEM16A stroma staining.

       

Colon – Colorectal adenocarcinoma with strong membranous TMEM16A positivity.

Esophagus – Adenocarcinoma showing strong membranous TMEM16A immunostaining.

Esophagus – Moderate to strong membranous TMEM16A immunostaining in an esophageal adenocarcinoma.

Liver – Cholangiocellular carcinoma with TMEM16A negative tumor cells but weak to moderate TMEM16A stroma staining.

       

Lung – Pulmonary adenocarcinoma showing moderate to strong membranous TMEM16A immunostaining.

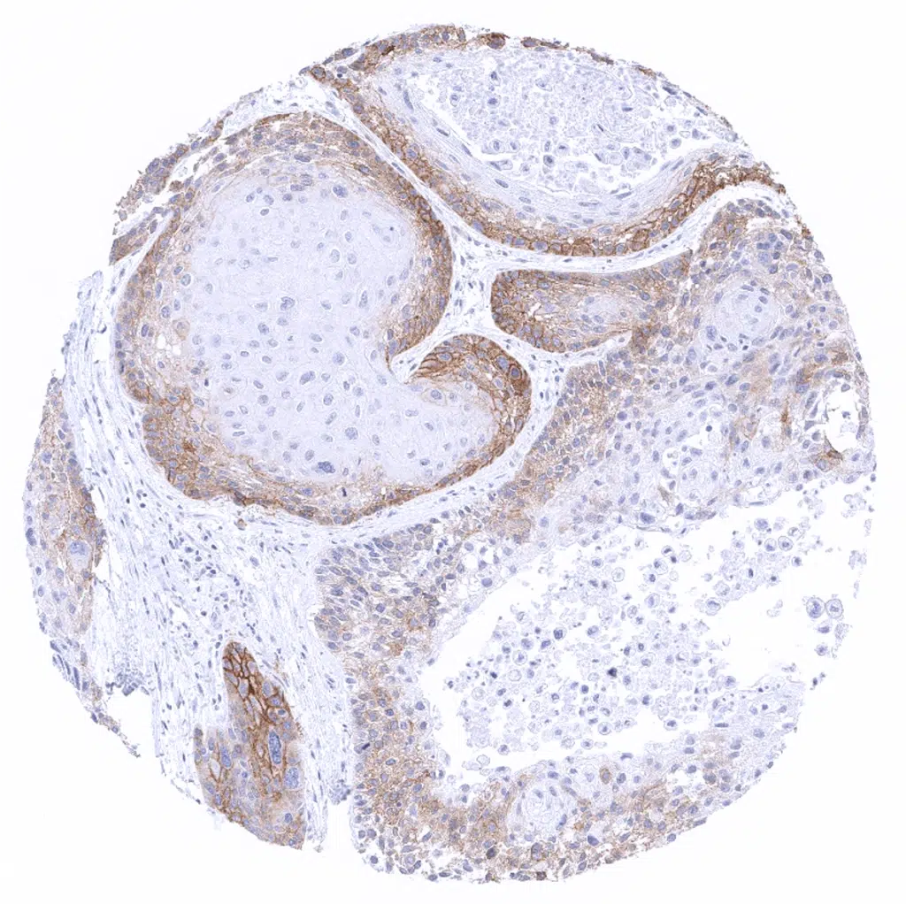
Oral cavity – Squamous cell carcinoma with weak to moderate TMEM16A immunostaining in basal cell layers.

Ovary – Mucinous carcinoma with a moderate TMEM16A staining at the apical membranes of dilatated cancer glands.

Pancreas – Adenocarcinoma of the papilla Vaterii pancreas with TMEM16A negative tumor cells but strong focal TMEM16A stroma staining.

       

Pancreas – TMEM16A negative ductal adenocarcinoma.

Pancreas – Ductal adenocarcinoma of the pancreas with focal moderate to strong membranous TMEM16A immunostaining.

Pancreas – Ductal adenocarcinoma of the pancreas with moderate to strong membranous TMEM16A positivity in all tumor cells.

Pancreas – Ductal adenocarcinoma with strong membranous TMEM16A immunostaining.

       

Pancreas – Ductal adenocarcinoma with strong membranous TMEM16A immunostaining.

Pancreas – Neuroendocrine tumor showing TMEM16A negative tumor cells but weak to moderate TMEM16A stroma staining.

Stomach – Gastric adenocarcinoma with a moderate to strong membranous TMEM16A staining.

Stomach – Gastric adenocarcinoma with a weak a moderate TMEM16A staining, predominantly at the apical membranes of cancer glands.

       

Urinary bladder – Muscle-invasive urothelial carcinoma showing a strong membranous TMEM16A positivity.

Uterus – Endometroid endometrium carcinoma showing a moderate TMEM16A staining, predominantly at the apical membranes of cancer glands.

Uterus – Endometroid endometrium carcinoma with a moderate TMEM16A staining at the apical membranes of cancer glands.

Uterus – TMEM16A negative endometroid endometrium carcinoma with weak TMEM16A staining of the tumor stroma.

       

Vulva – Squamous cell carcinoma with moderate TMEM16A immunostaining in basal cell layers.

Vulva – Squamous cell carcinoma with moderate to strong TMEM16A immunostaining, predominantly in basal cell layers.

Vulva – Squamous cell carcinoma with strong TMEM16A immunostaining, limited to basal cell layers.

     

 

| TOP |