Cancer Tissue Gallery- GTX04485

TRPS1 antibody [MSVA-512R] HistoMAXTM

 

Go to Normal Tissue Gallery
  
 Go back to product page
  

Go to HistoMAX page

 

Adrenal gland – TRPS1 negative adrenocortical adenoma (MSVA-512R, diluted at 1-600)

Adrenal gland – TRPS1 negative pheochromocytoma (MSVA-512R, diluted at 1-600)

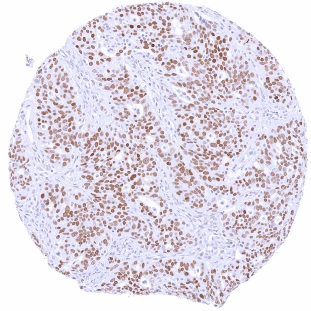
Anal canal – Squamous cell carcinoma with moderate to strong TRPS1 positivity of all tumor cells (MSVA-512R, diluted at 1-600)

Breast – Invasive breast cancer of no special type (NST) with intense TRPS1 positivity of tumor cells (MSVA-512R, diluted at 1-600)

       

Breast – Invasive breast cancer of no special type (NST) with strong TRPS1 staining of all tumor cells (MSVA-512R, diluted at 1-600)

Breast – Invasive lobular breast cancer with moderate to strong TRPS1 staining of all tumor cells (MSVA-512R, diluted at 1-600)

Breast – Invasive lobular breast cancer with strong nuclear TRPS1 positivity of tumor cells (MSVA-512R, diluted at 1-600)

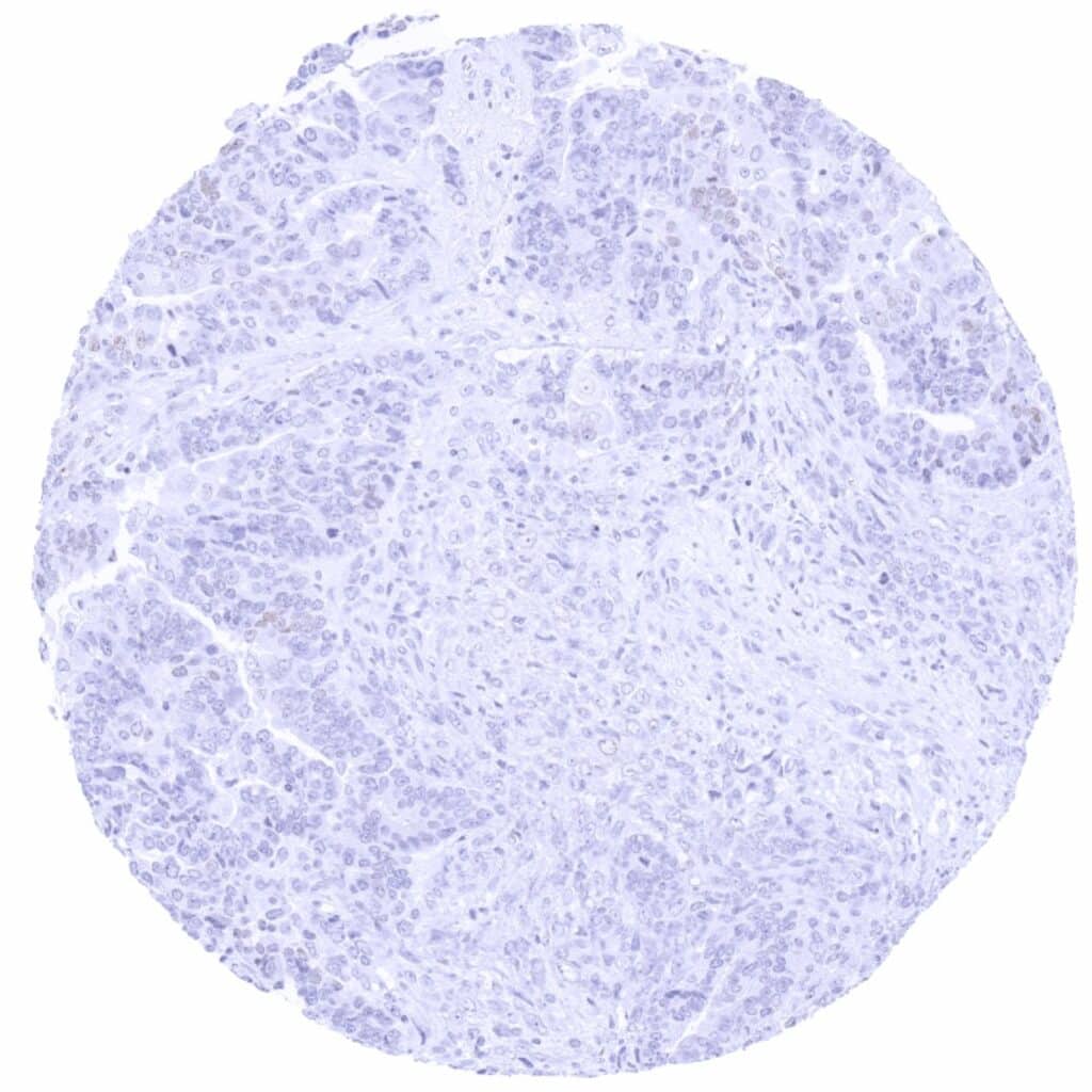
Colon – TRPS1 negative colorectal adenocarcinoma (MSVA-512R, diluted at 1-600)

       

Kidney – TRPS1 negative clear cell carcinoma (MSVA-512R, diluted at 1-600)

Kidney – TRPS1 negative papillary renal cell carcinoma (MSVA-512R, diluted at 1-600)

Liver – TRPS1 negative cholangiocellular carcinoma (MSVA-512R, diluted at 1-600)

Liver – TRPS1 negative hepatocellular carcinoma (MSVA-512R, diluted at 1-600)

       

Lymph node – TRPS1 negative Hodgkin’s lymphoma (MSVA-512R, diluted at 1-600)

Ovary – TRPS1 negative malignant mixed Mullerian tumor (MMMT) (MSVA-512R, diluted at 1-600)

Ovary – Clear cell carcinoma with weak to moderate TRPS1 positivity of a subset of tumor cells (MSVA-512R, diluted at 1-600)

Ovary – Serous high-grade carcinoma with strong TRPS1 staining of tumor cells (MSVA-512R, diluted at 1-600)

       

Ovary – TRPS1 negative clear cell carcinoma (MSVA-512R, diluted at 1-600)

Ovary – TRPS1 negative endometroid carcinoma (MSVA-512R, diluted at 1-600)

Ovary – TRPS1 negative endometroid carcinoma (MSVA-512R, diluted at 1-600)

Ovary – TRPS1 negative serous high-grade carcinoma (MSVA-512R, diluted at 1-600)

       

Pancreas – TRPS1 negative adenocarcinoma of the papilla Vaterii (MSVA-512R, diluted at 1-600)

Pancreas – TRPS1 negative ductal adenocarcinoma (MSVA-512R, diluted at 1-600)

Pancreas – TRPS1 negative neuroendocrine tumor (MSVA-512R, diluted at 1-600)

Penis – TRPS1 negative squamous cell carcinoma (MSVA-512R, diluted at 1-600)

       

Stomach – TRPS1 negative gastrointestinal stromal tumor (GIST) (MSVA-512R, diluted at 1-600)

Testis – TRPS1 negative seminoma (MSVA-512R, diluted at 1-600)

Urinary bladder – TRPS1 negative non-invasive papillary urothelial carcinoma (pTa) (MSVA-512R, diluted at 1-600)

Urinary bladder –TRPS1 negative muscle-invasive urothelial carcinoma (MSVA-512R, diluted at 1-600)

       

Uterus, cervix – TRPS1 negative squamous cell carcinoma (MSVA-512R, diluted at 1-600)

 

 

| TOP |