Cancer Tissue Gallery- GTX04446

Thrombomodulin antibody [MSVA-141M] HistoMAX

 

Go to Normal Tissue Gallery
  
 Go back to product page
  

Go to HistoMAX page

 

Adrenal gland - Thrombomodulin negative adrenocortical adenoma. Staining is limited to endothelial cells (Thrombomodulin immunohistochemistry).

Anal canal - Squamous cell carcinoma with strong Thrombomodulin immunostaining of tumor cells.

Breast - Thrombomodulin negative invasive lobular breast cancer.

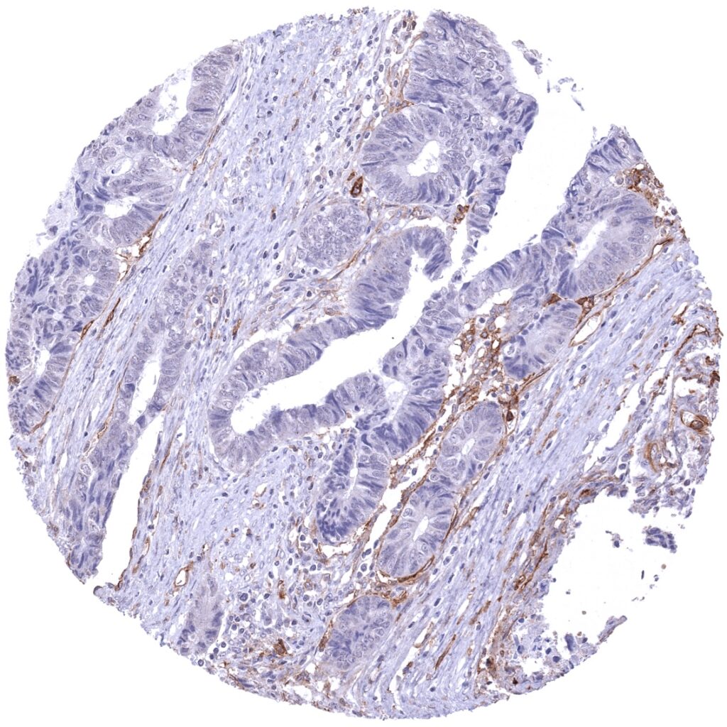
Colon - Thrombomodulin negative colorectal adenocarcinoma (Thrombomodulin immunohistochemistry).

       

Esophagus - Squamous cell carcinoma with strong Thrombomodulin immunostaining of a fraction of tumor cells (Thrombomodulin immunohistochemistry).

Kidney - Thrombomodulin negative clear cell carcinoma. Only small vessels show endothelial staining (Thrombomodulin immunohistochemistry).

Kidney - Papillary renal cell carcinoma showing moderate to strong membranous and cytoplasmic Thrombomodulin staining of tumor cells (Thrombomodulin immunohistochemistry).

Lung - Thrombomodulin negative adenocarcinoma. Positive staining is limited to alveolar macrophages and small vessels show endothelial staining (Thrombomodulin immunohistochemistry).

       

Lung - Thrombomodulin negative small cell carcinoma.

Lung - Malignant mesothelioma with strong Thrombomodulin immunostaining of tumor cells (Thrombomodulin immunohistochemistry).

Lymph node - Hogkin and Reed-Sternberg cells are Thrombomodulin negative in a Hodgkin's lymphoma.

Oral cavity - Thrombomodulin negative squamous cell carcinoma. Staining is only seen in endothelial cells (Thrombomodulin immunohistochemistry).

       

Ovary - Thrombomodulin negative serous high-grade carcinoma. Significant endothelial staining occurs in small vessels (Thrombomodulin immunohistochemistry).

Pancreas - Thrombomodulin negative acinar cell carcinoma containing small vessels showing endothelial Thrombomodulin staining (Thrombomodulin immunohistochemistry).

Pancreas - Neuroendocrine tumor showing weak to moderate Thrombomodulin staining of tumor cells.

Prostate - Adenocarcinoma (Gleason 4+5=9) with moderate to strongmembranous and cytoplasmic Thrombomodulin staining of tumor cells (Thrombomodulin immunohistochemistry).

       

Prostate - Thrombomodulin negative adenocarcinoma (Gleason 3+3=6).

Salivary gland - Thrombomodulin immunostaining is absent in epithelial cells of a Warthin tumor (Thrombomodulin immunohistochemistry).

Skin - Basal cell carcinoma with strong Thrombomodulin immunostaining of a “maturing” fraction of tumor cells (Thrombomodulin immunohistochemistry).

Skin - Thrombomodulin negative Merkel cell carcinoma.

       

Soft tissue - Granular cell tumor exhibiting strong cytoplasmic Thrombomodulin immunostaining of tumor cells (Thrombomodulin immunohistochemistry).

Soft tissue - Liposarcoma with strong Thrombomodulin immunostaining of tumor cells (Thrombomodulin immunohistochemistry).

Stomach - Gastrointestinal stromal tumor (GIST) with moderate to strong Thrombomodulin immunostaining of tumor cells (Thrombomodulin immunohistochemistry).

Testis - Thrombomodulin negative seminoma. Staining is only seen in endothelial cells (Thrombomodulin immunohistochemistry).

       

Testis - Leydig cell tumor exhibiting a strong Thrombomodulin immunostaining of tumor cells (Thrombomodulin immunohistochemistry).

Thyroid - Anaplastic carcinoma with strong Thrombomodulin immunostaining of tumor cells (Thrombomodulin immunohistochemistry)

Thyroid - Thrombomodulin negative papillary carcinoma. Staining is limited to few endothelial cells (Thrombomodulin immunohistochemistry).

Thyroid - Follicular adenoma with weak - predominantly cytoplasmic - Thrombomodulin immunostaining of tumor cells. Endothelial cells show strong staining (Thrombomodulin immunohistochemistry).

       

Urinary bladder - Thrombomodulin negative muscle-invasive urothelial carcinoma.

Urinary bladder - Muscle-invasive urothelial carcinoma with strong membranous Thrombomodulin immunostaining of tumor cells (Thrombomodulin immunohistochemistry).

Urinary bladder - Non-invasive urothelial carcinoma (high grade, pTaG3) with strong Thrombomodulin immunostaining of tumor cells (Thrombomodulin immunohistochemistry).

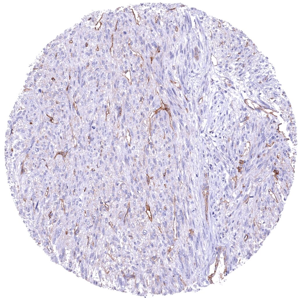
Uterus - Thrombomodulin negative leiomyosarcoma. Staining is limited to endothelial cells (Thrombomodulin immunohistochemistry).

       

Uterus, cervix - Thrombomodulin negative adenocarcinoma. Only small vessels show endothelial staining (Thrombomodulin immunohistochemistry).

Uterus, cervix - Thrombomodulin negative squamous cell carcinoma.

Uterus, cervix - Squamous cell carcinoma with strong Thrombomodulin immunostaining of tumor cells (Thrombomodulin immunohistochemistry).

     

 

| TOP |