Normal Tissue Gallery- GTX04446

Thrombomodulin antibody [MSVA-141M] HistoMAX

 

Go to Cancer Tissue Gallery
  
 Go back to product page
  

Go to HistoMAX page

 

Adrenal gland

Aorta, media - Thrombomodulin staining of endothelial cells (Thrombomodulin immunohistochemistry).

Appendix, mucosa

Appendix, muscular wall

       

Bone marrow

Breast

Bronchus, glands - Few basal cells of respiratory epithelium show a distinct Thrombomodulin staining, In addition, strong membranous Thrombomodulin positivity is seen in a group of alveolar macrophages.(Thrombomodulin immunohistochemistry)

Cerebellum (molecular layer, Purkinje cell layer, granule cell layer)

       

Cerebellum (white matter)

Cerebrum, grey matter

Cerebrum, white matter

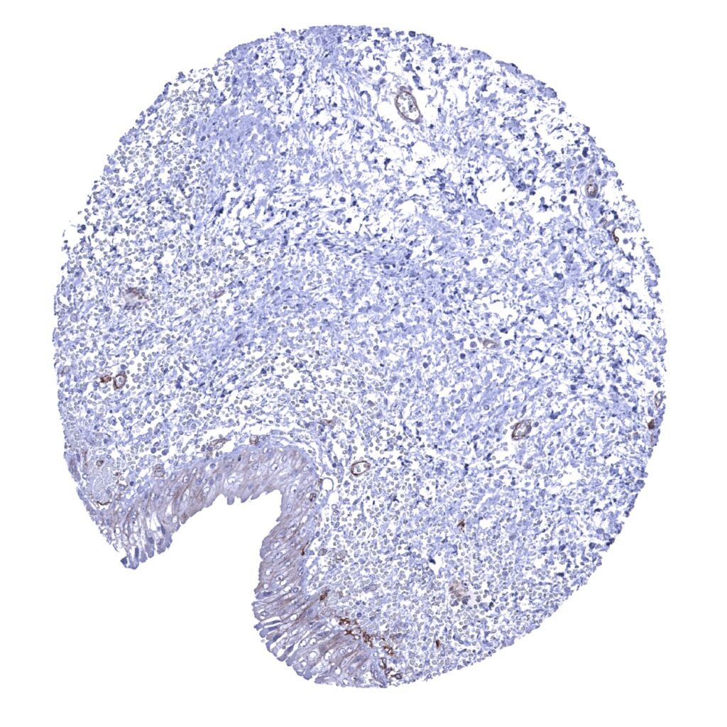
Colon descendens, mucosa

       

Colon descendens, muscular wall

Duodenum, Brunner gland

Duodenum, mucosa - Strong Thrombomodulin staining of endothelial cells (Thrombomodulin immunohistochemistry).

Epididymis

       

Esophagus, squamous epithelium - Strong membranous Thrombomodulin staining of suprabasal epithelial cells (Thrombomodulin immunohistochemistry).

Fallopian tube, mucosa

Fat

Gallbladder, epithelium

       

Heart muscle - Thrombomodulin staining of endothelial cells (Thrombomodulin immunohistochemistry).

Ileum, mucosa - Strong Thrombomodulin staining of endothelial cells (Thrombomodulin immunohistochemistry).

Kidney, cortex - Strong Thrombomodulin staining of endothelial cells (Thrombomodulin immunohistochemistry).

Kidney, medulla

       

Kidney, pelvis, urothelium - Faint membranous Thrombomodulin staining of urothelial cells (Thrombomodulin immunohistochemistry).

Kidney, pelvis, urothelium - Weak membranous Thrombomodulin staining of urothelial cells (Thrombomodulin immunohistochemistry)

Liver - Moderate Thrombomodulin staining of sinusoideal cells (Thrombomodulin immunohistochemistry).

Lung - Strong Thrombomodulin staining of endothelial cells and of alveolar macrophages (Thrombomodulin immunohistochemistry).

       

Lymph node - Thrombomodulin staining primarily occurs in endothelial cells (Thrombomodulin immunohistochemistry).

Ovary, stroma - Weak Thrombomodulin staining of stromal cells (Thrombomodulin immunohistochemistry).

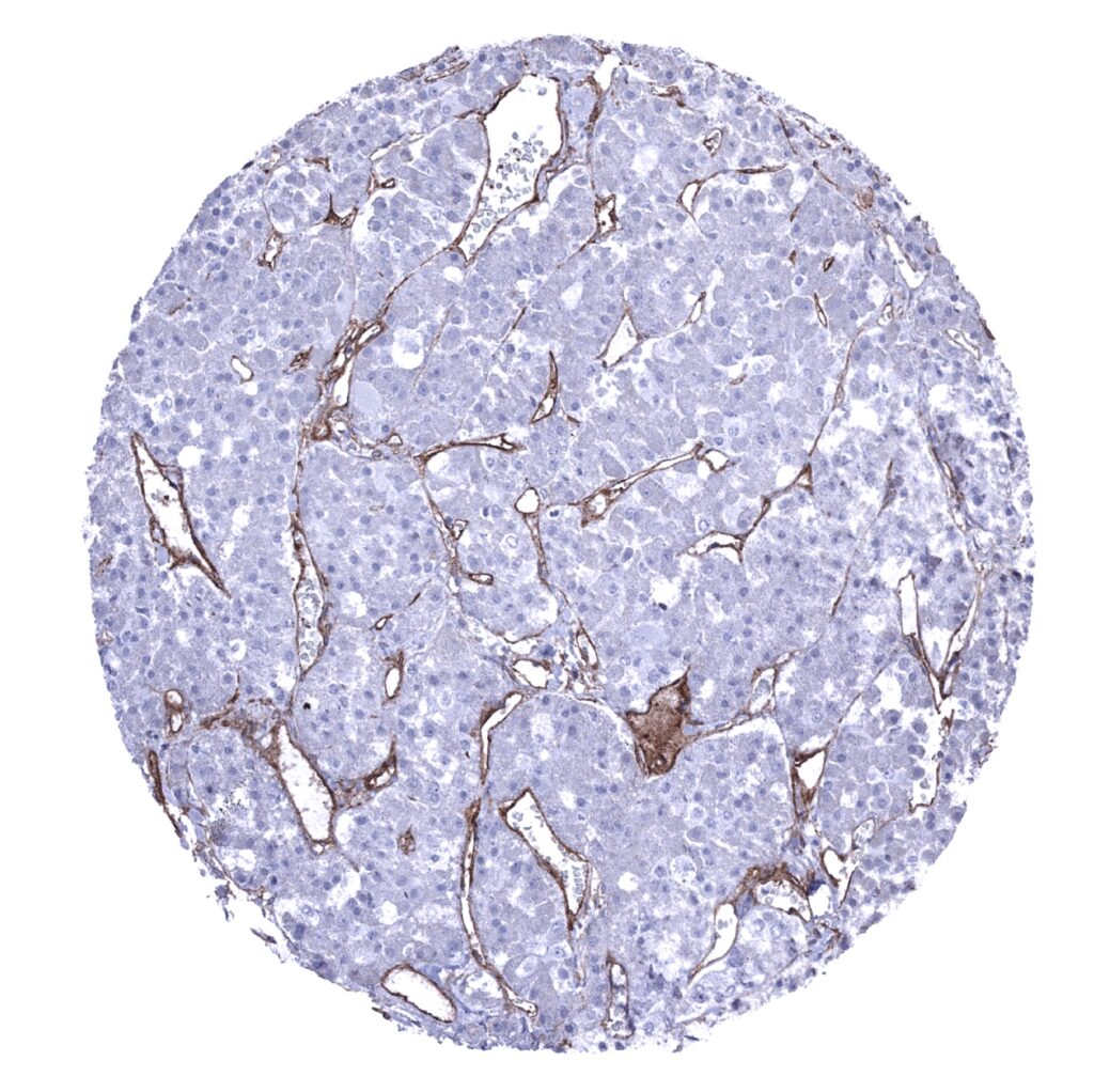
Pancreas - Most cells of islets and endothelial cells show Thrombomodulin staining (Thrombomodulin immunohistochemistry).

Pancreas - Most cells of pancreatic islets and endothelial cells show Thrombomodulin staining (Thrombomodulin immunohistochemistry).

       

Parathyroid gland

Parotid gland

Pituitary gland, anterior lobe - Thrombomodulin staining is limited to endothelial cells in this sample (Thrombomodulin immunohistochemistry).

Pituitary gland, posterior lobe - In this sample, a strong membranous Thrombomodulin staining occurs in a large fraction of epithelial cells (Thrombomodulin immunohistochemistry).

       

Placenta (amnion and chorion) - Moderate to strong membranous Thrombomodulin positivity of amnion cells (Thrombomodulin immunohistochemistry).

Placenta (amnion and chorion) - Moderate to strong membranous Thrombomodulin staining of chorion cells (Thrombomodulin immunohistochemistry).

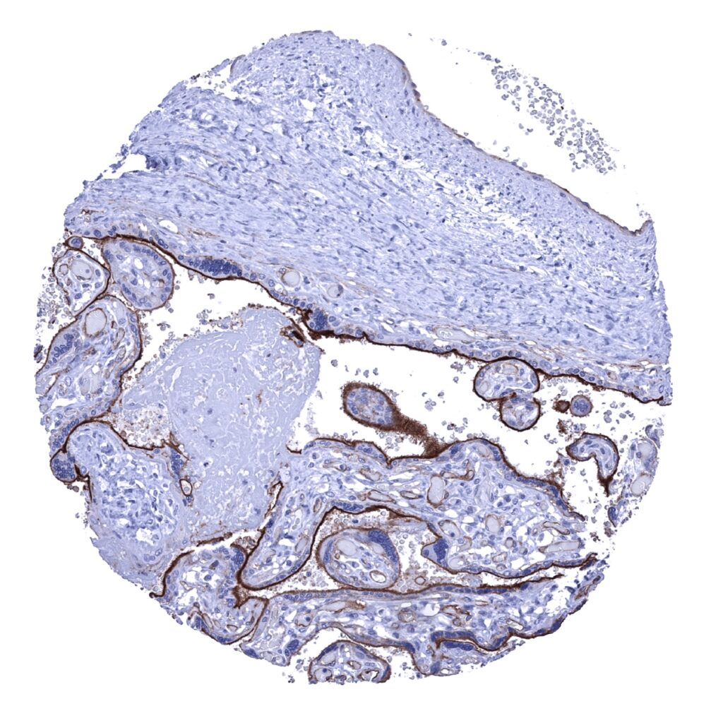
Placenta, early - Strong Thrombomodulin staining of the surface cell layer of the cytotrophoblast. In addition, a moderate staining occurs in endometrial cells exhibiting an „Arias-Stella-phenomenon“

Placenta, mature - Strong Thrombomodulin staining of the surface cell layer of the cytotrophoblast (Thrombomodulin immunohistochemistry).

       

Placenta, mature - Strong Thrombomodulin staining of the surface cell layer of the cytotrophoblast and of endothelial cells (Thrombomodulin immunohistochemistry).

Prostate - Faint Thrombomodulin staining of some basal cells (Thrombomodulin immunohistochemistry)

Seminal vesicle

Skeletal muscle - Thrombomodulin staining of endothelial cells (Thrombomodulin immunohistochemistry).

       

Skin - Strong membranous Thrombomodulin staining of suprabasal epithelial cells (Thrombomodulin immunohistochemistry).

Spleen - Strong Thrombomodulin positivity of littoral cells in the spleen (Thrombomodulin immunohistochemistry).

Stomach, antrum - A membranous Thrombomodulin staining is seen in basolateral membranes of the surface epithelium (Thrombomodulin immunohistochemistry).

Stomach, corpus - Thrombomodulin staining ofendothelial cells (Thrombomodulin immunohistochemistry).

       

Testis - Distinct Thrombomodulin staining along muscular sheaths of testicular tubules (Thrombomodulin immunohistochemistry).

Thymus - Scattered Thrombomodulin positive cells occur in the thymus, preferentially in the medulla (Thrombomodulin immunohistochemistry).

Thyroid gland

Tonsil - Thrombomodulin positivity occurs in squamous epithelial cells and in endothelial cells (Thrombomodulin immunohistochemistry).

       

Tonsil, surface epithelium - Moderate to strong membranous Thrombomodulin staining of suprabasal epithelial cells (Thrombomodulin immunohistochemistry).

Urinary bladder, muscular wall

Urinary bladder, urothelium - Faint membranous Thrombomodulin staining of urothelial cells in the lower half of the urothelium (Thrombomodulin immunohistochemistry).

Uterus, ectocervix

       

Uterus, endocervix - Membranous Thrombomodulin staining predominates in basolateral cell compartments of endocervical glands (Thrombomodulin immunohistochemistry).

Uterus, endometrium (pregnancy)

Uterus, endometrium (proliferation)

Uterus, endometrium (secretion) - Predominantly basolateral membranous Thrombomodulin staining of endometrial glands (Thrombomodulin immunohistochemistry).

       

Uterus, myometrium - Thrombomodulin staining of endothelial cells (Thrombomodulin immunohistochemistry).

 

 

| TOP |