Cancer Tissue Gallery- GTX639936

Tyrosine Hydroxylase antibody [HMV312] HistoMAXTM

 

Go to Normal Tissue Gallery
  
 Go back to product page
  

Go to HistoMAX page

 

Adrenal gland – Pheochromocytoma with intense TH positivity of tumor cells

Adrenal gland – Pheochromocytoma with strong TH immunostaining of all tumor cells

Adrenal gland – Pheochromocytoma with strong TH staining of all tumor cells

Adrenal gland – Pheochromocytoma with variable, mostly intense TH staining of tumor cells

       

Adrenal gland – Pheochromocytoma with weak to moderate TH staining of a small fraction of tumor cells

Adrenal gland – TH negative adrenocortical adenoma

Anal canal – TH negative squamous cell carcinoma

Breast – TH negative invasive breast cancer of no special type (NST)

       

Breast – TH negative invasive lobular breast cancer

Colon – TH negative colorectal adenocarcinoma

Esophagus – TH negative adenocarcinoma

Kidney – TH negative clear cell carcinoma

       

Kidney – TH negative papillary renal cell carcinoma

Liver – TH negative cholangiocellular carcinoma

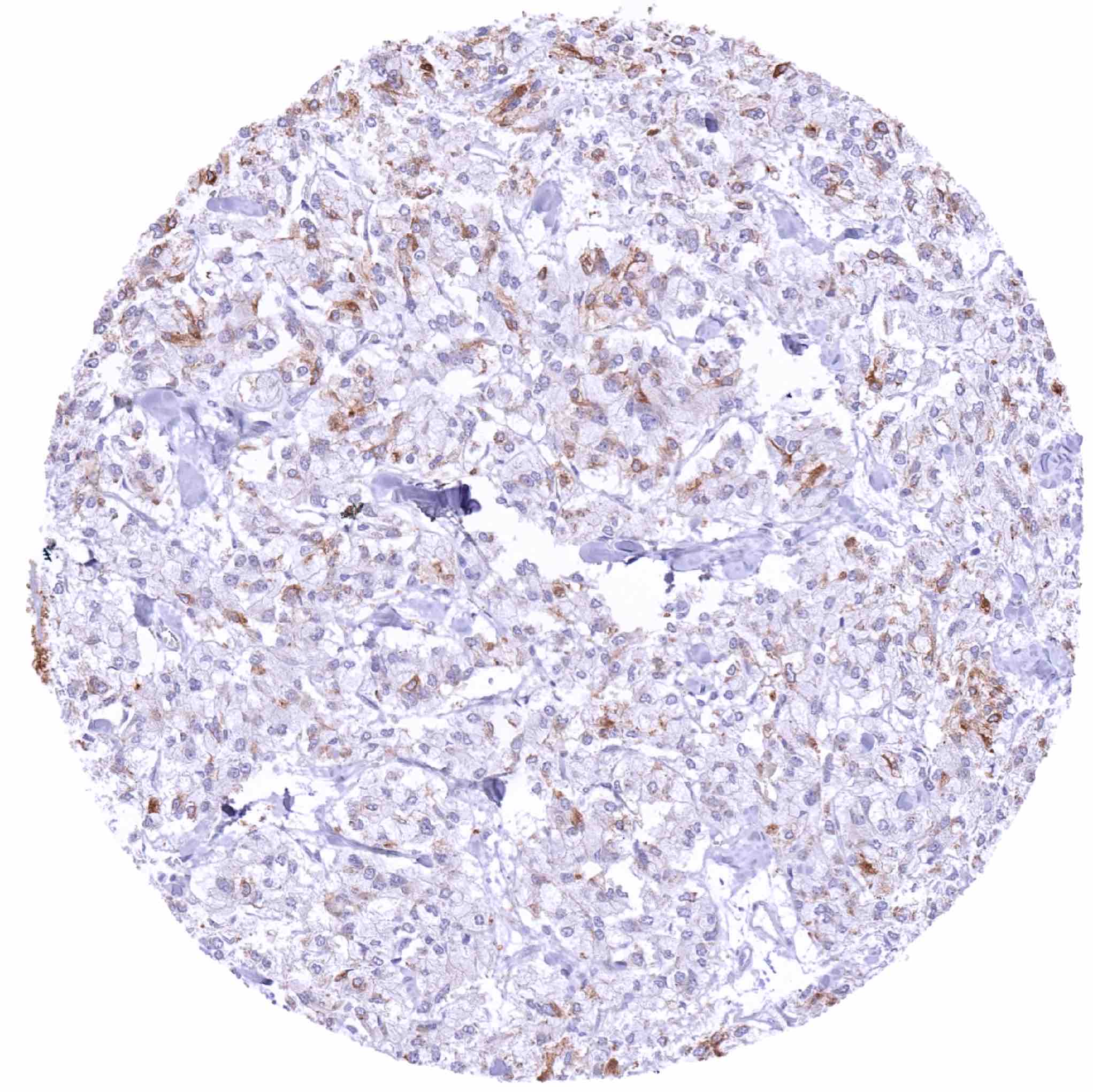
Liver – TH negative hepatocellular carcinoma

Medullary carcinoma of the thyroid containing a small number of dispersed cells with strong TH positivity

       

Pancreas – TH negative ductal adenocarcinoma

Pancreas – TH negative neuroendocrine tumor

Prostate – TH negative adenocarcinoma (Gleason 3+3=6)

Salivary gland – TH negative Warthin tumor

       

Soft tissue – Paraganglioma with strong TH immunostaining of tumor cells

Soft tissue – Paraganglioma with strong TH staining of all tumor cells

Soft tissue – TH negative leiomyosarcoma

Soft tissue – TH negative neurofibroma

       

Soft tissue – TH negative paraganglioma.

Soft tissue – TH negative paraganglioma

Soft tissue – TH negative Schwannoma

Stomach – TH negative gastric adenocarcinoma (diffuse type)

       

Stomach – TH negative gastric adenocarcinoma

Stomach – TH negative gastrointestinal stromal tumor (GIST)

Testis – TH negative seminoma

Thyroid – TH negative medullary carcinoma

       

Thyroid – TH negative papillary carcinoma

Urinary bladder – TH negative muscle-invasive urothelial carcinoma

   
       


| TOP |