Cancer Tissue Gallery- GTX04462

UPK1A antibody [MSVA-735M] HistoMAXTM

 

Go to Normal Tissue Gallery
  
 Go back to product page
  

Go to HistoMAX page

 

Adrenal gland- UPK1A negative adrenocortical adenoma

Breast- UPK1A negative invasive breast cancer of no special type (NST)

Colon- UPK1A negative colorectal adenocarcinoma

Esophagus- UPK1A negative squamous cell carcinoma

       

Kidney- UPK1A negative clear cell renal cell carcinoma

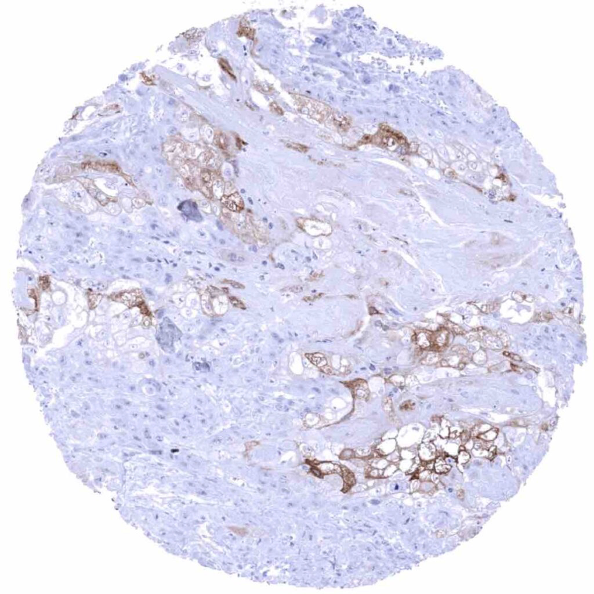
Kidney, pelvis- Invasive urothelial carcinoma with strong, predominantly membranous UPK1A immunostaining of tumor cells

Larynx- Squamous cell carcinoma with moderate UPK1A positivity of about 30_ of cancer cells

Larynx- UPK1A negative squamous cell carcinoma

       

Liver- UPK1A negative hepatocellularcellular carcinoma

Lung- UPK1A negative adenocarcinoma

Lung- UPK1A negative malignant mesothelioma (epitheloid)

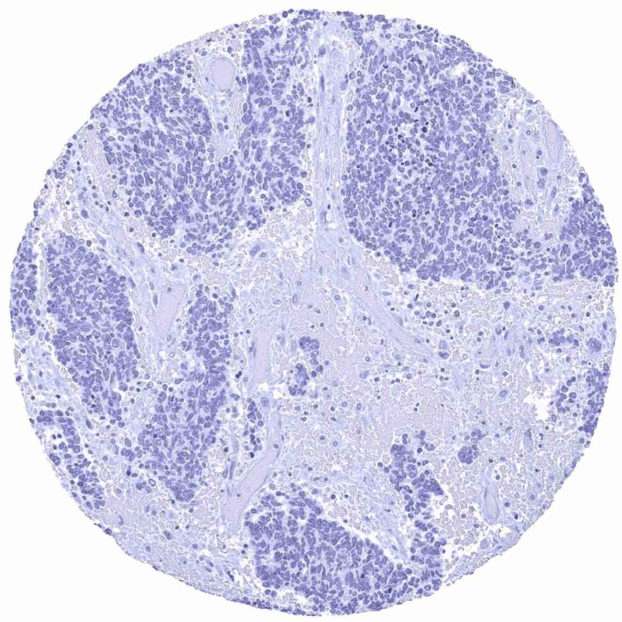
Lymph node- UPK1A negative Hodgkin’s lymphoma

       

Oral cavity- UPK1A negative squamous cell carcinoma

Ovary- Brenner tumor with strong UPK1A immunostaining of a small fraction of tumor cells

Ovary- UPK1A negative serous high-grade carcinoma

Pancreas- UPK1A negative ductal adenocarcinoma

       

Pancreas- UPK1A negative neuroendocrine tumor

Penis- UPK1A negative squamous cell carcinoma

Prostate- UPK1A negative adenocarcinoma (Gleason 3+3=6)

Salivary gland- UPK1A negative Warthin tumor

       

Soft tissue- UPK1A negative liposarcoma

Stomach- UPK1A negative gastric adenocarcinoma (diffuse type)

Stomach- UPK1A negative gastric adenocarcinoma

Stomach- UPK1A negative gastrointestinal stromal tumor (GIST)

       

Testis- UPK1A negative seminoma

Thymus- UPK1A negative thymoma

Thyroid- Follicular cancer with moderate to strong, predominantly cytoplasmic UPK1A staining of tumor cells

Thyroid- Papillary cancer with weak cytoplasmic UPK1A positivity of tumor cells

       

Urinary bladder- Muscle-invasive urothelial carcinoma with strong UPK1A immunostaining of 90% of tumor cells

Urinary bladder- Muscle-invasive urothelial carcinoma with strong UPK1A immunostaining of tumor cells

Urinary bladder- Non-invasive urothelial carcinoma (low grade, pTaG2) with strong UPK1A immunostaining of tumor cells

Urinary bladder- UPK1A negative muscle-invasive urothelial carcinoma

       

Urinary bladder- UPK1A negative small cell carcinoma

 

 

| TOP |