Cancer Tissue Gallery- GTX04441

ZAP70 antibody [MSVA-870R] HistoMAXTM

 

Go to Normal Tissue Gallery
  
 Go back to product page
  

Go to HistoMAX page

 

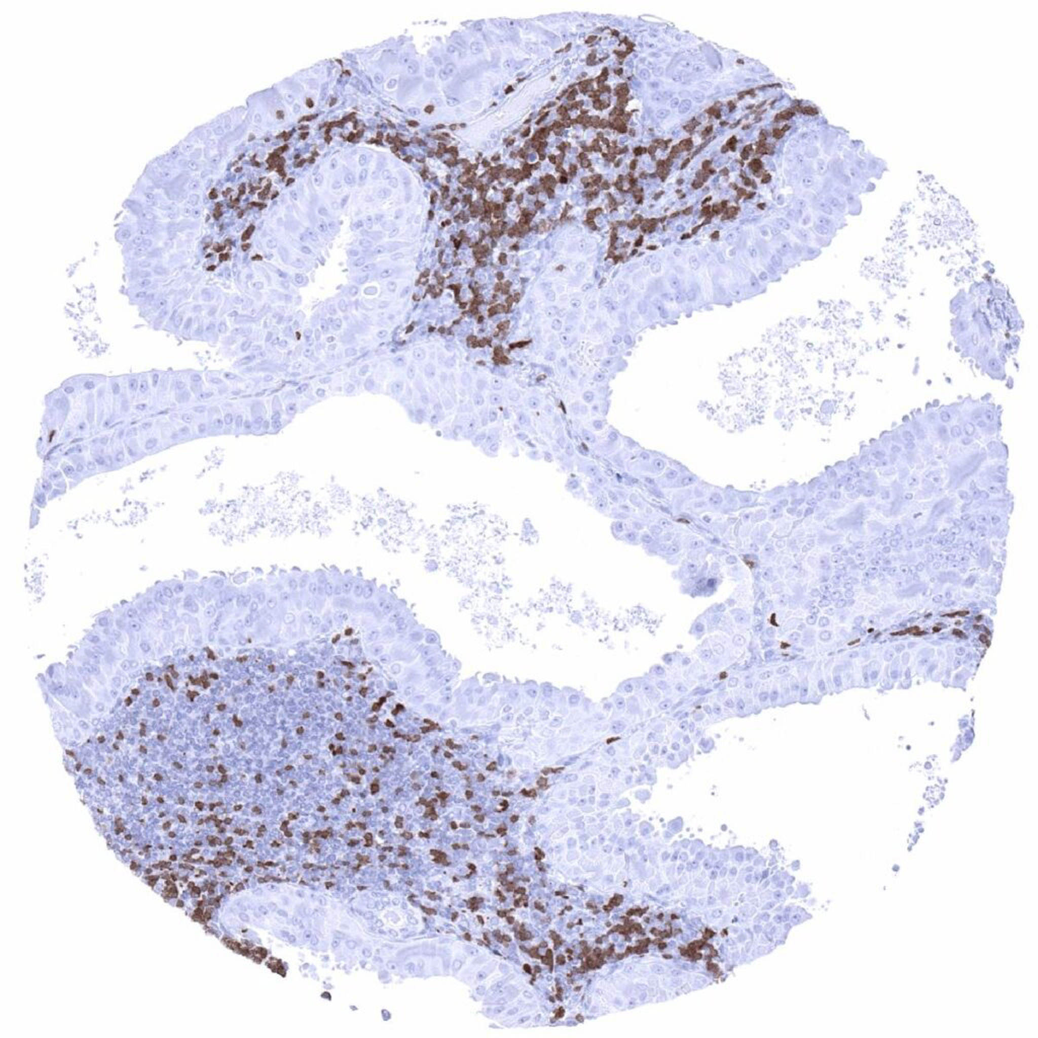
Colon- Colorectal adenocarcinoma with a significant fraction of ZAP70 positive T-lymphocytes in the tumor stroma

Kidney- Clear cell carcinoma lacking ZAP70 positive T-lymphocytes.

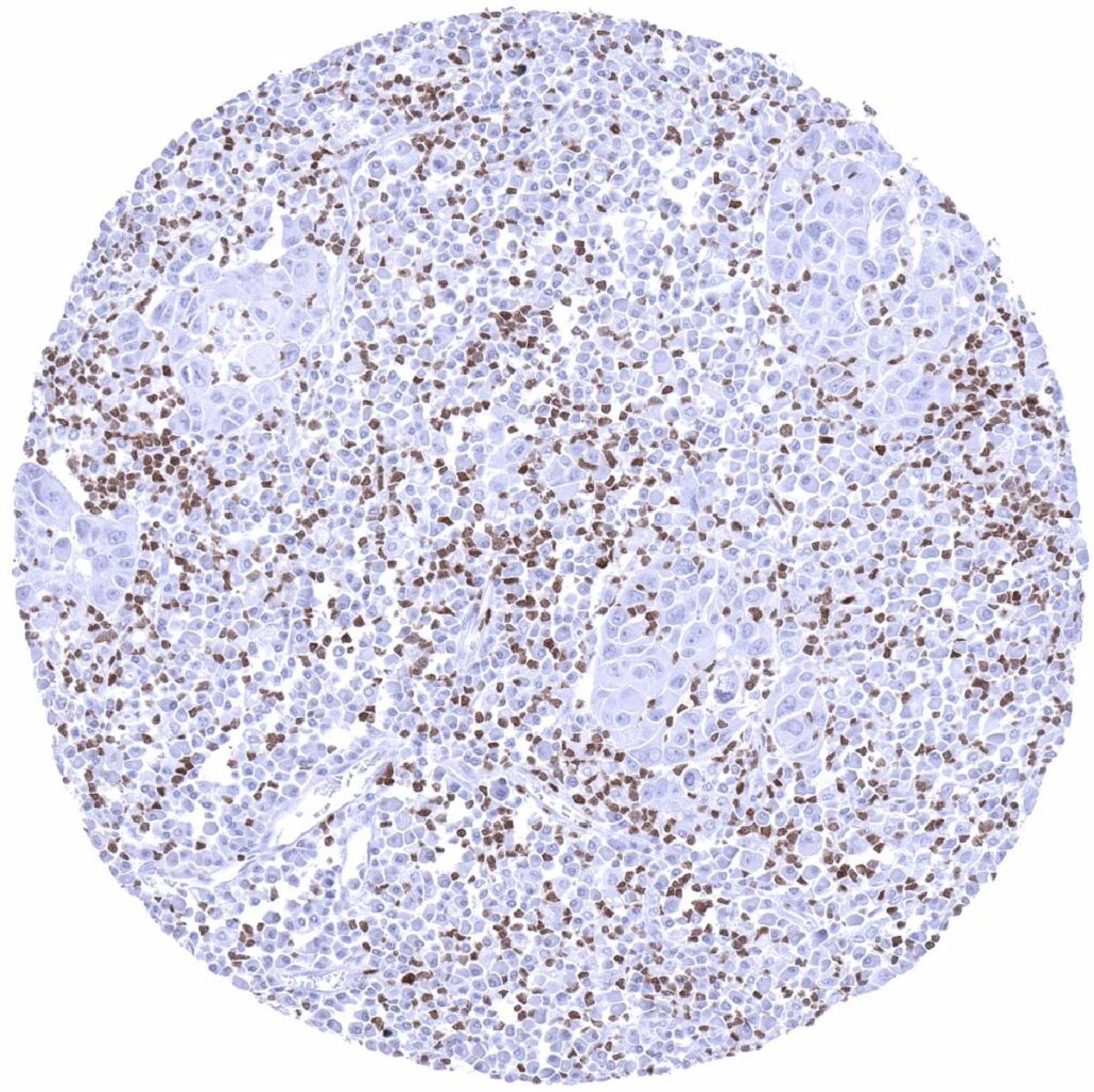
Liver- Hepatocellular carcinoma including a good number of ZAP70 positive T-lymphocytes.

Lung- Adenocarcinoma with a dense infiltrate of ZAP70 positive T-lymphocytes.

       

Lung- Small cell carcinoma including a significant fraction of ZAP70 positive T-lymphocytes.

Lymph node- B-CLL with moderate ZAP70 immunostaining of all tumor cells. ZAP70 staining is stronger in few interspersed normal T-lymphocytes.

Lymph node- B-CLL with strong ZAP70 immunostaining of tumor cells. ZAP70 staining is even stronger in interspersed normal T-lymphocytes.

Lymph node- Large cell anaplastic ALK1 positive T-cell lymphoma with moderate ZAP70 staining of tumor cells. ZAP70 staining is stronger in few interspersed normal T-lymphocytes.

       

Lymph node- Marginal zone lymphoma with weak ZAP70 immunostaining of tumor cells. ZAP70 staining is stronger in few interspersed normal T-lymphocytes.

Lymph node- ZAP70 negative B-CLL containing a fraction of ZAP70 positive T-lymphocytes.

Lymph node- ZAP70 negative B-CLL containing a significant number of ZAP70 positive T-lymphocytes.

Lymph node- ZAP70 negative diffuse large B-cell lymphoma containing numerous ZAP70 positive non-neoplastic T-lymphocytes.

       

Lymph node- ZAP70 negative diffuse large B-cell lymphoma including a large number of ZAP70 positive non-neoplastic T-lymphocytes.

Lymph node- ZAP70 negative follicular B-cell lymphoma containing many ZAP70 positive non-neoplastic T-lymphocytes.

Lymph node- ZAP70 negative follicular B-cell lymphoma involving numerous ZAP70 positive non-neoplastic T-lymphocytes.

Lymph node- ZAP70 negative Hodgkin’s lymphoma containing numerous ZAP70 positive T-lymphocytes.

       

Lymph node- ZAP70 negative mantle cell lymphoma containing a significant fraction of ZAP70 positive T-lymphocytes.

Lymph node- ZAP70 negative marginal zone lymphoma containing a fraction of ZAP70 positive T-lymphocytes.

Oral cavity- Squamous cell carcinoma, densely infiltrated by ZAP70 positive T-lymphocytes.

Ovary- Serous high-grade carcinoma containing few ZAP70 positive T-lymphocytes.

       

Pancreas- Neuroendocrine tumor including few scattered ZAP70 positive T-lymphocytes.

Pharynx- Squamous cell carcinoma containing a significant number of ZAP70 positive T-lymphocytes.

Prostate- Adenocarcinoma (Gleason 3+3=6) showing focal infiltration by ZAP70 positive T-lymphocytes.

Salivary gland- Warthin tumor containing numerous ZAP70 positive T-lymphocytes.

       

Soft tissue- Angiosarcoma containing plenty of ZAP70 positive T-lymphocytes.

Stomach- Gastric adenocarcinoma containing few interspersed ZAP70 positive T-lymphocytes.

Testis- Seminoma containing a significant fraction of ZAP70 positive T-lymphocytes.

Testis- Seminoma with a dense infiltrate of ZAP70 positive T-lymphocytes.

       

Thyroid- Papillary carcinoma containing very few ZAP70 positive T-lymphocytes.

 

 

| TOP |