Cancer Tissue Gallery- GTX04482

p53 antibody [MSVA-053R] HistoMAXTM

 

Go to Normal Tissue Gallery
  
 Go back to product page
  

Go to HistoMAX page

 

Breast- p53 negative invasive lobular breast cancer.

Colon- Colorectal adenocarcinoma showing strong p53 positivity of vital tumor cells (p53 immunohistochemistry).

Colon- Colorectal adenocarcinoma with strong p53 immunostaining of tumor cells (p53 immunohistochemistry).

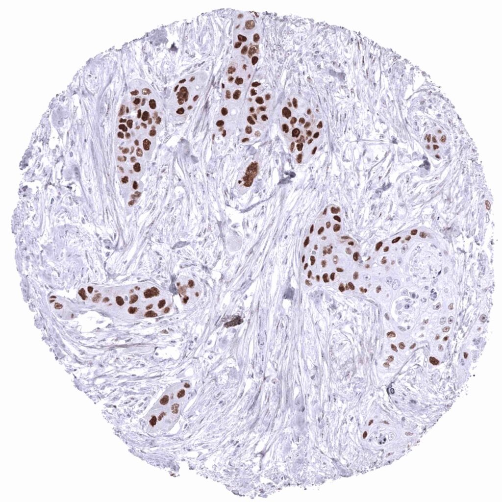
Esophagus- Squamous cell carcinoma exhibiting strong p53 staining of most tumor cells (p53 immunohistochemistry).

       

Kidney- p53 negative clear cell carcinoma.

Kidney- p53 negative oncocytoma.

Kidney- p53 negative papillary renal cell carcinoma.

Kidney- Papillary renal cell carcinoma with faint p53 immunostaining of a fraction of tumor cells (p53 immunohistochemistry).

       

Ovary- Clear cell carcinoma with weak to moderate p53 immunostaining of a small fraction of tumor cells (p53 immunohistochemistry).

Ovary- Endometroid carcinoma with weak p53 immunostaining of most tumor cells (p53 immunohistochemistry)

Ovary- Serous high-grade carcinoma with strong nuclear p53 positivity of all tumor cells (p53 immunohistochemistry).

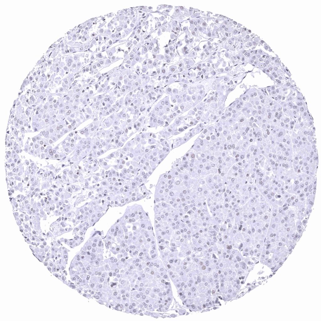
Prostate- p53 negative adenocarcinoma (Gleason 3+3=6).

       

Thyroid- p53 negative papillary carcinoma.

Urinary bladder- Strong nuclear p53 immunostaining of all tumor cells of a muscle-invasive urothelial carcinoma (p53 immunohistochemistry).

   

 

| TOP |