Normal Tissue Gallery- GTX640565

CA19-9 antibody [HMV333] HistoMAXTM

 

Go to Cancer Tissue Gallery
  
 Go back to product page
  

Go to HistoMAX page

 

Adrenal gland

Aorta, media

Appendix, mucosa – Absence of CA 19-9 staining in this sample

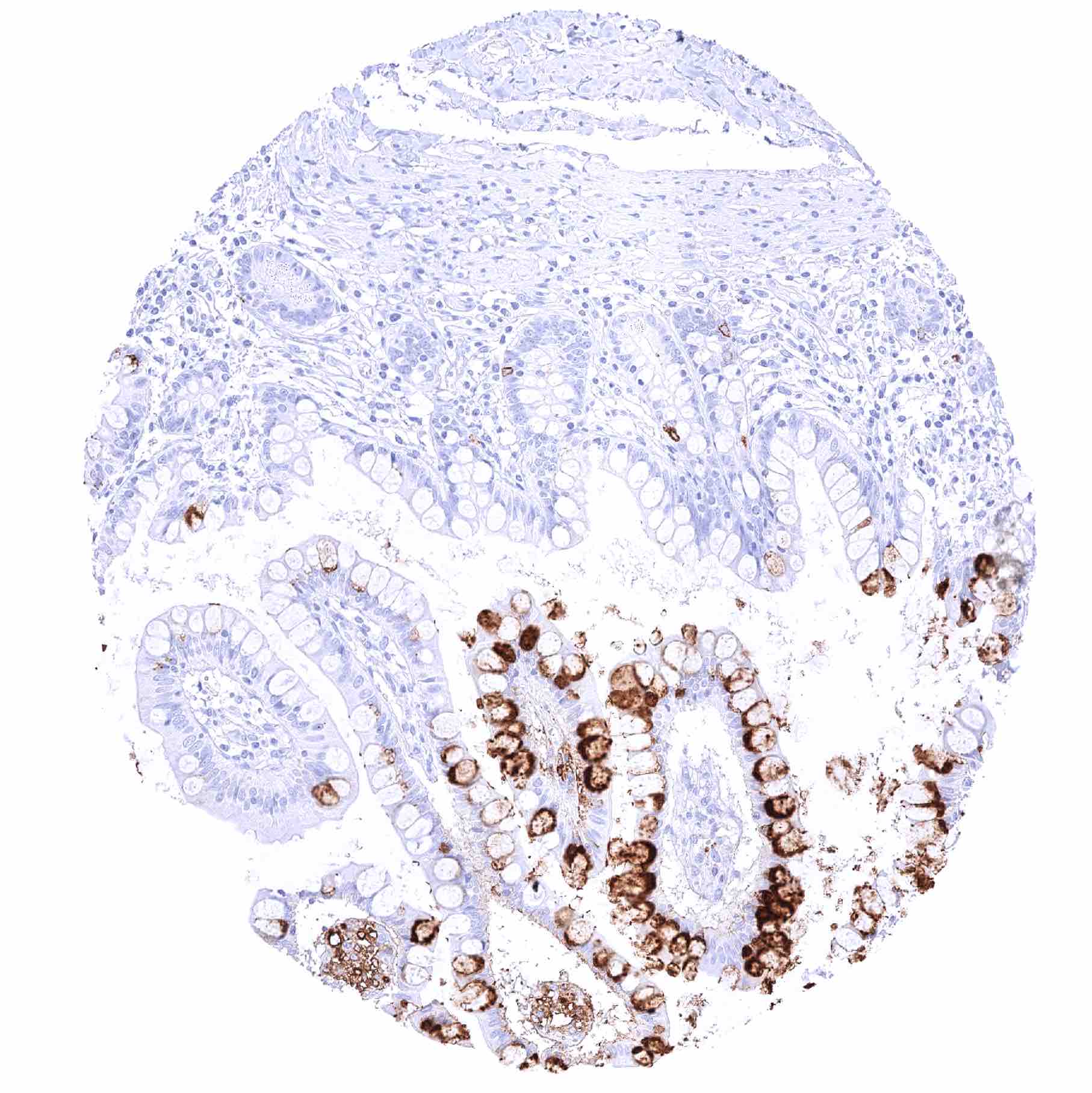
Appendix, mucosa – Moderate to strong apical membranous CA 19-9 staining of most superficial epithelial cells. In addition, strong membranous and cytoplasmic positivity of a large fraction of goblet cells

       

Appendix, muscular wall

Bone marrow

Breast – Moderate to strong, predominantly membranous CA 19-9 staining of luminal cells. The staining predominates at the apical membrane

Bronchus (Bronchial glands) – Strong, predominantly cytoplasmic CA 19-9 staining of mucinous glandular cells

       

Bronchus, respiratory epithelium – Absence of CA 19-9 staining in the respiratory epithelium (in this sample)

Bronchus, respiratory epithelium – Moderate to strong apical membranous CA 19-9 staining of most superficial epithelial cells. In addition, strong membranous and cytoplasmic positivity of a large fraction of goblet cells

Cerebellum (white matter)

Cerebellum, cortex (molecular layer, Purkinje cell layer, granule cell layer, white matter)

       

Cerebrum, grey matter

Cerebrum, white matter

Colon descendens, mucosa – Moderate membranous CA 19-9 staining of a small fraction of crypt epithelial cells

Colon descendens, mucosa – Weak to moderate, apical membranous CA 19-9 staining of some superficial epithelial cells. In addition, moderate to strong, predominantly membranous positivity of a fraction of goblet cells

       

Colon descendens, muscular wall

Duodenum, mucosa – Apical membranous CA 19-9 staining of few epithelial cells

Epididymis (Caput)

Epididymis (Cauda) – Weak to moderate CA 19-9 staining can be seen at the apical membrane of epithelial cells

       

Esophagus, squamous epithelium – Absence of CA 19-9 staining in this sample

Esophagus, squamous epithelium – Strong membranous CA 19-9 staining of a significant fraction of cells in superficial layers of the squamous epithelium

Fallopian tube, mucosa – Moderate to strong CA 19-9 staining at the apical membrane of a fraction of epithelial cells

Fat

       

Gallbladder, epithelium – Moderate, predominantly apical, membranous CA 19-9 staining of a fraction of epithelial cells in this sample

Gallbladder, epithelium – Strong, predominantly apical, membranous and cytoplasmic CA 19-9 staining of all epithelial cells (in this sample)

Heart muscle

Ileum, mucosa – Strong, predominantly membranous CA 19-9 staining of a significant fraction of goblet cells, especially at the surface of the epithelium

       

Ileum, mucosa – Weak to moderate apical membranous CA 19-9 staining of some superficial epithelial cells. Moderate, predominantly membranous positivity of a fraction of goblet cells

Ileum, mucosa – Weak to moderate apical membranous CA 19-9 staining of some superficial epithelial cells. In addition, few epithelial cells - predominantly in the crypts – exhibit a strong cytoplasmic and membranous CA 19-9 positivity

Kidney, cortex – Weak to moderate, apical membranous CA 19-9 staining of few tubular cells

Kidney, medulla – Weak to moderate membranous CA 19-9 staining of few collecting duct cells

       

Liver – Strong membranous and cytoplasmic CA 19-9 staining of intrahepatic bile ducts. Some hepatocytes can show a membranous CA 19-9 positivity at the apical-luminal membrane

Lung

Lymph node

Ovary, corpus luteum

       

Ovary, stroma

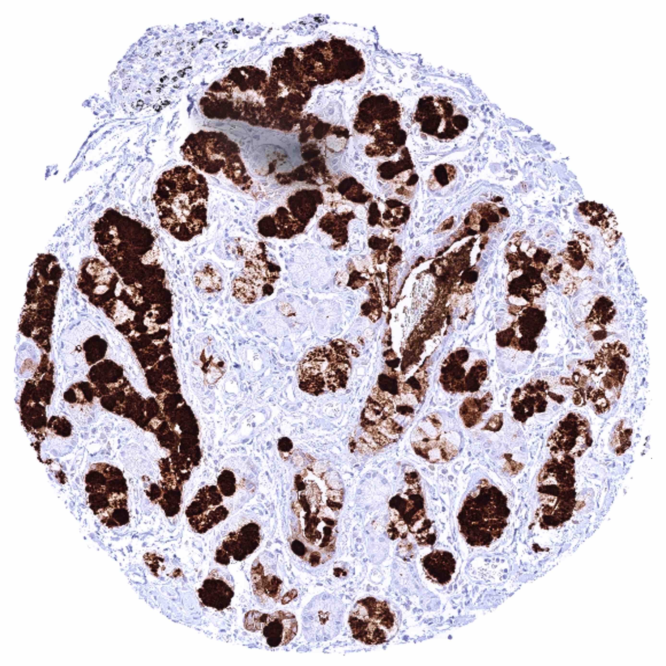
Pancreas – Strong, membranous and cytoplasmic CA 19-9 staining of intercalated ducts

Parathyroid gland

Parotid gland – Weak to moderate membranous CA 19-9 staining of few excretory duct cells

       

Pituitary gland, anterior lobe

Pituitary gland, posterior lobe

Placenta (amnion and chorion) – Strong membranous and cytoplasmic CA 19-9 staining of a significant fraction of amnion cells

Placenta, early

       

Placenta, mature

Prostate – Focal membranous CA 19-9 staining of epithelial cells

Rectum, mucosa – Moderate membranous CA 19-9 staining of a small fraction of crypt epithelial cells

Seminal vesicle

       

Skeletal muscle

Skin, hairfollicel and sebaceous glands

Skin

Spleen

       

Stomach, antrum – Strong membranous and cytoplasmic CA 19-9 staining of a significant fraction of cells of gastric glands

Stomach, antrum – Strong membranous and cytoplasmic CA 19-9 staining of a small subset of cells in gastric glands

Sublingual gland – Weak to strong, predominantly cytoplasmic (but also membranous) CA 19-9 staining of mucinous glandular cells. Moderate membranous staining of some myoepithelial cells

Submandibular gland – Weak to strong, predominantly cytoplasmic (but also membranous) CA 19-9 staining of mucinous glandular cells. Moderate membranous staining of few myoepithelial cells

       

Testis

Thymus – Strong membranous and cytoplasmic CA 19-9 staining of most cells of corpuscles of Hassall's

Thymus

Thyroid gland

       

Tonsil – Strong membranous and cytoplasmic CA 19-9 staining of a small subset of squamous epithelial cells in the crypts

Tonsil, surface epithelium – Weak to moderate membranous CA 19-9 staining of a fraction of cells in suprabasal and basal cell layers of the squamous epithelium

Urinary bladder, muscular wall

Urinary bladder, urothelium – Weak to moderate membranous CA 19-9 staining of a fraction of urothelial cells, especially in the superficial cell layer

       

Uterus, ectocervix – Weak to moderate cytoplasmic CA 19-9 staining of a fraction of cells in the suprabasal and superficial cell layers of the squamous epithelium

Uterus, endocervix – Cytoplasmic CA 19-9 staining of variable intensity is only seen in few endocervical epithelial cells in this sample

Uterus, endocervix – Strong cytoplasmic CA 19-9 staining of endocervical epithelial cells

Uterus, endometrium (pregnancy)

       

Uterus, endometrium (proliferation)

Uterus, endometrium (secretion) – Weak to moderate CA 19-9 staining of few epithelial cells, predominantly at luminal membranes

Uterus, myometrium

 
       

 

| TOP |