Normal Tissue Gallery- GTX639931

Caspase 3 antibody [HMV307] HistoMAXTM

 

Go to Cancer Tissue Gallery
  
 Go back to product page
  

Go to HistoMAX page

 

Adrenal gland – Weak cytoplasmic caspase-3 positivity of a subset of epithelial cells

Aorta, media

Appendix, mucosa – Moderate cytoplasmic caspase-3 positivity of epithelial cells. Variable (weak to strong) caspase-3 positivity of lymphocytic cells

Appendix, muscular wall

       

Bone marrow – Variable (weak to strong) caspase-3 positivity of a fraction of cells

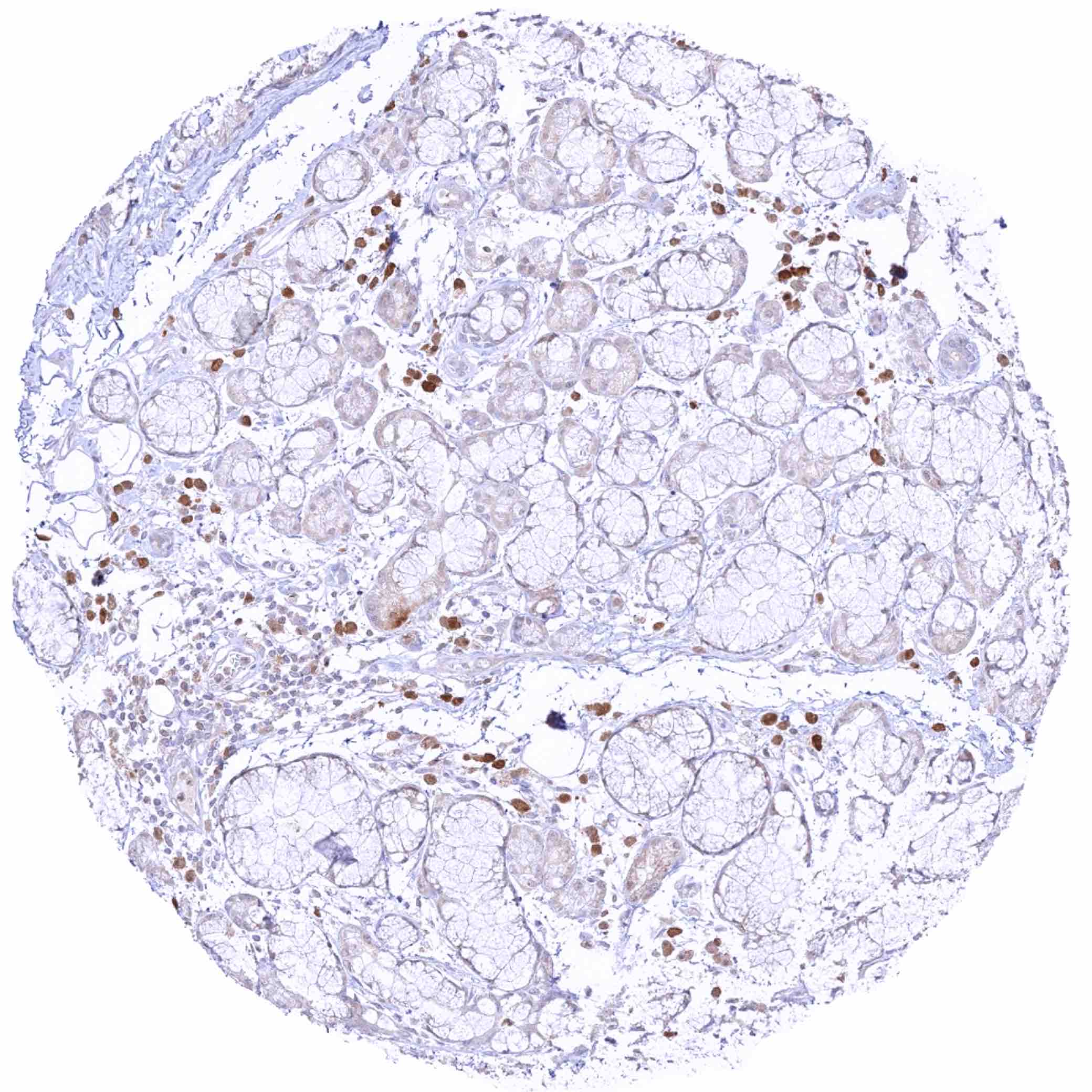
Breast – Weak to moderate cytoplasmic caspase-3 positivity of luminal epithelial cells

Bronchus, glands – Moderate to strong cytoplasmic caspase-3 positivity of respiratory epithelial cells

Cerebellum (white matter)

       

Cerebellum, cortex (molecular layer, Purkinje cell layer, granule cell layer)

Cerebrum – Weak cytoplasmic caspase-3 positivity of glia cells

Colon descendens, mucosa – Moderate cytoplasmic caspase-3 positivity of epithelial cells

Colon descendens, muscular wall

       

Duodenum, Brunner gland – Moderate to strong cytoplasmic caspase-3 positivity of surface epithelial cells. Brunner glands are caspase-3 negative

Duodenum, mucosa – Strong cytoplasmic caspase-3 positivity of epithelial cells

Epididymis, Caput – Faint cytoplasmic caspase-3 positivity of epithelial cells of the caput

Epididymis, Cauda

       

Esophagus, squamous epithelium – Weak cytoplasmic caspase-3 staining of squamous epithelial cells of the lower half of the epidermis

Fallopian tube, mucosa – Faint cytoplasmic caspase-3 positivity of respiratory epithelial cells

Fat

Gallbladder, epithelium – Weak cytoplasmic caspase-3 positivity of epithelial cell

       

Heart muscle

Ileum, mucosa – Strong cytoplasmic caspase-3 positivity of epithelial cells

Kidney, cortex – Very faint cytoplasmic caspase-3 positivity of some tubular cells

Kidney, medulla

       

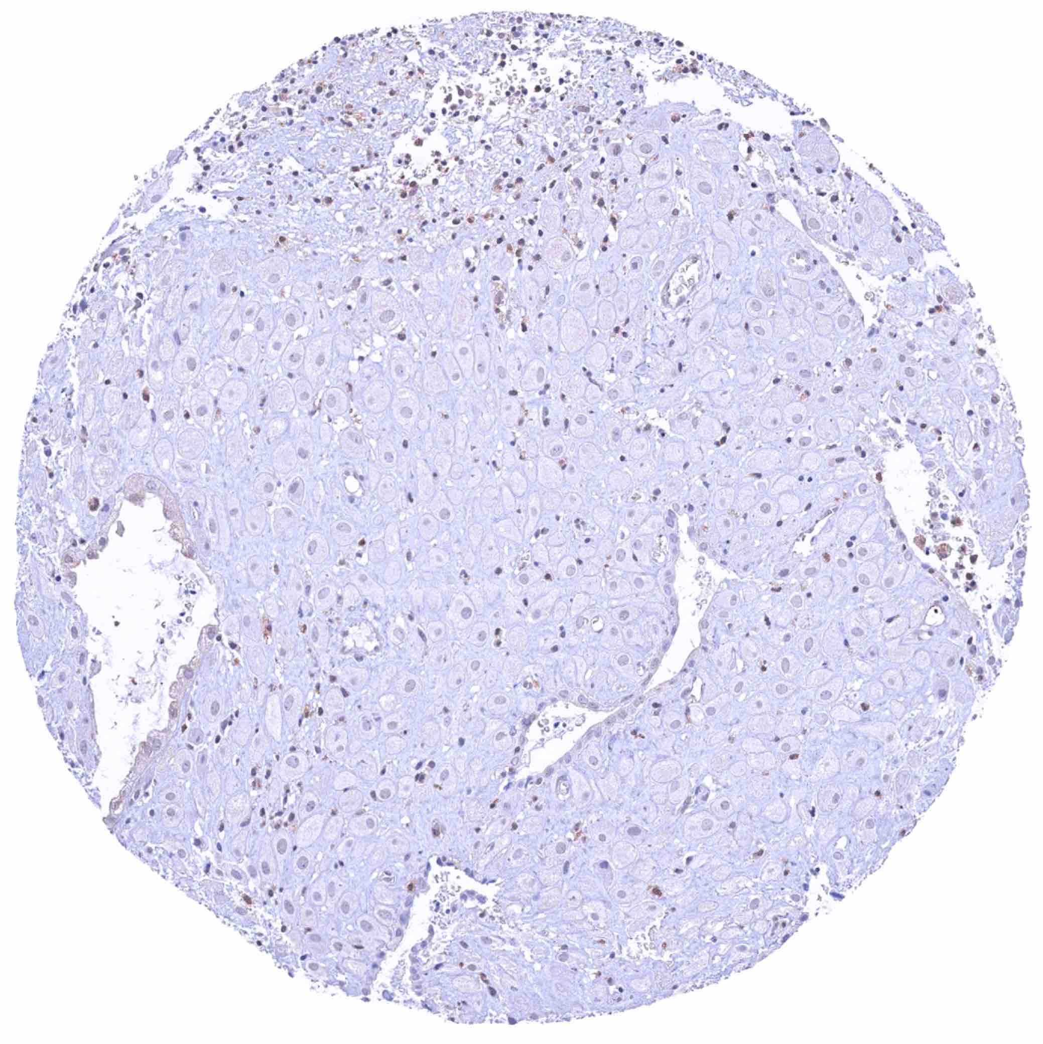
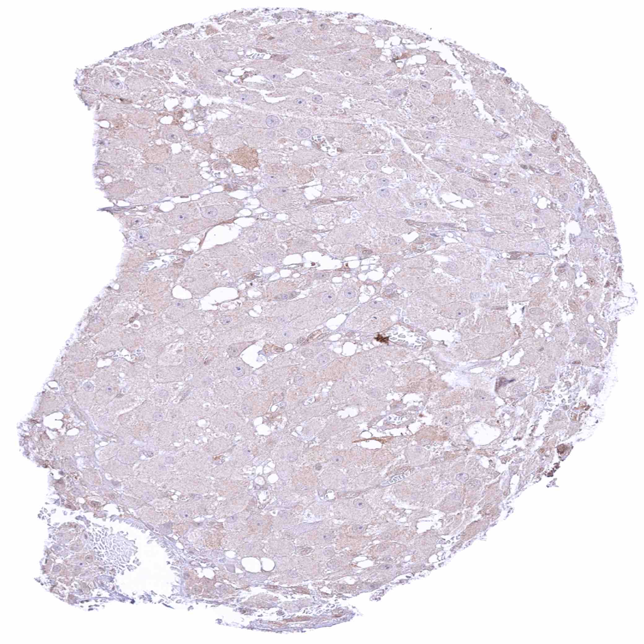
Liver

Lung

Ovary, corpus luteum – Weak cytoplasmic caspase-3 positivity of corpus luteum cells

Ovary, follicular cyst

       

Ovary, stroma

Pancreas – Faint cytoplasmic caspase-3 positivity of many epithelial cells

Parathyroid gland – Faint cytoplasmic caspase-3 positivity of epithelial cells

Parotid gland – Moderate cytoplasmic caspase-3 positivity of few inflammatory cells

       

Pituitary gland, anterior lobe – Weak to moderate cytoplasmic caspase-3 positivity of epithelial cells

Pituitary gland, posterior lobe

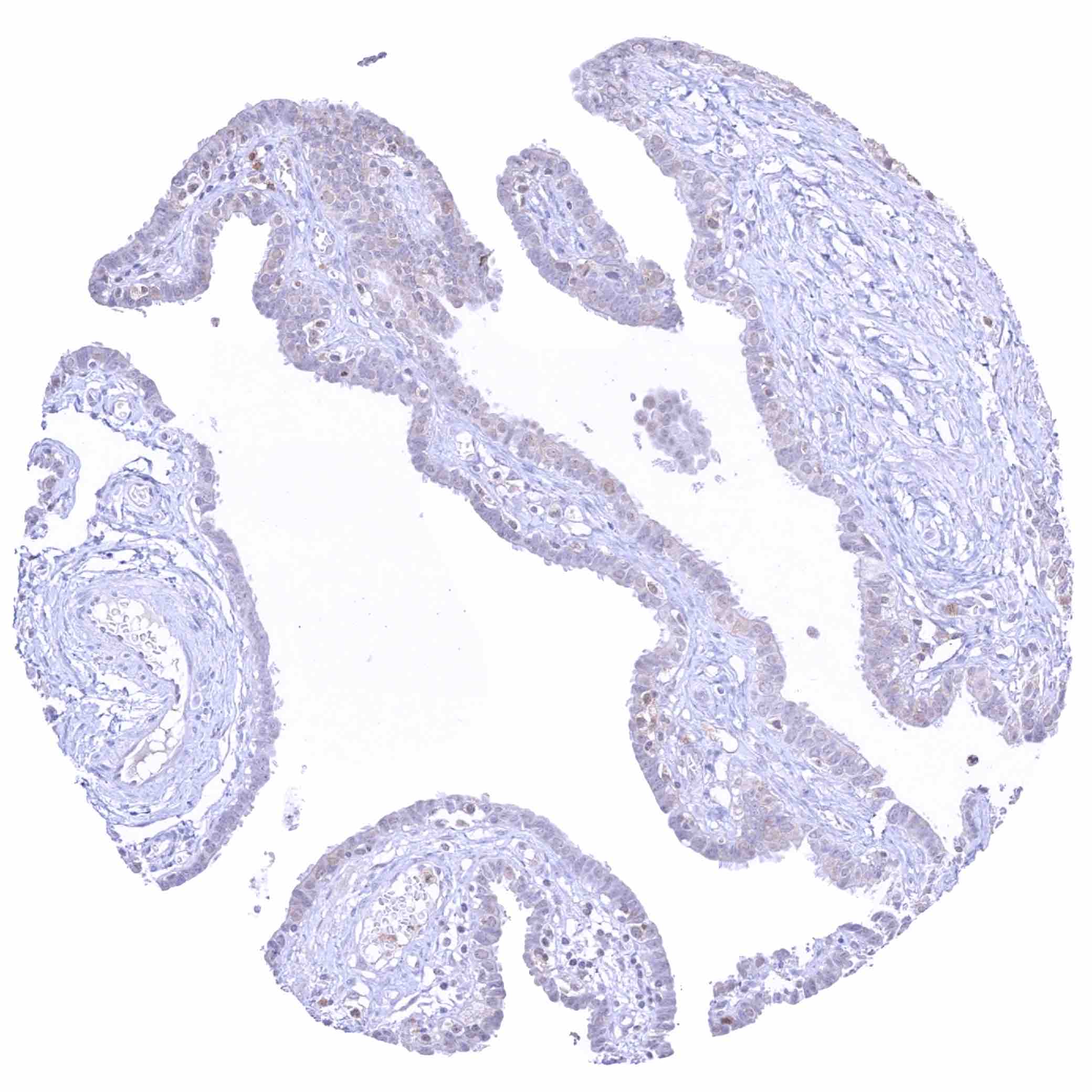
Placenta (amnion and chorion)

Placenta, early – Moderate to strong cytoplasmic caspase-3 positivity of cytotrophoblast cells

       

Placenta, mature – Moderate to strong cytoplasmic caspase-3 positivity of trophoblast cells

Prostate

Rectum, mucosa – Moderate cytoplasmic caspase-3 positivity of epithelial cells

Seminal vesicle – Moderate cytoplasmic caspase-3 positivity of epithelial cells

       

Sinus paranasales – Weak to moderate cytoplasmic caspase-3 positivity of respiratory epithelial cells

Skeletal muscle

Skeletal muscle

Skin – Faint cytoplasmic caspase-3 staining of squamous epithelial cells of the lower half of the epidermis

       

Spleen – Variable (weak to strong) caspase-3 positivity of lymphocytic-inflammatory cells

Stomach, antrum – Moderate to strong cytoplasmic caspase-3 positivity of epithelial cells of the surface epithelium

Stomach, corpus – Moderate to strong cytoplasmic caspase-3 positivity of epithelial cells of the surface epithelium

Sublingual gland

       

Testis – Weak cytoplasmic caspase-3 positivity of spermatogonia and (at a lower level) in spermatocytes

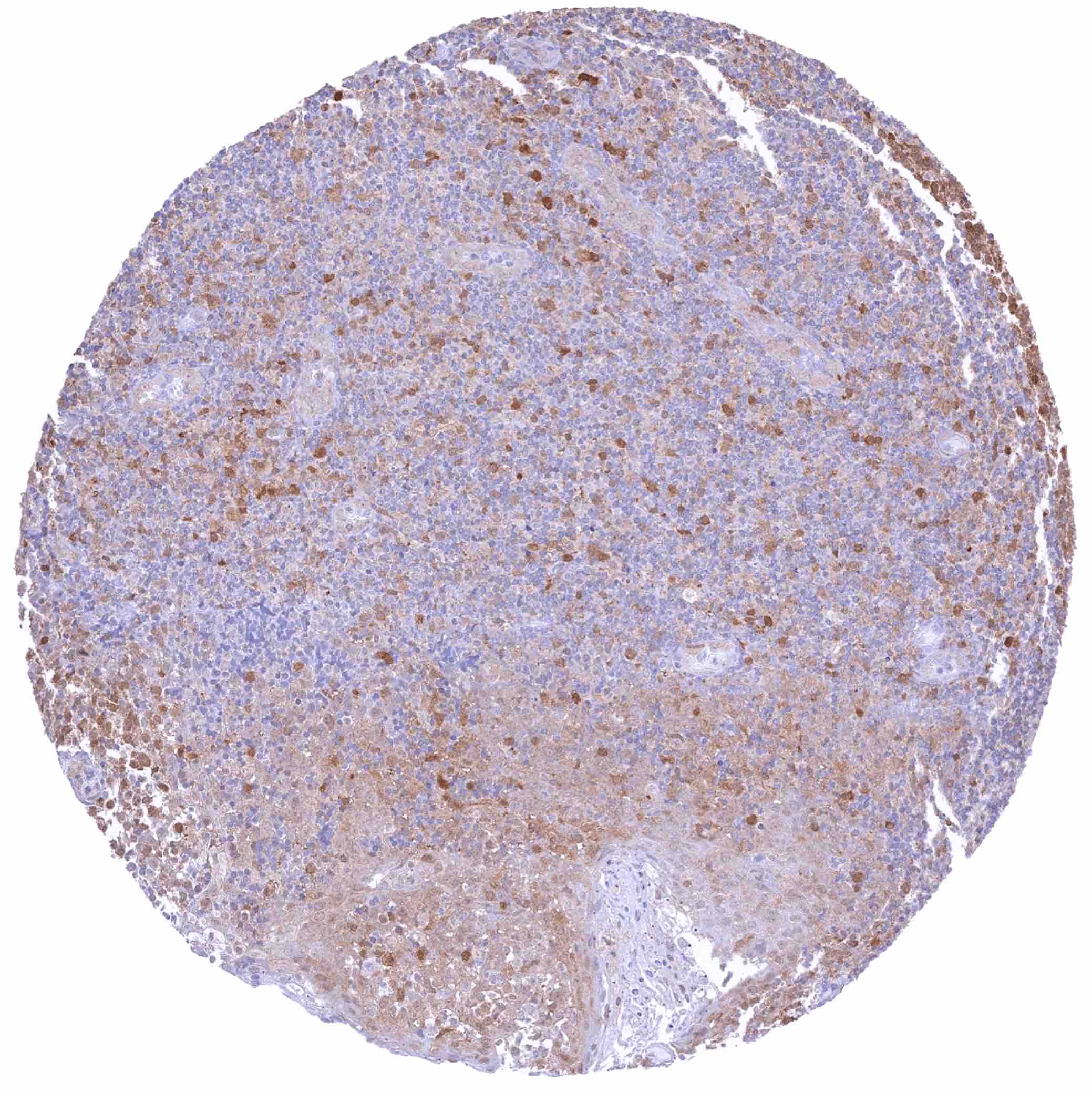
Thymus – Variable (weak to strong) caspase-3 positivity of lymphocytic cells

Tonsil – Variable cytoplasmic caspase-3 positivity of lymphocytic cells, staining is strongest in germinal centres

Tonsil – Weak caspase-3 staining of cryptal epithelial cells. Variable (weak to strong) caspase-3 positivity of lymphocytic cells

       

Urinary bladder, muscular wall

Urinary bladder, urothelium – Moderate to strong cytoplasmic caspase-3 staining of urothelial cells. Staining is weakest in the basal cell layers

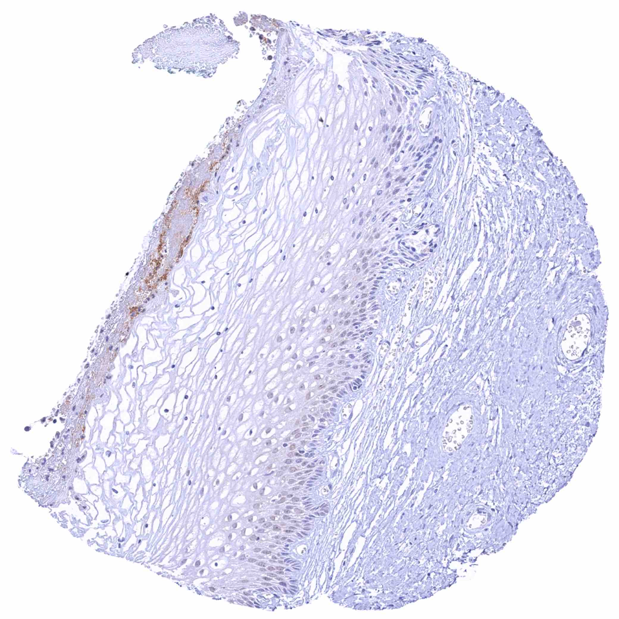
Uterus, ectocervix – Faint cytoplasmic caspase-3 staining of suprabasal squamous epithelial cells

Uterus, endocervix

       

Uterus, endometrium (pregnancy) – Moderate to strong cytoplasmic caspase-3 positivity of some inflammatory cells

Uterus, endometrium (proliferation)

Uterus, endometrium (secretion)

Uterus, myometrium

   

 

| TOP |