Cancer Tissue Gallery- GTX639931

Thymidylate synthase antibody [HMV305] HistoMAXTM

 

Go to Normal Tissue Gallery
  
 Go back to product page
  

Go to HistoMAX page

 

Adrenal gland – CASP3 negative adrenocortical adenoma

Adrenal gland – CASP3 negative pheochromocytoma

Breast – CASP3 negative invasive lobular breast cancer

Breast – Invasive breast cancer of no special type (NST) showing a moderate to strong CASP3 reactivity of tumor cells

       

Colon – CASP3 negative colorectal adenocarcinoma

Colon – Colorectal adenocarcinoma with strong CASP3 staining of all tumor cells

Esophagus – Adenocarcinoma showing a moderate to strong CASP3 staining of tumor cells

Kidney – CASP3 negative clear cell carcinoma

       

Kidney – CASP3 negative papillary renal cell carcinoma

Larynx – Squamous cell carcinoma with strong CASP3 staining of tumor cells

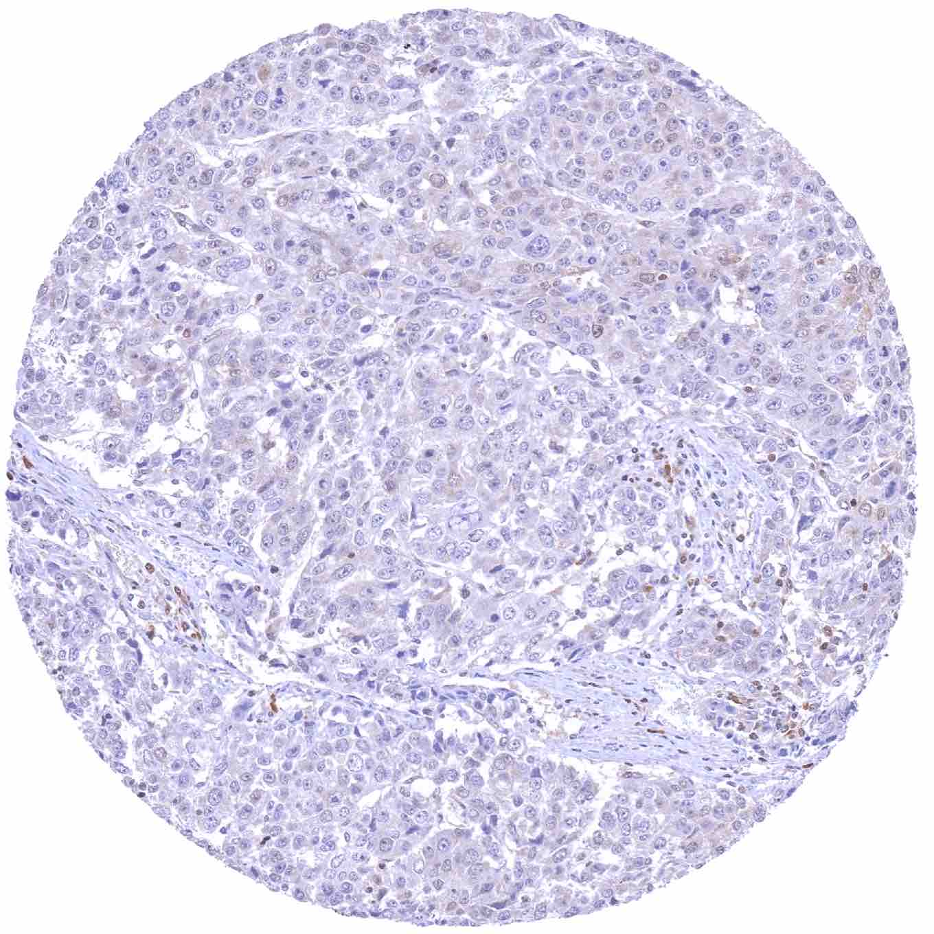
Liver – CASP3 negative cholangiocellular carcinoma

Liver – CASP3 negative hepatocellular carcinoma. Strong CASP3 positivity of some interspersed lymphocytes

       

Lung – Adenocarcinoma with strong CASP3 positivity of tumor cells. Strong CASP3 is also seen in intermingled non-neoplastic lymphocytes

Lung – CASP3 negative squamous cell carcinoma

Lung – Epitheloid mesothelioma with faint CASP3 positivity of tumor cells

Lymph node – CASP3 negative B-CLL. Strong CASP3 positivity of few intermingled non-neoplastic lymphocytes

       

Lymph node – CASP3 negative Hodgkin’s lymphoma. Strong CASP3 positivity of some non-neoplastic lymphocytes

Lymph node – Diffuse large B-cell lymphoma exhibiting a strong CASP3 immunostaining of all tumor cells

Lymph node – Diffuse large B-cell lymphoma with strong CASP3 staining of tumor cells

Lymph node – Hodgkin’s lymphoma with intense CASP3 staining of Hodgkin’s and Reed-Sternberg cells

       

Lymph node – Hodgkin’s lymphoma with only a faint CASP3 staining of tumor cells. Strong CASP3 positivity of a large fraction of non-neoplastic lymphocytes

Ovary – CASP3 negative serous high-grade carcinoma showing CASP3 positivity of intermingled lymphocytes

Ovary – Serous high-grade carcinoma with strong CASP3 staining of scattered cells

Pancreas – Adenocarcinoma of the papilla Vaterii with strong CASP3 staining of tumor cells

       

Pancreas – CASP3 negative neuroendocrine tumor

Pancreas – Ductal adenocarcinoma with moderate to strong CASP3 positivity of tumor cells

Penis – Squamous cell carcinoma with moderate CASP3 staining of tumor cells. CASP3 staining is stronger in intermingled lymphocytes

Penis – Squamous cell carcinoma with moderate to strong CASP3 staining of tumor cells

       

Pharynx – Squamous cell carcinoma showing strong CASP3 staining of all tumor cells

Prostate – CASP3 negative adenocarcinoma (Gleason 3+3=6)

Salivary gland – CASP3 negative Warthin tumor. Some of the intermingled lymphocytes are CASP3 positive

Soft tissue – CASP3 negative leiomyosarcoma

       

Soft tissue – Chondrosarcoma with a weak CASP3 staining of tumor cells. Strong CASP3 positivity of intermingled lymphocytes

Soft tissue – Leiomyosarcoma with a variable, weak to strong CASP3 staining of tumor cells

Stomach – CASP3 negative gastrointestinal stromal tumor (GIST)

Stomach – Gastric adenocarcinoma (diffuse type) with strong CASP3 positivity of tumor cells

       

Stomach – Gastric adenocarcinoma (intestinal type) with strong CASP3 staining of all tumor cells

Testis – CASP3 negative Leydig cell tumor

Testis – CASP3 negative seminoma. Strong CASP3 positivity of intermingled lymphocytes

Testis – Embryonal carcinoma with strong CASP3 immunostaining of all tumor cells

       

Testis – Seminoma with weak CASP3 staining of tumor cells

Thyroid – Anaplastic carcinoma with strong CASP3 staining of all tumor cells

Thyroid – CASP3 negative papillary carcinoma

Urinary bladder – Muscle-invasive urothelial carcinoma with intense CASP3 positivity of tumor cells

       

Uterus, cervix – Adenocarcinoma with strong CASP3 staining of tumor cells

Uterus, cervix – CASP3 negative squamous cell carcinoma

   

 

| TOP |