Normal Tissue Gallery- GTX04385

Cytokeratin 13 antibody [MSVA-613M] HistoMAX

 

Go to Cancer Tissue Gallery
  
 Go back to product page
  

Go to HistoMAX page

 

Adrenal gland

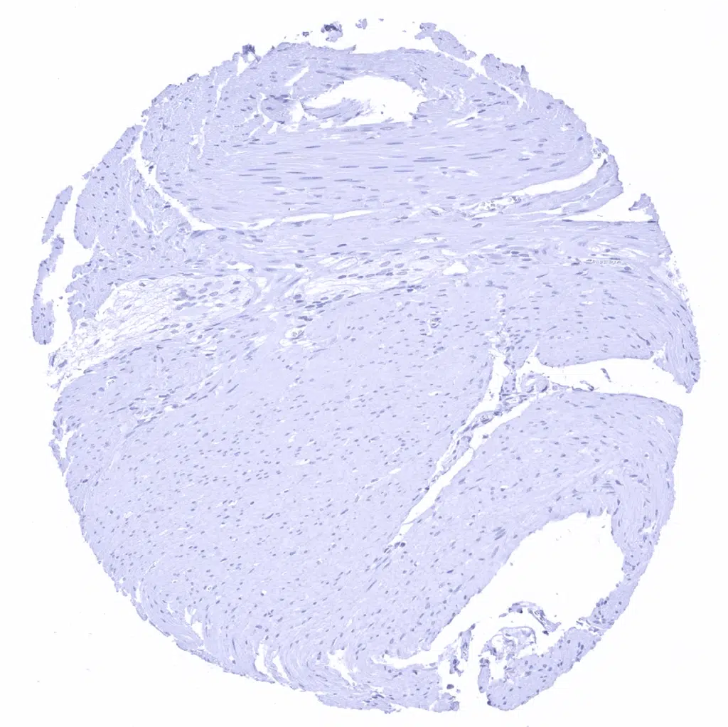
Aorta, media

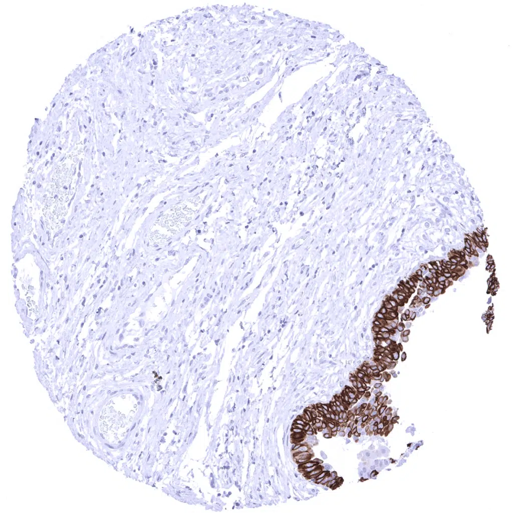
Appendix, mucosa

Appendix, muscular wall

       

Bone marrow

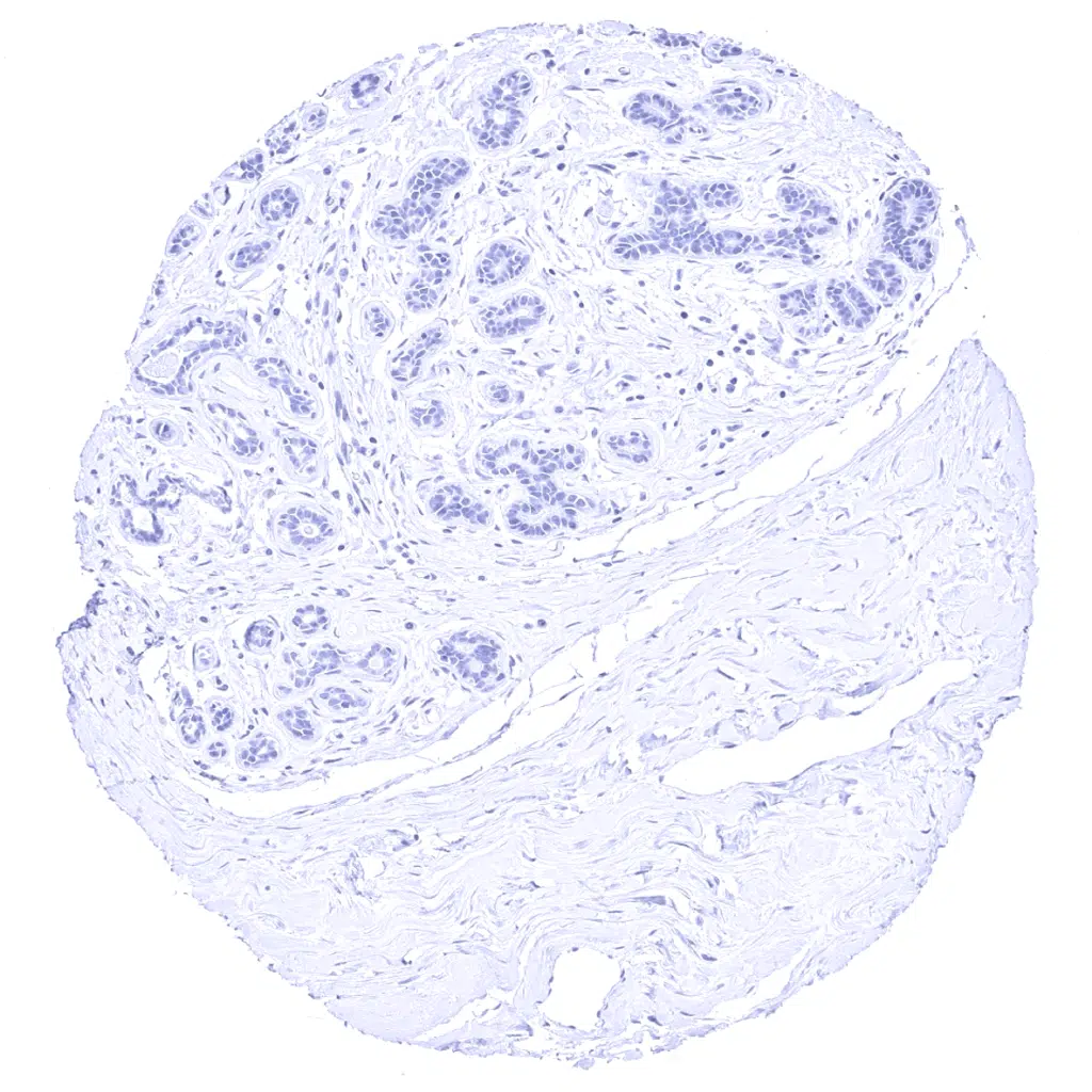
Breast

Bronchus, mucosa

Cerebellum (molecular layer, Purkinje cell layer, granule cell layer)

       

Cerebellum (granule cell layer, white matter)

Cerebrum, grey matter

Cerebrum, white matter

Colon descendens, mucosa

       

Colon descendens, muscular wall

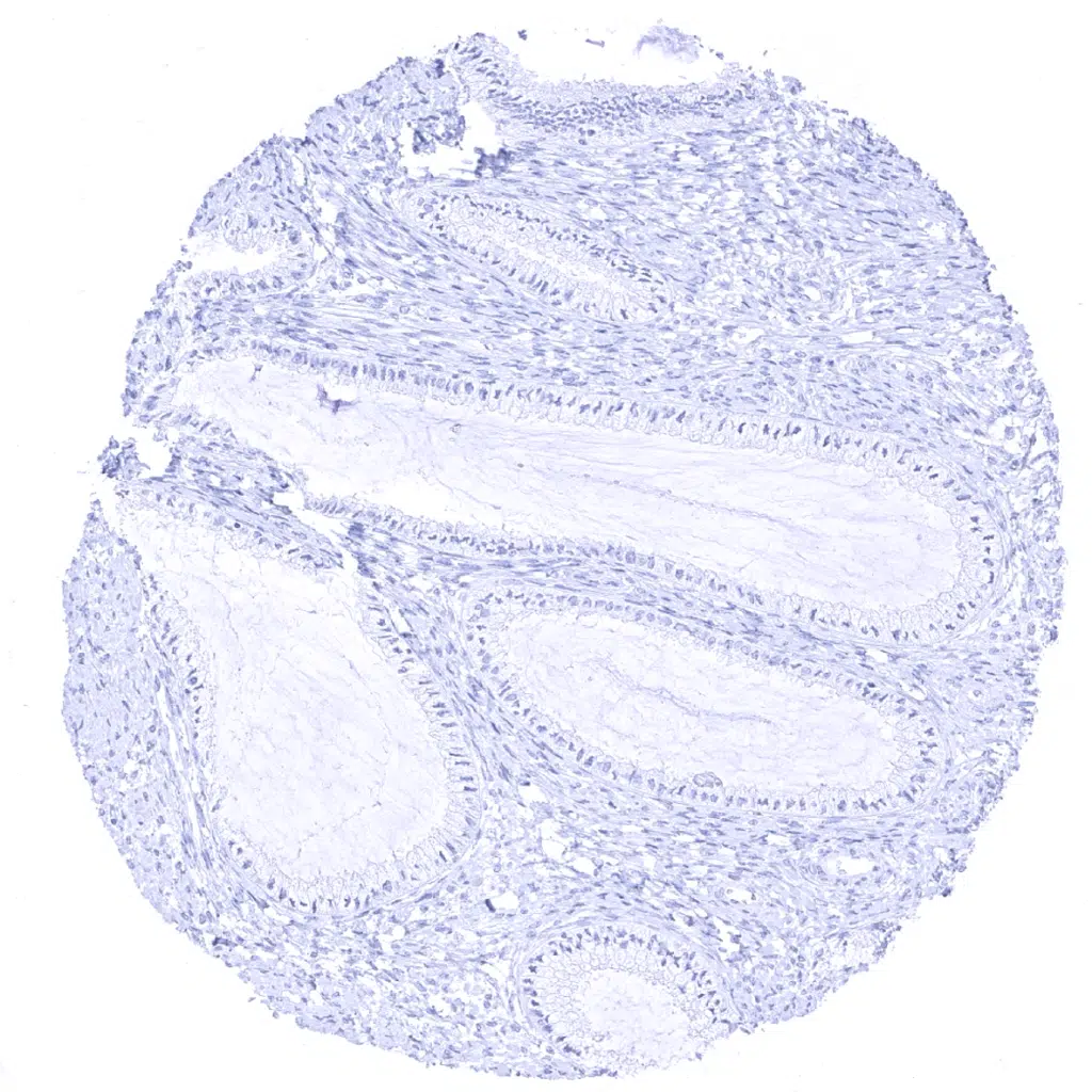
Duodenum, mucosa

Ectocervix - Cytokeratin 13 immunostaining is strong in all supra-basal cell layers of non-keratinizing squamous epithelium but weak or absent in basal cells.

Endocervix

       

Endometrium, proliferation

Endometrium, secretion

Epididymis

Esophagus, squamous epithelium - Cytokeratin 13 immunostaining is strong in all supra-basal cell layers of non-keratinizing squamous epithelium but weak or absent in basal cells.

       

Fallopian tube, mucosa

Fat

Gallbladder, epithelium

Heart

       

Kidney, cortex

Kidney, medulla

Liver

Lung

       

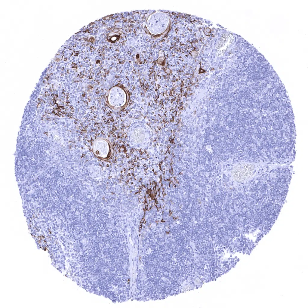
Lymph node

Ovary, stroma

Pancreas

Parathyroid

       

Parotid gland

Pituitary gland, anterior lobe

Pituitary gland, posterior lobe

Pregnant uterus (decidua)

       

Placenta, early

Placenta, mature

Placenta (amnion and chorion)

Prostate

       

Rectum, mucosa

Seminal vesicle - Few scattered Cytokeratin 13 positive cells or cell groups occur in basal cells of seminal vesicle epithelium.

Sinus paranasales

Skin - Cytokeratin 13 staining is usually absent in the skin.

       

Spleen

Stomach, antrum

Stomach, corpus

Ileum, mucosa

       

Striated muscle

Testis

Thymus - Cytokeratin 13 immunostaining is seen in a fraction of thymic epithelial cells.

Thymus - Cytokeratin 13 positivity is seen in a fraction of thymic epithelial cells.

       

Thyroid gland

Tonsil, surface epithelium - Cytokeratin 13 immunostaining is strong in all supra-basal cell layers of non-keratinizing squamous epithelium but weak or absent in corresponding basal cells.

Tonsil

Urinary bladder, muscular wall

       

Urinary bladder, urothelium - Cytokeratin 13 is positive in urothelium (except umbrella cells).

Uterus, myometrium

   

 

| TOP |