Normal Tissue Gallery- GTX04477

GAD65 antibody [MSVA-602M] HistoMAX

 

Go to Cancer Tissue Gallery
  
 Go back to product page
  

Go to HistoMAX page

 

Adrenal gland

Adrenal gland (2)

Aorta, media

Appendix, mucosa

       

Appendix, muscular wall

Bone marrow

Breast

Bronchus, mucosa

       

Cerebrum (grey) – Abundant GAD65 positive fibres in the grey matter

Cerebrum (white) – Only few GAD65 positive fibres in the white matter

Colon descendens, mucosa

Colon descendens, muscular wall

       

Duodenum, Brunner gland

Duodenum, mucosa

Epididymis – Pigment is distinctly visible in this epididymis sample

Esophagus, squamous epithelium

       

Fallopian tube, mucosa

Gallbladder, epithelium

Heart muscle

Ileum, mucosa

       

Kidney, cortex

Kidney, medulla – Pigment is prominently visible in this renal sample

Kidney, medulla

Liver – Pigment is prominently visible in this liver sample

       

Liver

Lung

Lymph node

Ovary, corpus luteum

       

Ovary, stroma

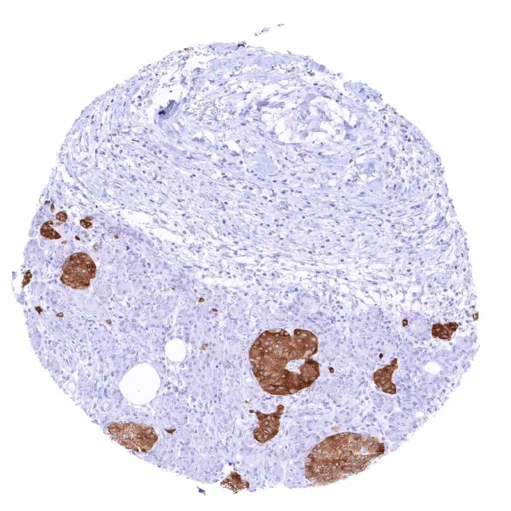
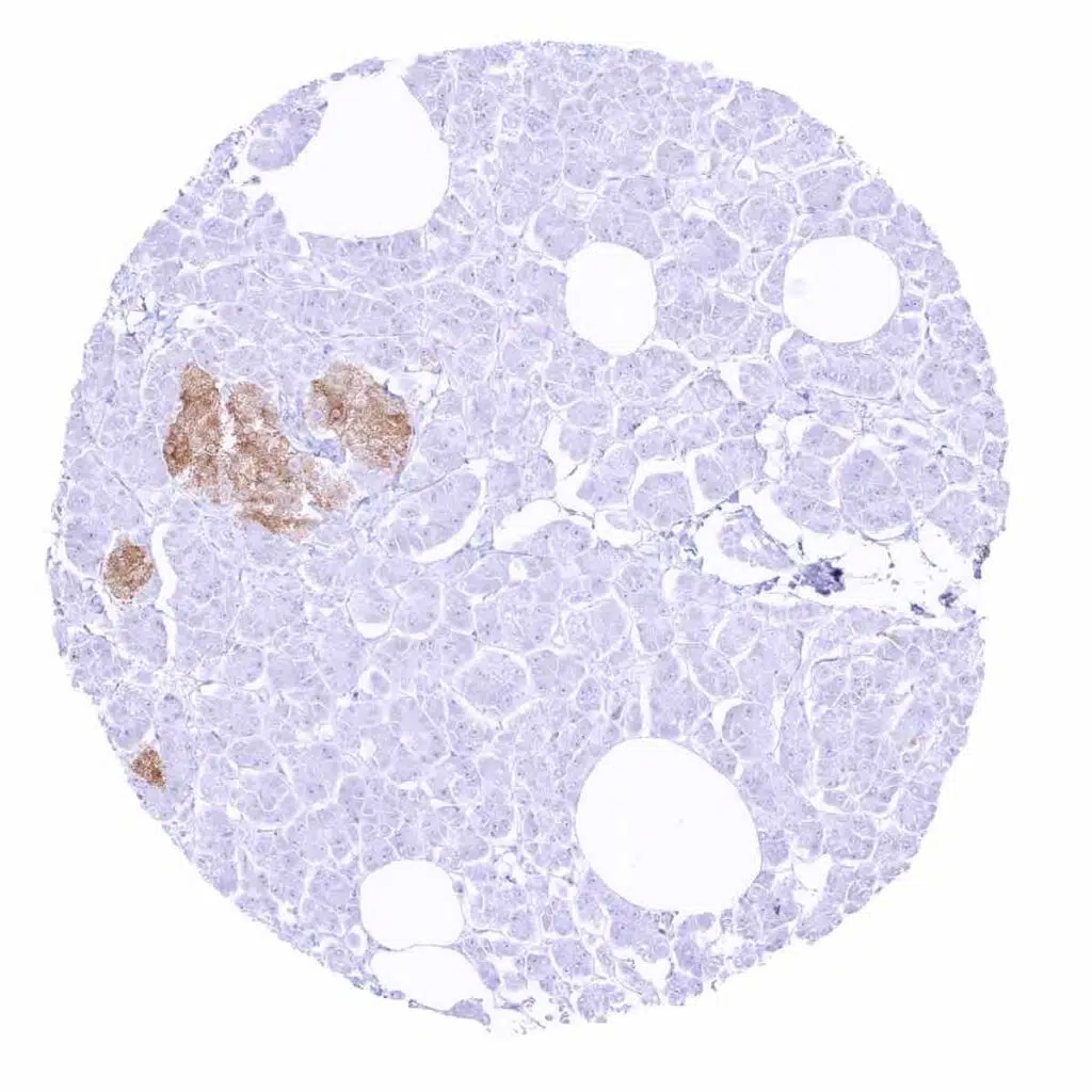
Pancreas – Strong cytoplasmic GAD65 staining of islet cells

Pancreas – Moderate intensity cytoplasmic GAD65 staining of islet cells

Parathyroid gland

       

Parotid gland

Pituitary gland (anterior lobe)

Pituitary gland (posterior lobe)

Placenta (amnion and chorion)

       

Placenta, early

Placenta, mature

Prostate

Prostate

       

Rectum, mucosa

Seminal vesicle

Sinus paranasales

Skeletal muscle

       

Skin

Spleen

Stomach, antrum

Stomach, corpus

       

Testis

Thymus

Thyroid gland

Tonsil, surface epithelium

       

Tonsil

Urinary bladder, muscular wall

Urinary bladder, urothelium

Uterus, ectocervix

       

Uterus, endocervix

Uterus, endometrium (pregnancy)

Uterus, endometrium (proliferation)

Uterus, endometrium (secretion)

       

Uterus, myometrium

 

 

| TOP |