Normal Tissue Gallery- GTX04471

Glutamine synthetase antibody [MSVA-750M] HistoMAX

 

Go to Cancer Tissue Gallery
  
 Go back to product page
  

Go to HistoMAX page

 

Adrenal gland – GS staining (variable intensity) in a fraction of cells

Aorta, media

Appendix, mucosa – GS staining predominates in macrophages and is only focal and mostly faint in epithelial cells

Appendix, mucosa – GS staining predominates in macrophages

       

Appendix, muscular wall

Bone marrow

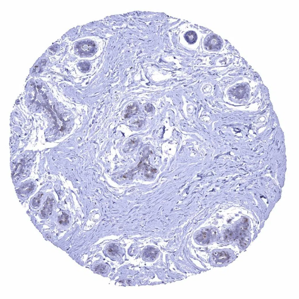
Breast – A faint GS staining occurs in acinar cells of the breast

Bronchus, mucosa – A fraction of cells of the respiratory epithelium show a moderate GS staining

       

Cerebellum (molecular layer, Purkinje cell layer, granule cell layer, white matter) – An intense GS positivity occurs in glia cells and in associated fibres. Purkinje cells are GS negative.

Cerebellum (molecular layer, Purkinje cell layer, granule cell layer, white matter) – Intense GS positivity of glia cells

Cerebrum, grey matter – An intense GS positivity is seen in all glia cells and in associated fibres. Neurons are GS negative

Cerebrum, white matter – All glia cells show strong GS positivity

       

Colon descendens, mucosa – GS staining predominates in macrophages and is only faint in some epithelial cells

Colon descendens, muscular wall

Duodenum, Brunner gland

Duodenum, mucosa – GS staining predominates in macrophages and is only focal and faint in epithelial cells

       

Epididymis – Focal GS staining of moderate intensity in the corpus

Epididymis – GS staining is absent in this sample of the corpus

Epididymis – Strong GS staining in most epithelial cells of the cauda epididymis

Esophagus, squamous epithelium – A moderate to strong nuclear and cytoplasmic GS staining occurs in the basal and suprabasal cell layers as well as in the top cell layers of the squamous epithelium.

       

Fallopian tube, mucosa – A fraction of epithelial cells shows a weak to moderate staining

Fat

Gallbladder, epithelium – GS staining is focal and faint in epithelial cells

Heart muscle

       

Ileum, mucosa – GS staining predominates in macrophages

Kidney pelvis (urothelium) – GS staining is largely absent in the urothelium

Kidney, cortex – Few distal tubuli or collecting ducts may show GS staining

Kidney, medulla

       

Liver – A weak GS staining is seen in Kupffer cells

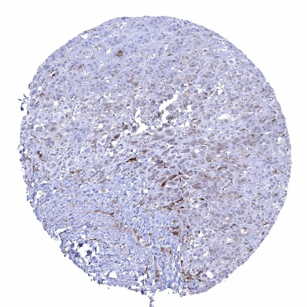
Liver – GS staining is strong in centrilobular hepatocytes, weak to moderate in Kupffer cells but absent in periportal hepatocytes

Liver – GS staining is weak in Kupffer cells but absent in periportal hepatocytes and bile ducts

Lung – GS staining is limited to macrophages

       

Lymph node – GS staining of weak to moderate intensity occurs in sinus macrophages, dendritic cells, and in endothelial cells of small capillaries

Lymph node – Strong GS staining of dendritic cells in a germinal centre

Ovary, corpus luteum – GS staining is variable and ranges from weak to strong (mosaic pattern)

Ovary, stroma

       

Pancreas – A weak to moderate GS staining is focally observed in acinar cells, intercalated ducts and excretory ducts while islet cells are negative

Parathyroid gland

Parotid gland – Weak GS staining of excretory ducts but moderate to strong positivity of fat cells

Pituitary gland, anterior lobe – A weak to moderate GS staining can occur in few cells of the adenohypophysis

       

Pituitary gland, anterior lobe – GS positive cells are not always seen in samples from the adenohypophysis

Pituitary gland, posterior lobe – Intense GS positivity of glia cells and associated fibres

Placenta (amnion and chorion) – Chorion and amnion cells are negative but some decidua cells show a weak to moderate GS staining

Placenta, early

       

Placenta, mature

Prostate

Rectum, mucosa – GS staining of macrophages

Seminal vesicle – GS staining of variable intensity occurs in a fraction of epithelial cells

       

Sinus paranasales – Most cells of the respiratory epithelium and of associated glands show a moderate to strong GS staining

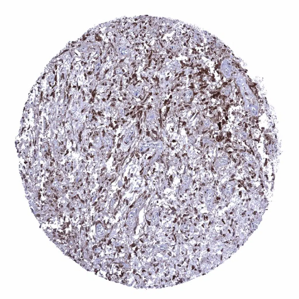
Skeletal muscle – A weak GS staining is seen in satellite cells of skeletal muscle

Skin – A nuclear and cytoplasmic GS staining can be seen in the lower third and in the top layers of the squamous epithelium

Skin (anal canal) – A nuclear and cytoplasmic GS staining is seen in the top third of the squamous epithelium

       

Spleen – Weak to moderate GS staining in histiocytic cells and granulocytes

Stomach, antrum

Stomach, corpus – A strong GS staining is seen in glandular cells while staining is only weak in surface epithelial cells

Sublingual gland – Strong GS staining of myoepithelial cells

       

Testis – GS staining is weak to moderate in Sertoli cells and strong and Leydig cells

Thymus – Prominent GS staining of macrophages and dendritic cells

Thyroid gland – Strong GS staining in follicle cells of the thyroid

Tonsil – GS staining of macrophages and of a fraction of squamous epithelial cells of a crypt

       

Tonsil, surface epithelium – A nuclear and cytoplasmic GS staining is preferentially seen in the top third of the squamous epithelium. Some basal and intermediary cells do also stain.

Urinary bladder, muscular wall

Urinary bladder, urothelium – A strong nuclear and cytoplasmic GS staining occurs in the urothelium. Staining is weakest in basal and umbrella cells

Uterus, ectocervix – A nuclear and cytoplasmic GS staining is seen in the top third of the squamous epithelium

       

Uterus, ectocervix – A nuclear and cytoplasmic GS staining occurs in the top third of the squamous epithelium

Uterus, endocervix

Uterus, endometrium (pregnancy) – GS staining is very intense in decidua cells

Uterus, endometrium (proliferation)

       

Uterus, endometrium (secretion) – GS staining predominates in stromal and inflammatory cells and is only focal and faint in epithelial cells

Uterus, myometrium – A weak GS staining is seen in few endothelial cells of small capillaries

   

 

| TOP |