Normal Tissue Gallery- GTX639944

SDHB antibody [HMV320] HistoMAXTM

 

Go to Cancer Tissue Gallery
  
 Go back to product page
  

Go to HistoMAX page

 

Adrenal gland – Strong granular cytoplasmic SDHB staining of epithelial cells

Aorta, media

Appendix, mucosa – At least a moderate granular cytoplasmic SDHB staining of all cells, predominantly in the epithelium

Appendix, muscular wall – Weak granular cytoplasmic SDHB staining of smooth muscle cells

       

Bone marrow – Granular cytoplasmic SDHB staining is only faint, if at all visible

Breast – Moderate granular cytoplasmic SDHB staining of epithelial cells

Bronchus, mucosa – Marked granular cytoplasmic SDHB staining of epithelial cells, predominately in the sub-apical compartment

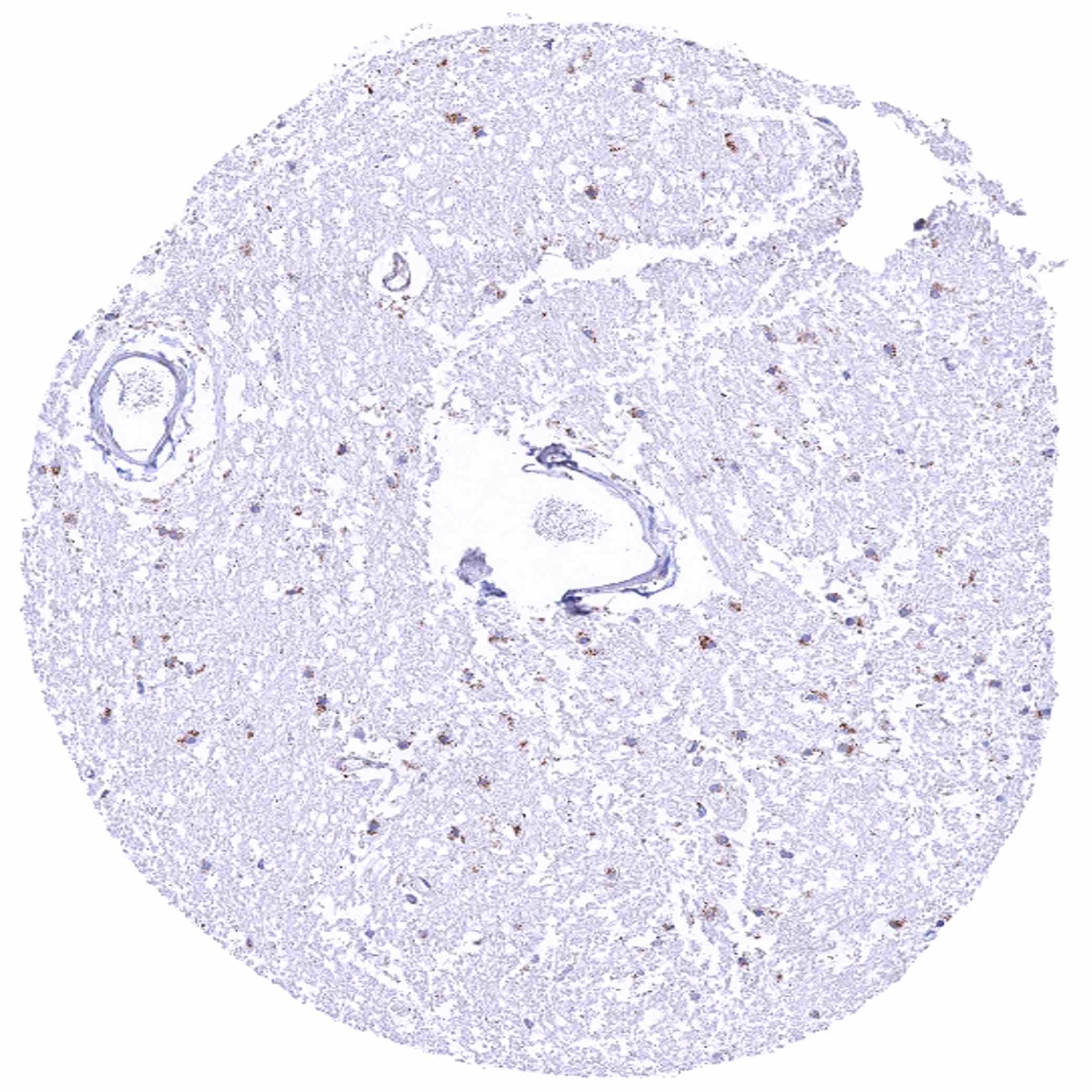
Cerebellum (white matter) – Weak to moderate granular cytoplasmic SDHB staining of glia cells

       

Cerebellum, cortex (molecular layer, Purkinje cell layer, granule cell layer) – Rather weak granular cytoplasmic SDHB staining of cells

Cerebrum, grey matter – Weak to moderate granular cytoplasmic SDHB staining of neurons and glia cells

Cerebrum, white matter – Weak to moderate granular cytoplasmic SDHB staining of glia cells

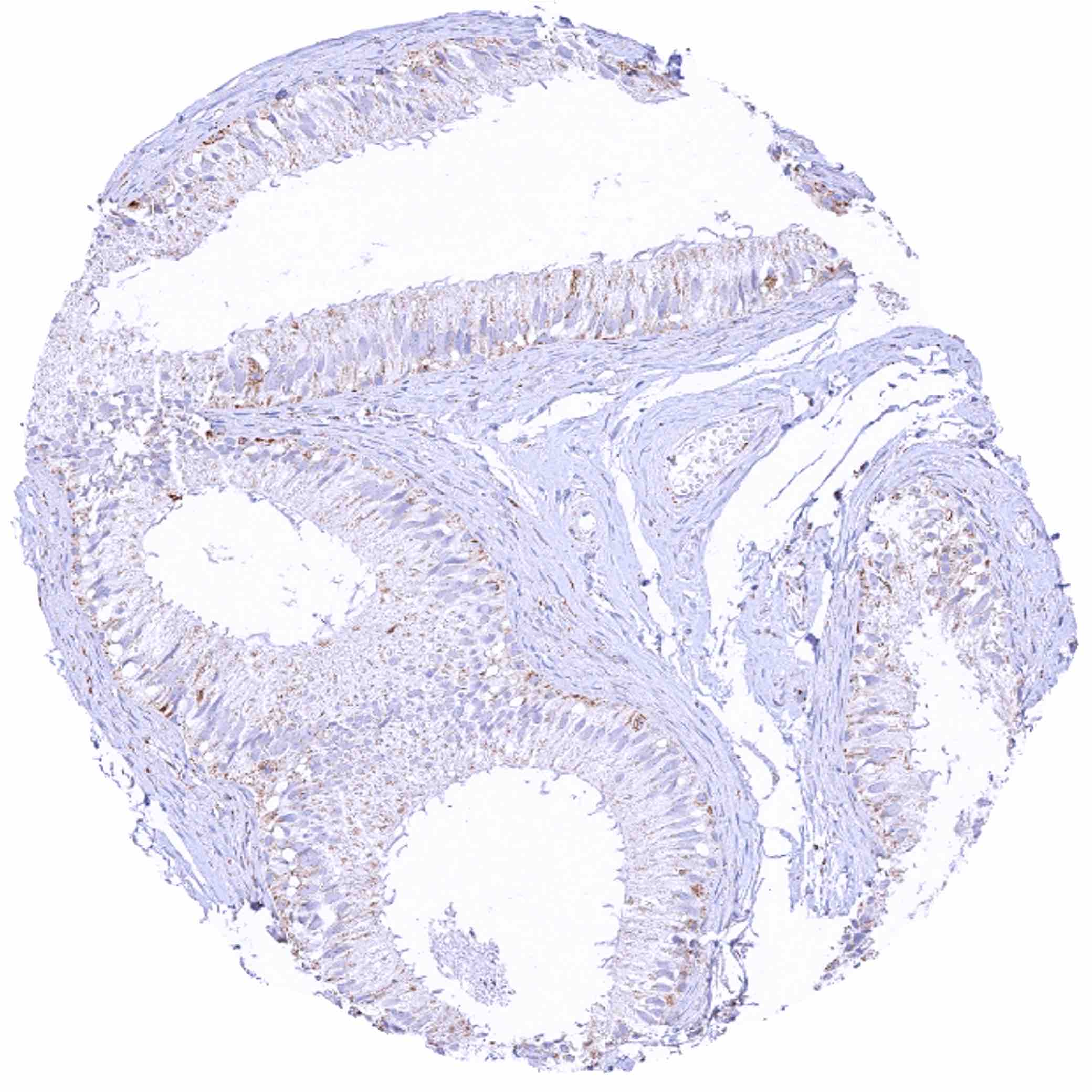
Colon descendens, mucosa – At least a moderate granular cytoplasmic SDHB staining of all cells, predominantly in the epithelium

       

Colon descendens, muscular wall – Granular cytoplasmic SDHB staining of smooth muscle cells is only faint. SDHB staining is markedly more intense in ganglion cells

Duodenum, Brunner gland – Weak to moderate granular cytoplasmic SDHB staining of glandular cells

Duodenum, mucosa

Epididymis – Weak granular cytoplasmic SDHB staining in epithelial cells of the corpus

       

Epididymis – Weak to moderate granular cytoplasmic SDHB staining, predominately in the sub-apical compartment, in epithelial cells of the cauda

Esophagus, squamous epithelium – Moderate granular cytoplasmic SDHB staining, predominantly of basal and suprabasal squamous epithelial cells

Fallopian tube, mucosa – Weak to moderate granular cytoplasmic SDHB staining of epithelial cells

Fat – Absence of unequivocal SDHB staining

       

Gallbladder, epithelium – Significant granular cytoplasmic SDHB staining of epithelial cells, predominately in the sub-apical compartment

Heart muscle – Strong granular cytoplasmic SDHB staining

Ileum, mucosa – Significant granular cytoplasmic SDHB staining of all epithelial cells. It predominates in the sub-apical compartment and it is slightly stronger in villi than in crypts

Kidney, cortex – Intense granular cytoplasmic SDHB staining of tubuli while staining is weak in glomeruli

       

Kidney, medulla – Granular cytoplasmic SDHB staining of variable intensity of a subset of collecting ducts

Liver – Substantial granular cytoplasmic SDHB staining of cells, especially in hepatocytes

Lung

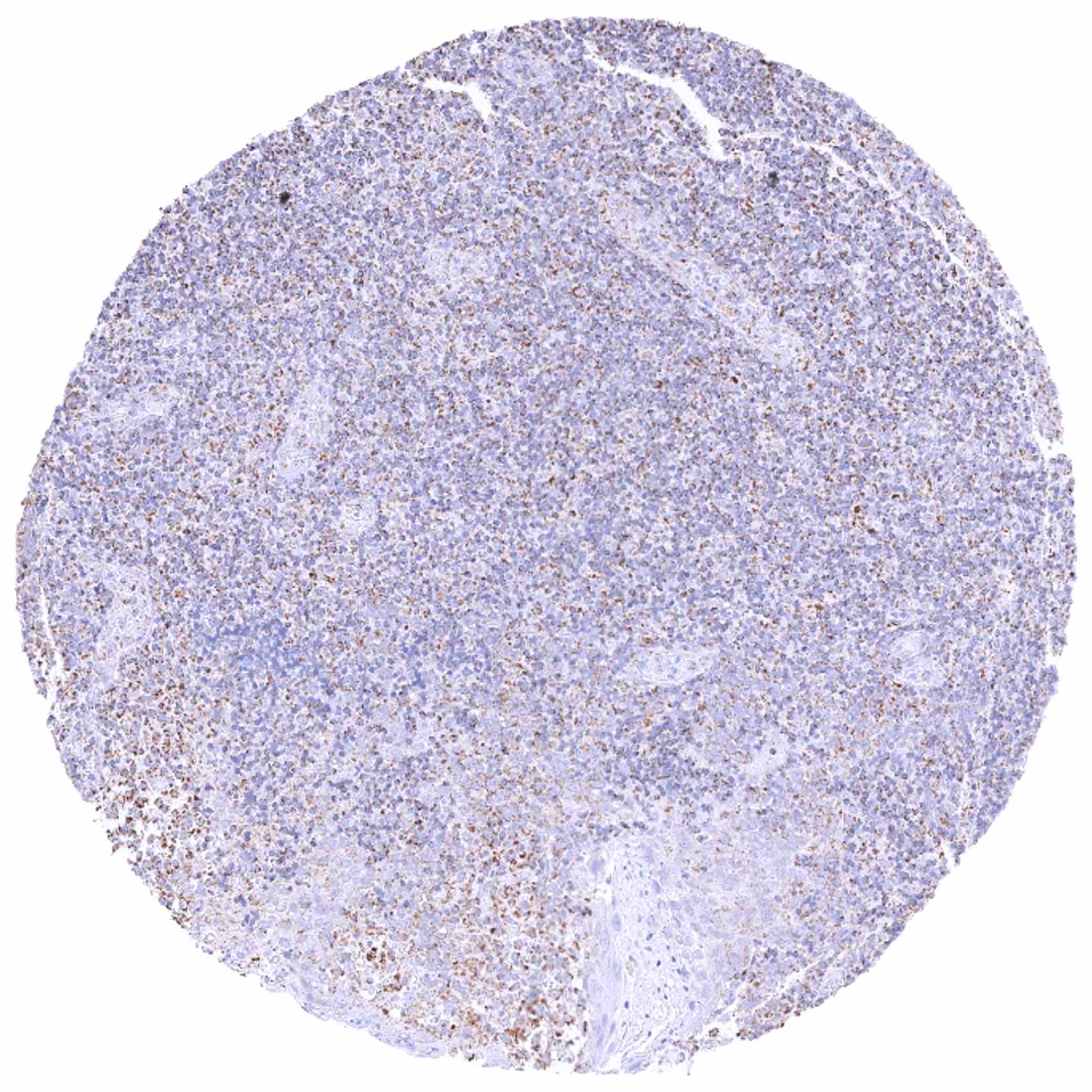
Lymph node – Weak to moderate granular cytoplasmic SDHB staining of lymphocytes

       

Ovary, corpus luteum – Moderate granular cytoplasmic SDHB staining of corpus luteum cells

Ovary, stroma – Moderate granular cytoplasmic SDHB staining of stromal cells

Pancreas – A granular cytoplasmic SDHB staining occurs in all epithelial cells. It is weakest in islet cells and strongest in some small excretory ducts

Parathyroid gland – Moderate to strong granular cytoplasmic SDHB staining of epithelial cells. Marked heterogeneity between cells

       

Parotid gland – Granular cytoplasmic SDHB staining is strong in excretory ducts and only faint in glandular cells

Pituitary gland, anterior lobe – Strong granular cytoplasmic SDHB staining of epithelial cells

Pituitary gland, posterior lobe – Weak granular cytoplasmic SDHB staining of pituicytes

Placenta (Amnion and chorion) – Weak to moderate granular cytoplasmic SDHB staining of amnion and chorion cells

       

Placenta, early – Weak granular cytoplasmic SDHB staining of throphoblast cells

Placenta, mature – Weak granular cytoplasmic SDHB staining of throphoblast cells

Prostate – Rather weak granular cytoplasmic SDHB staining – somewhat stronger in epithelial than in stromal cells

Rectum, mucosa – At least a moderate granular cytoplasmic SDHB staining of all cells, predominantly in the epithelium

       

Seminal vesicle – Strong granular cytoplasmic SDHB staining in most epithelial cells

Sinus paranasales – Marked granular cytoplasmic SDHB staining of epithelial cells, predominately in the sub-apical compartment

Skeletal muscle – Weak to moderate granular cytoplasmic SDHB staining

Skin – Moderate granular cytoplasmic SDHB staining, predominantly of basal and suprabasal squamous epithelial cells

       

Skin – Weak granular cytoplasmic SDHB staining, predominantly of basal and suprabasal squamous epithelial cells

Spleen – Faint granular cytoplasmic SDHB staining of a fraction of inflammatory cells

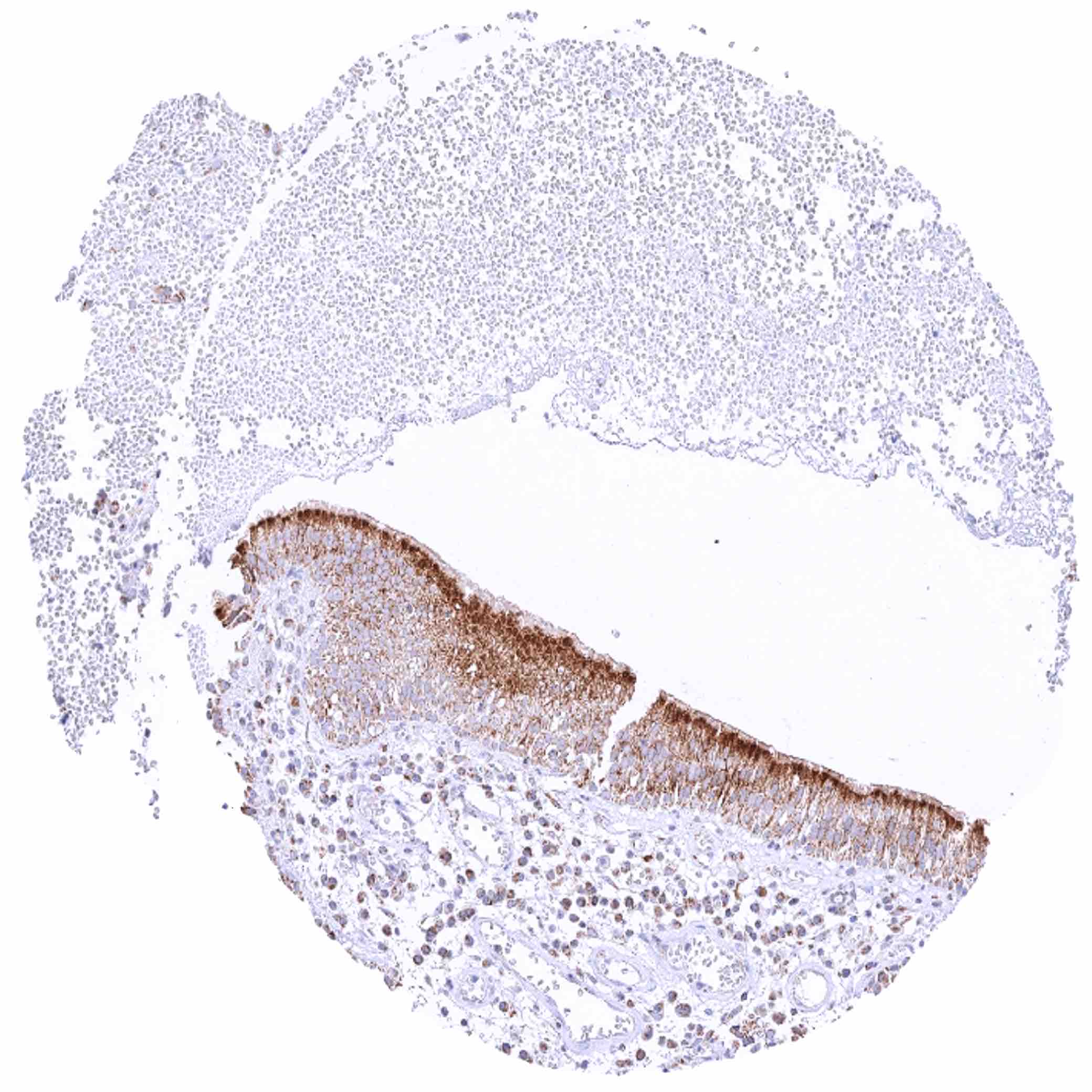
Stomach, antrum – A granular cytoplasmic SDHB staining occurs in all cells but it is strongest in stomach glands

Stomach, corpus – A granular cytoplasmic SDHB staining occurs in all cells but is strongest in glands, especially in parietal cells

       

Submandibular gland – Granular cytoplasmic SDHB staining is strong in excretory ducts and much less intense in glandular cells

Testis – Granular cytoplasmic SDHB staining is strongest in maturing germ cells

Thymus – Weak to moderate granular cytoplasmic SDHB staining of lymphocytes

Thyroid gland – Weak granular cytoplasmic SDHB staining of epithelial cells

       

Tonsil – Weak to moderate granular cytoplasmic SDHB staining of lymphocytes

Tonsil, surface epithelium – Weak to moderate granular cytoplasmic SDHB staining of squamous epithelial cells and of lymphocytes

Urinary bladder, muscular wall – Moderate granular cytoplasmic SDHB staining of smooth muscle cells

Urinary bladder, urothelium – Weak to moderate granular cytoplasmic SDHB staining of urothelial cells (all layers)

       

Uterus, ectocervix – Weak granular cytoplasmic SDHB staining, largely limited to suprabasal squamous epithelial cells

Uterus, endocervix – Weak granular cytoplasmic SDHB staining of epithelial cells

Uterus, endometrium (pregnancy) – Weak to moderate granular cytoplasmic SDHB staining of epithelial and decidua cells

Uterus, endometrium (proliferation) – Weak granular cytoplasmic SDHB staining of epithelial cells

       

Uterus, endometrium (secretion) – Moderate granular cytoplasmic SDHB staining of epithelial and stromal cells

Uterus, endometrium (secretion) – Weak granular cytoplasmic SDHB staining of epithelial and stromal cells

Uterus, myometrium – Weak granular cytoplasmic SDHB staining of muscle cells

     

 

| TOP |