Normal Tissue Gallery- GTX640918

SOX2 antibody [HMV338] HistoMAX™

 

Go to Cancer Tissue Gallery
  
 Go back to product page
  

Go to HistoMAX page

 

Adrenal gland

Aorta, media

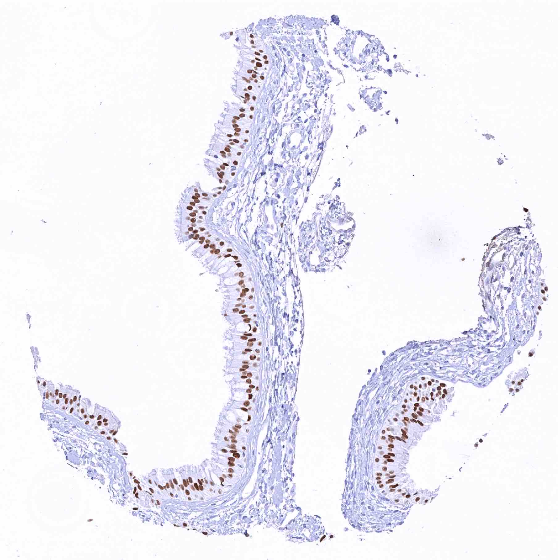
Appendix, mucosa

Appendix, muscular wall – Strong SOX2 positivity of a large fraction of intramural ganglion cells as well as of few spindle shaped (neural_) cells in the muscular wall

       

Bone marrow

Breast

Bronchus, mucosa – Strong SOX2 positivity of respiratory epithelial cells

Cerebellum (molecular layer, Purkinje cell layer, granule cell layer)

       

Cerebellum (white matter)

Cerebrum, grey matter – Moderate to strong SOX2 positivity of a fraction of glial cells

Cerebrum, white matter

Colon descendens, mucosa

       

Colon descendens, muscular wall – Strong SOX2 positivity of a large fraction of intramural ganglion cells as well as of few spindle shaped (neural_) cells in the muscular wall

Colon descendens, muscular wall – Strong SOX2 positivity of few spindle shaped (neural_) cells in the muscular wall

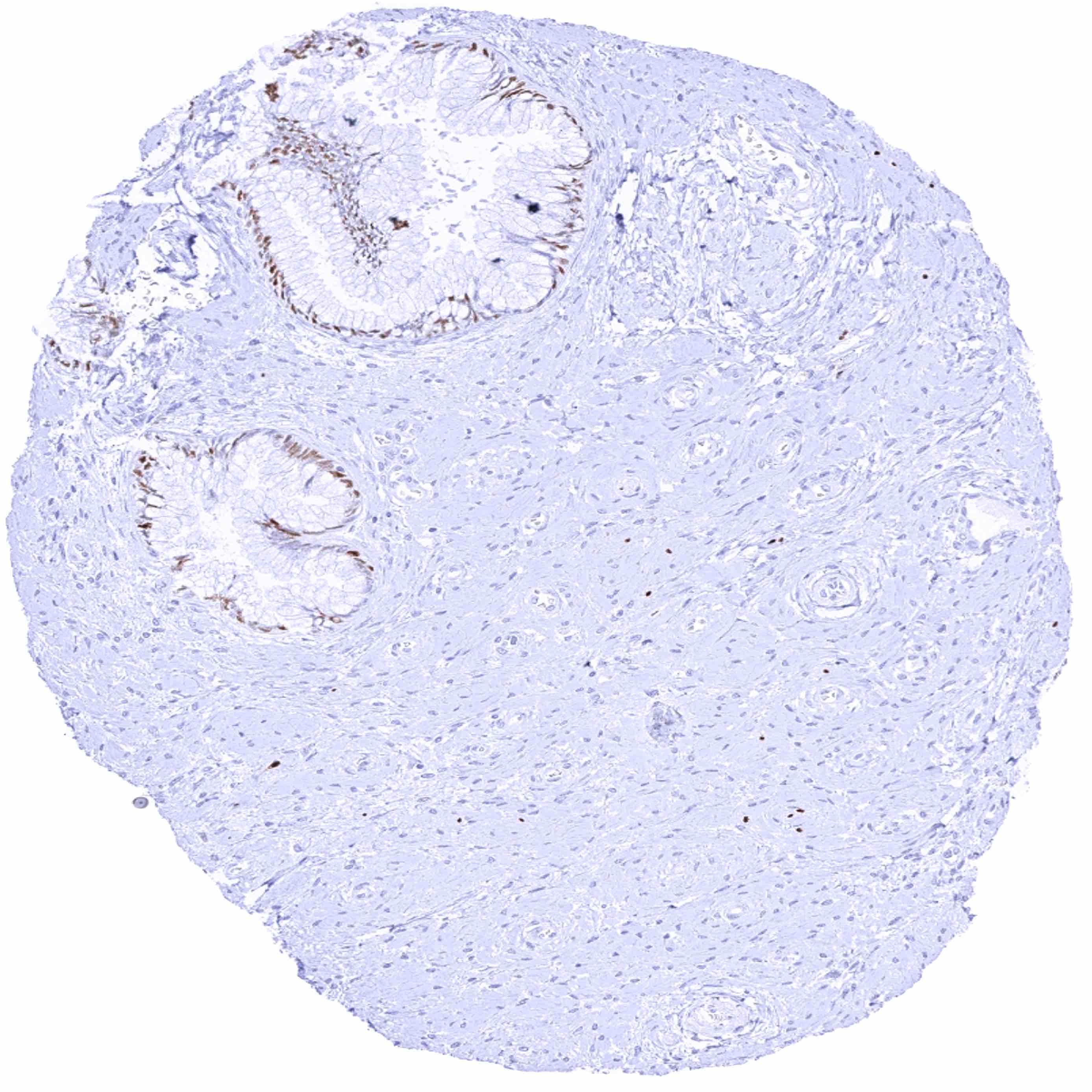
Duodenum, Brunner gland

Duodenum, mucosa

       

Epididymis (cauda)

Esophagus, muscular wall – Strong SOX2 positivity of a large fraction of intramural ganglion cells

Esophagus, squamous epithelium – Weak to strong SOX2 positivity of squamous epithelial cells, especially in the bottom 2-3

Fallopian tube, mucosa – Moderate to strong SOX2 positivity of a large subset of epithelial cells

       

Fat

Gallbladder, epithelium

Heart muscle

Ileum, mucosa

       

Kidney, cortex

Kidney, medulla

Kidney, pelvis, urothelium

Kidney, pelvis, urothelium

       

Liver

Lung

Lymph node

Ovary, corpus luteum

       

Ovary, stroma

Pancreas

Parathyroid gland

Parotid gland

       

Pituitary gland, posterior lobe

Pituitary gland, posterior lobe

Placenta, early

Placenta, mature

       

Prostate – Strong SOX2 positivity of a fraction of basal cells

Seminal vesicle

Sinus paranasales – Strong SOX2 positivity of respiratory epithelial cells

Skeletal muscle

       

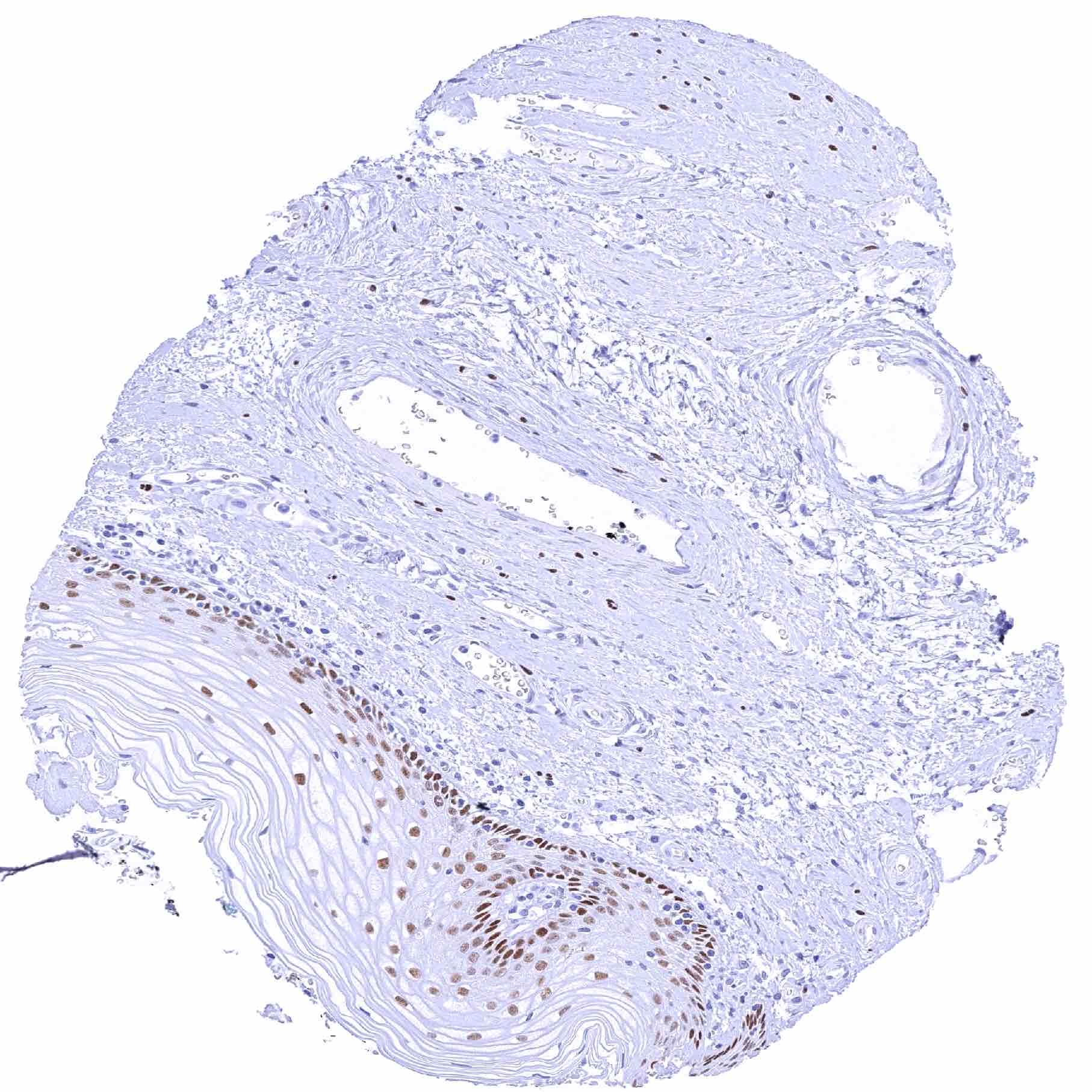
Skin – Strong SOX2 positivity few epidermis-adjacent spindle shaped (neural_) cells in the dermis

Skin, hairfollicel and sebaceous glands – Strong SOX2 positivity few hair follicle-adjacent spindle shaped (neural_) cells in the dermis

Spleen

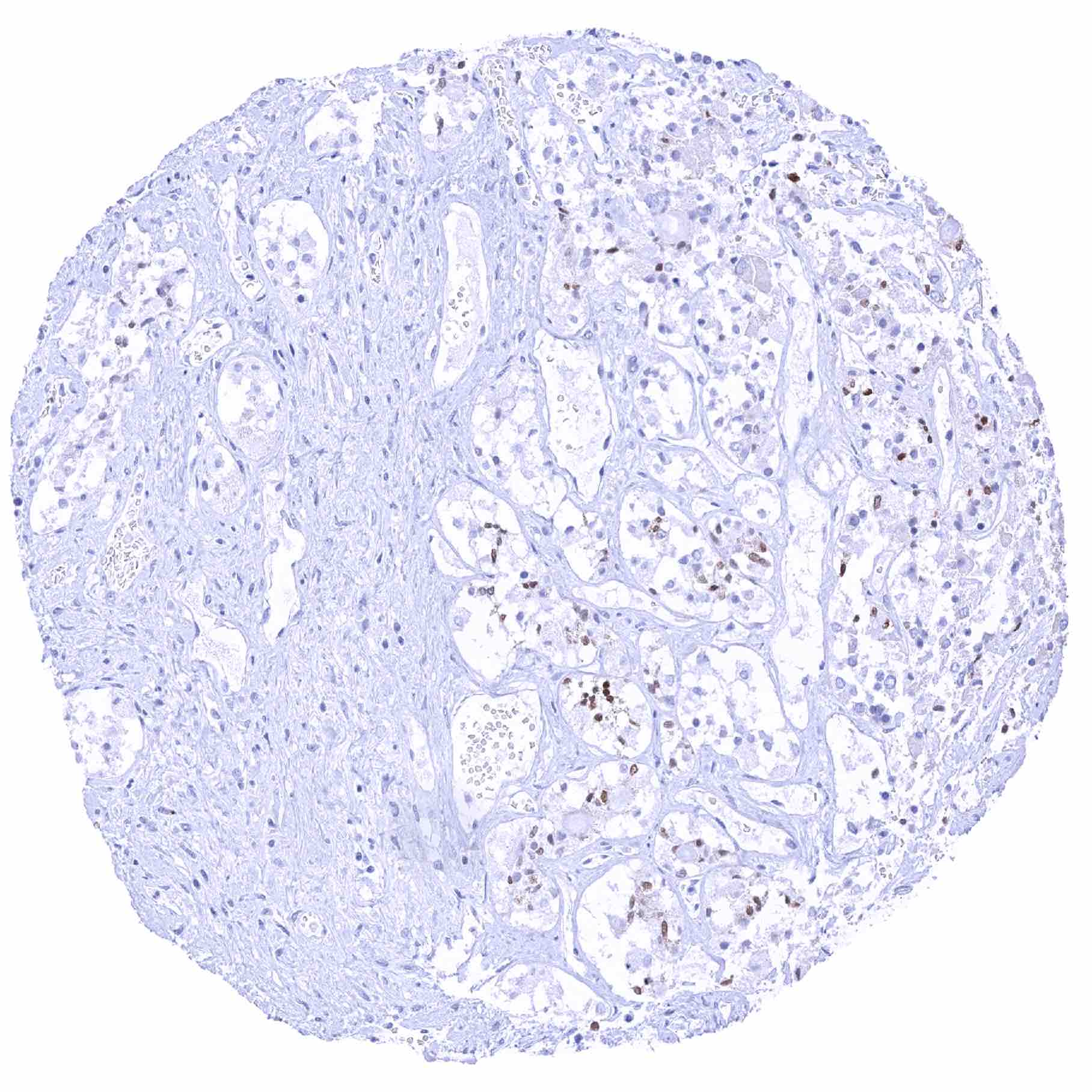
Stomach, antrum – Significant SOX2 staining of a fraction of glandular cells

       

Stomach, antrum

Stomach, antrum

Stomach, muscular wall – Strong SOX2 positivity of few spindle shaped (neural_) cells in the muscular wall

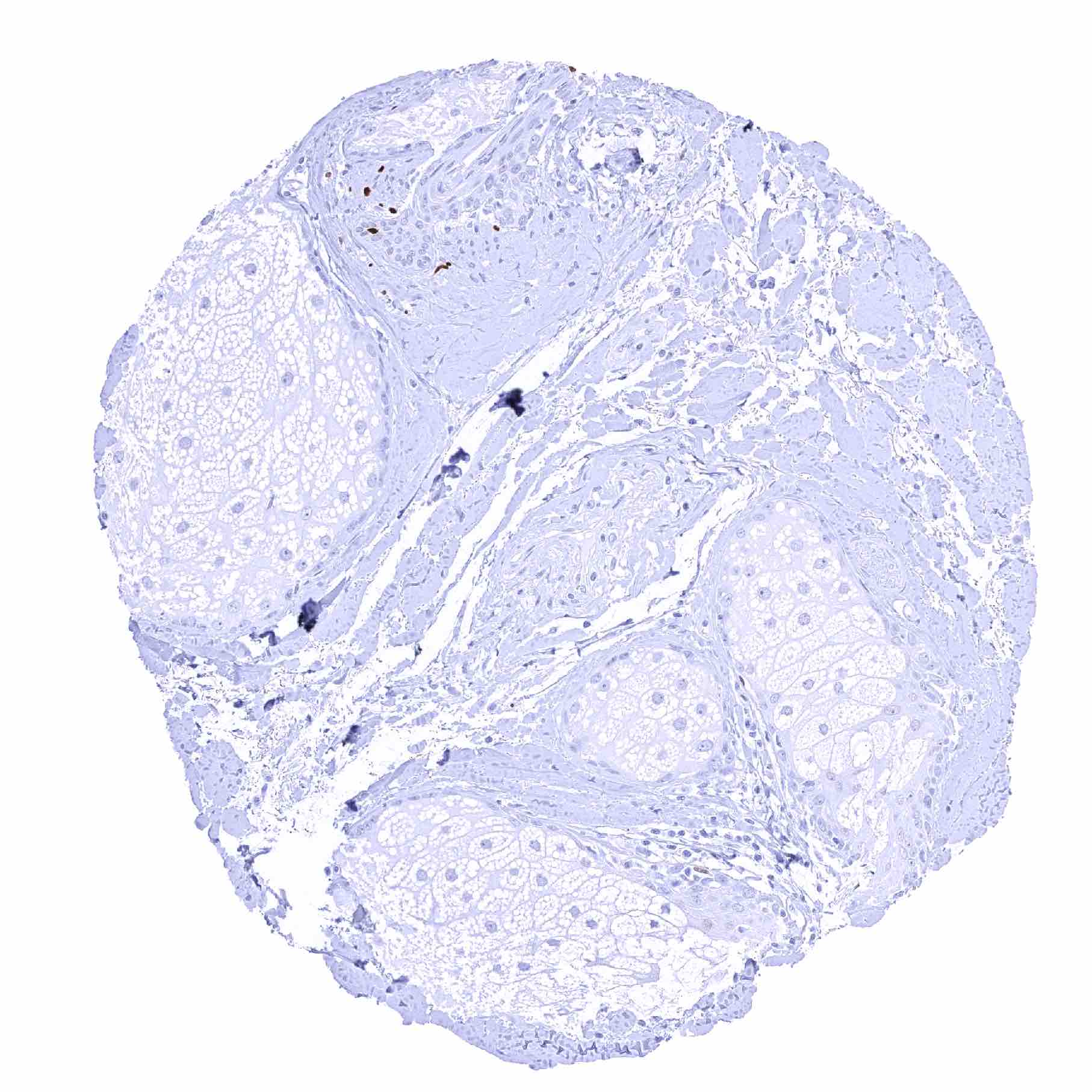
Sublingual gland

       

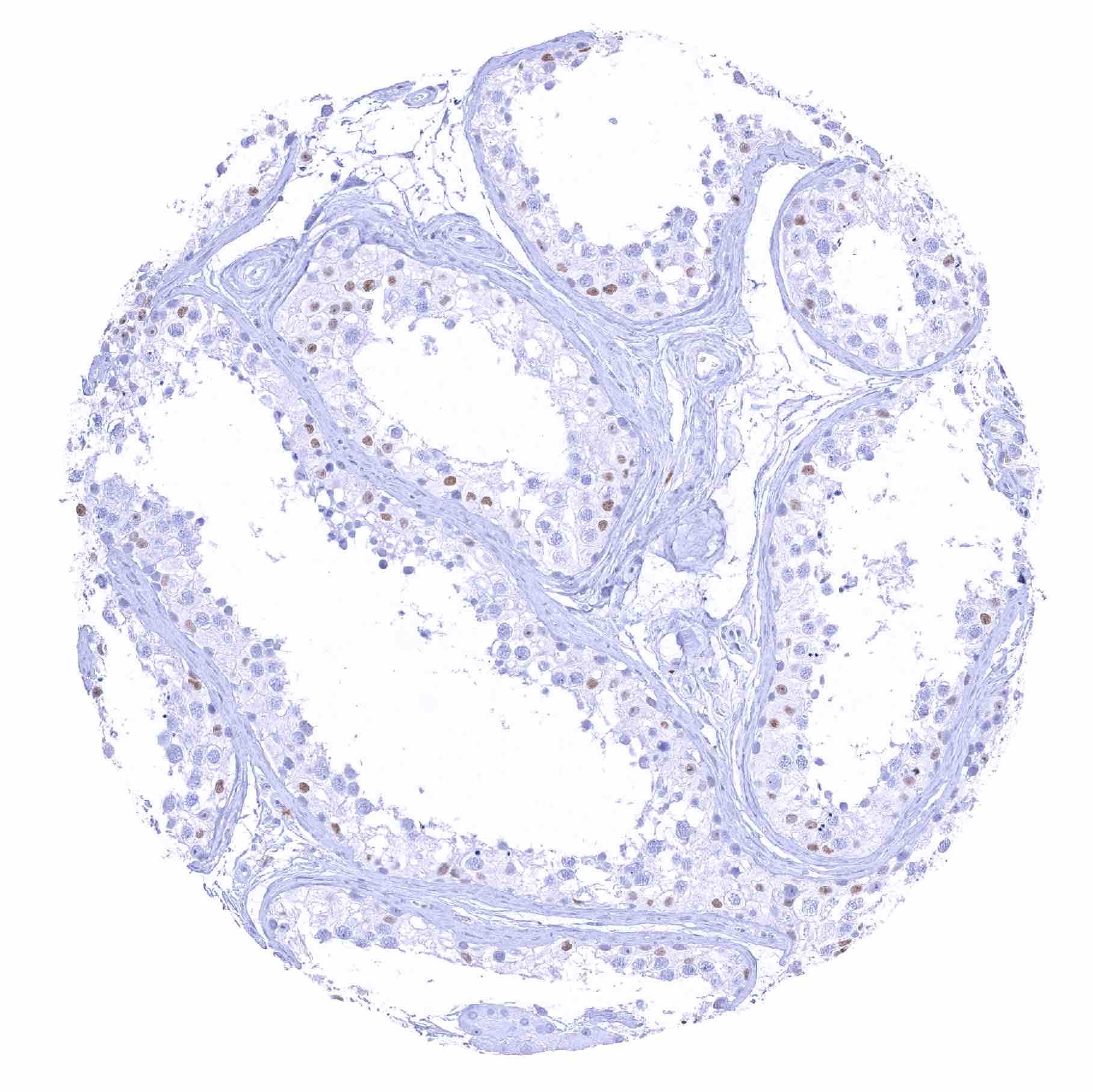
Testis – Weak to moderate SOX2 positivity of spermatocytes

Thymus

Thyroid gland

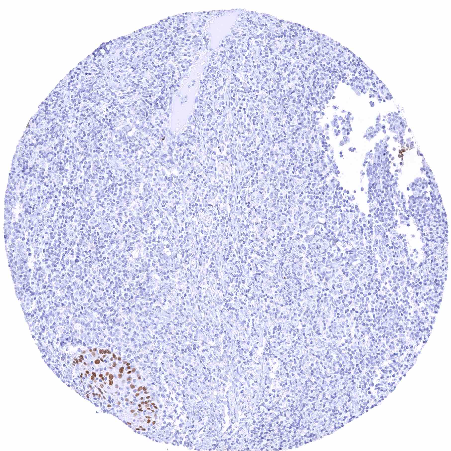
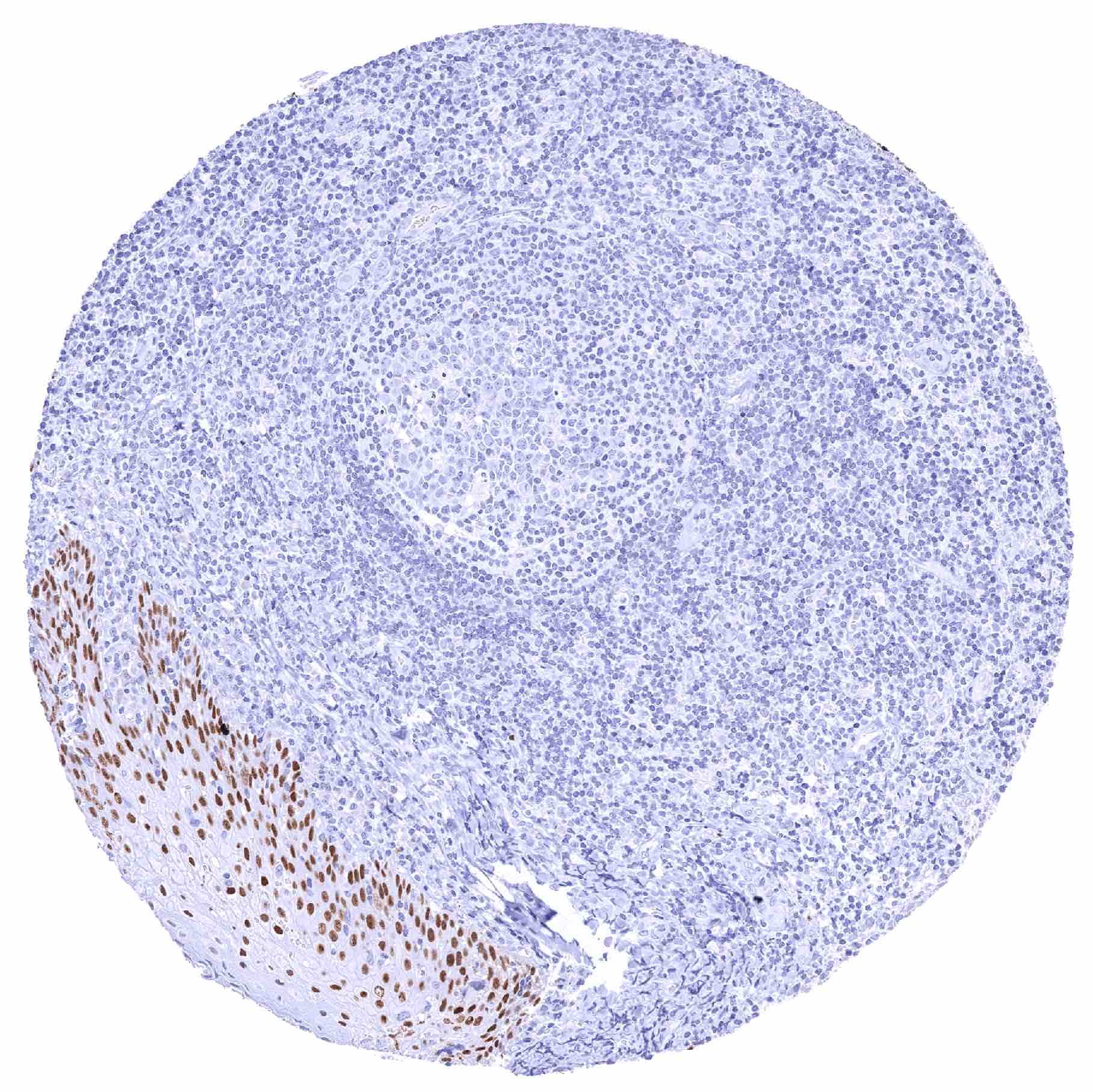
Tonsil – Weak to strong SOX2 positivity of a fraction of squamous epithelial cells in crypts

       

Tonsil, surface epithelium

Urinary bladder, muscular wall

Uterus, ectocervix

Uterus, ectocervix

       

Uterus, endocervix – Weak to moderate SOX2 positivity of endocervical cells

Uterus, endocervix – Endocervical cells are SOX2 negative in this sample

Uterus, endometrium (pregnancy)

Uterus, endometrium (proliferation)

       

Uterus, endometrium (secretion)

Uterus, myometrium

   

 

| TOP |