Normal Tissue Gallery- GTX639947

TIGIT antibody [HMV323] HistoMAXTM

 

Go to Cancer Tissue Gallery
  
 Go back to product page
  

Go to HistoMAX page

 

Adrenal gland

Anal canal, skin

Aorta, media

Appendix, mucosa – Distinct TIGIT staining of a small subset of lymphocytes

       

Appendix, muscular wall

Bone marrow

Breast

Bronchus, mucosa

       

Cerebellum (white matter)

Cerebellum, cortex (molecular layer, Purkinje cell layer, granule cell layer, white matter)

Cerebrum, grey matter

Cerebrum, white matter

       

Cerebrum, white matter

Colon descendens, mucosa

Colon descendens, muscular wall

Duodenum, Brunner gland

       

Duodenum, mucosa

Epididymis

Epididymis

Fallopian tube, mucosa

       

Fat

Gallbladder, epithelium

Heart muscle

Ileum, mucosa

       

Kidney, cortex

Kidney, medulla

Liver

Lung

       

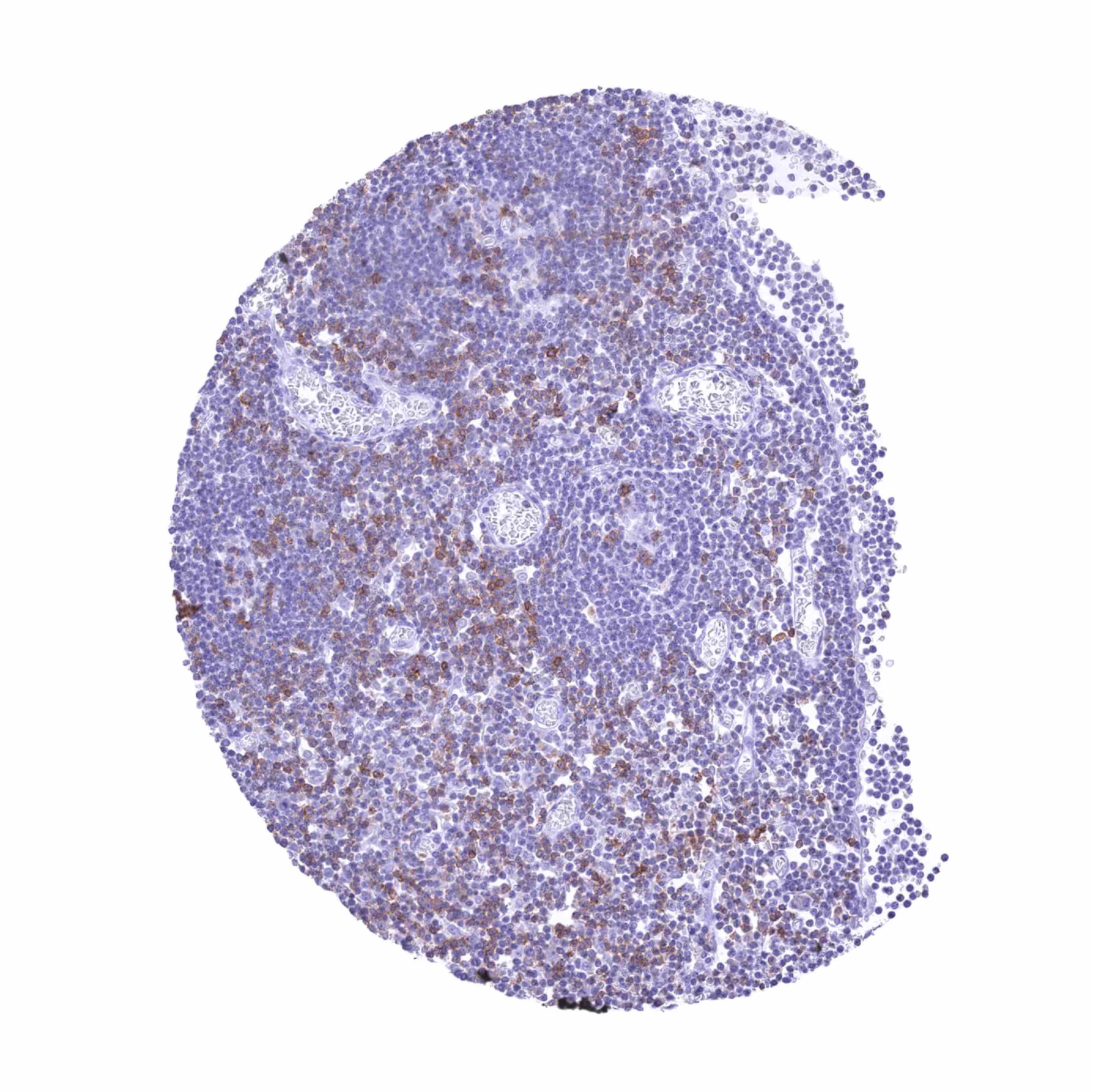
Lymph node – Most TIGIT positive lymphocytes are in the interfollicular area

Ovary, corpus luteum

Ovary, stroma

Pancreas

       

Parathyroid gland

Parotid gland

Pituitary gland, anterior lobe

Pituitary gland, posterior lobe

       

Placenta (amnion and chorion)

Placenta, early

Placenta, mature

Prostate

       

Seminal vesicle

Sinus paranasales

Skeletal muscle

Skin, hairfollicel and sebaceous glands

       

Skin

Spleen – Weak to moderate TIGIT staining of a subset of lymphocytes

Spleen – Weak to moderate TIGIT staining of few lymphocytes

Stomach, antrum

       

Stomach, antrum

Stomach, corpus

Testis

Thymus – Weak TIGIT staining of few lymphocytes

       

Thyroid gland

Tonsil – Distinct TIGIT staining of subsets of lymphocytes

Tonsil – Most TIGIT positive lymphocytes are in the interfollicular area but TIGIT staining is strongest in a subset of lymphocytes in the germinal centre

Tonsil – Strong TIGIT staining of interfollicular lymphocytes

       

Tonsil, surface epithelium – Distinct TIGIT staining of a small subset of lymphocytes

Urinary bladder, muscular wall

Urinary bladder, urothelium

Uterus, ectocervix

       

Uterus, endocervix

Uterus, endometrium (pregnancy)

Uterus, endometrium (pregnancy)

Uterus, endometrium (proliferation)

       

Uterus, endometrium (secretion)

Uterus, myometrium

   

 

| TOP |