Rabbit anti-human IgA antibody [MSVA-700R] HistoMAX™

Cat. No. GTX04490
Cat. No.  GTX04490
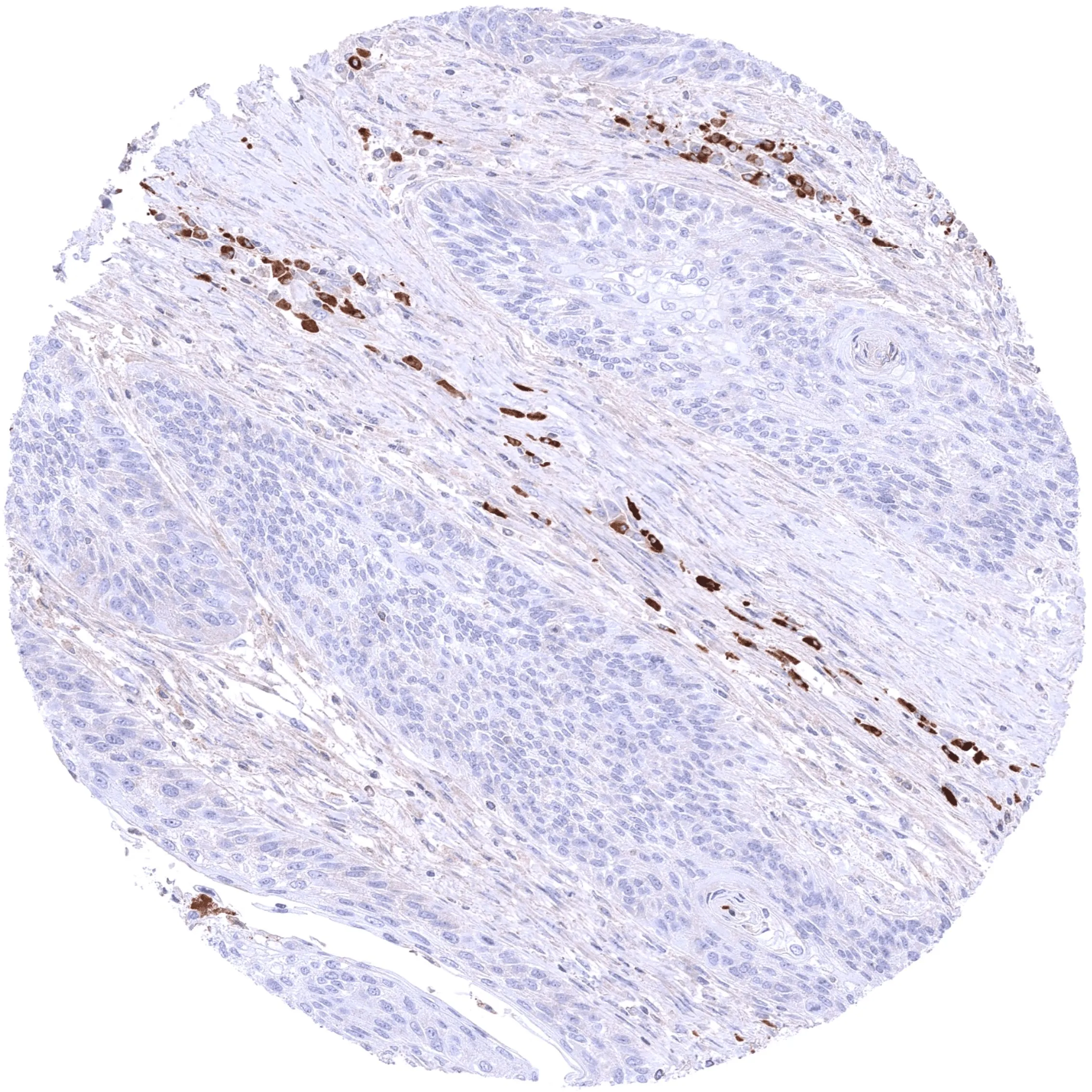
Anti-Rabbit anti-human IgA antibody [MSVA-700R] HistoMAX™ used in IHC (Paraffin sections) (IHC-P). GTX04490
GTX04490 IHC-P Image

IHC-P analysis of human squamous cell carcinoma (SCC) from skin tissue using GTX04490 Rabbit anti-human IgA antibody [MSVA-700R] HistoMAX™.
Squamous cell carcinoma containing many human IgA positive plasma cells in its stroma.

1 / 3
Anti-Rabbit anti-human IgA antibody [MSVA-700R] HistoMAX™ used in IHC (Paraffin sections) (IHC-P). GTX04490
GTX04490 IHC-P Image

IHC-P analysis of human tonsil tissue using GTX04490 Rabbit anti-human IgA antibody [MSVA-700R] HistoMAX™.
Human IgA positive plasma cells are numerous in the tonsil.

2 / 3
Anti-Rabbit anti-human IgA antibody [MSVA-700R] HistoMAX™ used in IHC (Paraffin sections) (IHC-P). GTX04490
GTX04490 IHC-P Image

IHC-P analysis of human mucosa from duodenum tissue using GTX04490 Rabbit anti-human IgA antibody [MSVA-700R] HistoMAX™.
Human IgA positive plasma cells are abundant in the duodenum mucosa.

3 / 3
Anti-Rabbit anti-human IgA antibody [MSVA-700R] HistoMAX™ used in IHC (Paraffin sections) (IHC-P). GTX04490
Anti-Rabbit anti-human IgA antibody [MSVA-700R] HistoMAX™ used in IHC (Paraffin sections) (IHC-P). GTX04490
Anti-Rabbit anti-human IgA antibody [MSVA-700R] HistoMAX™ used in IHC (Paraffin sections) (IHC-P). GTX04490
  • Host
    Rabbit
  • Clonality
    Monoclonal
  • Clone Name
    MSVA-700R
  • Isotype
    IgG
  • Applications
    IHC-P
  • Reactivity
    Human
Summary
This antibody was validated on 76 different Normal Tissues by IHC-P.

Go to Normal Tissue GalleryGo to Cancer Tissue Gallery

See all Rabbit anti-human IgA products