Normal Tissue Gallery- GTX04490

Rabbit anti-human IgA antibody [MSVA-700R] HistoMAX

 

Go to Cancer Tissue Gallery
  
 Go back to product page
  

Go to HistoMAX page

 

Adrenal gland

Aorta, media

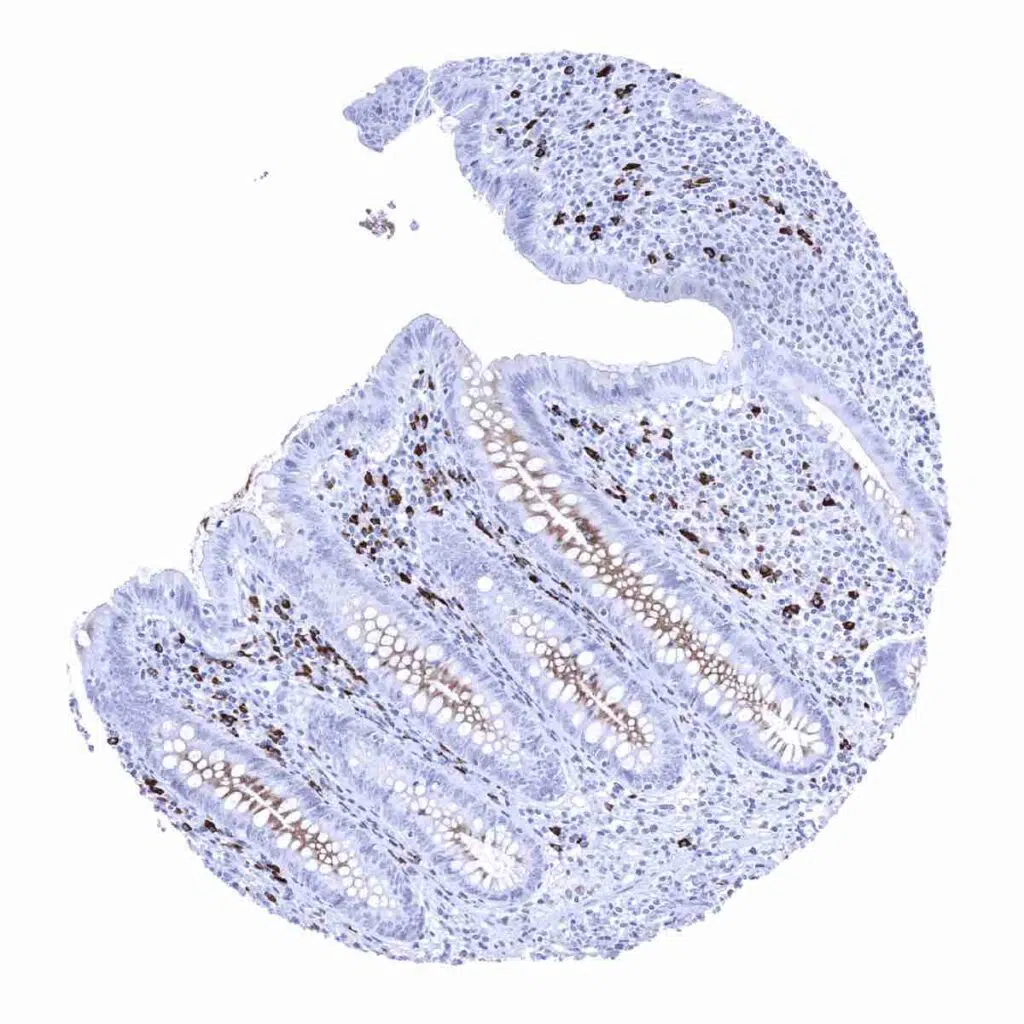
Appendix, mucosa – Rabbit anti-human IgA positive plasma cells are numerous in the stroma. Rabbit anti-human IgA also accumulates in the cytoplasm of the crypt epithelium.

Appendix, muscular wall

       

Bone marrow – Rabbit anti-human IgA positive plasma cells are rather rare.

Breast – Rabbit anti-human IgA positive secreted liquid is seen in breast glands in this sample.

Breast – Rabbit anti-human IgA staining is lacking in this sample.

Bronchus, mucosa

       

Cerebellum, cortex (Stratum moleculare)

Cerebellum, grey (Stratum neuronorum)

Cerebrum, grey matter

Cerebrum, white matter

       

Colon descendens, mucosa

Colon descendens, muscular wall

Duodenum, Brunner gland

Duodenum, mucosa – Rabbit anti-human IgA positive plasma cells are abundant in the stroma.

       

Epididymis – Rabbit anti-human IgA positive plasma cells are lacking in the epididymis but some Rabbit anti-human IgA staining occurs in blood serum.

Esophagus, squamous epithelium – Few Rabbit anti-human IgA positive plasma cells are seen.

Fallopian tube, mucosa

Fat

       

Gallbladder, epithelium

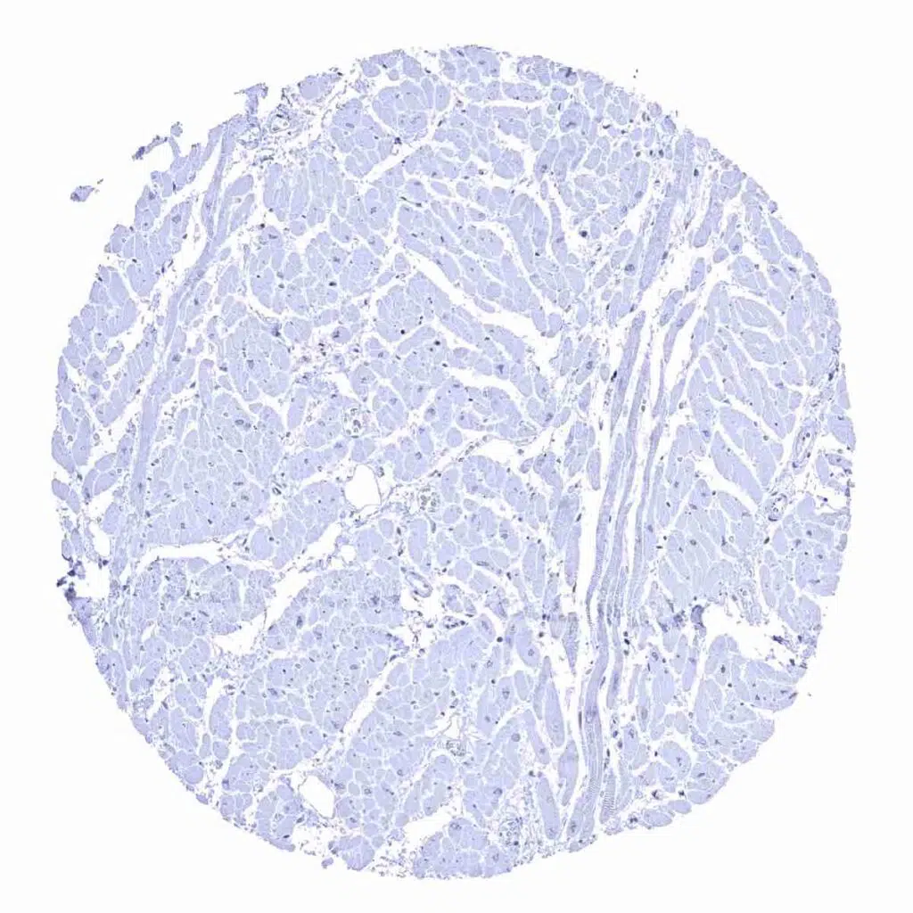
Heart muscle

Ileum, mucosa – Numerous Rabbit anti-human IgA positive plasma cells in the stroma

Kidney, cortex

       

Kidney, medulla

Liver

Lung

Lymph node – A fraction of plasma cells are Rabbit anti-human IgA positive.

       

Ovary, stroma

Pancreas

Parathyroid gland

Parotid gland

       

Pituitary gland, anterior lobe – Some Rabbit anti-human IgA staining can occurs in the adenohypophysis.

Pituitary gland, anterior lobe

Pituitary gland, posterior lobe

Placenta (amnion and chorion) – Stromal Rabbit anti-human IgA staining is occasionally seen – probably caused by Rabbit anti-human IgA from the blood.

       

Placenta (amnion and chorion)

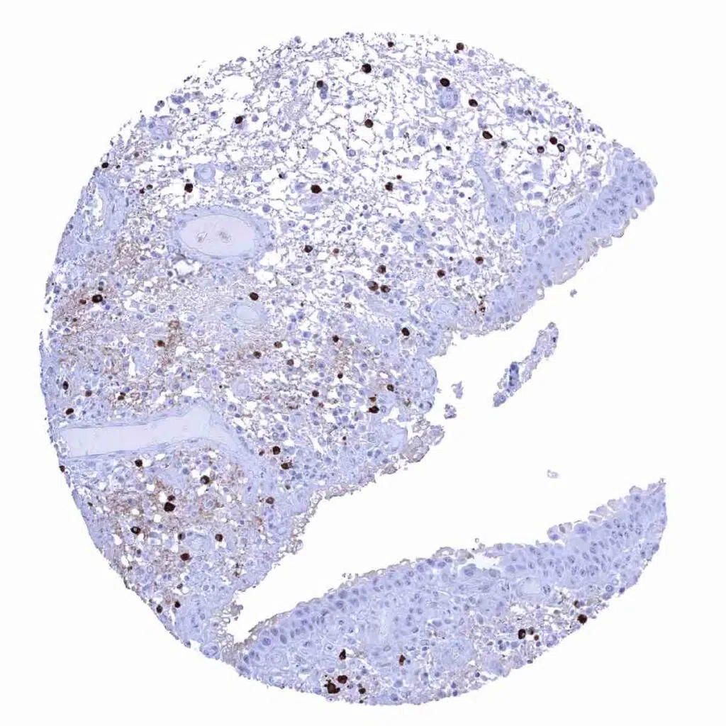
Placenta, early – Some Rabbit anti-human IgA staining occurs in the cytotrophoblast.

Placenta, mature

Prostate

       

Seminal vesicle

Sinus paranasales – Abundance of Rabbit anti-human IgA positive plasma cells.

Skeletal muscle

Skin

       

Spleen – Few Rabbit anti-human IgA positive plasma cells are seen

Stomach, antrum – Few Rabbit anti-human IgA positive plasma cells are seen.

Stomach, antrum – Rabbit anti-human IgA positive plasma cells are occur in the stroma. Rabbit anti-human IgA also accumulates in the cytoplasm of superficial epitheial cell layers.

Stomach, corpus – Rabbit anti-human IgA positive plasma cells are abundant in the stroma. Rabbit anti-human IgA also accumulates in the cytoplasm of superficial epitheial cell layers.

       

Testis

Testis

Thymus – Few Rabbit anti-human IgA positive plasma cells are seen.

Thyroid gland – Some Rabbit anti-human IgA staining can occurs in the colloid of some follicles

       

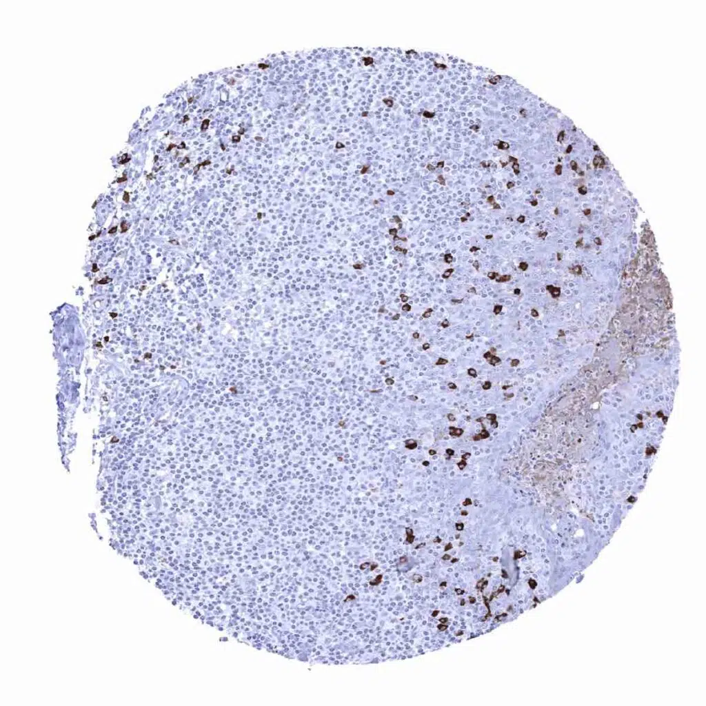
Tonsil – Numerous Rabbit anti-human IgA positive plasma cells are seen. Week staining is also seen in the crypts as a result of Rabbit anti-human IgA secretion

Tonsil, surface epithelium – Rabbit anti-human IgA positive plasma cells are abundant.

Urinary bladder, muscular wall

Urinary bladder, urothelium – Rabbit anti-human IgA positive plasma cells are abundant in the stroma. Rabbit anti-human IgA accumulates in the superficial layers of the urothelium.

       

Urinary bladder, urothelium – Rabbit anti-human IgA positive plasma cells are abundant in this sample. A faint Rabbit anti-human IgA staining also occurs in the superficial urothelial cell layer.

Uterus, ectocervix

Uterus, endocervix

Uterus, endometrium (pregnancy)

       

Uterus, endometrium (secretion)

Uterus, myometrium

   

 

| TOP |