Cancer Tissue Gallery- GTX04490

Rabbit anti-human IgA antibody [MSVA-700R] HistoMAX

 

Go to Normal Tissue Gallery
  
 Go back to product page
  

Go to HistoMAX page

 

Breast- Medullary breast cancer containing numerous Rabbit anti-human IgA positive plasma cells (Rabbit anti-human IgA immunohistochemistry).

Colon- Colorectal adenocarcinoma containing multiple Rabbit anti-human IgA positive plasma cells (Rabbit anti-human IgA immunohistochemistry).

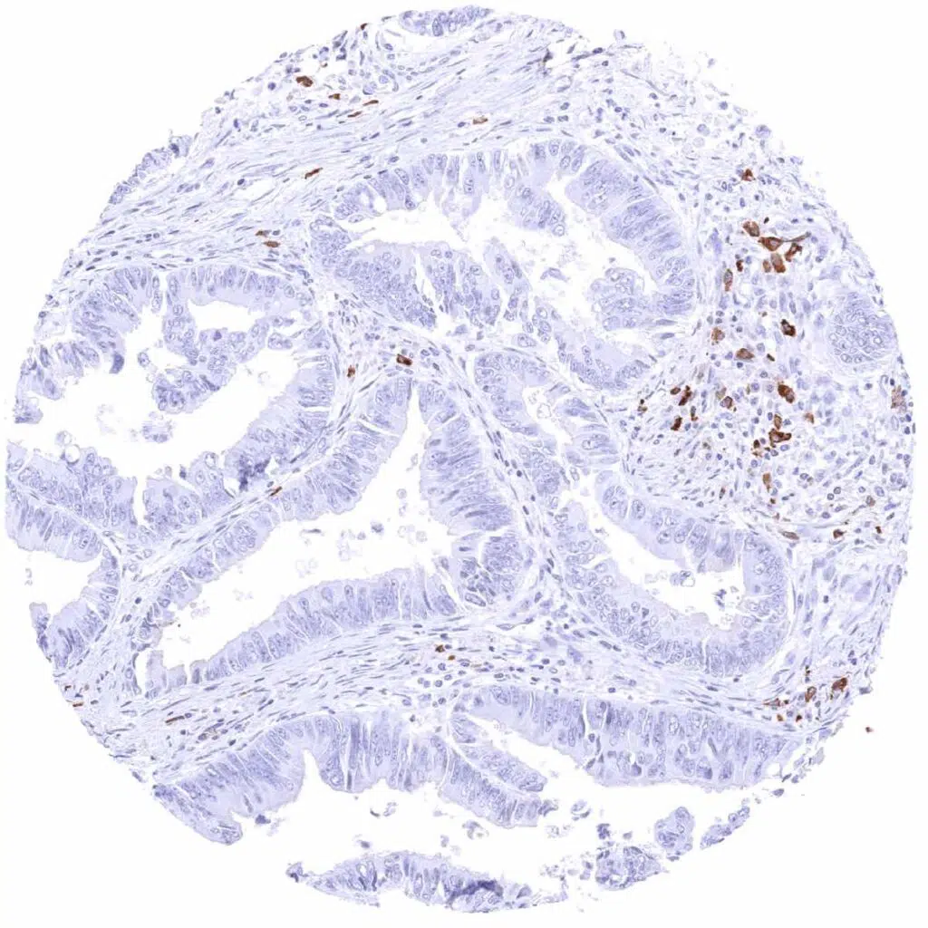
Colon- Colorectal adenocarcinoma including Rabbit anti-human IgA positive plasma cells (Rabbit anti-human IgA immunohistochemistry).

Esophagus- Adenocarcinoma containing some Rabbit anti-human IgA positive plasma cells in its stroma (Rabbit anti-human IgA immunohistochemistry).

       

Kidney- Rabbit anti-human IgA negative clear cell carcinoma.

Kidney- Oncocytoma depicting Rabbit anti-human IgA staining of blood plasma or secreted liquid within the tumor (Rabbit anti-human IgA immunohistochemistry).

Lymph node- Diffuse large B-cell lymphoma with strong Rabbit anti-human IgA immunostaining of the majority of tumor cells (Rabbit anti-human IgA immunohistochemistry).

Lymph node- Rabbit anti-human IgA negative B-CLL containing several non-neoplastic Rabbit anti-human IgA positive plasma cells (Rabbit anti-human IgA immunohistochemistry).

       

Lymph node- Rabbit anti-human IgA negative diffuse large B-cell lymphoma.

Lymph node- Rabbit anti-human IgA negative diffuse large B-cell lymphoma. Few non-neoplastic Rabbit anti-human IgA positive plasma cells are seen (Rabbit anti-human IgA immunohistochemistry).

Lymph node- Rabbit anti-human IgA negative Hodgkin’s lymphoma with various non-neoplastic Rabbit anti-human IgA positive plasma cells (Rabbit anti-human IgA immunohistochemistry).

Lymph node- Rabbit anti-human IgA negative marginal zone lymphoma containing multiple non-neoplastic Rabbit anti-human IgA positive plasma cells (Rabbit anti-human IgA immunohistochemistry).

       

Lymph node- Rabbit anti-human IgA negative marginal zone lymphoma including a group of non-neoplastic Rabbit anti-human IgA positive plasma cells (Rabbit anti-human IgA immunohistochemistry).

Ovary- Serous high-grade carcinoma with several Rabbit anti-human IgA positive plasma cells in the stroma (Rabbit anti-human IgA immunohistochemistry).

Pharynx- Squamous cell carcinoma with numerous Rabbit anti-human IgA positive plasma cells in its stroma (Rabbit anti-human IgA immunohistochemistry).

Urinary bladder- Muscle-invasive urothelial carcinoma containing Rabbit anti-human IgA positive plasma cells in its stroma (Rabbit anti-human IgA immunohistochemistry).

       

Uterus- Multiple Rabbit anti-human IgA positive plasma cells in the stroma of an endometroid endometrium carcinoma (Rabbit anti-human IgA immunohistochemistry).

Uterus, cervix- Squamous cell carcinoma with multiple Rabbit anti-human IgA positive plasma cells in the stroma (Rabbit anti-human IgA immunohistochemistry).

   

 

| TOP |