Thrombomodulin antibody [MSVA-141M] HistoMAX™

Cat. No. GTX04446
Cat. No.  GTX04446
Anti-Thrombomodulin antibody [MSVA-141M] HistoMAX™ used in IHC (Paraffin sections) (IHC-P). GTX04446
GTX04446 IHC-P Image

IHC-P analysis of human liver tissue using GTX04446 Thrombomodulin antibody [MSVA-141M] HistoMAX™.
Moderate thrombomodulin staining of sinusoideal cells of the liver.

1 / 3
Anti-Thrombomodulin antibody [MSVA-141M] HistoMAX™ used in IHC (Paraffin sections) (IHC-P). GTX04446
GTX04446 IHC-P Image

IHC-P analysis of human placenta tissue using GTX04446 Thrombomodulin antibody [MSVA-141M] HistoMAX™.
A strong CD141 staining occurs in the surface cell layer of the cytotrophoblast and in endothelial cells.

2 / 3
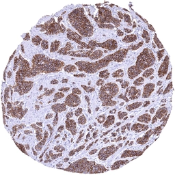
Anti-Thrombomodulin antibody [MSVA-141M] HistoMAX™ used in IHC (Paraffin sections) (IHC-P). GTX04446
GTX04446 IHC-P Image

IHC-P analysis of human malignant mesothelioma tissue using GTX04446 Thrombomodulin antibody [MSVA-141M] HistoMAX™.
A strong thrombomodulin staining of tumor cells.

3 / 3
Anti-Thrombomodulin antibody [MSVA-141M] HistoMAX™ used in IHC (Paraffin sections) (IHC-P). GTX04446
Anti-Thrombomodulin antibody [MSVA-141M] HistoMAX™ used in IHC (Paraffin sections) (IHC-P). GTX04446
Anti-Thrombomodulin antibody [MSVA-141M] HistoMAX™ used in IHC (Paraffin sections) (IHC-P). GTX04446
  • Host
    Mouse
  • Clonality
    Monoclonal
  • Clone Name
    MSVA-141M
  • Isotype
    IgG1
  • Applications
    IHC-P
  • Reactivity
    Human
Summary
This antibody was validated on 76 different Normal Tissues by IHC-P.

Go to Normal Tissue GalleryGo to Cancer Tissue Gallery

See all Thrombomodulin products