4 Search results for

NP_003788

Product
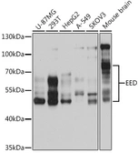
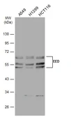
Images
Description
Applications
Reactivity
Price
prev next