Search Results
-
$419100 μl$16925 μl
-
Description Rabbit MonoclonalApplications WB ICC/IF IHC-PReactivity Hu, Ms, RatSummary This antibody is specific for human MyoD1 protein, and it does not cross react with human MYOG, MYF5, and MYF6 protein.
$419100 μl$16925 μl -
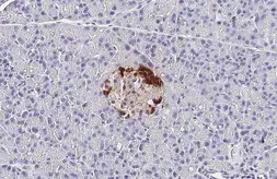
Description Rabbit MonoclonalApplications WB IHC-P IHC-FrReactivity Hu, Ms, RatSummary Highly recommended for IHC-P in human, mouse, and rat tissues.
$419100 μl$16925 μl -
Description Rabbit MonoclonalApplications WB ICC/IF IHC-PReactivity Hu, Ms, RatSummary This antibody is specific for human PFKFB4 protein, and it does not cross react with human PFKFB1, PFKFB2, and PFKFB3 protein.
$419100 μl$16925 μl -
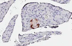
Description Rabbit MonoclonalApplications WB IHC-P IHC-FrReactivity Hu, Ms, RatSummary Highly recommended for IHC-P in mouse tissues.
$419100 μl$16925 μl -
$419100 μl$16925 μl
-
$419100 μl$16925 μl
-
$419100 μl$16925 μl
-
Description Rabbit MonoclonalApplications WB IHC-P IHC-FrReactivity Hu, Ms, RatSummary Highly recommended for IHC-P in mouse and rat tissues.
$419100 μl$16925 μl -
$419100 μl$16925 μl
Orthogonal
Overexpression
Recombinant antibody
KO/KD