Cancer Tissue Gallery- GTX04368

Androgen Receptor antibody [MSVA-367R] HistoMAX

 

Go to Normal Tissue Gallery
  
 Go back to product page
  

Go to HistoMAX page

 

Adrenal gland - AR negative adrenocortical adenoma.

Breast - Invasive breast cancer of no special type (NST) with moderate to strong AR immunostaining of tumor cells.

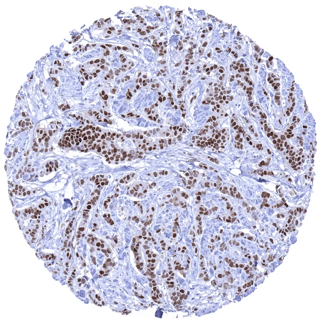
Breast - Invasive lobular breast cancer with strong AR immunostaining of tumor cells.

Colon - AR negative colorectal adenocarcinoma.

       

Esophagus - AR negative adenocarcinoma.

Esophagus - AR negative squamous cell carcinoma.

Kidney - AR negative clear cell renal cell carcinoma.

Kidney - AR negative oncocytoma.

       

Kidney - Papillary renal cell carcinoma with moderate to strong AR immunostaining of tumor cells.

Liver - AR negative cholangiocellular carcinoma.

Liver - Hepatocellular carcinoma with moderate to strong AR immunostaining of tumor cells.

Lung - AR negative adenocarcinoma.

       

Ovary - AR negative clear cell carcinoma.

Ovary - Serous high-grade carcinoma with moderate AR immunostaining of tumor cells.

Pancreas - AR negative ductal adenocarcinoma.

Pancreas - AR negative neuroendocrine tumor.

       

Pharynx - AR negative squamous cell carcinoma.

Prostate - Adenocarcinoma (Gleason 4+4=8) showing strong AR immunostaining of tumor cells. Of note: AR staining is weaker in one residual normal prostate gland.

Prostate - Adenocarcinoma (Gleason 4+4=8) with strong AR immunostaining.

Prostate - Adenocarcinoma (Gleason 5+5=10) with strong nuclear and cytoplasmic AR immunostaining of tumor cells.

       

Prostate - Recurrent adenocarcinoma of the prostate (Gleason 5+4=9) with subtotal loss of AR expression after castration therapy.

Prostate - Small cell carcinoma with focal weak to moderate AR immunostaining of tumor cells.

Soft tissue - AR negative leiomyosarcoma.

Stomach - AR negative gastric adenocarcinoma (diffuse type).

       

Stomach - AR negative gastric adenocarcinoma.

Stomach - AR negative gastrointestinal stromal tumor (GIST).

Testis - AR negative seminoma.

Thorax - AR negative epitheloid malignant mesothelioma.

       

Thyroid - AR negative medullary carcinoma.

Thyroid - AR negative papillary cancer.

Urinary bladder - Muscle-invasive urothelial carcinoma with focal weak AR immunostaining in <10% of tumor cells.

Urinary bladder - Muscle-invasive urothelial carcinoma with moderate to strong AR immunostaining of tumor cells.

       

Uterus - Endometroid endometrium carcinoma with AR immunostaining of variable intensity in the majority of tumor cells.

 

 

| TOP |