Normal Tissue Gallery- GTX04368

Androgen Receptor antibody [MSVA-367R] HistoMAX

 

Go to Cancer Tissue Gallery
  
 Go back to product page
  

Go to HistoMAX page

 

Adrenal gland

Aorta, media

Appendix, mucosa

Appendix, muscular wall

       

Bone marrow

Breast - A weak to moderate nuclear AR immunostaining is seen in some luminal epithelial cells of the breast.

Bronchus, mucosa

Cerebellum (granule cell layer, white matter)

       

Cerebellum (molecular layer, Purkinje cell layer, granule cell layer, white matter)

Cerebrum, grey matter

Cerebrum, white matter

Colon descendens, muscular wall

       

Duodenum, Brunner gland

Duodenum, mucosa

Epididymis

Esophagus, squamous epithelium

       

Fallopian tube, mucosa - A strong nuclear AR immunostaining is seen in a fraction of epithelial cells of the fallopian tube (intercalated cells).

Fat

Gallbladder, epithelium - A weak nuclear AR immunostaining is seen in some nuclei of gallbladder epithelium.

Heart muscle

       

Ileum, mucosa

Kidney, cortex - In the kidney, a weak to moderate nuclear AR immunostaining is seen in some tubular cells and in podocytes of the glomeruli.

Kidney, medulla

Liver - In the liver, a weak to moderate nuclear AR immunostaining is seen in hepatocytes.

       

Lung

Lymph node

Ovary, stroma - A moderate AR immunostaining is seen in nuclei of the ovarian stroma.

Pancreas

       

Parathyroid

Parotid gland

Pituitary gland, anterior lobe

Pituitary gland, posterior lobe

       

Placenta (amnion and chorion)

Placenta, early

Placenta, mature

Prostate - A strong nuclear AR immunostaining is seen in stromal and epithelial cells of the prostate.

       

Rectum, mucosa

Seminal vesicle - A strong nuclear AR immunostaining is seen in stromal and epithelial cells of the seminal vesicle.

Sinus paranasales

Skeletal muscle - A weak AR immunostaining is seen in nuclei of skeletal muscle cells.

       

Skin - Epithelial cells of the skin show a moderate to strong nuclear AR immunostaining.

Spleen

Stomach, antrum

Stomach, corpus

       

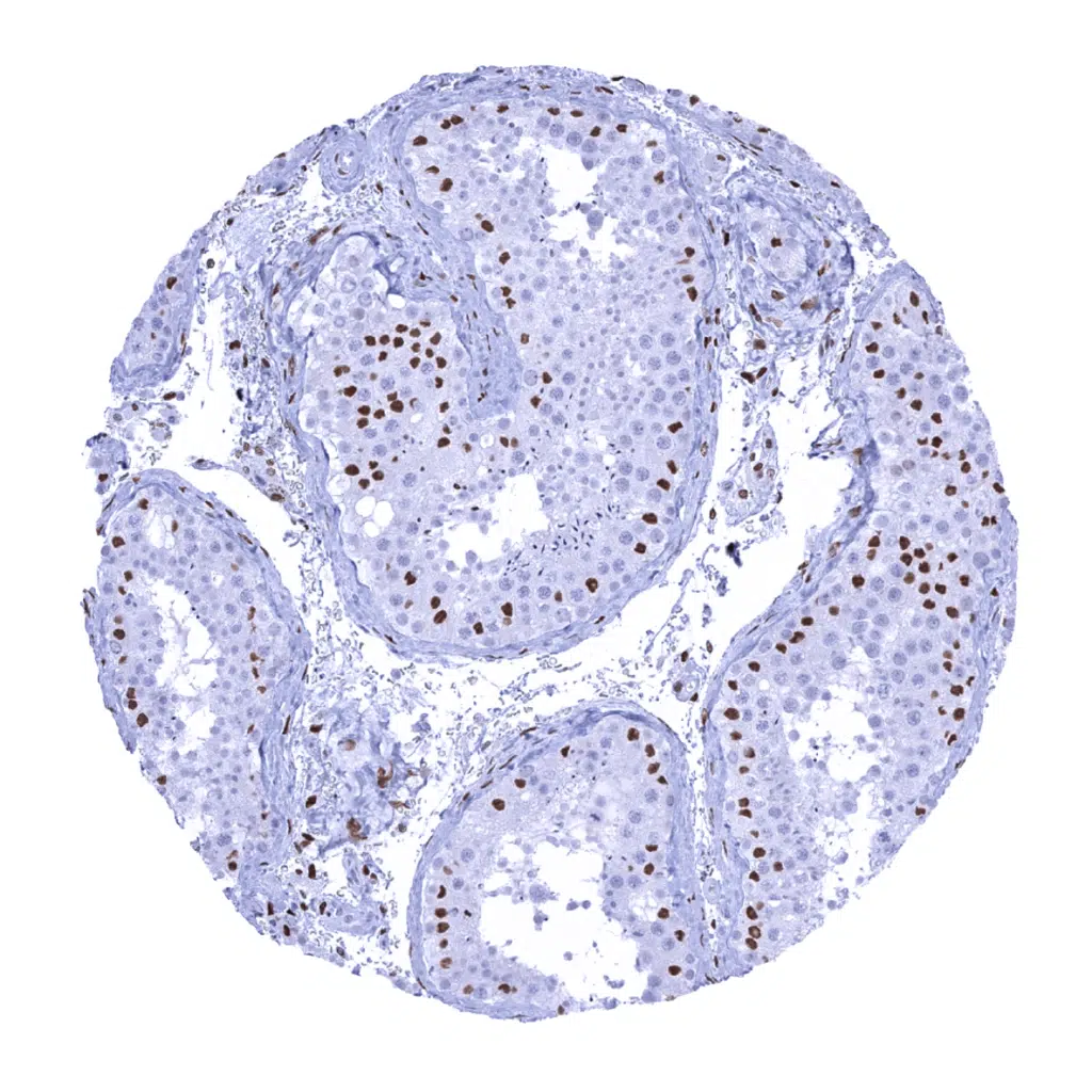
Testis - A moderate to strong nuclear AR immunostaining is seen in Sertoli and Leydig cells of the testis.

Thymus

Thyroid gland

Tonsil, surface epithelium - A weak nuclear AR immunostaining is seen in some nuclei of squamous epithelial cells.

       

Tonsil, surface epithelium

Urinary bladder, muscular wall

Urinary bladder, urothelium - A faint AR immunostaining is seen in some nuclei of the urothelium.

Uterus, ectocervix

       

Uterus, endocervix

Uterus, endometrium (pregnancy)

Uterus, endometrium (proliferation)

Uterus, endometrium (secretion)

       

Uterus, myometrium - A weak AR immunostaining is seen in nuclei of myometrial cells.

 

 

| TOP |