Cancer Tissue Gallery- GTX04432

CD45 antibody [MSVA-045R] HistoMAX

 

Go to Normal Tissue Gallery
  
 Go back to product page
  

Go to HistoMAX page

 

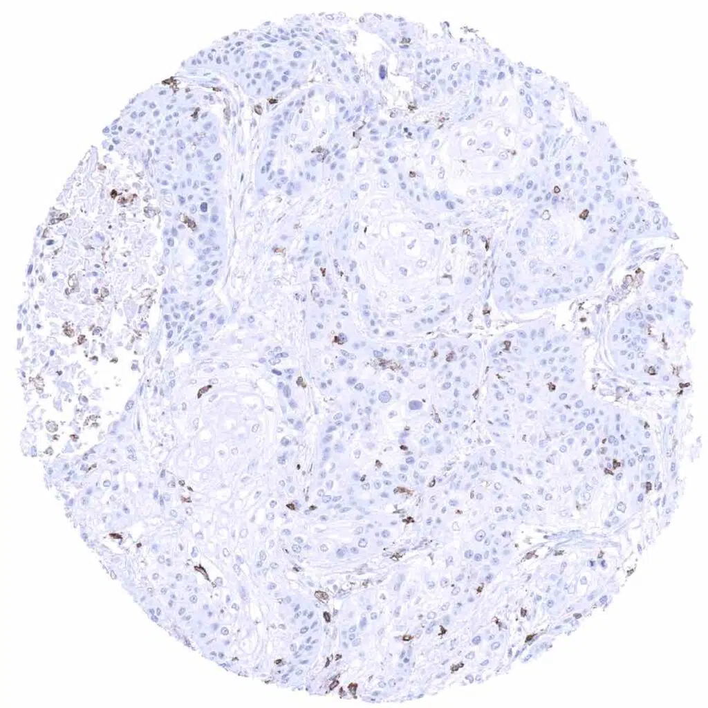
Anal canal- Squamous cell carcinoma with few intermingled CD45 positive inflammatory cells

Breast- Invasive breast cancer of no special type (NST) containing few CD45 positive inflammatory cells

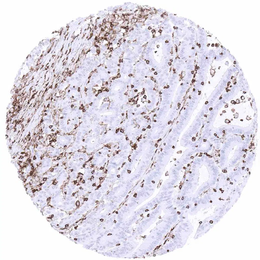
Colon- Colorectal adenocarcinoma containing numerous CD45 positive inflammatory cells

Lymph node- ALK1+ anaplastic large cell lymphoma with moderate to strong CD45 staining of tumor cells

       

Lymph node- Angioimmunoblastic T-cell lymphoma with strong CD45 staining of all lymphocytes and histiocytic cells

Lymph node- B-CLL exhibiting strong CD45 staining of all cells

Lymph node- B-CLL showing strong CD45 staining of all cells

Lymph node- Diffuse large B-cell lymphoma showing strong CD45 staining of tumor cells

       

Lymph node- Diffuse large B-cell lymphoma with moderate to strong CD45 astaining of tumor cells. CD45 staining is stronger in intermingled non-neoplastic lymphocytes

Lymph node- Diffuse large B-cell lymphoma with moderate to strong CD45 staining of tumor cells

Lymph node- Diffuse large B-cell lymphoma with strong CD45 staining of tumor cells

Lymph node- Diffuse large B-cell lymphoma with weak to moderate CD45 staining of tumor cells. CD45 staining is stronger in few scattered non-neoplastic lymphocytes

       

Lymph node- Follicular B-cell lymphoma showing strong CD45 staining of all cells

Lymph node- Follicular B-cell lymphoma with strong CD45 staining of all cells

Lymph node- Hodgkin’s lymphoma with strong membranous CD45 staining of all cells

Lymph node- Large cell anaplastic B-cell lymphoma with moderate to strong CD45 staining of tumor cells. CD45 staining is stronger in intermingled non-neoplastic lymphocytes

       

Lymph node- Large cell anaplastic B-cell lymphoma with only faint CD45 staining of tumor cells. CD45 staining is strong in few intermingled non-neoplastic lymphocytes

Lymph node- Lymphoblastic T-cell lymphoma with strong CD45 staining of all cells

Lymph node- Mantle cell lymphoma exhibiting strong CD45 staining of all cells

Lymph node- Marginal zone lymphoma showing strong CD45 staining of all cells

       

Ovary- Clear cell carcinoma containing few CD45 positive inflammatory cells

Ovary- Serous high-grade carcinoma infiltrated by a large number of CD45 positive inflammatory cells

Pancreas- Adenocarcinoma of the ampulla Vaterii containing a high number of CD45 positive inflammatory cells

Pancreas- Ductal adenocarcinoma containing numerous CD45 positive inflammatory cells

       

Pharynx- Squamous cell carcinoma containing a large number of CD45 positive inflammatory cells

Vagina- Squamous cell carcinoma containing numerous CD45 positive inflammatory cells

   

 

| TOP |