Normal Tissue Gallery- GTX04432

CD45 antibody [MSVA-045R] HistoMAX

 

Go to Cancer Tissue Gallery
  
 Go back to product page
  

Go to HistoMAX page

 

Adrenal gland

Aorta, media

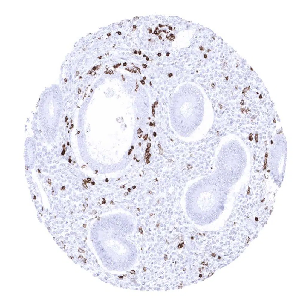
Appendix, mucosa - In the appendix, CD45 immunostaining is stronger in lymphocytes than in macrophages. Epithelial cells are completely CD45 negative

Appendix, muscular wall

       

Bone marrow - The majority of cells show CD45 immunostaining in this bone marrow sample. Megacaryocytes remain CD45 negative, however

Bronchus, respiratory epithelium

Cerebellum (granule cell layer, white matter)

Cerebellum (molecular layer, Purkinje cell layer, granule cell layer, white matter)

       

Cerebrum, grey matter

Cerebrum, white matter - CD45 immunostaining is seen in microglia cells of the brain

Colon descendens, muscular wall

Duodenum, Brunner gland

       

Duodenum, mucosa

Esophagus, squamous epithelium

Fallopian tube, mucosa

Fat

       

Gallbladder, epithelium

Heart muscle

Ileum, mucosa

Kidney, cortex

       

Kidney, medulla

Liver - In the liver, CD45 staining is seen in intravascular lymphocytes, inflammatory cells and in Kupffer cells

Lung - A strong CD45 immunostaining is seen in intravascular lymphocytes while the staining is somewhat weaker in alveolar macrophages

Lymph node

       

Ovary, stroma

Pancreas

Parathyroid gland

Parotid gland

       

Pituitary gland, anterior lobe

Pituitary gland, posterior lobe

Placenta (amnion and chorion)

Placenta, early

       

Placenta, mature

Prostate

Rectum, mucosa

Rectum, mucosa

       

Seminal vesicle

Sinus paranasales, respiratory epithelium

Skeletal muscle

Skin

       

Spleen

Stomach, antrum

Stomach, corpus

Testis

       

Thymus

Thyroid gland

Tonsil, surface epithelium

Tonsil

       

Urinary bladder, muscular wall

Urinary bladder, urothelium

Uterus, endocervix

Uterus, endometrium (pregnancy)

       

Uterus, endometrium (proliferation)

Uterus, endometrium (secretion)

Uterus, myometrium

     

 

| TOP |