Cancer Tissue Gallery- GTX04439

CTLA4 antibody [MSVA-152R] HistoMAX

 

Go to Normal Tissue Gallery
  
 Go back to product page
  

Go to HistoMAX page

 

Adrenal gland - Adrenocortical adenoma showing moderate intensity cytoplasmic CTLA4 immunostaining. This occurs in most adrenal gland tumors. Given the good performance of the antibody on lymphocytes and the fact, that other commercial anti-CTLA4 antibodies also have substantial other issues, this represents a (tolerable) cross-reactivity.

Colon- Colorectal adenocarcinoma containing few CTLA4 positive lymphocytes. A weak CTLA4 staining of the basal cell membrane is also seen in a fraction of cells. This represents a (tolerable) cross-reactivity.

Colon- Colorectal adenocarcinoma containing many CTLA4 positive lymphocytes.

Colon- Colorectal adenocarcinoma showing CTLA4 immunostaining in a significant fraction of tumor infiltrating lymphocytes.

       

Kidney - Clear cell renal cell carcinoma showing moderate to strong cytoplasmic CTLA4 immunostaining. This occurs in a small fraction of kidney tumors. Given the good performance of the antibody on lymphocytes and the fact, that other commercial anti-CTLA4 antibodies also have substantial other issues, this represents a (tolerable) cross-reactivity.

Kidney- Clear cell renal cell carcinoma lacking CTLA4 positive tumor infiltrating lymphocytes.

Lymph node- Angioimmunoblastic T-cell lymphoma containing numerous CTLA4 positive lymphocytes.

Lymph node- Diffuse large B-cell lymphoma displaying a large number of CTLA4 positive lymphocytes.

       

Lymph node- Diffuse large B-cell lymphoma containing many reactive CTLA4 positive lymphocytes.

Lymph node- Follicular B-cell lymphoma containing a large number of CTLA4 positive lymphocytes.

Lymph node- Hodgkin’s lymphoma containing numerous reactive CTLA4 positive lymphocytes.

Lymph node- Hodgkin’s lymphoma including numerous reactive CTLA4 positive lymphocytes.

       

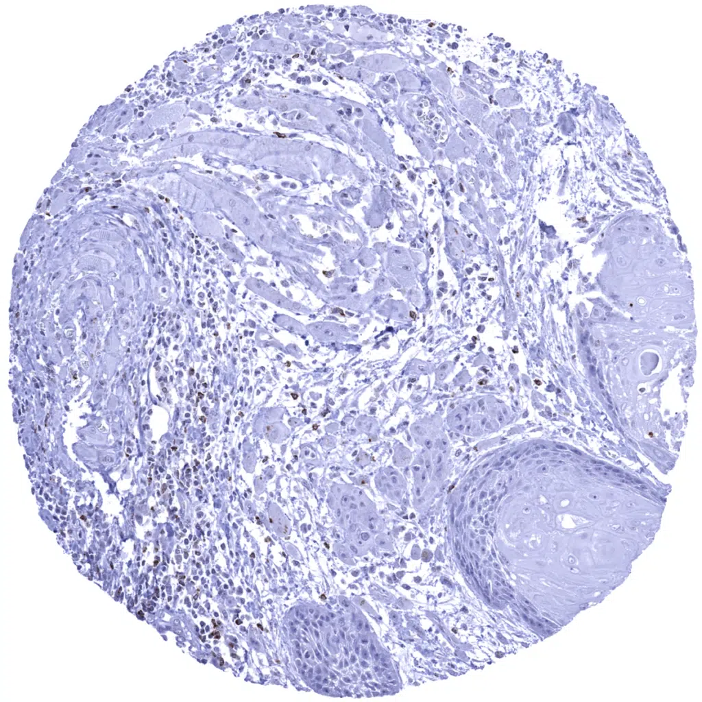
Oral cavity- A significant fraction of tumor infiltrating lymphocytes shows CTLA4 immunostaining in a squamous cell carcinoma.

Oral cavity- Squamous cell carcinoma containing few CTLA4 positive lymphocytes. A CTLA4 staining is also seen in some maturing carcinoma cells. This represents a (tolerable) cross-reactivity.

Parotid gland- Warthin tumor containing numerous CTLA4 positive lymphocytes.

Penis- Squamous cell carcinoma containing numerous CTLA4 positive lymphocytes.

       

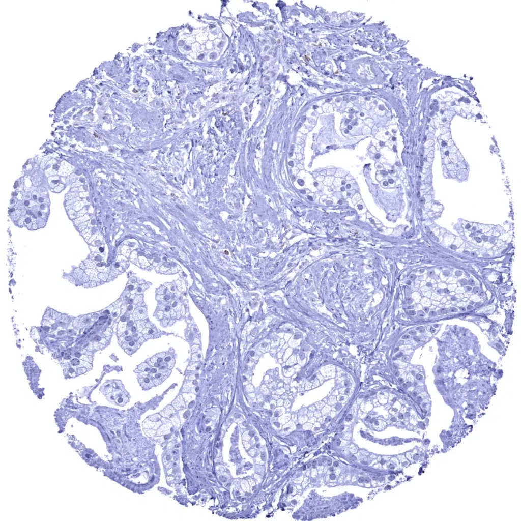
Prostate- CTLA4 positive lymphocytes are absent in a prostatic adenocarcinoma (Gleason 3+3=6).

Prostate- Only few CTLA4 positive lymphocytes are seen in a prostatic adenocarcinoma (Gleason 5+4=9).

Stomach- CTLA4 positive lymphocytes are absent in a gastrointestinal stromal tumor (GIST).

Testis- A significant fraction of tumor infiltrating lymphocytes shows CTLA4 immunostaining in a seminoma.

       

Testis- Few CTLA4 positive tumor infiltrating lymphocytes are seen in a seminoma.

Thyroid- Only few CTLA4 positive lymphocytes are seen in a papillary carcinoma.

Vulva- A significant number of CTLA4 positive lymphocytes is seen in a squamous cell carcinoma.

     

 

| TOP |