Normal Tissue Gallery- GTX04439

CTLA4 antibody [MSVA-152R] HistoMAX

 

Go to Cancer Tissue Gallery
  
 Go back to product page
  

Go to HistoMAX page

 

Adrenal gland - Strong granular cytoplasmic CTLA4 immunostaining of adrenocortical cells (tolerable cross-reactivity). Staining is absent in medullary cells.

Adrenal gland - Weak to moderate granular cytoplasmic CTLA4 immunostaining of adrenocortical cells (tolerable cross-reactivity).

Aorta, media

Appendix, mucosa - Distinct CTLA4 immunostaining in a fraction of lymphocytes. In addition, weak apical cytoplasmic granular CTLA4 staining occurs in superficial epithelial cells (tolerable cross-reactivity)

       

Appendix, muscular wall

Bone marrow

Breast

Bronchus, mucosa

       

Cerebellum (molecular layer, Purkinje cell layer, granule cell layer, white matter) - Faint fibrillar CTLA4 immunostaining of the molecular layer (tolerable cross-reactivity).

Cerebellum (molecular layer, Purkinje cell layer, granule cell layer) - A faint fibrillar CTLA4 immunostaining of the molecular layer may reflect a (tolerable) cross-reactivity.

Cerebrum, grey matter

Cerebrum, white matter

       

Colon descendens, mucosa - Weak apical cytoplasmic granular CTLA4 immunostaining in superficial epithelial cells (tolerable cross-reactivity).

Colon descendens, muscular wall

Duodenum, Brunner gland

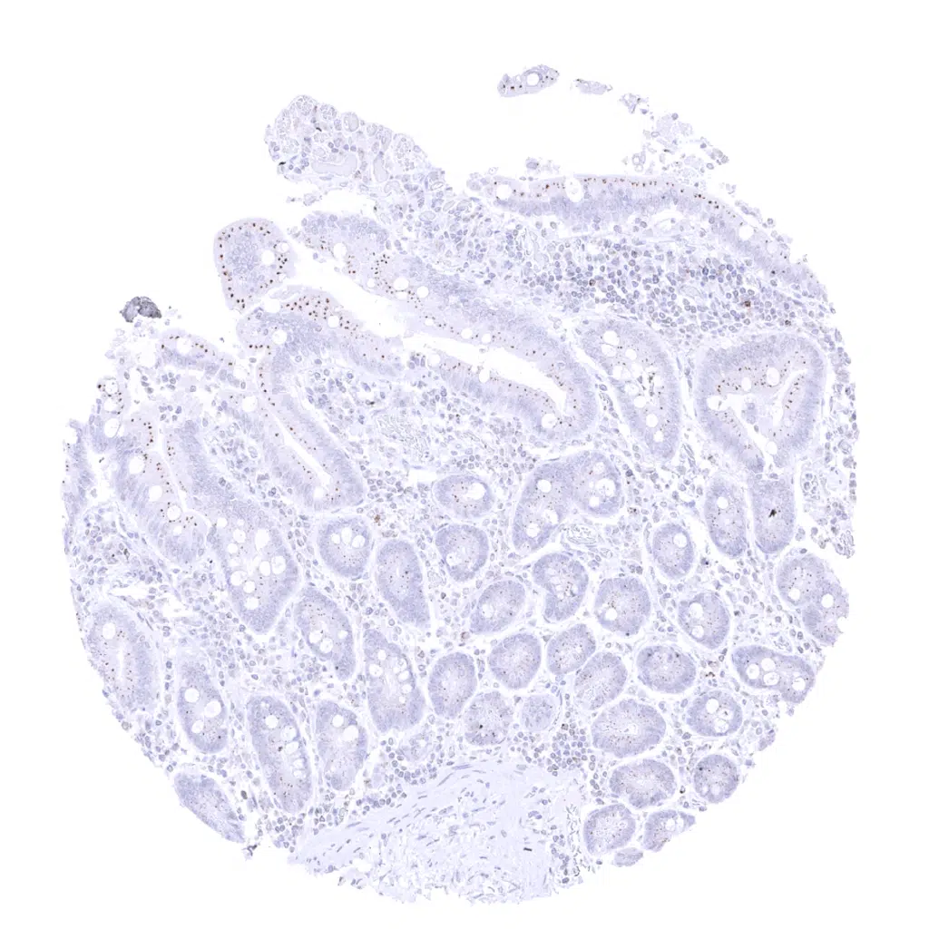
Duodenum, mucosa - Apical cytoplasmic granular CTLA4 positivity in superficial epithelial cells (tolerable cross-reactivity).

       

Epididymis - Weak apical cytoplasmic granular CTLA4 immunostaining in tall columnar cells of the epididymis (tolerable cross-reactivity).

Esophagus, squamous epithelium

Fallopian tube, mucosa

Fat

       

Gallbladder, epithelium - Weak apical cytoplasmic granular CTLA4 immunostaining in epithelial cells (tolerable cross-reactivity).

Heart muscle

Ileum, mucosa - Weak apical cytoplasmic granular CTLA4 immunostaining in superficial epithelial cells of the stomach (tolerable cross-reactivity).

Kidney, cortex - Granular CTLA4 staining in a small fraction of renal tubuli (tolerable cross-reactivity).

       

Kidney, cortex

Kidney, medulla

Liver - Weak granular CTLA4 staining of pigment.

Lung

       

Lymph node - CTLA4 immunostaining in a fraction of lymphocytes.

Ovary, stroma

Pancreas - Weak apical cytoplasmic granular CTLA4 staining in acinar cells and in excretory duct epithelial cells (tolerable cross-reactivity).

Pancreas

       

Parathyroid gland

Parotid gland

Pituitary gland, anterior lobe

Pituitary gland, posterior lobe

       

Placenta (amnion and chorion)

Placenta, early

Placenta, mature

Prostate

       

Rectum, mucosa

Seminal vesicle

Sinus paranasales - A fraction of mucosa associated lymphocytes shows distinct CTLA4 positivity.

Skeletal muscle

       

Skin

Spleen - CTLA4 immunostaining in a fraction of lymphocytes.

Stomach, antrum - Apical cytoplasmic granular CTLA4 immunostaining in superficial epithelial cells of the stomach (tolerable cross-reactivity).

Stomach, corpus - Weak apical cytoplasmic granular CTLA4 immunostaining in some superficial epithelial cells of the stomach (tolerable cross-reactivity).

       

Testis

Thymus - CTLA4 positivity in a fraction of lymphocytes.

Thymus - CTLA4 staining in a fraction of lymphocytes.

Thyroid gland - CTLA4 immunostaining of kolloid. This may represent a (tolerable) cross-reactivity.

       

Tonsil - A distinct CTLA4 immunostaining is seen in a fraction of lymphocytes.

Tonsil - CTLA4 immunostaining of a subset of lymphocytes (predominantly interfollicular).

Tonsil - Distinct CTLA4 positivity in a fraction of lymphocytes.

Tonsil, surface epithelium - Distinct staining of a subset of lymphocytes.

       

Urinary bladder, muscular wall

Urinary bladder, urothelium - CTLA4 positivity of a subset of mucosa associated lymphocytes.

Urinary bladder, urothelium

Uterus, ectocervix

       

Uterus, endocervix

Uterus, endometrium (pregnancy) - Granular cytoplasmic CTLA4 immunostaining of decidua cells (tolerable cross-reactivity).

Uterus, endometrium (proliferation)

Uterus, endometrium (secretion)

       

Uterus, myometrium

 

 

| TOP |