Normal Tissue Gallery- GTX639929

Thymidylate synthase antibody [HMV305] HistoMAXTM

 

Go to Cancer Tissue Gallery
  
 Go back to product page
  

Go to HistoMAX page

 

Adrenal gland

Aorta, media

Appendix, mucosa – Weak to moderate, nuclear and cytoplasmic TYMS staining of a fraction of crypt epithelial cells while staining is strong in many lymphocytic cells

Appendix, muscular wall

       

Bone marrow – Moderate to strong, nuclear and cytoplasmic TYMS staining of a large subset of hematopoetic cells

Breast – Strong, nuclear and cytoplasmic TYMS staining of a subset of luminal epithelial cells of breast glands

Bronchus, glands

Cerebellum (white matter)

       

Cerebellum, cortex (molecular layer, Purkinje cell layer, granule cell layer)

Cerebrum, grey matter

Cerebrum, white matter

Colon descendens, mucosa – Faint, nuclear and cytoplasmic TYMS staining of a fraction of crypt epithelial cells

       

Colon descendens, muscular wall

Duodenum, Brunner gland

Duodenum, mucosa – Weak, nuclear and cytoplasmic TYMS staining of a fraction of crypt epithelial cells

Epididymis, Caput

       

Epididymis, Cauda

Esophagus, squamous epithelium – Weak to moderate, predominantly nuclear TYMS staining of a subset of suprabasal squamous epithelial cells

Fallopian tube, mucosa

Fat

       

Gallbladder, epithelium – TYMS staining is lacking in this sample

Gallbladder, epithelium – Weak to moderate, nuclear and cytoplasmic TYMS staining of a subset of epithelial cells

Heart muscle

Ileum, mucosa – Weak to moderate, nuclear and cytoplasmic TYMS staining of a fraction of crypt epithelial cells

       

Kidney, cortex

Kidney, medulla

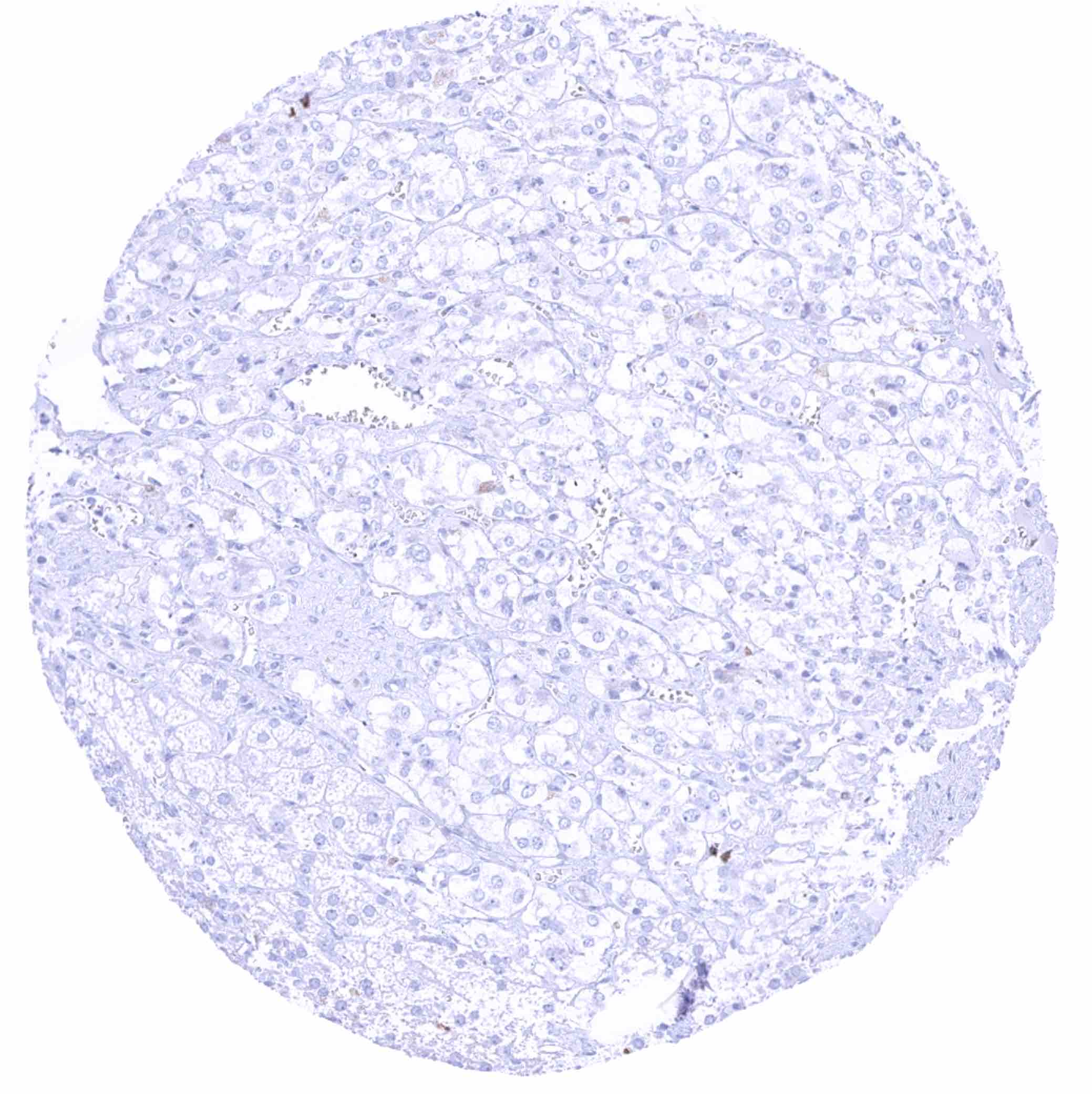
Liver

Lung

       

Lymph node – Strong TYMS staining of a fraction of lymphocytic cells

Ovary, corpus luteum – Moderate to strong, nuclear and cytoplasmic TYMS staining of some endothelial cells

Ovary, stroma

Pancreas – Weak to moderate, nuclear and cytoplasmic TYMS staining of very few epithelial cells

       

Parathyroid gland

Parathyroid gland

Parotid gland

Pituitary gland, posterior lobe

       

Pituitary gland, posterior lobe

Placenta (amnion and chorion)

Placenta (amnion and chorion)

Placenta, early – Variable, weak to strong, nuclear and cytoplasmic TYMS staining of few cells (cytotrophoblast, stromal)

       

Placenta, mature – TYMS staining is lacking in this sample

Placenta, mature – Variable, weak to strong, nuclear and cytoplasmic TYMS staining of few cells (trophoblast, endothelial)

Prostate

Rectum, mucosa – Weak to moderate, nuclear and cytoplasmic TYMS staining of a large subset of crypt epithelial cells

       

Seminal vesicle

Sinus paranasales

Skeletal muscle

Skin

       

Spleen – Moderate to strong TYMS staining of a fraction of lymphocytic cells

Stomach, antrum – Weak to moderate, nuclear and cytoplasmic TYMS staining of a fraction of epithelial cells

Stomach, corpus – Weak to moderate, nuclear and cytoplasmic TYMS staining of a fraction of epithelial cells

Testis – Weak to moderate, nuclear and cytoplasmic TYMS staining of spermatocytes

       

Thymus – Strong TYMS staining of a large fraction of lymphocytes

Thyroid gland

Tonsil – Variable, moderate to strong, nuclear and cytoplasmic TYMS staining of a fraction of lymphocytes, especially in a germinal centre.

Tonsil – Variable, moderate to strong, nuclear and cytoplasmic TYMS staining of a fraction of lymphocytes, especially in a germinal centre

       

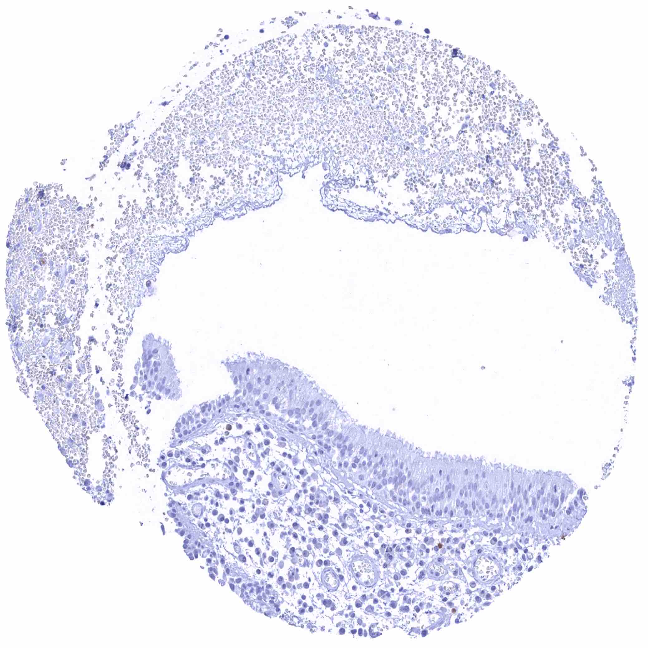
Tonsil, surface epithelium – Weak to moderate, predominantly nuclear TYMS staining of a subset of suprabasal squamous epithelial cells

Urinary bladder, muscular wall

Urinary bladder, urothelium

Uterus, ectocervix

       

Uterus, endocervix

Uterus, endometrium (pregnancy)

Uterus, endometrium (proliferation)

Uterus, endometrium (secretion)

       

Uterus, myometrium

 
   

 

| TOP |