Cancer Tissue Gallery- GTX04370

Chromogranin A antibody [MSVA-380R] HistoMAX

 

Go to Normal Tissue Gallery
  
 Go back to product page
  

Go to HistoMAX page

 

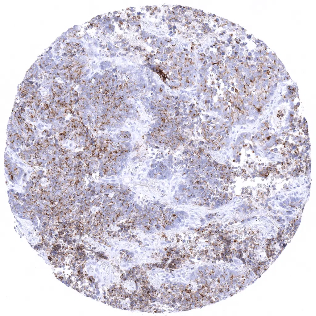
Adrenal gland - Pheochromocytoma with strong diffuse chromogranin A immunostaining.

Adrenal gland - All tumor cells show a strong chromogranin A immunostaining in a pheochromocytoma.

Kidney - Chromophobe carcinoma with interspersed chromogranin A positive tumor cells.

Kidney - Oncocytoma showing strong chromogranin A positivity in all tumor cells.

       

Lung - Chromogranin A negative adenocarcinoma.

Lung - Small cell carcinoma with weak to moderate chromogranin A immunostaining in a fraction of cells.

Ovary - Serous high-grade carcinoma showing a weak cytoplasmic chromogranin A positivity in the majority of tumor cells and few interspersed strongly positive cells.

Pancreas - Neuroendocrine tumor displaying a strong chromogranin A positivity of all tumor cells.

       

Prostate - Chromogranin A negative adenocarcinoma (Gleason 4+4=8).

Skin - Basal cell carcinoma with a moderate intensity chromogranin A immunostaining in the basal cell layer.

Skin - Merkel cell carcinoma showing strong diffuse chromogranin A immunostaining.

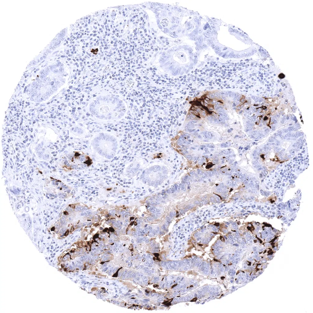
Stomach - Adenocarcinoma (intestinal type) showing interspersed chromogranin A positive cells.

       

Thyroid - Medullary carcinoma with intense chromogranin A immunostaining.

Urinary bladder - Small cell carcinoma with intense chromogranin A positivity.

   

 

| TOP |