Cancer Tissue Gallery- GTX04434

Collagen IV antibody [MSVA-704R] HistoMAX

 

Go to Normal Tissue Gallery
  
 Go back to product page
  

Go to HistoMAX page

 

Breast - Invasive breast cancer of no special type (NST). Tumor cell groups and fat cells are surrounded by a delicate collagen IV positive membrane. Small vessels do also stain.

Colon - Collagen IV negative colorectal adenocarcinoma. Cancer glands and stroma cells are surrounded by collagen IV positive structures.

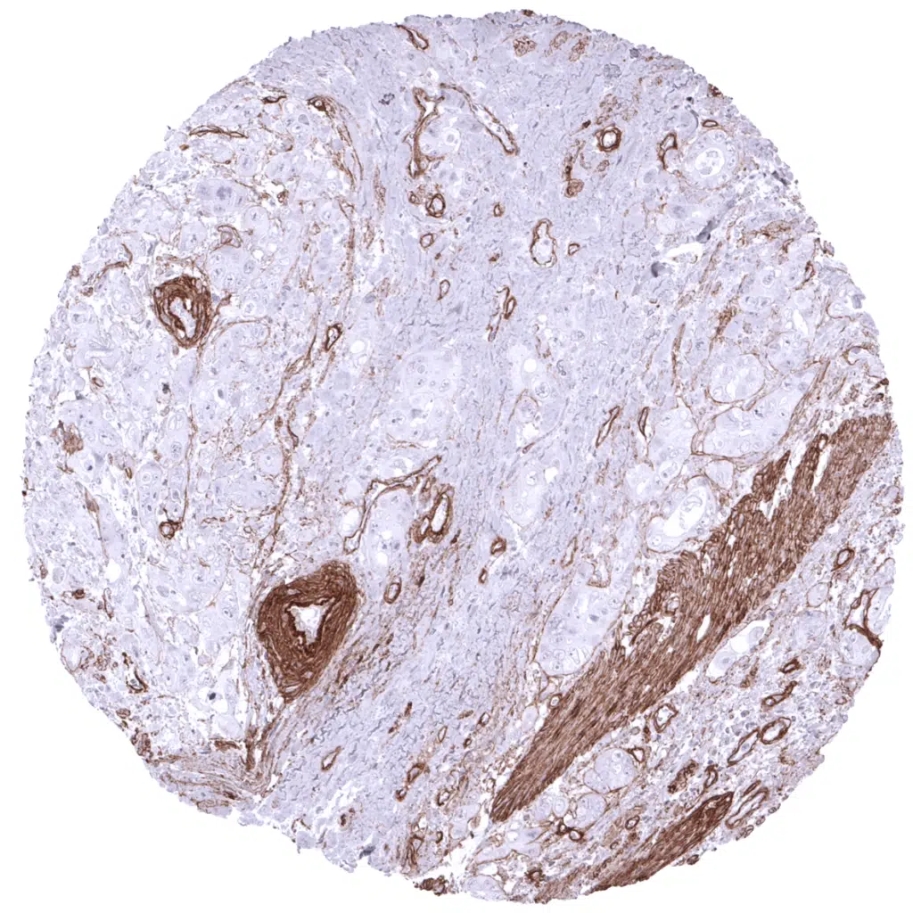
Esophagus - Adenocarcinoma invading collagen IV positive smooth muscle. Blood vessels of variable size are also stained.

Esophagus - Collagen IV negative squamous cell carcinoma. Tumor cell groups are surrounded by a delicate collagen IV positive membrane. Vessels of all sizes do also stain positive.

       

Kidney - Collagen IV negative clear cell renal cell carcinoma showing an intense collagen IV immunostaining of small vessels.

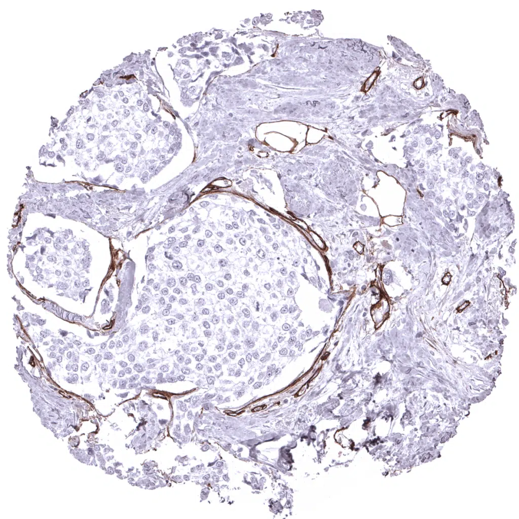
Kidney - Oncocytoma showing a dense collagen IV positive membrane surrounding tumor cell nests.

Kidney - Papillary renal cell carcinoma showing a delicate collagen IV positive membrane between tumor cells and the stroma and an intense staining of vessels.

Ovary - Collagen IV negative endometroid carcinoma. Cancer glands and stroma cells are surrounded by collagen IV positive structures. Small vessels do also stain positive.

       

Ovary - Serous high-grade carcinoma showing a delicate collagen IV positive membrane around tumor cell groups. Small vessels do also stain.

Pharynx - Collagen IV negative squamous cell carcinoma showing intense collagen IV staining of small vessels.

Prostate - Adenocarcinoma (Gleason 3+3=6) showing an intense collagen IV staining along smooth muscular stromal cells.

Thyroid - Collagen IV negative follicular carcinoma. Tumor cell groups are surrounded by a delicate collagen IV positive membrane. Small vessels do also stain.

       

 

| TOP |