Normal Tissue Gallery- GTX04434

Collagen IV antibody [MSVA-704R] HistoMAX

 

Go to Cancer Tissue Gallery
  
 Go back to product page
  

Go to HistoMAX page

 

Adrenal gland

Aorta, media

Appendix, mucosa - Collagen IV immunostaining of basement membranes and vessels is only faint in this sample.

Appendix, muscular wall

       

Bone marrow - Collagen IV immunostaining around fat cells in the bone marrow.

Breast - Collagen IV immunostaining of basement membranes and vessels.

Bronchus, mucosa - Collagen IV immunostaining of basement membranes and vessels.

Cerebellum (molecular layer, Purkinje cell layer, granule cell layer) - Collagen IV immunostaining of vessels.

       

Cerebellum (white matter) - Collagen IV immunostaining of vessels.

Cerebrum, grey matter - Collagen IV immunostaining of vessels.

Cerebrum, white matter - Collagen IV immunostaining of vessels.

Colon descendens, mucosa - Collagen IV immunostaining involves basement membranes, vessels of all size and smooth muscle cells of the lamina muscularis mucosae.

       

Colon descendens, muscular wall

Duodenum, Brunner gland

Duodenum, mucosa - Collagen IV immunostaining involves basement membranes, vessels of all size and smooth muscle cells of the lamina muscularis mucosae.

Epididymis

       

Esophagus, squamous epithelium

Fallopian tube, mucosa

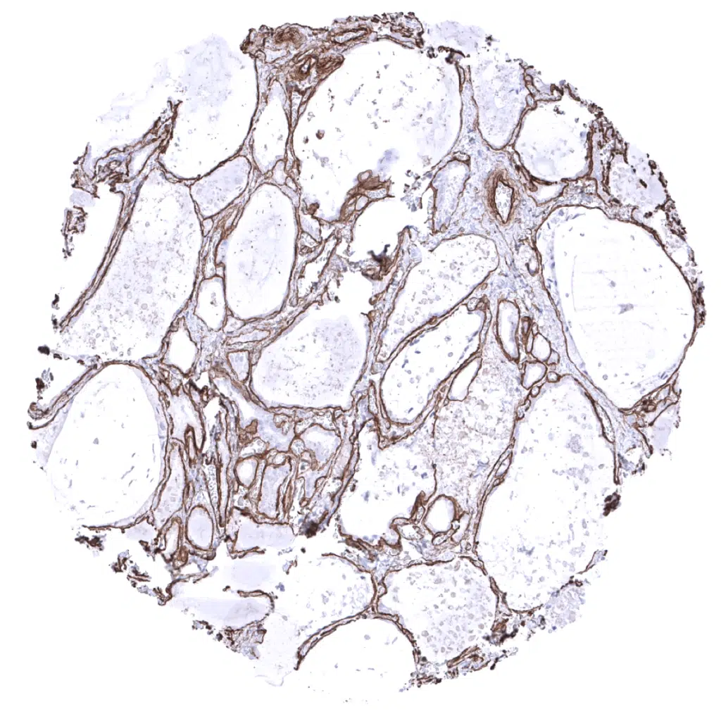
Fat - Each fat cell is surrounded by collagen IV.

Gallbladder, epithelium - Collagen IV immunostaining of basement membranes and vessels.

       

Heart muscle - Each heart muscle cell is surrounded by collagen IV.

Ileum, mucosa - Collagen IV immunostaining involves basement membranes, vessels of all size and smooth muscle cells of the lamina muscularis mucosae.

Kidney, cortex - Collagen IV immunostaining is more intense in areas of kidney damage where basement membranes are thickened.

Kidney, medulla

       

Liver - Collagen IV immunostaining of liver sinus, vessels and cells in the portal field.

Lung - Collagen IV immunostaining of basement membranes and vessels.

Lymph node - A distinct collagen IV immunostaining is seen around vessels and sinus structures in lymph nodes.

Ovary, stroma

       

Pancreas - Collagen IV immunostaining of small vessels and around acini in the pancreas.

Parathyroid gland

Parotid gland - Collagen IV around acini, ducts and fat cells in the pancreas. Vessels of all sizes are also stained.

Pituitary gland, anterior lobe

       

Pituitary gland, posterior lobe

Placenta (amnion and chorion)

Placenta (chorion)

Placenta, first trimenon

       

Placenta, mature

Prostate - In the prostate, smooth muscle cells are surrounded by collagen IV. Basement membranes and vessels are also staining.

Rectum, mucosa - Collagen IV immunostaining involves basement membranes, vessels and smooth muscle cells of the lamina muscularis mucosae.

Seminal vesicle - In the seminal vesicle, smooth muscle cells are surrounded by collagen IV. Basement membranes and vessels are also staining.

       

Sinus paranasales - Collagen IV immunostaining of basement membranes and vessels.

Skeletal muscle - Each skeletal muscle cell is surrounded by collagen IV.

Skin - Strong collagen IV immunostaining of the the basement membrane and multiple vessels.

Spleen - A distinct collagen IV immunostaining is seen around small vessels and muscular vessels in the spleen.

       

Stomach, antrum - Collagen IV immunostaining involves basement membranes and vessels.

Stomach, corpus - Collagen IV immunostaining involves basement membranes and vessels.

Testis - In the testis, peritubular smooth muscle cells are surrounded by collagen IV. Basement membranes and vessels are also staining.

Thymus

       

Thyroid gland

Tonsil - In the tonsil crypts, basement membranes are largely lacking. Collagen IV immunostaining is seen around vessels.

Tonsil, surface epithelium - In this sample, the basement membrane shows only a faint and incomplete collagen IV immunostaining.

Urinary bladder, muscular wall - Each smooth muscle cell is surrounded by collagen IV.

       

Urinary bladder, urothelium - Distinct collagen IV immunostaining of the the basement membrane and multiple vessels.

Uterus, ectocervix - Distinct collagen IV immunostaining of the the basement membrane and multiple vessels.

Uterus, endocervix

Uterus, endometrium (pregnancy) - Decidua cells are surrounded by collagen IV.

       

Uterus, endometrium (proliferation)

Uterus, endometrium (secretion)

   

 

| TOP |