Cancer Tissue Gallery- GTX04411

Cytokeratin 15 antibody [MSVA-615M] HistoMAX

 

Go to Normal Tissue Gallery
  
 Go back to product page
  

Go to HistoMAX page

 

Breast - Invasive breast cancer of no special type (NST) showing moderate to strong Cytokeratin 15 immunostaining in tumor cells.

Breast - Strong Cytokeratin 15 immunostaining of all cells of an invasive lobular breast cancer.

Breast - Weak to moderate Cytokeratin 15 immunostaining in the majority of cells of an invasive breast cancer of no special type (NST).

Esophagus - Squamous cell carcinoma showing strong Cytokeratin 15 immunostaining.

       

Kidney - Cytokeratin 15 negative clear cell renal cell carcinoma.

Liver - Cholangiocellular carcinoma showing weak to moderate Cytokeratin 15 immunostaining in most tumor cells.

Lung - Moderate to strong Cytokeratin 15 immunostaining in a pulmonary adenocarcinoma.

Lung - Squamous cell carcinoma showing strong Cytokeratin 15 immunostaining.

       

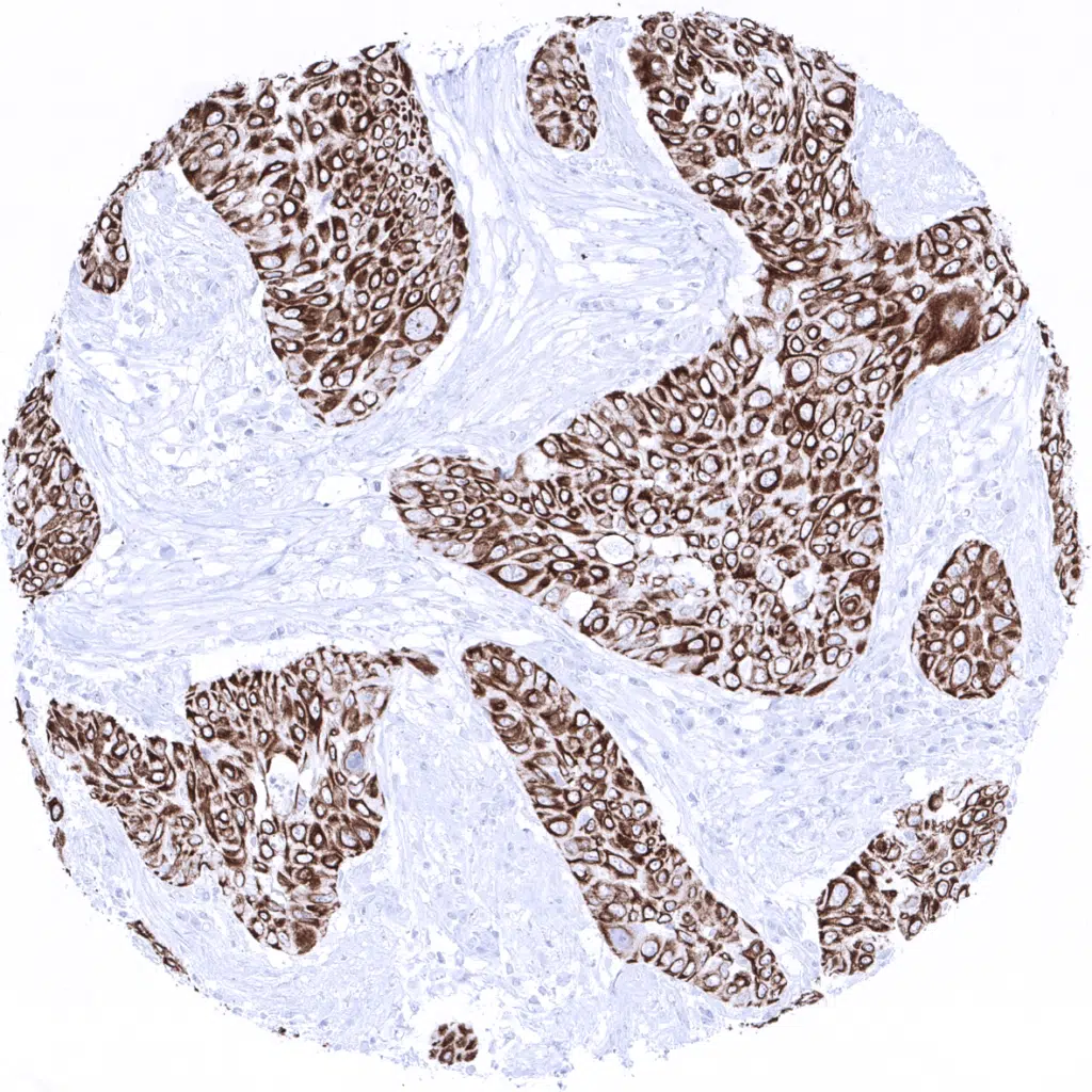
Oral cavity - Squamous cell carcinoma with strong Cytokeratin 15 staining.

Ovary - Brenner tumor showing moderate Cytokertin 15 staining in tumor cells.

Pancreas - Cytokeratin 15 negative neuroendocrine tumor.

Prostate - Cytokeratin 15 negative prostatic adenocarcinoma (Gleason 3+3=6). Few normal glands show staining of basal cells.

       

Skin - Basal cell carcinoma with strong Cytokeratin 15 immunostaining.

Skin - Cytokeratin 15 negative Merkel cell carcinoma.

Skin - Squamous cell carcinoma showing strong Cytokeratin 15 immunostaining.

Stomach- Cytokeratin negative gastric adenocarcinoma (intestinal type).

       

Testis - Cytokeratin 15 negative seminoma.

Urinary bladder - Strong Cytokeratin 15 positivity in a muscle-invasive urothelial carcinoma.

Vagina - Squamous cell carcinoma showing strong Cytokeratin 15 immunostaining.

Vulva - Squamous cell carcinoma with strong Cytokeratin 15 positivity.

       

 

| TOP |