Normal Tissue Gallery- GTX04411

Cytokeratin 15 antibody [MSVA-615M] HistoMAX

 

Go to Cancer Tissue Gallery
  
 Go back to product page
  

Go to HistoMAX page

 

Adrenal gland

Aorta, media

Appendix, mucosa

Appendix, muscular wall

       

Bone marrow

Breast - A strong Cytokeratin 15 immunostaining is seen in acinar but not in myoepithelial cells.

Bronchus, mucosa - In the respiratory epithelium, a strong Cytokeratin 15 immunostaining is seen in basal cells.

Cerebellum (molecular layer, Purkinje cell layer, granule cell layer)

       

Cerebellum (granule cell layer, white matter)

Cerebrum, grey matter

Cerebrum, white matter

Colon descendens, mucosa

       

Colon descendens, muscular wall

Duodenum, mucosa

Ectocervix - A strong Cytokeratin 15 immunostaining is seen in all cell layers of the squamous epithelium.

Endocervix

       

Endometrium, proliferation

Endometrium, secretion

Epididymis - In the epididymis, a moderate Cytokeratin 15 immunostaining of basal cells is seen.

Esophagus, squamous epithelium - A strong Cytokeratin 15 immunostaining is seen in all cell layers of the squamous epithelium.

       

Fallopian tube, mucosa

Fat

Gallbladder, epithelium

Heart

       

Ileum, mucosa

Kidney, cortex

Kidney, medulla

Liver - Liver Pigment staining.

       

Liver

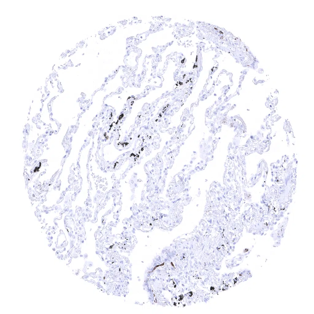
Lung

Lymph node

Ovary, stroma

       

Pancreas - In the pancreas, a very weak Cytokeratin 15 immunostaining can be seen in intercalated ducts.

Parathyroid

Parotid gland - A strong Cytokeratin 15 immunostaining is found in some myoepithelial cells and basal cells of excretiory ducts.

Pituitary gland, anterior lobe - A moderate to strong Cytokeratin 15 immunostaining can occur in a fraction of epithelial cells in the adenohypophysis.

       

Pituitary gland, anterior lobe

Pituitary gland, posterior lobe

Pregnant uterus (decidua)

Placenta (amnion and chorion): A variable Cytokeratin 15 staining is seen in amnion cells.

       

Placenta, early - A generally weak Cytokeratin 15 immunostaining can be seen in the syncytiotrophoblast (more common in first trimenon than in mature placenta).

Placenta, early - A weak Cytokeratin 15 immunostaining can be seen in the syncytiotrophoblast (more common in first trimenon than in mature placenta).

Placenta, mature

Prostate - Cytokeratin 15 immunostaining is usually strong in all basal cells but can occasionally also occur in luminal epithelial cells.

       

Rectum, mucosa

Seminal vesicle - In seminal vesicles, only a few basal cells are Cytokeratin 15 positive.

Sinus paranasales - In the respiratory epithelium, a strong Cytokeratin 15 immunostaining is seen in basal cells.

Skin - A strong Cytokeratin 15 immunostaining is seen in all cell layers of the squamous epithelium (except keratin layer).

       

Spleen

Stomach, antrum

Stomach, corpus - A very faint Cytokeratin 15 immunostaining can be seen in some gastric glands (apical predominance).

Striated muscle

       

Testis

Thymus - Cytokeratin 15 is strongly expressed in corpuscles of Hassall's and in medullary thymic epithelial cells but weaker in cortical thymic epithelial cells.

Thyroid gland

Tonsil - In tonsil krypts, a strong Cytokeratin 15 immunostaining is found in all cell layers of squamous epithelium.

       

Tonsil, surface epithelium - A strong Cytokeratin 15 immunostaining is seen in all cell layers of the squamous epithelium.

Urinary bladder, muscular wall

Urinary bladder - Cytokeratin 15 immunostaining is commonly found in urothelium. Staining is often stronger in the basal than in the superficial half of the urothelium.

Uterus, myometrium

       

 

| TOP |