Cancer Tissue Gallery- GTX04378

Cytokeratin 19 antibody [MSVA-119M] HistoMAX

 

Go to Normal Tissue Gallery
  
 Go back to product page
  

Go to HistoMAX page

 

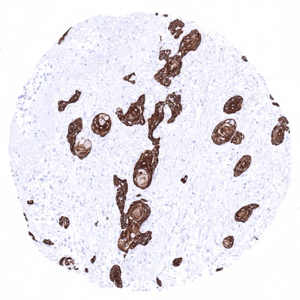
Chromophobe renal cell carcinoma with intense cytokeratin 19 positivity.

Clear cell renal cell carcinoma with weak cytokeratin 19 staining.

Cytokeratin 19 negative chromophobe renal cell carcinoma.

Endometroid ovarian carcinoma with strong diffuse cytokeratin 19 expression.

       

Malignant mesothelioma with strong cytokeratin 19 positivity.

Neuroendocrine tumor with strong cytokeratin 19 positivity in all cells.

Papillary carcinoma of the thyroid with strong cytokeratin 19 immunostaining.

Serous ovarian carcinoma with intense cytokeratin 19 staining in all cells.

       

Strong cytokeratin 19 positivity in a lobular breast cancer.

Vulvar squamous cell carcinoma with focal weak to moderate cytokeratin 19 immunostaining.

Vulvar squamous cell carcinoma with strong cytokeratin 19 positivity.

     

 

| TOP |