Normal Tissue Gallery- GTX04378

Cytokeratin 19 antibody [MSVA-119M] HistoMAX

 

Go to Cancer Tissue Gallery
  
 Go back to product page
  

Go to HistoMAX page

 

Adrenal gland

Aorta, media

Appendix, mucosa - Strong Cytokeratin 19 staining of epithelial cells in the appendix. Slight decrease of intensity from the surface towards the crypt base.

Appendix, muscular wall

       

Bone marrow

Breast - Intensive Cytokeratin 19 staining of a fraction of luminal cells.

Bronchus, mucosa - Stronk Cytokeratin 19 staining of all epithelial cells.

Cerebellum, cortex (Stratum moleculare) cerebellum (molecular layer, Purkinje cell layer, granule cell layer)

       

Cerebellum, cortex (Stratum moleculare) cerebellum (granule cell layer, white matter)

Cerebrum, grey matter

Cerebrum, white matter

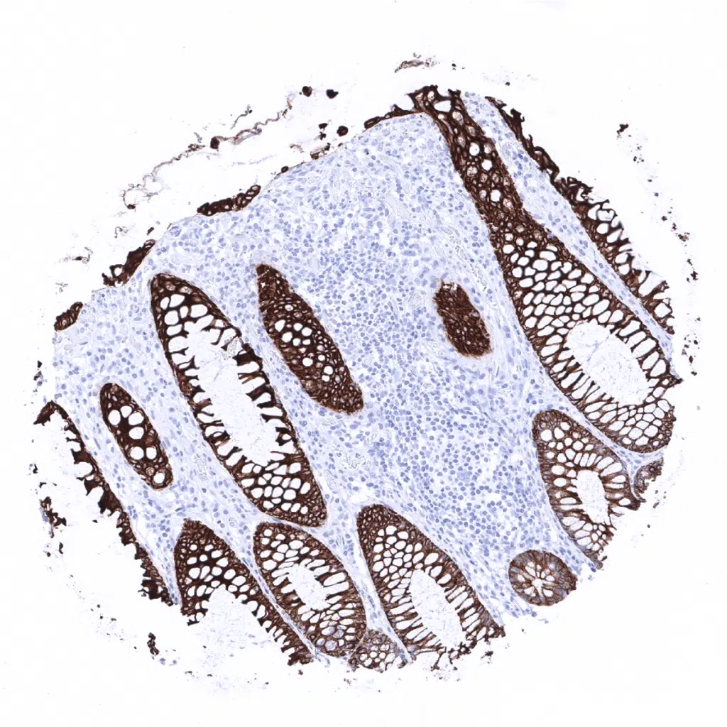
Colon descendens, mucosa - Strong Cytokeratin 19 staining of all epithelial cells.

       

Colon descendens, muscular wall

Duodenum, Brunner gland - A variable, usually weak cytokeratin 19 staining is seen in a fraction of cells in Brunner glands.

Duodenum, mucosa - KRT 19 staining is stronger at the surface mucosa than in deeper located glandular cells.

Ectocervix - In non-keratinizing squamous epithelium, the basal cells are Cytokeratin 19 positive while the remaining layers are usually negative.

       

Endocervix - Strong Cytokeratin 19 staining of all epithelial cells.

Endometrium, secretion - Strong Cytokeratin 19 staining of all epithelial cells.

Epididymis - Strong Cytokeratin 19 staining of all epithelial cells.

Esophagus, squamous epithelium - Cytokeratin 19 staining is usually limited to the basal cells. In this sample some additional "higher" Cytokeratin 19 positive squamous cells are seen.

       

Fallopian tube, mucosa - Strong Cytokeratin 19 staining of all epithelial cells.

Fat

Gallbladder, epithelium - Strong Cytokeratin 19 staining of all epithelial cells.

Heart

       

Ileum, mucosa - Strong Cytokeratin 19 staining of all epithelial cells.

Kidney, cortex - In the kidney, a large fraction of the cells of the distal tubuli and collecting ducts as well as parietal epithelial cells of the Bowman capsule show strong Cytokeratin 19 immunostaining.

Kidney, medulla - A large fraction of the cells of collecting ducts show strong Cytokeratin 19 staining.

Liver - A strong Cytokeratin 19 staining is seen in bile ducts including small periportal ducts.

       

Lung- Pneumocytes show a moderate Cytokeratin 19 staining.

Lymph node

Ovary, stroma

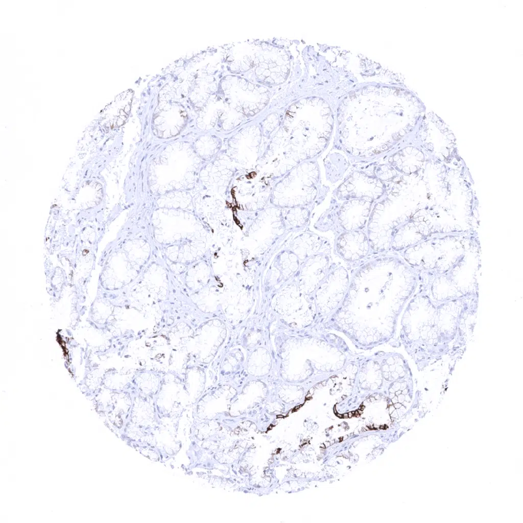
Pancreas - Cytokeratin 19 positivity is seen in interlobular and intercalated ducts of the pancreas.

       

Parathyroid gland - All epithelial cells show at least a moderate Cytokeratin 19 staining.

Parotid gland - In salivary glands, cytokeratin 19 is seen in intercalated and striated ducts, myoepithelial cells (and to a lesser and variable extent) glandular cells of salivary glands.

Pituitary gland, anterior lobe

Pituitary gland, posterior lobe

       

Pregnant uterus (decidua)

Placenta, early

Placenta, mature - The syncytiotrophoblast, and to a somewhat lesser extent the cytotrophoblast of the placenta are Cytokeratin 19 positive.

Placenta (amnion and chorion) - Amnion and chorion cells of the placenta are cytokeratin positive.

       

Prostate - A variable cytokeratin 19 staining intensity of both apical and basal cells can occur in the prostate but not in all glands and not in all samples.

Rectum, mucosa - Strong Cytokeratin 19 staining of all epithelial cells.

Seminal vesicle - Strong Cytokeratin 19 staining of all epithelial cells.

Sinus paranasales - Strong Cytokeratin 19 staining of all epithelial cells.

       

Skin

Spleen

Stomach, antrum - Strong Cytokeratin 19 staining of all epithelial cells.

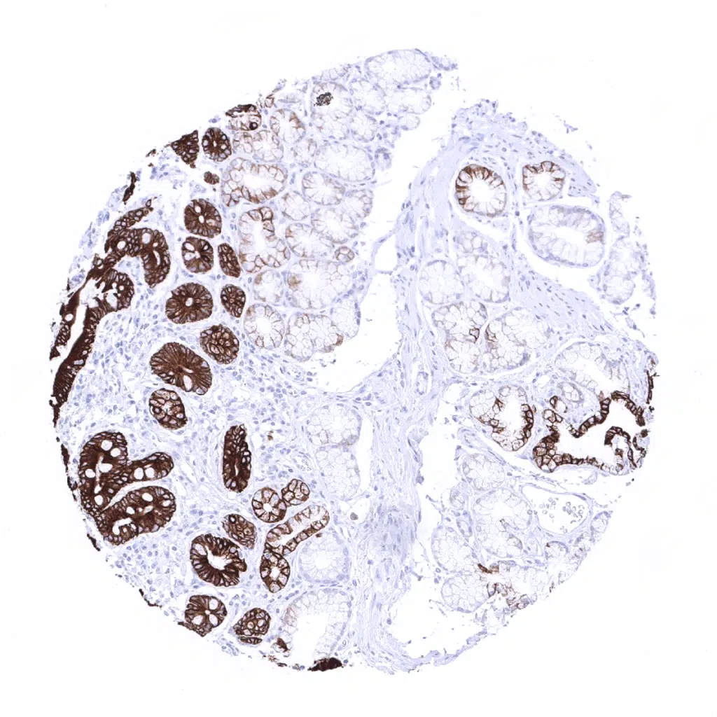
Stomach, corpus - Cytokeratin 19 staining is strong in most epithelial cells of the stomach corpus except staining being absent in parietal cells and only weak in chief cells.

       

Striated muscle

Testis

Tonsil - A strong Cytokeratin 19 positivity is seen in some but not all squamous cells of tonsil crypts.

Tonsil, surface epithelium - Cytokeratin 19 staining is largely limited to the basal cells of the squamous epithelium.

       

Thyroid gland

Urinary bladder, muscular wall

Urinary bladder - Urothelium always shows a strong Cytokeratin 19 positivity of all epithelial cells.

Uterus, myometrium - A weak to moderate cytokeratin 19 immunostaining can be seen in smooth muscle of the myometrium.

       

Uterus, myometrium - Cytokeratin 19 positivity is not always seen in myometrium.

 

 

| TOP |